Продолжая работу с сайтом, вы разрешаете использование сookies и соглашаетесь с политикой конфиденциальности.
.,о.,р..и.:г,.и.,н.;н.,а;,л.. .,н.:а,.х.,о.,д.;и.,т..с.:я,, ..н.;а., .,k;,i..b.:e,;r.,i.,s.,.;.r.:u,

КТ молочных желез

Средняя цена: ≈5196₽
Лечат в 66 клиниках
X
X

Дерево медицинских услуг

  1. Описание
  2. Дополнительные факты
  3. Показания к применению
  4. Противопоказания
  5. Подготовка

Другие названия и синонимы

CT of the mammary glands.
КТ молочных желез

Описание

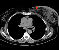
 Компьютерная томография (КТ) молочных желез. Метод компьютерной рентгенодиагностики, позволяющий сканировать ткани молочной железы послойно. В компьютерной томографии пациент лежит в цилиндрической камере с источником рентгеновского излучения и датчиком в горизонтальной плоскости. Изображение каждого среза передается на компьютер, где оно обрабатывается и объединяется с другими данными. КТ молочных желез дополняет обзорную маммографию и служит для выяснения распространенности и функциональности опухолевого процесса, интереса лимфатических узлов, прорастания опухоли в стенку грудной клетки.

Дополнительные факты

 Впервые томография была проведена в 1960-х годах, когда американский ученый Кормак разработал томографические поисковые алгоритмы, а английский физик Хаунсфилд, используя эту информацию, разработал первый томограф. В 1979 году создатели получили Нобелевскую премию. За прошедший период техника сделала шаг вперед. На сегодняшний день исследование успешно применяется в различных областях медицины. Во время операции устройство излучает рентгеновские лучи, которые проходят через тело пациента, отсканированные данные передаются на компьютер. Там они обрабатываются, происходит визуализация молочных желез в разных проекциях. Во время исследования диагност может изменить толщину среза до 1 Это позволяет выявлять даже незначительные изменения, корректировать ранние стадии развития опухоли и выявлять небольшие метастазы.
 КТ молочных желез дает наиболее точную клиническую информацию о состоянии здоровья пациента. Поэтому это имеет особое значение в диагностике патологии молочной железы. Процедура в основном назначается врачами и онкологами в случае подозрения на рак молочной железы. Тест обычно не используется в профилактических целях. По сравнению с ультразвуком и маммографией компьютерная томография более информативна. С его помощью вы можете визуализировать не только мягкие ткани, но и нижележащие структуры (мышцы, хрящи, кости). Также во время обследования диагност обращает внимание на состояние лимфатических узлов с целью выявления метастазов. Кроме того, дополнительные манипуляции могут проводиться под контролем специалиста по КТ, в частности, для изъятия материала для биопсии после обнаружения новообразований.
КТ молочных желез

Показания к применению

 Компьютерная томография молочной железы используется в качестве дополнительного диагностического метода, когда другие анализы, в частности УЗИ и маммография, не были информативными. Показанием к этой манипуляции может быть наличие боли, оттока из сосков, деформация молочной железы неизвестной этиологии. С помощью КТ можно выявить опухоль, определить уровень ее злобности, диагностировать пороки развития молочных желез. Эта методика определяется и, при необходимости, для определения работоспособности опухоли, для выявления метастазов. Кроме того, специалисты используют КТ молочной железы для контроля эффективности лечения после химиотерапии и лучевой терапии. Иногда рекомендуется проводить манипуляции для оценки состояния тканей после операции, чтобы предотвратить возможное рецидивирование рака молочной железы. Помимо диагностики опухолей, томография может быть использована для выявления ушибов, гематом, инфильтратов, абсцессов и мокроты молочных желез.

Противопоказания

 Абсолютным противопоказанием к КТ молочной железы является беременность. Это связано с негативным влиянием рентгеновских лучей на плод и возможным нарушением развития плода. Вы не можете выполнить исследование, и у детей в возрасте до 12 лет, вплоть до указанного возраста, процедура может использоваться только при наличии угрожающих жизни условий. Техника не используется, когда вес пациента превышает нагрузочную способность КТ-сканера. Этот метод диагностики назначают с осторожностью при наличии множественной миеломы. Контрастное исследование не проводится при серьезных патологиях почек, при аллергии на компоненты препарата. Для кормящих женщин процедура может быть выполнена только в том случае, если ребенка переводят на искусственное вскармливание в течение 2 дней.

Подготовка

 Исследование не требует специальной подготовки. Если вы манипулируете контрастным веществом, вам не следует есть за 5-6 часов до процедуры. Перед компьютерной томографией молочных желез весь металлический аксессуар должен быть удален, так как это может затенить область исследования. Банковские карты, ключи, мобильные телефоны и другие предметы следует оставлять в кабинете врача. Кроме того, перед процедурой пациент должен носить хлопчатобумажное нижнее белье или специальное стерильное платье, которое будет выпущено непосредственно перед сканированием.
42a96bb5c8a2acfb07fc866444b97bf1
Доступно только при использовании PRO аккаунта
Модератор контента: Васин А.С.


  1. Киберис НЕ является интернет-магазином и НЕ осуществляет закупку, хранение, продажу и доставку препаратов. Ресурс выступает лишь в роли посредника между вами и производителем препаратов или аптечными пунктами, которые и осуществляют поставку.
  2. На Киберис размещены описания препаратов, часть из которых предназначена только для врачей. Данная информация не может быть использована пациентами для принятия решения об использовании препаратов, их отмене или коррекции дозировок.
  3. Ничто в представленной информации не должно быть истолковано как призыв использовать данные препараты.
  4. К Киберис не могут быть обращены претензии по поводу любого ущерба или вреда, понесенного в результате использования размещенной на сайте информации.