Другие названия и синонимы
Lung radiography.
Описание
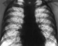
Рентгенография легких. Метод общего рентгенологического обследования, заключающийся в получении рентгенограмм в прямой и боковой (правой или левой) проекциях. Выбор проекции определяется задачей исследования и локализацией патологического процесса. Рентгенография легких в проекциях используется для диагностики опухолевых, воспалительных, системных заболеваний, пороков развития, травматических повреждений трахеобронхиального дерева, плевры, легких, сосудов и сердца, динамического наблюдения за течением заболеваний. При выявлении опухолей, системных поражений, лимфоденопатии, рентгенографии дополняется МРТ, сцинтиграфия, КТ для точной проверки диагноза.
|
|
Дополнительные факты
Основой рентгенографии грудной клетки является способность рентгеновских лучей проходить через непрозрачные плотные среды и в различной степени поглощаться ими в зависимости от физических и химических свойств тканей. Естественный контраст изображения при рентгенографии легких обусловлен различной плотностью и химическим составом структур полости грудной клетки, а, следовательно, и их неравномерным поглощением рентгеновских лучей. Рентгенография грудной клетки требует квалифицированной интерпретации. Радиолог, который оценивает результаты рентгенографии легких, должен быть хорошо знаком с топографической анатомией органов грудной полости, течением патологических процессов и механизмом формирования рентгенографического изображения.
Рентгенография и рентгенография легких в пневмологии являются следственными исследованиями, которые диктуют необходимость дальнейшего детального обследования. Рентгеноскопия необходима для изучения морфологического изображения легких и их функционального состояния (характера движений, положения и амплитуды смещения отверстия, движения теней ребер, изменения контраста легочного фона при дыхании, динамических изменений в образованиях дополнительная тень ). При рентгенографии легких отображаются только структурные морфологические изменения. Однако рентген позволяет выявить более тонкие изменения в ткани легкого, обладает большей четкостью изображения и способностью документировать патологический процесс.
По сравнению с флюорографией рентгенографическое исследование легких предполагает более низкую эффективную дозу облучения (0,1 мЗв, соответственно, по сравнению с 0,3 мЗв), имеет большой размер изображения (30х40 см), но требует больших затрат времени и средств. На основании рентгенографии легких принимается решение о желательности дальнейшей уточнения диагностики - томографии, КТ легких, МРТ легких, бронхографии, ангиопульмонографии ;
Рентгенография и рентгенография легких в пневмологии являются следственными исследованиями, которые диктуют необходимость дальнейшего детального обследования. Рентгеноскопия необходима для изучения морфологического изображения легких и их функционального состояния (характера движений, положения и амплитуды смещения отверстия, движения теней ребер, изменения контраста легочного фона при дыхании, динамических изменений в образованиях дополнительная тень ). При рентгенографии легких отображаются только структурные морфологические изменения. Однако рентген позволяет выявить более тонкие изменения в ткани легкого, обладает большей четкостью изображения и способностью документировать патологический процесс.
По сравнению с флюорографией рентгенографическое исследование легких предполагает более низкую эффективную дозу облучения (0,1 мЗв, соответственно, по сравнению с 0,3 мЗв), имеет большой размер изображения (30х40 см), но требует больших затрат времени и средств. На основании рентгенографии легких принимается решение о желательности дальнейшей уточнения диагностики - томографии, КТ легких, МРТ легких, бронхографии, ангиопульмонографии ;
Показания к применению
Рентгенография используется для профилактического обследования легких и выявления скрытых процессов - воспалительных, инфекционных, опухолевых, дегенеративно-дистрофических, системных, профессиональных заболеваний, аномалий бронхолегочной, сосудистой и сердечной систем без клинических симптомов. Рентгенологическое исследование легких может быть назначено при жалобах на постоянный кашель, одышку, торакалгию, легкую лихорадку, одышку, дыхательную недостаточность, плевральную настороженность.
Результат рентгенографии легких в большинстве случаев позволяет проверить конкретную нозологическую форму (пневмония, плеврит, бронхит, туберкулез, медиастинит, эмфизема, ателектаз, аневризма крупных сосудов и сердца). При выявлении опухолей, плеврита, лимфаденопатии, рентгенографии легких требуются другие методы диагностики (биопсия лимфатического узла, бронхоскопия, пункция плевры ). Рентгенография легких показана для поражений грудной клетки, чтобы обнаружить переломы ребер, пневмоторакс, гемоторакс и хилоторакс. Рентгенография легких позволяет контролировать течение бронхолегочной патологии. Рентгенография грудной клетки не проводится с крайней степенью тяжести состояния, беременности, в период лактации.
Результат рентгенографии легких в большинстве случаев позволяет проверить конкретную нозологическую форму (пневмония, плеврит, бронхит, туберкулез, медиастинит, эмфизема, ателектаз, аневризма крупных сосудов и сердца). При выявлении опухолей, плеврита, лимфаденопатии, рентгенографии легких требуются другие методы диагностики (биопсия лимфатического узла, бронхоскопия, пункция плевры ). Рентгенография легких показана для поражений грудной клетки, чтобы обнаружить переломы ребер, пневмоторакс, гемоторакс и хилоторакс. Рентгенография легких позволяет контролировать течение бронхолегочной патологии. Рентгенография грудной клетки не проводится с крайней степенью тяжести состояния, беременности, в период лактации.
Оценка результатов
Рентгенологическое исследование легких четко показывает тень сердца и крупных сосудов, поля легких и ребер. Обычно легочные поля определяются без дополнительных теней, сосудистый рисунок умеренно выражен, размер сердца не увеличен. Наличие крупных очаговых теней может указывать на тяжелое воспаление легких и ателектаз легкого при бронхообструкции с опухолью. Для мелких очаговых теней должно быть подозрение на туберкулез легких, саркоидоз, пневмокониоз или распространение опухолевого процесса. Легкие в легких могут характеризовать туберкулез легких, доброкачественные и злокачественные опухоли, нагноения, кисты.
При усилении легочного рисунка, обнаруженного на рентгенограмме легких, есть основания думать о длительном течении бронхита, профессиональных заболеваниях легких. Накопление жидкости в плевральной полости указывает на экссудативный плеврит. Повышение прозрачности легочной ткани характеризует эмфизему легких. Увеличение тени средостения наблюдается при опухолях средостения, саркоидозе, тимоме, лимфоме. Увеличенная тень сердца может быть признаком кардиомиопатии, сердечной недостаточности, порока сердца. Основываясь на выявлении и сочетании рентгенографических признаков, рентгенолог делает заключение или предложение относительно наличия заболевания. При сравнении данных рентгенографии легких с жалобами, клиническим заболеванием и другими объективными данными пульмонолог ставит диагноз.
При усилении легочного рисунка, обнаруженного на рентгенограмме легких, есть основания думать о длительном течении бронхита, профессиональных заболеваниях легких. Накопление жидкости в плевральной полости указывает на экссудативный плеврит. Повышение прозрачности легочной ткани характеризует эмфизему легких. Увеличение тени средостения наблюдается при опухолях средостения, саркоидозе, тимоме, лимфоме. Увеличенная тень сердца может быть признаком кардиомиопатии, сердечной недостаточности, порока сердца. Основываясь на выявлении и сочетании рентгенографических признаков, рентгенолог делает заключение или предложение относительно наличия заболевания. При сравнении данных рентгенографии легких с жалобами, клиническим заболеванием и другими объективными данными пульмонолог ставит диагноз.