Другие названия и синонимы
Angiodysplasia of the colon.
МКБ-10 коды
|
|
Описание
Ангиодисплазия толстой кишки представляет собой сосудистую эктазию, дегенеративное заболевание, при котором расширяются и деформируются сосуды, кровоснабжающие дистальный отдел кишечника. Основными симптомами заболевания являются периодические кровянистые выделения из прямой кишки, которые могут привести к развитию анемии. Для диагностики патологии используются общий анализ крови, анализ кала на скрытую кровь, колоноскопия, ангиография мезентериальных сосудов, ирригоскопия и радионуклидная сцинтиграфия толстого кишечника. Наиболее эффективны малоинвазивные хирургические методы лечения, консервативные методики находятся на стадии разработки.
Дополнительные факты
Ангиодисплазия толстой кишки является дегенеративным заболеванием, в основе которого лежит стойкая дилатация кровеносных сосудов с их деформацией и истончением. Болезнь выявляется преимущественно у пожилых людей в возрасте старше 60 лет. Ангиодисплазия одинаково часто встречается у мужчин и женщин. Данная патология является причиной 4% всех случаев кровотечений из толстого кишечника. Заболевание в большинстве случаев не приводит к летальному исходу, но значительно ухудшает качество жизни пациентов. Диагностикой и лечением этой патологии занимается врач проктолог. Современная проктология разрабатывает инновационные методы лечения заболевания, которые бы могли эффективно препятствовать кровотечениям из толстого кишечника.
Причины
На сегодняшний день точные причины ангиодисплазии кишечника до конца не ясны. Ангиодисплазию могут вызывать постоянные спазмы толстого кишечника, при которых происходит расширение кровеносных сосудов. Часто причиной данной патологии являются болезни желудочно-кишечного тракта, сердечно-сосудистые заболевания, патология почек и легких, проблемы с кровеносными сосудами кишечника и болезнь Виллебранда. Независимо от причины, приобретенная ангиодисплазия представляет собой заболевание, при котором наблюдается патологическое строение нормально сформированных кровеносных сосудов кишечника. Ученые также называют подобное состояние сосудистыми эктазиями или телеангиэктазиями.
По мнению большинства исследователей, под влиянием различных причин наступает периодическая обструкция вен подслизистого слоя, которая является следствием спазма гладкой мускулатуры. Все это с течением времени приводит к дилатации вен и капиллярной сети. На этом фоне и формируется приобретенная ангиодисплазия толстой кишки. Данное патологическое состояние может сопровождаться ишемией, которая усугубляет течение заболевания. В ряде случаев ангиодисплазия толстой кишки может быть врожденной. Эта патология представляет собой наличие в кишечнике сосудистого образования - сосудистой мальформации. Врожденный вариант ангиодисплазии считается более редкой патологией.
По мнению большинства исследователей, под влиянием различных причин наступает периодическая обструкция вен подслизистого слоя, которая является следствием спазма гладкой мускулатуры. Все это с течением времени приводит к дилатации вен и капиллярной сети. На этом фоне и формируется приобретенная ангиодисплазия толстой кишки. Данное патологическое состояние может сопровождаться ишемией, которая усугубляет течение заболевания. В ряде случаев ангиодисплазия толстой кишки может быть врожденной. Эта патология представляет собой наличие в кишечнике сосудистого образования - сосудистой мальформации. Врожденный вариант ангиодисплазии считается более редкой патологией.
Клиническая картина
Ангиодисплазия толстого кишечника проявляется кровотечениями. Симптомом заболевания может быть выделение крови из прямой кишки. На фоне этого часто развивается анемия. Большинство кровотечений не являются жизнеугрожающими. Только у 15% пациентов наблюдаются массивные потери крови, которые могут стать причиной летального исхода.
Приобретенная ангиодисплазия толстой кишки развивается чаще всего у лиц старше 60 лет. Основной жалобой у этих пациентов являются кровотечения из заднего прохода. Эти симптомы возникают на фоне физической нагрузки или же появляются без конкретной причины. Часто пациенты с данной патологией подвергаются оперативным вмешательствам по поводу кишечных кровотечений. Больные с ангиодисплазией толстой кишки обращаются к проктологам, хирургам и гастроэнтерологам, однако после операции четко установить причину кровотечений не удается.
Приобретенная ангиодисплазия толстой кишки развивается чаще всего у лиц старше 60 лет. Основной жалобой у этих пациентов являются кровотечения из заднего прохода. Эти симптомы возникают на фоне физической нагрузки или же появляются без конкретной причины. Часто пациенты с данной патологией подвергаются оперативным вмешательствам по поводу кишечных кровотечений. Больные с ангиодисплазией толстой кишки обращаются к проктологам, хирургам и гастроэнтерологам, однако после операции четко установить причину кровотечений не удается.
Диагностика
Несмотря на то, что диагностика ангиодисплазии толстой кишки является доступной, первоначальный диагноз может устанавливаться неправильно. Это зачастую приводит к некорректному назначению лечения и проведению необоснованных оперативных вмешательств.
Для диагностики этого заболевания используется эндоскопия и другие инструментальные методики. Основным методом считается колоноскопия с биопсией, которая позволяет изучить состояние слизистой толстого кишечника. При ангиодисплазии толстой кишки могут наблюдаться локальные изменения, которые характерны для геморрагической телеангиэктазии, синдрома сREST и синдрома Шерешевского-Тернера. Отличительной особенностью ангиодисплазии является то, что при этой патологии не наблюдается остальных клинических проявлений, характерных для данных синдромов.
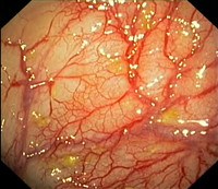
Колоноскопия имеет высокую разрешающую способность, благодаря которой можно четко диагностировать распространение патологического процесса по толстому кишечнику. При ангиодисплазии врожденного генеза эндоскопически выявляются сосудистые выпячивания на слизистой оболочке, которые имеют вид неровных возвышений разнообразной формы. Данные сосудистые элементы, как правило, наполнены кровью.
Следующим важным методом диагностики заболевания является ангиография, при которой изучают состояние сосудов толстого кишечника. Эта методика предусматривает введение рентгенконтрастного вещества в венозный кровоток. Более узконаправленной диагностической процедурой считается сцинтиграфия толстой кишки. Ее проводят путем введения меченых эритроцитов. Ограничением данной методики является то, что кровотечение при ангиодисплазии обычно не носит постоянного характера.
Ирригоскопия с введением контрастного бария позволяет не только диагностировать ангиодисплазию толстой кишки, но и уточнить ее распространенность по отделам кишечника. Кроме того, данная методика позволяет определить состояние окружающих тканей, ширину и функциональные возможности кишки. Также для диагностики данного заболевания используются лабораторные исследования. Обязательным является проведение общего анализа крови, в котором можно обнаружить признаки анемии вследствие кровопотери. Также рекомендуется проводить анализ кала на скрытую кровь, который позволяет определить наличие крови в испражнениях.
Для диагностики этого заболевания используется эндоскопия и другие инструментальные методики. Основным методом считается колоноскопия с биопсией, которая позволяет изучить состояние слизистой толстого кишечника. При ангиодисплазии толстой кишки могут наблюдаться локальные изменения, которые характерны для геморрагической телеангиэктазии, синдрома сREST и синдрома Шерешевского-Тернера. Отличительной особенностью ангиодисплазии является то, что при этой патологии не наблюдается остальных клинических проявлений, характерных для данных синдромов.
Колоноскопия имеет высокую разрешающую способность, благодаря которой можно четко диагностировать распространение патологического процесса по толстому кишечнику. При ангиодисплазии врожденного генеза эндоскопически выявляются сосудистые выпячивания на слизистой оболочке, которые имеют вид неровных возвышений разнообразной формы. Данные сосудистые элементы, как правило, наполнены кровью.
Следующим важным методом диагностики заболевания является ангиография, при которой изучают состояние сосудов толстого кишечника. Эта методика предусматривает введение рентгенконтрастного вещества в венозный кровоток. Более узконаправленной диагностической процедурой считается сцинтиграфия толстой кишки. Ее проводят путем введения меченых эритроцитов. Ограничением данной методики является то, что кровотечение при ангиодисплазии обычно не носит постоянного характера.
Ирригоскопия с введением контрастного бария позволяет не только диагностировать ангиодисплазию толстой кишки, но и уточнить ее распространенность по отделам кишечника. Кроме того, данная методика позволяет определить состояние окружающих тканей, ширину и функциональные возможности кишки. Также для диагностики данного заболевания используются лабораторные исследования. Обязательным является проведение общего анализа крови, в котором можно обнаружить признаки анемии вследствие кровопотери. Также рекомендуется проводить анализ кала на скрытую кровь, который позволяет определить наличие крови в испражнениях.
Лечение
Основными методами лечения ангиодисплазии толстой кишки являются эндоскопические облитерирующие операции. Однако их проведение не исключает вероятность повторных кровотечений. Если больному по какой-либо причине нельзя провести хирургическое лечение, ему показана эмболизация сосудов посредством введения специальных полимеров или гелевой пены. Терапевтическая тактика при ангиодисплазии толстой кишки зависит от объема кровопотери, периодичности возникновения кровотечений и других факторов. В последнее время все чаще используется медикаментозное лечение, которое устраняет кровотечения вследствие дисплазии в сосудах кишечника. По данным ряда исследований, хорошие результаты дают гормональные препараты октреотид и талидомид. Однако, по данным других специалистов, эти средства оказались недостаточно эффективными.
Перспективными методами лечения в последнее время считают воздействие на мезентериальный кровоток и блокаду вазорасширяющих пептидов. Наиболее распространенными терапевтическими методами лечения считают применение препаратов эстрогена и прогестерона. При небольших редко возникающих кишечных кровотечениях могут использоваться методы фотокоагуляции, эндоскопической абляции и склерозирующей терапии. Если у пациента часто возникают профузные кровотечения, которые резко ухудшают клиническое состояние и приводят к анемизации, то ему показана резекция кровоточащего участка кишечника. Чаще всего проводится резекция сигмовидной и прямой кишки. После подобных вмешательств выполняются реконструктивные операции на сигмовидной и прямой кишке.
Профилактика ангиодисплазии толстой кишки заключается в своевременном лечении заболеваний желудочно-кишечного тракта и другой хронической патологии. Прогноз для жизни в большинстве случаев благоприятный, хотя проктологам не всегда удается добиться полного излечения пациентов.
Перспективными методами лечения в последнее время считают воздействие на мезентериальный кровоток и блокаду вазорасширяющих пептидов. Наиболее распространенными терапевтическими методами лечения считают применение препаратов эстрогена и прогестерона. При небольших редко возникающих кишечных кровотечениях могут использоваться методы фотокоагуляции, эндоскопической абляции и склерозирующей терапии. Если у пациента часто возникают профузные кровотечения, которые резко ухудшают клиническое состояние и приводят к анемизации, то ему показана резекция кровоточащего участка кишечника. Чаще всего проводится резекция сигмовидной и прямой кишки. После подобных вмешательств выполняются реконструктивные операции на сигмовидной и прямой кишке.
Профилактика ангиодисплазии толстой кишки заключается в своевременном лечении заболеваний желудочно-кишечного тракта и другой хронической патологии. Прогноз для жизни в большинстве случаев благоприятный, хотя проктологам не всегда удается добиться полного излечения пациентов.
|
|