Другие названия и синонимы
Williams-Campbell syndrome.
МКБ-10 коды
|
|
Описание
Синдром Уильямса Кэмпбелла. Это редкая врожденная патология дыхательных путей из-за недоразвития хряща бронхов от 2 до 8 поколений, который характеризуется отсутствием тонуса стенок, дискинезией и нарушением дренажной функции. Проявляются часто повторяющиеся воспалительные и гнойные процессы в легких, обструкция бронхов. Диагностика с помощью рентгенологических методов исследования легких, КТ и бронхоскопии. Терапевтические меры направлены на борьбу с инфекциями и улучшение проходимости бронхов. Назначаются антибиотики, бронхиальные и муколитики, а также ингаляционные кортикостероиды.
Дополнительные факты
Синдром Уильямса-Кэмпбелла (баллонный бронхоэктаз) является редким пороком развития бронхолегочной системы. Впервые он был описан в 1960 году, основываясь на многолетних наблюдениях австралийских врачей Г. Уильямса и П. Кэмпбелла за детьми, страдающими хроническими респираторными заболеваниями. Встречается у 2% пациентов, получающих лечение в детском пульмонологическом отделении от этих заболеваний. Примерно у 15% из них неправильно диагностируется бронхиальная астма. Заболевание, как правило, выявляется в раннем детстве, очень редко оно выявляется впервые у взрослых. Мальчики болеют чаще, чем девочки. Патологические изменения в стенках дыхательных путей обычно бывают двусторонними, односторонний процесс встречается редко.
Причины
Причины заболевания не установлены. Предположительно, этот синдром является генетическим заболеванием с аутосомно-рецессивным типом наследования. Эта теория подтверждается равномерностью повреждения хрящей дистальных бронхов, отсутствием других патологических изменений в стенке дыхательных путей, сочетанием дефекта с врожденными аномалиями других органов и систем. Было описано несколько случаев наблюдения бронхоэктазии на воздушном шаре у братьев и сестер, однако ген, ответственный за формирование этих изменений, еще не найден. Считается, что синдром Вильямса-Кэмпбелла и лобарная эмфизема являются различными проявлениями одного и того же процесса: неправильного развития хрящевого каркаса дыхательных путей.
Патогенез
Для этого дефекта бронхолегочной системы характерно повреждение средних бронхов. Хрящевые кольца в этой области трахеобронхиального дерева отсутствуют или недоразвиты. Дистальные и проксимальные органы патологически измененных бронхов имеют нормальное строение. Из-за дефекта структуры хряща бронхиальная стенка теряет тонус, становится мягкой, эластичной, что приводит к гипотонической дискинезии.
При вдыхании такие бронхи значительно расширяются, выдыхая падают. Дренажная функция дыхательных путей страдает, застой мокроты, формы саккулярного воздушного шара , бронхоэктазия. Их содержимое легко и быстро заражается патогенными и условно-патогенными микроорганизмами, возникает вспышка хронического гнойного воспаления. В нижних отделах легких образуются пузырьки воздуха.
При вдыхании такие бронхи значительно расширяются, выдыхая падают. Дренажная функция дыхательных путей страдает, застой мокроты, формы саккулярного воздушного шара , бронхоэктазия. Их содержимое легко и быстро заражается патогенными и условно-патогенными микроорганизмами, возникает вспышка хронического гнойного воспаления. В нижних отделах легких образуются пузырьки воздуха.
Клиническая картина
Заболевание проявляется в раннем детстве на фоне респираторной инфекции. Температура тела ребенка значительно повышается, появляется сухой кашель, который затем быстро переходит в мокрое. Характерное хрипение при выдохе (стридор). Выраженная одышка заслуживает внимания. Частота дыхания может достигать 90 в 1 минуту. Кожа в носогубном треугольнике приобретает голубоватый оттенок. Цианоз становится более выраженным, когда ребенок сосет или плачет. Аппетит значительно снижен. Мальчик медленно сосет, отказывается пить.
На этом этапе синдром Уильямса-Кэмпбелла сложно заподозрить, врачи обычно диагностируют пневмонию или острый обструктивный бронхит. На фоне антибактериальной терапии состояние ребенка значительно улучшается. Через некоторое время воспалительный процесс бронхолегочной системы возвращается. Частота рецидивов может достигать двух, трех и более раз в год. Больной ребенок отстает в плане физического развития. Грудная клетка деформирована - имеет форму бочки, грудина выступает вперед в виде горба или киля. Утолщение дистальных фаланг пальцев конечностей характерно для типа голеней, ногти принимают форму «очков наблюдения».
Пульмонолог часто видит детей из-за хронического бронхита, ХОБЛ или бронхиальной астмы. Бронхо-легочная патология сложна. У детей старшего возраста и взрослых наблюдается постоянная одышка или выдох, одышка, мокрота, которая становится гнойной в период обострения. Эпизоды тяжелой бронхиальной обструкции возникают при инфекции верхних дыхательных путей. Хроническое легочное сердце развивается. Больного беспокоят тахикардия, аритмия. Боли возникают из-за увеличения печени и ощущения тяжести в правом подреберье.
Ассоциированные симптомы: Влажный кашель. Глубокий сухой кашель. Затруднение выдоха. Кашель. Одышка. Пальцы - барабанные палочки. Тяжесть в подреберье.
На этом этапе синдром Уильямса-Кэмпбелла сложно заподозрить, врачи обычно диагностируют пневмонию или острый обструктивный бронхит. На фоне антибактериальной терапии состояние ребенка значительно улучшается. Через некоторое время воспалительный процесс бронхолегочной системы возвращается. Частота рецидивов может достигать двух, трех и более раз в год. Больной ребенок отстает в плане физического развития. Грудная клетка деформирована - имеет форму бочки, грудина выступает вперед в виде горба или киля. Утолщение дистальных фаланг пальцев конечностей характерно для типа голеней, ногти принимают форму «очков наблюдения».
Пульмонолог часто видит детей из-за хронического бронхита, ХОБЛ или бронхиальной астмы. Бронхо-легочная патология сложна. У детей старшего возраста и взрослых наблюдается постоянная одышка или выдох, одышка, мокрота, которая становится гнойной в период обострения. Эпизоды тяжелой бронхиальной обструкции возникают при инфекции верхних дыхательных путей. Хроническое легочное сердце развивается. Больного беспокоят тахикардия, аритмия. Боли возникают из-за увеличения печени и ощущения тяжести в правом подреберье.
Ассоциированные симптомы: Влажный кашель. Глубокий сухой кашель. Затруднение выдоха. Кашель. Одышка. Пальцы - барабанные палочки. Тяжесть в подреберье.
Возможные осложнения
Синдром Уильямса-Кэмпбелла почти всегда осложняется легочной болезнью сердца, которая приводит к ранней инвалидности и смерти пациента. Другим менее частым грозным последствием этого врожденного дефекта является вторичный амилоидоз, который развивается на фоне хронического гнойного процесса. Из-за наличия пузырьков воздуха в ткани легких в некоторых случаях возникает спонтанный пневмоторакс. Иногда он образует одиночные или множественные абсцессы легких.
Диагностика
Диагностическое исследование проводится детскими пульмонологами. При сборе анамнеза врач указывает, в каком возрасте появились первые признаки хронического бронхолегочного заболевания, если есть другие врожденные аномалии. При осмотре выявлены акроцианоз или диффузный голубоватый оттенок кожи, эмфизематозная бочкообразная грудная клетка с горбом или грудиной с килем, признаки дистальной гипертрофической остеоартропатии. Окончательный диагноз основан на следующих данных:
• Физические исследования. Перкуссия над легкими определяется звуком грудной клетки. Во время аускультации дыхание ослаблено, выдох продлен. Слышны сухие хрипы от хрипов, влажные, средние и мелкие. В проекции базальных отделов легких патологические дыхательные шумы у взрослых часто вызывают пневмосклеротический разрыв. Тоны сердца глухие, аритмичные из-за экстрасистолы, учащенное сердцебиение.
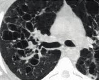
• Радиационная диагностика. Грубое усиление и деформация легочной модели, буллезная эмфизема выявлены при обзорной рентгенографии ОГК. КТ легких показывает общий бронхоэктаз. При кинематографической бронхографии их расширение и спад (воздушный шар) можно наблюдать во время акта дыхания.
• Эндоскопические методы. Бронхоскопия позволяет обнаружить распространенный гнойный эндбронхит. Процесс часто двусторонний, более выраженный на нижних этажах трахеобронхиального дерева. Имеются косвенные признаки отсутствия хрящевых колец в стенках крупных бронхов, коллапс бронхов при выдохе.
• Функциональное исследование. Спирометрия подтверждает значительное нарушение функции внешнего дыхания смешанного типа. Особенностью этого синдрома является двухфазный, с кривой перегиба форсированного выдоха. Данные ЭКГ указывают на снижение напряжения, тахикардию и признаки перегрузки правого сердца, результаты пульсоксиметрии - резкое снижение насыщения крови кислородом.
• Физические исследования. Перкуссия над легкими определяется звуком грудной клетки. Во время аускультации дыхание ослаблено, выдох продлен. Слышны сухие хрипы от хрипов, влажные, средние и мелкие. В проекции базальных отделов легких патологические дыхательные шумы у взрослых часто вызывают пневмосклеротический разрыв. Тоны сердца глухие, аритмичные из-за экстрасистолы, учащенное сердцебиение.
• Радиационная диагностика. Грубое усиление и деформация легочной модели, буллезная эмфизема выявлены при обзорной рентгенографии ОГК. КТ легких показывает общий бронхоэктаз. При кинематографической бронхографии их расширение и спад (воздушный шар) можно наблюдать во время акта дыхания.
• Эндоскопические методы. Бронхоскопия позволяет обнаружить распространенный гнойный эндбронхит. Процесс часто двусторонний, более выраженный на нижних этажах трахеобронхиального дерева. Имеются косвенные признаки отсутствия хрящевых колец в стенках крупных бронхов, коллапс бронхов при выдохе.
• Функциональное исследование. Спирометрия подтверждает значительное нарушение функции внешнего дыхания смешанного типа. Особенностью этого синдрома является двухфазный, с кривой перегиба форсированного выдоха. Данные ЭКГ указывают на снижение напряжения, тахикардию и признаки перегрузки правого сердца, результаты пульсоксиметрии - резкое снижение насыщения крови кислородом.
|
|
Лечение
Основные терапевтические меры при синдроме баллонного бронхоэктаза направлены на улучшение вентиляционной функции дыхательных путей, предотвращение и остановку инфекционных процессов. Для восстановления проходимости дыхательных путей назначаются бета-агонисты короткого и длительного действия, антихолинергические средства или их комбинации. Ингаляционные кортикостероиды используются в качестве местных противовоспалительных препаратов. Муколитики и отхаркивающие средства используются для улучшения секреции мокроты. Пациентам рекомендуются массаж груди, дыхательные упражнения и постуральный дренаж.
Тяжелое инфекционное обострение хронического воспалительного процесса является показателем госпитализации больного в пульмонологическое отделение. Антибиотики широкого спектра назначаются с учетом чувствительности микрофлоры, присутствующей в мокроте. При тяжелой гипоксемии проводится неинвазивная кислородная терапия. Бронхоскопия выполнена. Хирургические вмешательства возможны у пациентов с односторонним процессом, в небольшом количестве расположенных в одной доле бронхоэктазов. Уникальные попытки трансплантации легкого с этой патологией не увенчались успехом.
Тяжелое инфекционное обострение хронического воспалительного процесса является показателем госпитализации больного в пульмонологическое отделение. Антибиотики широкого спектра назначаются с учетом чувствительности микрофлоры, присутствующей в мокроте. При тяжелой гипоксемии проводится неинвазивная кислородная терапия. Бронхоскопия выполнена. Хирургические вмешательства возможны у пациентов с односторонним процессом, в небольшом количестве расположенных в одной доле бронхоэктазов. Уникальные попытки трансплантации легкого с этой патологией не увенчались успехом.
Список литературы
1. Редкие заболевания легких у детей. Клинические наблюдения / под ред. Розинцовой Н.Н., Мизерницкого Ю.Л. 2009.
2. Практическая пульмонология / Саперов В.Н., Андреева И.И., Мусалимова Г.Г. 2007.
3. Синдром Вильямса-Кемпбелла, диагностированный у взрослой больной / Демичев С.В., Малашенков В.Г. Клиническая медицина - 1998 - №7.
4. Синдром Вильямса-Кэмпбелла и лобарная эмфизема - редкие пороки развития лёгких с единой патогенетической основой / Розинова Н.Н., Сорокина Е.В., Костюченко М.В. Трудный пациент - 2009 - №8.
2. Практическая пульмонология / Саперов В.Н., Андреева И.И., Мусалимова Г.Г. 2007.
3. Синдром Вильямса-Кемпбелла, диагностированный у взрослой больной / Демичев С.В., Малашенков В.Г. Клиническая медицина - 1998 - №7.
4. Синдром Вильямса-Кэмпбелла и лобарная эмфизема - редкие пороки развития лёгких с единой патогенетической основой / Розинова Н.Н., Сорокина Е.В., Костюченко М.В. Трудный пациент - 2009 - №8.