Продолжая работу с сайтом, вы разрешаете использование сookies и соглашаетесь с политикой конфиденциальности.
.,о.,р..и.:г,.и.,н.;н.,а;,л.. .,н.:а,.х.,о.,д.;и.,т..с.:я,, ..н.;а., .,k;,i..b.:e,;r.,i.,s.,.;.r.:u,

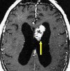
Удаление опухоли мозжечка и IV желудочка

Средняя цена: ≈138220₽
Лечат в 47 клиниках
X
X

Дерево медицинских услуг

Другие названия и синонимы

Removal of cerebellar and IV ventricular tumors.
Удаление опухоли мозжечка и IV желудочка

Описание

 Удаление опухоли из мозжечка и IV желудочка выполняется для предотвращения или устранения окклюзионной гидроцефалии в результате оттока поврежденной спинномозговой жидкости, сопровождающейся смещением мозжечка и ствола головного мозга в затылочное отверстие и сдавливанием. Если невозможно радикально удалить новообразование, его частично иссекают или декомпрессию задней черепной ямки выполняют путем резекции I дуги шейного позвонка и края затылочного отверстия. Если невозможно восстановить отток спинномозговой жидкости во время хирургического вмешательства, используется операция шунтирования: вентрикулостомия третьего желудочка, анастомоз четвертого желудочка с мозжечково-мозговым резервуаром, боковой дренаж бокового желудочка.

Номенклатурные коды

42a96bb5c8a2acfb07fc866444b97bf1
Доступно только при использовании PRO аккаунта
Модератор контента: Васин А.С.


  1. Киберис НЕ является интернет-магазином и НЕ осуществляет закупку, хранение, продажу и доставку препаратов. Ресурс выступает лишь в роли посредника между вами и производителем препаратов или аптечными пунктами, которые и осуществляют поставку.
  2. На Киберис размещены описания препаратов, часть из которых предназначена только для врачей. Данная информация не может быть использована пациентами для принятия решения об использовании препаратов, их отмене или коррекции дозировок.
  3. Ничто в представленной информации не должно быть истолковано как призыв использовать данные препараты.
  4. К Киберис не могут быть обращены претензии по поводу любого ущерба или вреда, понесенного в результате использования размещенной на сайте информации.