Другие названия и синонимы
Upper mesenteric artery syndrome, Артериомезентериальная компрессия двенадцатиперстной кишки, Синдром Уилки.
МКБ-10 коды
|
|
Описание
Синдром верхней брыжеечной артерии (IAS). Это тип обструкции двенадцатиперстной кишки из-за дуоденального давления 12 между верхней брыжеечной артерией и брюшной аортой. Заболевание проявляется болью в животе после еды, тошнотой, рвотой и ощущением в желудке. Для диагностики используются инструментальные методы: рентгенография желудочно-кишечного тракта с контрастированием полости рта, ЭФГДС, УЗИ и комбинированная компьютерная томография. Лечение в основном консервативное: назначают щадящую диету и медикаменты (прокинетики, спазмолитики, ферменты). В случае декомпенсированной версии синдрома показано хирургическое вмешательство.
Дополнительные факты
В медицинской литературе SVBA имеет несколько синонимов: артериомезентериальное или сосудистое сдавление двенадцатиперстной кишки, синдром Вилки. Заболевание встречается редко, истинная распространенность неизвестна из-за сложности диагностических исследований. Частота синдрома верхней брыжеечной артерии, по данным рентгенографии прохода бария, составляет 0,013-0,3%. У женщин заболевание выявляется в 2 раза чаще. В 75% случаев компрессия сосудов наблюдается у детей старше 10 лет, подростков и молодых людей в возрасте до 30 лет.
Причины
Причины.
Основным этиологическим фактором синдрома является индивидуальная анатомия желудочно-дуоденальной зоны. Характерный угол около 20-25 ° (по сравнению с нормальным 30-60 °) между брюшной аортой и верхней брыжеечной артерией, вследствие чего пространство между двумя сосудами уменьшается до 10 мм или менее. Существует также высокое расположение чеховской связки, которая тянет горизонтальную часть двенадцатиперстной кишки 12 (двенадцатиперстной кишки) к вершине аортомезентериального угла.• резкое снижение массы тела, сопровождающееся уменьшением объема висцерального жира - при уменьшении расстояния между аортой и брыжеечной артерией;
• поясничный лордоз, сколиоз;
• слабость мышц живота;
• строгий постельный режим после травм и операций.
Подростки, которые испытывают быстрый скачкообразный рост без компенсаторного увеличения веса, наиболее подвержены развитию синдрома верхней брыжеечной артерии.
Патогенез
Хроническая дуоденальная непроходимость, связанная с сдавлением кишечника через верхнюю брыжеечную артерию, развивается в 3 этапа. Этап компенсации характеризуется неполным перекрытием органа и повышением давления в просвете, что облегчает прохождение пищи к нижележащим отделам желудочно-кишечного тракта. В этот период наблюдаются постоянные нарушения трофики и микроциркуляции кишечной стенки, уменьшается поток желчи и панкреатических ферментов.
На стадии субкомпенсации перистальтика двенадцатиперстной кишки уменьшается. Обычно содержимое заполняется в желудок, проток поджелудочной железы или желчных протоков. Наиболее сложным этапом является декомпенсация, которая проявляется в дуоденостазе. Характерным является патологическое расширение желудка и начальной кишки наряду с полной обструкцией сегмента двенадцатиперстной кишки через артерию.
На стадии субкомпенсации перистальтика двенадцатиперстной кишки уменьшается. Обычно содержимое заполняется в желудок, проток поджелудочной железы или желчных протоков. Наиболее сложным этапом является декомпенсация, которая проявляется в дуоденостазе. Характерным является патологическое расширение желудка и начальной кишки наряду с полной обструкцией сегмента двенадцатиперстной кишки через артерию.
Клиническая картина
В большинстве случаев синдром верхней брыжеечной артерии является хроническим, и его симптомы постепенно усиливаются. Острое начало заболевания возможно у пациентов с травмами позвоночника, ортопедическими проблемами или ожогами - состояниями, которые требуют более длительной иммобилизации. Острая версия синдрома показывает сильную боль в животе и кишечную непроходимость.
Основным симптомом хронического сдавления двенадцатиперстной кишки с верхней брыжеечной артерией является боль в эпигастрии, возникающая через 20-40 минут после еды (постпрандиальный болевой синдром). Иногда боль возникает сразу после еды. Боль достаточно ощутима, заставляя пациентов есть небольшими порциями или даже умирать с голоду. Чтобы уменьшить дискомфорт, человек занимает принудительное положение: он находится на левой стороне или на животе и находится в положении колена и локтя.
Боль сопровождается тошнотой и рвотой, чувством полного желудка. Рвота содержит частично переваренную пищу с включениями желчи. Пациенты чувствуют облегчение после рвоты. Горькая регургитация, часто беспокоит изжога. Чувство раннего сытости характерно. Стадия декомпенсации характеризуется сильной потерей веса до истощения. Апатия развивается при хроническом течении синдрома, снижается физическая и умственная работоспособность.
Ассоциированные симптомы: Горькая отрыжка. Изжога. Изжога в груди. Отрыжка. Рвота. Рвота желчью. Рвота пищей. Тошнота. Тошнота после еды.
Основным симптомом хронического сдавления двенадцатиперстной кишки с верхней брыжеечной артерией является боль в эпигастрии, возникающая через 20-40 минут после еды (постпрандиальный болевой синдром). Иногда боль возникает сразу после еды. Боль достаточно ощутима, заставляя пациентов есть небольшими порциями или даже умирать с голоду. Чтобы уменьшить дискомфорт, человек занимает принудительное положение: он находится на левой стороне или на животе и находится в положении колена и локтя.
Боль сопровождается тошнотой и рвотой, чувством полного желудка. Рвота содержит частично переваренную пищу с включениями желчи. Пациенты чувствуют облегчение после рвоты. Горькая регургитация, часто беспокоит изжога. Чувство раннего сытости характерно. Стадия декомпенсации характеризуется сильной потерей веса до истощения. Апатия развивается при хроническом течении синдрома, снижается физическая и умственная работоспособность.
Ассоциированные симптомы: Горькая отрыжка. Изжога. Изжога в груди. Отрыжка. Рвота. Рвота желчью. Рвота пищей. Тошнота. Тошнота после еды.
Возможные осложнения
При хроническом нарушении проходимости двенадцатиперстной кишки присоединяется желудочная патология. У 50% больных определяются гиперхлоргидрия и гиперацидный гастрит, которые в 25-45% случаев переходят в язвенную болезнь. В некомпенсированной фазе наблюдается дисфункция пилорического сфинктера с последующим образованием дуодено-желудочного рефлюкса. Повреждение стенки желудка желчными кислотами происходит в виде рефлюкс-гастрита.
Декомпенсированная стадия сдавления двенадцатиперстной кишки верхней брыжеечной артерией осложняется хроническим дуоденитом. Воспалительный процесс обусловлен свободной циркуляцией инфицированного желудочного содержимого в двенадцатиперстной кишке и наоборот. В запущенных случаях синдрома тонус сфинктера Одди снижается и застойное дуоденальное содержимое поступает в протоки. В результате развивается хронический холецистопанкреатит, ухудшающий состояние больных.
Декомпенсированная стадия сдавления двенадцатиперстной кишки верхней брыжеечной артерией осложняется хроническим дуоденитом. Воспалительный процесс обусловлен свободной циркуляцией инфицированного желудочного содержимого в двенадцатиперстной кишке и наоборот. В запущенных случаях синдрома тонус сфинктера Одди снижается и застойное дуоденальное содержимое поступает в протоки. В результате развивается хронический холецистопанкреатит, ухудшающий состояние больных.
Диагностика
Основываясь на физикальном обследовании, гастроэнтерологу сложно заподозрить атеросклеротическую компрессию из-за отсутствия патогномоничных симптомов. Сосудистый характер обструкции можно предположить у людей с астеническим телосложением, с соматическими или онкологическими нарушениями. Диагностика синдрома верхней брыжеечной артерии основана на использовании ряда инструментальных методов диагностики:
• Рентгенологическое обследование. Рентгенография с контрастными средами выявляет застой бария в горизонтальной части двенадцатиперстной кишки, сдавленной артерией, и задержку опорожнения желудка (до 4-6 часов). Увеличенная верхняя двенадцатиперстная кишка и стойкий дуоденальный рефлюкс также были замечены. Другим типичным симптомом является уменьшение перистальтики.
При СВБА обнаруживается расширение желудка, а также начальной части двенадцатиперстной кишки с патологическим сужением ее дистального отдела. При эндоскопическом исследовании визуализируется гиперемированная и отечная слизистая оболочка гастродуоденальной области. Неудача процесса обозначена зиянием пилорического сфинктера.
• УЗИ гастродуоденальной области. Ультразвук необходим для мониторинга сократительной функции желудка и двенадцатиперстной кишки в режиме реального времени. Допплерография проводится для оценки состояния брюшной аорты, брыжеечных артерий, измерения угла сосудов.
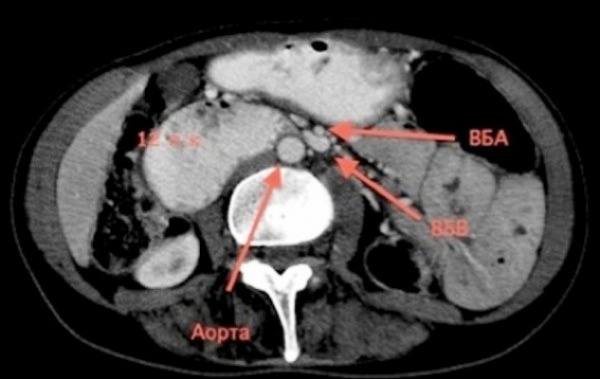
• КТ брюшной полости. Контраст пищеварительного канала с одновременной ангиографией брюшной части аорты назначают для проверки диагноза в сомнительных случаях. Исследование проводится для оценки стадии патологического процесса, измерения просвета двенадцатиперстной кишки, величины угла, по которому аорта и форма верхней брыжеечной артерии.
КТ брюшной полости. Артериомезентериальная компрессия.
• Рентгенологическое обследование. Рентгенография с контрастными средами выявляет застой бария в горизонтальной части двенадцатиперстной кишки, сдавленной артерией, и задержку опорожнения желудка (до 4-6 часов). Увеличенная верхняя двенадцатиперстная кишка и стойкий дуоденальный рефлюкс также были замечены. Другим типичным симптомом является уменьшение перистальтики.
При СВБА обнаруживается расширение желудка, а также начальной части двенадцатиперстной кишки с патологическим сужением ее дистального отдела. При эндоскопическом исследовании визуализируется гиперемированная и отечная слизистая оболочка гастродуоденальной области. Неудача процесса обозначена зиянием пилорического сфинктера.
• УЗИ гастродуоденальной области. Ультразвук необходим для мониторинга сократительной функции желудка и двенадцатиперстной кишки в режиме реального времени. Допплерография проводится для оценки состояния брюшной аорты, брыжеечных артерий, измерения угла сосудов.
• КТ брюшной полости. Контраст пищеварительного канала с одновременной ангиографией брюшной части аорты назначают для проверки диагноза в сомнительных случаях. Исследование проводится для оценки стадии патологического процесса, измерения просвета двенадцатиперстной кишки, величины угла, по которому аорта и форма верхней брыжеечной артерии.
КТ брюшной полости. Артериомезентериальная компрессия.
|
|
Лечение
На компенсированной и субкомпенсированной стадиях сдавливания сосудов проводят диетотерапию и медикаментозное лечение. Основными задачами консервативных мероприятий являются усиление рациона питания и снижение степени обструкции двенадцатиперстной кишки. Терапевтическая диета включает прием жидкой, полужидкой и протертой пищи небольшими порциями. Ряд лекарств используется для исправления состояния:
Лекарства стимулируют моторику желудочно-кишечного тракта и способствуют более быстрому развитию химуса по пищеварительному тракту. Прокинетики нормализуют тонус мышечных сфинктеров и предотвращают дуоденальный рефлюкс.
Их назначают короткими курсами перед приемом прокинетиков для снижения внутриполостного давления в двенадцатиперстной кишке 12, которая сдавлена брыжеечной артерией. Препарат быстро снимает боль и дискомфорт в области желудка.
• Ферментные препараты. Заместительная терапия ферментами поджелудочной железы используется для улучшения пищеварительной функции. Лекарства помогают нормализовать стул, уменьшить вздутие живота и диспепсические явления.
• Антибактериальные средства. Для снижения риска гастродуоденита при дуоденальном рефлюксе рекомендуется использовать кишечные антисептики, которые не оказывают системного действия. Для подавления бактериальной инфекции показаны фторхинолоны, макролиды.
Критериями отбора пациентов для оперативного вмешательства являются прогрессирующая потеря массы тела, выраженный дуоденостаз, развитие осложнений ВАШ. Наиболее часто выполняется дуоденоеюностомия, которая позволяет полностью устранить симптомы у 90% пациентов. В современной абдоминальной хирургии лапароскопическая хирургия используется для отделения связки от Трента и уменьшения компрессии двенадцатиперстной кишки.
Лекарства стимулируют моторику желудочно-кишечного тракта и способствуют более быстрому развитию химуса по пищеварительному тракту. Прокинетики нормализуют тонус мышечных сфинктеров и предотвращают дуоденальный рефлюкс.
Их назначают короткими курсами перед приемом прокинетиков для снижения внутриполостного давления в двенадцатиперстной кишке 12, которая сдавлена брыжеечной артерией. Препарат быстро снимает боль и дискомфорт в области желудка.
• Ферментные препараты. Заместительная терапия ферментами поджелудочной железы используется для улучшения пищеварительной функции. Лекарства помогают нормализовать стул, уменьшить вздутие живота и диспепсические явления.
• Антибактериальные средства. Для снижения риска гастродуоденита при дуоденальном рефлюксе рекомендуется использовать кишечные антисептики, которые не оказывают системного действия. Для подавления бактериальной инфекции показаны фторхинолоны, макролиды.
Критериями отбора пациентов для оперативного вмешательства являются прогрессирующая потеря массы тела, выраженный дуоденостаз, развитие осложнений ВАШ. Наиболее часто выполняется дуоденоеюностомия, которая позволяет полностью устранить симптомы у 90% пациентов. В современной абдоминальной хирургии лапароскопическая хирургия используется для отделения связки от Трента и уменьшения компрессии двенадцатиперстной кишки.
Список литературы
1. Синдром верхней брыжеечной артерии. Клинический случай в педиатрической практике/ Н.М. Тихон, М.П. Волкова, А.В. Хмеленко, А.И. Гринь // Вестник Витебского государственного медицинского университета. 2016.
2. Синдром верхней мезентериальной артерии/ М.Б. Щербинина, В.Н. Гладун, С.И. Кожан, А.В. Семашко, С.И. Фещенко// Современная гастроэнтерология. 2012.
3. Синдрома верхней мезентериальной артерии (синдром Уилки): клиническое наблюдение/ А. Графов, М.А. Халилов, Н.Н. Шевердин, А.Г. Алексеев // Российский вестник детской хирургии, анестезиологии и реаниматологии. 2015.
4. Хроническая дуоденальная непроходимость. Звягинцева, И.И. Шаргород// Восточноевропейский журнал внутренней и семейной медицины. №2 - 2016.
2. Синдром верхней мезентериальной артерии/ М.Б. Щербинина, В.Н. Гладун, С.И. Кожан, А.В. Семашко, С.И. Фещенко// Современная гастроэнтерология. 2012.
3. Синдрома верхней мезентериальной артерии (синдром Уилки): клиническое наблюдение/ А. Графов, М.А. Халилов, Н.Н. Шевердин, А.Г. Алексеев // Российский вестник детской хирургии, анестезиологии и реаниматологии. 2015.
4. Хроническая дуоденальная непроходимость. Звягинцева, И.И. Шаргород// Восточноевропейский журнал внутренней и семейной медицины. №2 - 2016.