Продолжая работу с сайтом, вы разрешаете использование сookies и соглашаетесь с политикой конфиденциальности.
.,о.,р..и.:г,.и.,н.;н.,а;,л.. .,н.:а,.х.,о.,д.;и.,т..с.:я,, ..н.;а., .,k;,i..b.:e,;r.,i.,s.,.;.r.:u,

Рентгенография грудной клетки

Средняя цена: ≈1375₽
Лечат в 769 клиниках
X
X

Дерево медицинских услуг

  1. Описание
  2. Дополнительные факты
  3. Номенклатурные коды

Другие названия и синонимы

Chest X-ray.
Рентгенография грудной клетки

Описание

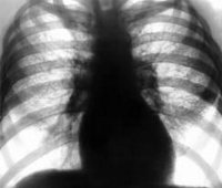
 Рентгенограмма грудной клетки. Рентгенологическое исследование, целью которого является оценка состояния костных структур, выявление патологических процессов в плевральной полости и легочной ткани. Он назначается при подозрении на гемо- или пневмоторакс, а также для исключения этих патологий при множественных переломах ребер и сопутствующей травме. Он проводится для контроля состояния легких во время лечения. Выполняется в одной (обзорной) или двух проекциях. Обзорное исследование позволяет установить местоположение переломов, выявить источник воспаления, уровень жидкости или газа. Вторая проекция позволяет уточнить характер переломов, определить локализацию ограниченного гемо- или пневмоторакса при наличии плевральных спаек.

Дополнительные факты

 Рентгенография грудной клетки в травматологии назначается при переломах одного или двух ребер, осложненных гемо- или пневмотораксом, а также при множественных переломах ребер (3 и более ребер). В последнем случае исследование проводится даже при отсутствии клинических признаков гемоторакса и пневмоторакса, поскольку вероятность развития этих осложнений при множественных поражениях ребер очень высока, а сами осложнения могут представлять непосредственную опасность для жизни пациента.
 Общая рентгенография также проводится в случаях тяжелой сопутствующей травмы, когда клинические признаки повреждения ребер и легких могут маскироваться патологическими симптомами со стороны других органов и систем. Кроме того, рентгенография грудной клетки может быть выполнена во время лечения пациента (для мониторинга состояния легких, если есть подозрение на гемоторакс, пневмоторакс или посттравматическую пневмонию). При наличии угрожающих жизни состояний противопоказаний нет. В других случаях методика не рекомендуется применять беременным женщинам и детям детского возраста.
Рентгенография грудной клетки

Номенклатурные коды

42a96bb5c8a2acfb07fc866444b97bf1
Доступно только при использовании PRO аккаунта
Модератор контента: Васин А.С.


  1. Киберис НЕ является интернет-магазином и НЕ осуществляет закупку, хранение, продажу и доставку препаратов. Ресурс выступает лишь в роли посредника между вами и производителем препаратов или аптечными пунктами, которые и осуществляют поставку.
  2. На Киберис размещены описания препаратов, часть из которых предназначена только для врачей. Данная информация не может быть использована пациентами для принятия решения об использовании препаратов, их отмене или коррекции дозировок.
  3. Ничто в представленной информации не должно быть истолковано как призыв использовать данные препараты.
  4. К Киберис не могут быть обращены претензии по поводу любого ущерба или вреда, понесенного в результате использования размещенной на сайте информации.