Продолжая работу с сайтом, вы разрешаете использование сookies и соглашаетесь с политикой конфиденциальности.
.,о.,р..и.:г,.и.,н.;н.,а;,л.. .,н.:а,.х.,о.,д.;и.,т..с.:я,, ..н.;а., .,k;,i..b.:e,;r.,i.,s.,.;.r.:u,

Рентгенография тазобедренных суставов ребенку

Средняя цена: ≈1356₽
Лечат в 252 клиниках
X
X

Дерево медицинских услуг

Другие названия и синонимы

Radiography of the hip joints of the child.
Рентгенография тазобедренных суставов ребенку

Описание

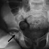
 Рентгенография тазобедренных суставов ребенка проводится в детской травматологии и ортопедии, чтобы исключить дисплазию тазобедренного сустава: врожденный до-социальный вывих, подвывих, вывих и рентгенологически незрелые суставы. Как правило, рентгенография тазобедренных суставов ребенка проводится не раньше, чем в возрасте 3 месяцев; до этого ультразвук является предпочтительным. При считывании рентгеновских изображений используются специальные схемы, учитывающие возрастные характеристики костной системы ребенка (схема Рейнберга, Омбредана, Кальве и Шентона, Хильгенрейн). Для исследования тазобедренных суставов используются прямые переднезадние и боковые проекции. Обязательным техническим требованием для исследования является строгая защита половых желез ребенка с помощью свинцовой чаши.

Номенклатурные коды

42a96bb5c8a2acfb07fc866444b97bf1
Доступно только при использовании PRO аккаунта
Модератор контента: Васин А.С.


  1. Киберис НЕ является интернет-магазином и НЕ осуществляет закупку, хранение, продажу и доставку препаратов. Ресурс выступает лишь в роли посредника между вами и производителем препаратов или аптечными пунктами, которые и осуществляют поставку.
  2. На Киберис размещены описания препаратов, часть из которых предназначена только для врачей. Данная информация не может быть использована пациентами для принятия решения об использовании препаратов, их отмене или коррекции дозировок.
  3. Ничто в представленной информации не должно быть истолковано как призыв использовать данные препараты.
  4. К Киберис не могут быть обращены претензии по поводу любого ущерба или вреда, понесенного в результате использования размещенной на сайте информации.