Продолжая работу с сайтом, вы разрешаете использование сookies и соглашаетесь с политикой конфиденциальности.
.,о.,р..и.:г,.и.,н.;н.,а;,л.. .,н.:а,.х.,о.,д.;и.,т..с.:я,, ..н.;а., .,k;,i..b.:e,;r.,i.,s.,.;.r.:u,

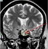
Удаление опухоли хиазмально-селлярной области

Средняя цена: ≈119085₽
Лечат в 18 клиниках
X
X

Дерево медицинских услуг

Другие названия и синонимы

Removal of a tumor of the chiasmal-cellaric region.
Удаление опухоли хиазмально-селлярной области

Описание

 Удаление опухоли в хиазматически-седалищной области выполняется при непрерывном росте новообразования, отсутствии проводимого лучевого или гормонального лечения, прогрессирующем ухудшении зрения, компрессии новообразования третьего желудочка с нарушенным оттоком спинномозговой жидкости. При опухолях турецкого седла с небольшим выходом за его пределы операции выполняются через нос, открывающий основную грудь. При значительном прорастании новообразования в структурах, примыкающих к турецкому седлу, и в новообразованиях хиазмы используется сверление лобной кости черепа. Прорастание опухоли в кавернозном синусе увеличивает вероятность газовой эмболии и массивного кровотечения во время операции.

Номенклатурные коды

42a96bb5c8a2acfb07fc866444b97bf1
Доступно только при использовании PRO аккаунта
Модератор контента: Васин А.С.


  1. Киберис НЕ является интернет-магазином и НЕ осуществляет закупку, хранение, продажу и доставку препаратов. Ресурс выступает лишь в роли посредника между вами и производителем препаратов или аптечными пунктами, которые и осуществляют поставку.
  2. На Киберис размещены описания препаратов, часть из которых предназначена только для врачей. Данная информация не может быть использована пациентами для принятия решения об использовании препаратов, их отмене или коррекции дозировок.
  3. Ничто в представленной информации не должно быть истолковано как призыв использовать данные препараты.
  4. К Киберис не могут быть обращены претензии по поводу любого ущерба или вреда, понесенного в результате использования размещенной на сайте информации.