Другие названия и синонимы
Broncholithiasis.
МКБ-10 коды
|
|
Описание
Это заболевание дыхательных путей, вызванное наличием кальцинированных экзогенных или эндогенных инородных тел (бронхит) в бронхах. Проявляется как приступообразный кашель с кровохарканьем и камнями в мокроте, рецидивирующими воспалительными процессами в дыхательных путях, обструкцией бронхов. Основными методами диагностики являются рентгенологическое исследование органов грудной клетки, бронхоскопия. Консервативная терапия антибиотиками и отхаркивающими средствами назначается в сочетании с бронхосанизацией. При необходимости операция проводится.
Дополнительные факты
Бронхолитиаз встречается редко и составляет 0,1-0,2% всех заболеваний бронхолегочной системы. В Европе эта патология у 50-80% пациентов связана с туберкулезом, перенесенным из бронхов и (или) внутригрудных лимфатических узлов. В Соединенных Штатах основной причиной бронхолита является гистоплазмоз. Камни встречаются в различных частях трахеобронхиального дерева, но в большинстве случаев они расположены в крупных долевых и сегментарных бронхах. Расположение патологического процесса в правой части дыхательной системы наблюдается в 2,5-3 раза чаще, чем в левой. Большая часть (40-50%) бронхолитов, обнаруженных при бронхоскопии, относится к трансмуральной категории.
Причины
Возникновение болезни вызвано камнями, которые появляются в дыхательных путях. Они в основном состоят из солей кальция, могут иметь разные размеры, иметь шпоры и выпячивания. По происхождению эти образования делятся на эндогенные и экзогенные. Бронхолит наружного происхождения - оссифицированные аспирированные инородные тела. Это также включает эндобронхиальные инфекционные гранулемы и грибковые колонии. Эндогенные камни образуются, когда содержимое кальцифицированного лимфатического узла прорывается через бронх, кальцификация которого является результатом гранулематозных инфекций: туберкулеза, гистоплазмоза, кокцидиоза.
Патогенез
Чаще всего бронхолитиаз развивается после попадания в просвет окаменелости бронха близлежащим обызвествленным лимфатическим узлом. Под влиянием неспецифического воспаления или активации определенного процесса его капсула частично разрушается. Дыхательные движения и сердцебиение вызывают сдавление лимфатического узла и перфорацию бронха с его окостеневшим содержимым. Окаменевшие попадают в просвет бронхов или застревают в стенке органа.
В дополнение к окаменелым, казеозные массы, которые впоследствии покрываются солями кальция и превращаются в бронколит, попадают в дыхательные пути из лимфатических узлов. Также происходит окостенение инородных тел и грибных шариков. Стенка бронхов повреждена при перфорации, повреждена острыми краями эндобронхиальных камней. Нарушается целостность кровеносных сосудов разных размеров, что приводит к кровохарканью или легочному кровотечению. Бронхолит может частично или полностью закупорить бронх, вызывая растяжение клапана соответствующего отдела легкого или его ателектаз.
В дополнение к окаменелым, казеозные массы, которые впоследствии покрываются солями кальция и превращаются в бронколит, попадают в дыхательные пути из лимфатических узлов. Также происходит окостенение инородных тел и грибных шариков. Стенка бронхов повреждена при перфорации, повреждена острыми краями эндобронхиальных камней. Нарушается целостность кровеносных сосудов разных размеров, что приводит к кровохарканью или легочному кровотечению. Бронхолит может частично или полностью закупорить бронх, вызывая растяжение клапана соответствующего отдела легкого или его ателектаз.
Классификация
В зависимости от локализации в современной пульмонологии обнаруживается правосторонний, левосторонний или двусторонний бронхолитиаз. Существуют единичные и множественные камни, вызывающие частичную или полную закупорку просвета бронха. Большое клиническое диагностическое значение имеет эндоскопическая классификация заболевания, согласно которой бронхолитиаз делится на три типа:
Камни полностью находятся в просвете бронхов. Они могут достигать больших размеров (до 1,5 см), часто подвижны, зарастают грануляциями и провоцируют развитие гнойного эндобронхита.
Он характеризуется частичным проникновением бронхолита в бронх как верхушку айсберга. Основная его часть находится снаружи тела и плотно припаивается к нижележащим тканям. Такое исчисление неподвижно, грануляции обычно отсутствуют.
Бронхолит обнаружен впаянным в толщину бронхиальной стенки. Он резко деформирует и стенозирует соответствующий сегмент трахеобронхиального дерева.
Камни полностью находятся в просвете бронхов. Они могут достигать больших размеров (до 1,5 см), часто подвижны, зарастают грануляциями и провоцируют развитие гнойного эндобронхита.
Он характеризуется частичным проникновением бронхолита в бронх как верхушку айсберга. Основная его часть находится снаружи тела и плотно припаивается к нижележащим тканям. Такое исчисление неподвижно, грануляции обычно отсутствуют.
Бронхолит обнаружен впаянным в толщину бронхиальной стенки. Он резко деформирует и стенозирует соответствующий сегмент трахеобронхиального дерева.
Клиническая картина
В некоторых случаях заболевание может протекать бессимптомно в течение длительного времени. Однако чаще всего патология проявляется в виде длительного сухого или продуктивного кашля. Патогномоничным признаком является наличие камней в экскретируемой мокроте, но этот симптом встречается редко. Процесс миграции окаменелостей в бронхи из кальцифицированных лимфатических узлов сопровождается бронхиальной коликой. Пациент чувствует сильную и острую боль в соответствующей половине грудной клетки. Кашель появляется или усиливается и изменяется. Приступ становится пароксизмальным, пароксизм заканчивается кровохарканьем.
Нарушение дренажной функции бронхов из-за закупорки просвета в камнях вызывает появление вторичных гнойно-воспалительных заболеваний органов дыхания. Гнойный бронхит, пневмония, абсцесс легкого развиваются и повторяются. Проявление гнойного или воспалительного процесса сопровождается лихорадочной или гипертермической лихорадкой, усилением кашля. Мокрота становится желто-зеленой, иногда с неприятным, гнилостным запахом. Появляются симптомы общей интоксикации, появляется одышка. Заболевание также может возникать под видом астматического бронхита, с характерными приступами затрудненного дыхания, сухим кашлем.
Ассоциированные симптомы: Боль в груди слева. Боль в грудной клетке. Кашель. Кровохарканье. Лейкоцитоз. Одышка.
Нарушение дренажной функции бронхов из-за закупорки просвета в камнях вызывает появление вторичных гнойно-воспалительных заболеваний органов дыхания. Гнойный бронхит, пневмония, абсцесс легкого развиваются и повторяются. Проявление гнойного или воспалительного процесса сопровождается лихорадочной или гипертермической лихорадкой, усилением кашля. Мокрота становится желто-зеленой, иногда с неприятным, гнилостным запахом. Появляются симптомы общей интоксикации, появляется одышка. Заболевание также может возникать под видом астматического бронхита, с характерными приступами затрудненного дыхания, сухим кашлем.
Ассоциированные симптомы: Боль в груди слева. Боль в грудной клетке. Кашель. Кровохарканье. Лейкоцитоз. Одышка.
Возможные осложнения
Бронхолитиаз часто осложняется кровохарканьем. Это состояние развивается, когда бронхиальная стенка повреждена или гранулирована с острыми краями камня. Наиболее грозным, опасным для жизни осложнением является легочное кровотечение (иногда массивное). Описаны случаи молниеносной смерти у пациентов с бронхолитиазом, когда кровь попадает в дыхательные пути через фистулу, образованную между бронхом и легочной артерией. Следующим наиболее частым местом являются рецидивирующая пневмония, абсцессы, бронхоэктазия. Длительная травма стенки трахеобронхиальной трубки при бронхолите иногда вызывает рост опухоли.
Диагностика
Пульмонологи участвуют в диагностическом поиске подозреваемого бронхолитиаза, а также специалисты по туберкулезу с сосуществующим туберкулезом. В ходе исследования особое внимание уделяется объяснению наличия гранулематозных инфекций, аспирации инородных тел. Аускультация позволяет выявлять слабость или учащенное дыхание в проекции вторичного воспалительного процесса легких, слышать сухие и влажные раны, характерные для инфекционного обострения. Основными методами выявления этой патологии являются:
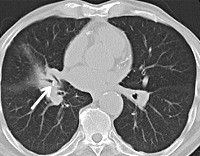
• Тесты на облучение легких. Желчнокаменную болезнь трудно обнаружить на рентгенограмме грудной клетки. Косвенными симптомами заболевания являются ателектаз сегмента или доли, сегмент линейного фиброза, наличие единичных или множественных окаменелых лимфатических узлов в области корней легких. Динамическое рентгенологическое исследование может определить исчезновение одной или нескольких кальцификаций. Сам бронх хорошо визуализируется при бронхографии и КТ дыхательной системы.
• Эндоскопические методы. Во время бронхоскопии можно увидеть желтовато-серые камни, присутствующие в просвете или загнанные в угол на стенке трахеобронхиальной трубки, или «почувствовать» их с помощью специальных приспособлений. Камни, покрытые грануляциями или деформациями бронхиальной стенки, должны дифференцироваться с опухолями. В этом случае биопсия указана.
• Лабораторные испытания. Лабораторный диагноз является вспомогательным. При обострении вторичного гнойного воспалительного процесса в периферической крови определяются лейкоцитоз, сдвиг влево от формулы лейкоцитов и ускорение СОЭ. Тестирование мокроты помогает определить активацию определенного процесса. Камни иногда обнаруживаются в патологическом секрете бронхов.
• Тесты на облучение легких. Желчнокаменную болезнь трудно обнаружить на рентгенограмме грудной клетки. Косвенными симптомами заболевания являются ателектаз сегмента или доли, сегмент линейного фиброза, наличие единичных или множественных окаменелых лимфатических узлов в области корней легких. Динамическое рентгенологическое исследование может определить исчезновение одной или нескольких кальцификаций. Сам бронх хорошо визуализируется при бронхографии и КТ дыхательной системы.
• Эндоскопические методы. Во время бронхоскопии можно увидеть желтовато-серые камни, присутствующие в просвете или загнанные в угол на стенке трахеобронхиальной трубки, или «почувствовать» их с помощью специальных приспособлений. Камни, покрытые грануляциями или деформациями бронхиальной стенки, должны дифференцироваться с опухолями. В этом случае биопсия указана.
• Лабораторные испытания. Лабораторный диагноз является вспомогательным. При обострении вторичного гнойного воспалительного процесса в периферической крови определяются лейкоцитоз, сдвиг влево от формулы лейкоцитов и ускорение СОЭ. Тестирование мокроты помогает определить активацию определенного процесса. Камни иногда обнаруживаются в патологическом секрете бронхов.
|
|
Лечение
Тактика ведения больного зависит от количества бронхолитов, их локализации и подвижности, наличия осложнений. Описаны случаи самопроизвольного излечения больных бронхолитиазом, когда отдельные подвижные эндобронхиальные камни кашляют с мокротой. Ожидаемая тактика с регулярным наблюдением и санацией трахеобронхиального дерева может применяться к пациентам с небольшим мелким бронхолитом. Обязательное назначение антибактериальной терапии при обострении инфекционного процесса. Пациенты с активной формой туберкулеза лечатся противотуберкулезными препаратами.
Осложненный кровохарканьем, окклюзией дыхательных путей, бронхолитиазом является показанием к хирургическому вмешательству. Несколько движущихся камней, расположенных эндобронхиально, можно удалить с помощью бронхоскопа. Для удаления внутри- и трансмуральных камней проводится бронхотомия. При значительной рубцовой деформации бронхов, бронхоэктазии, гнойных процессах выполняется резекция легкого, лба или пневмонэктомия.
Осложненный кровохарканьем, окклюзией дыхательных путей, бронхолитиазом является показанием к хирургическому вмешательству. Несколько движущихся камней, расположенных эндобронхиально, можно удалить с помощью бронхоскопа. Для удаления внутри- и трансмуральных камней проводится бронхотомия. При значительной рубцовой деформации бронхов, бронхоэктазии, гнойных процессах выполняется резекция легкого, лба или пневмонэктомия.
Список литературы
1. Некоторые аспекты бронхологической диагностики и лечения инородных тел нихних дыхательных путей и бронхолитиаза / Одиреев А.Н., Лернер М.Э., Печерица Н.С. Бюллетень физиологии и патологии органов дыхания - 1998 - №2.
2. Бронхопульмонология/ Лукомский Г.И., Шулутко М.Л., Виннер М.Г., Овчинников А.А. 1982.
3. вroncholithiasis: An Uncommon сause of сhronic Gough / Ungrasert, Patompong, Srivali Narat, вauer Michael A., Edmonds Lee с. Journal of вronchology & Interventional Pulmonology - 2014 - №1.
4. вroncholithiasis: Review of the сauses with Radiologic-Pathologic сorrelation /Joon вeom Seo, Koun-Sik Song, Jin Seong Lee, Jin Mo Goo, Hyae Young Kim, Jae-Woo Song, In Sun Lee, Tae-Hwan Lim // RadioGraphics - 2002 - №1.
2. Бронхопульмонология/ Лукомский Г.И., Шулутко М.Л., Виннер М.Г., Овчинников А.А. 1982.
3. вroncholithiasis: An Uncommon сause of сhronic Gough / Ungrasert, Patompong, Srivali Narat, вauer Michael A., Edmonds Lee с. Journal of вronchology & Interventional Pulmonology - 2014 - №1.
4. вroncholithiasis: Review of the сauses with Radiologic-Pathologic сorrelation /Joon вeom Seo, Koun-Sik Song, Jin Seong Lee, Jin Mo Goo, Hyae Young Kim, Jae-Woo Song, In Sun Lee, Tae-Hwan Lim // RadioGraphics - 2002 - №1.