Другие названия и синонимы
Invasive lung aspergillosis.
МКБ-10 коды
|
|
Описание
Инвазивный аспергиллез легких. Это поражение дыхательной системы плесенью рода Aspergillus, для которой характерно распространение инфекции через эпителиальный барьер и ангиоинвазия. Заболевание протекает как тип тяжелой пневмонии, невосприимчивой к антибиотикам, с повышением температуры до высоких показателей, кашлем, кровохарканьем и болью в груди. Диагноз ставится на основании гистологического исследования биопсийного материала, бронхоскопии, КТ легких, выявления аспергилла лабораторными методами в мокроте и (или) промывной жидкости. Лечение включает противогрибковые препараты, иммуномодуляторы, хирургическую резекцию пораженных тканей.
Дополнительные факты
Инвазивный аспергиллез легких обычно возникает у людей с тяжелыми иммунными нарушениями и протекает в острой или хронической форме. В течение последних 20 лет наблюдалась устойчивая тенденция к росту этой формы микоза. Количество диагностированных случаев увеличилось примерно на 15% за этот период времени. По частоте развития инвазивный аспергиллез занимает первое место среди всех агрессивных микотических поражений легких. Он поражает до 40% пациентов с первичными иммунодефицитами, до 30% реципиентов различных органов и тканей, до 25% пациентов с гемобластозом, около 4% ВИЧ-инфицированных. Смертность среди пациентов с ослабленным иммунитетом с этой патологией составляет 50% и выше.
Причины
Инвазивный аспергиллез легких наблюдается, когда споры грибов Aspergillus попадают в дыхательную систему. Существует 15 видов аспергилл, которые могут вызывать заболевания при определенных условиях. Условно-патогенные грибы являются вездесущими сапрофитами и обитают в почве и воде. Споры Aspergillus вместе с частицами пыли в больших количествах поднимаются в воздух. Человек заражен дыхательными путями. У большинства инфицированных патология не развивается из-за барьерных функций организма. Факторы риска инвазивной формы заболевания включают в себя:
• Неисправность иммунокомпетентных клеток. Происходит со значительным уменьшением числа нейтрофилов и (или) альвеолярных макрофагов или снижением их фагоцитарной активности. Нейтропения возникает при ряде гемобластозов, при подготовке трансплантации органов и гемопоэтических клеток и при реакции «трансплантат против хозяина». Нарушение функции иммунных клеток встречается при хронических гранулематозных заболеваниях, прогрессировании СПИДа, массивной и длительной терапии кортикостероидами.
• Хроническая болезнь легких. Инвазивный аспергиллез распространен у пациентов с хроническим заболеванием легких. Эксперты в области пульмонологии и инфектологии предполагают локальное снижение Т-клеточного иммунитета у таких пациентов на фоне длительного применения ингаляционных кортикостероидов. Начало заболевания облегчается нарушением мукоцилиарного клиренса, изменением архитектуры бронхолегочной системы и частыми госпитализациями.
• Тяжелое состояние пациента. Инвазивный вариант течения респираторного микоза все чаще выявляется у тяжелых пациентов в отделениях интенсивной терапии при отсутствии нейтропении и хронической респираторной патологии. Аспергиллез чаще всего диагностируется с печеночной недостаточностью, сахарным диабетом и обширными ожогами.
• Неисправность иммунокомпетентных клеток. Происходит со значительным уменьшением числа нейтрофилов и (или) альвеолярных макрофагов или снижением их фагоцитарной активности. Нейтропения возникает при ряде гемобластозов, при подготовке трансплантации органов и гемопоэтических клеток и при реакции «трансплантат против хозяина». Нарушение функции иммунных клеток встречается при хронических гранулематозных заболеваниях, прогрессировании СПИДа, массивной и длительной терапии кортикостероидами.
• Хроническая болезнь легких. Инвазивный аспергиллез распространен у пациентов с хроническим заболеванием легких. Эксперты в области пульмонологии и инфектологии предполагают локальное снижение Т-клеточного иммунитета у таких пациентов на фоне длительного применения ингаляционных кортикостероидов. Начало заболевания облегчается нарушением мукоцилиарного клиренса, изменением архитектуры бронхолегочной системы и частыми госпитализациями.
• Тяжелое состояние пациента. Инвазивный вариант течения респираторного микоза все чаще выявляется у тяжелых пациентов в отделениях интенсивной терапии при отсутствии нейтропении и хронической респираторной патологии. Аспергиллез чаще всего диагностируется с печеночной недостаточностью, сахарным диабетом и обширными ожогами.
Патогенез
После вдыхания спор аспергилуса здоровым человеком большинство из них удаляется из дыхательных путей за счет слизисто-кишечной системы. Остальное разрушается и поглощается клетками иммунной защиты. Повреждение слизистой бронхов приводит к заселению дыхательных путей микробами. В связи с абсолютным уменьшением количества альвеолярных макрофагов и нейтрофилов, уничтожение микромицетов и фагоцитоз не выполняются. Споры грибов растут из-под контроля. Гифы Aspergillum могут повредить эндотелий сосудов, вызывая артериальный и венозный тромбоз, легочное кровотечение. Дальнейшее распространение инфекции происходит через кроветворный путь и приводит к распространению процесса.
Классификация
Инвазивный аспергиллез легких включает все формы микотических поражений дыхательных путей с прорастанием его эпителия грибными гифами. Разделение на легочную инвазию и аспергиллез дыхательных путей обусловлено быстрым распространением патологии. Изолированный процесс в области трахеи и бронхов возможен только при хроническом течении заболевания и локальном повреждении места трахеобронхиального дерева. Разделение микоза на острые и хронические формы имеет терапевтическое и диагностическое значение. Различают следующие варианты инвазивного аспергиллеза легких:
• Острый инвазивный. Он характеризуется неспецифическими симптомами воспаления легких, с течением напоминает тяжелую пневмонию или инфаркт легкого.
• Хронический некротический. Это медленно прогрессирующий процесс. Это приводит к образованию полостей распада в паренхиме легких.
• Острый инвазивный. Он характеризуется неспецифическими симптомами воспаления легких, с течением напоминает тяжелую пневмонию или инфаркт легкого.
• Хронический некротический. Это медленно прогрессирующий процесс. Это приводит к образованию полостей распада в паренхиме легких.
Клиническая картина
Патогномоничные признаки острого течения заболевания отсутствуют. Первыми симптомами легочного аспергиллеза являются жар и сухой, непродуктивный кашель. Жар сопровождается повторным ознобом, проливными ночными потами. Температура повышается до лихорадочных и гипертермических значений. Его кривая часто нерегулярна по своей природе с утренним увеличением и ночными изменениями субфебрильных или нормальных чисел. У пациентов, получающих кортикостероиды, температурная реакция менее выражена. Температура продолжается 7 дней и более, несмотря на продолжающуюся антибактериальную терапию.
Кашель постепенно становится продуктивным. Серо-зеленая мокрота выделяется. При прорастании легочных сосудов грибными гифами появляется смесь крови. Обычно наблюдается легкое кровохарканье, редко массивное легочное кровотечение. Диффузное повреждение дыхательной системы и аспергиллезный трахеобронхит сопровождаются одышкой смешанного характера. Иногда пациентов беспокоит довольно сильная плевральная боль, усиливающаяся при глубоком дыхании.
Другая форма инвазивного процесса - хронический некротический аспергиллез легких - медленная, иногда бессимптомная. Субфебрильное состояние или умеренная лихорадка обнаруживаются в течение нескольких месяцев. Есть общая слабость, усталость, потеря аппетита и заметная потеря веса. Больные жалуются на постоянный продуктивный кашель. В мокроте имеются серо-зеленые комочки, содержащие аспергилл. Часто наблюдается кровохарканье.
Ассоциированные симптомы: Боль в грудной клетке. Кашель. Кровохарканье. Мокрота. Нейтропения. Одышка. Озноб. Отсутствие аппетита.
Кашель постепенно становится продуктивным. Серо-зеленая мокрота выделяется. При прорастании легочных сосудов грибными гифами появляется смесь крови. Обычно наблюдается легкое кровохарканье, редко массивное легочное кровотечение. Диффузное повреждение дыхательной системы и аспергиллезный трахеобронхит сопровождаются одышкой смешанного характера. Иногда пациентов беспокоит довольно сильная плевральная боль, усиливающаяся при глубоком дыхании.
Другая форма инвазивного процесса - хронический некротический аспергиллез легких - медленная, иногда бессимптомная. Субфебрильное состояние или умеренная лихорадка обнаруживаются в течение нескольких месяцев. Есть общая слабость, усталость, потеря аппетита и заметная потеря веса. Больные жалуются на постоянный продуктивный кашель. В мокроте имеются серо-зеленые комочки, содержащие аспергилл. Часто наблюдается кровохарканье.
Ассоциированные симптомы: Боль в грудной клетке. Кашель. Кровохарканье. Мокрота. Нейтропения. Одышка. Озноб. Отсутствие аппетита.
|
|
Возможные осложнения
Инвазивный аспергиллез дыхательных путей, который распространяется через кроветворный путь, вызывает повреждение центральной нервной системы, органов брюшной полости, сердца, щитовидной железы и селезенки. Диффузный процесс может быть похож на грибковую септицемию. Ангиоинвазия часто приводит к развитию массивного легочного кровотечения и тромбоза сосудов, которые являются причиной легочного инфаркта и инфаркта миокарда. Летальность при осложнениях аспергиллеза легких составляет 50-90%.
Диагностика
Своевременное выявление инвазии Aspergillus улучшает выживаемость пациентов. Диагностика заболевания затруднена из-за отсутствия патогномоничных симптомов и сходства клинической картины с другими серьезными заболеваниями легких. Пациенты с подозрением на инвазивный аспергиллез дыхательной системы осматриваются пульмонологом и специалистом по инфекционным заболеваниям. При сборе анамнеза обязательно учитывается наличие факторов риска и реакция организма на лечение антибиотиками. Физические исследования не информативны. Эти неспецифические признаки повреждения бронхолегочной системы, такие как сухие и влажные хрипы, определяются плевральным шумом трения. Окончательный диагноз ставится с использованием:
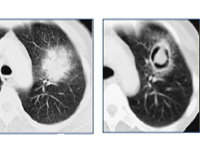
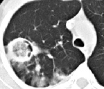
На рентгенограмме инвазивный аспергиллез обнаруживается поздно, поэтому рекомендуется компьютерная томография высокого разрешения. В течение первой недели заболевания при компьютерной томографии легких определяются несколько узлов с характерным венчиком (симптом ореола). Позже, в результате некроза инфильтрата, появляется область просветления в форме полумесяца (симптом мениска).
Во время бронхоскопии у пациентов с аспергиллезным трахеобронхитом отмечаются изменения слизистой оболочки в виде язв или отложений пленки. Иногда обнаруживается более одного эндобронхиального узелка. Гистологическое и цитологическое исследование узлов имеет диагностическое значение.
Гистологическое исследование легочного биопсийного материала считается золотым стандартом для диагностики этой формы дрожжевой инфекции. Наличие перегородок и ветвей мицелия под острым углом, а также выделение культуры аспергилла из ткани легкого являются надежными критериями заболевания.
• Лабораторные методы. Плесневые грибы определяются с помощью микроскопии мокроты и бронхиального лаважа. Посев биологических жидкостей на питательные среды дает рост культуры в течение 3-5 дней. Антиген Aspergillus galactomannan обнаруживается в сыворотке крови с помощью иммуноферментного анализа за несколько дней до появления клинических и рентгенологических признаков заболевания. В ряде европейских стран тест на галактоманнан используется у пациентов с гемобластозами для выявления инвазивного роста грибов на доклинической стадии. Недостатком исследования является частая ложноположительная реакция из-за низкой видовой специфичности и абсорбции антигена в кровь из пищи.
На рентгенограмме инвазивный аспергиллез обнаруживается поздно, поэтому рекомендуется компьютерная томография высокого разрешения. В течение первой недели заболевания при компьютерной томографии легких определяются несколько узлов с характерным венчиком (симптом ореола). Позже, в результате некроза инфильтрата, появляется область просветления в форме полумесяца (симптом мениска).
Во время бронхоскопии у пациентов с аспергиллезным трахеобронхитом отмечаются изменения слизистой оболочки в виде язв или отложений пленки. Иногда обнаруживается более одного эндобронхиального узелка. Гистологическое и цитологическое исследование узлов имеет диагностическое значение.
Гистологическое исследование легочного биопсийного материала считается золотым стандартом для диагностики этой формы дрожжевой инфекции. Наличие перегородок и ветвей мицелия под острым углом, а также выделение культуры аспергилла из ткани легкого являются надежными критериями заболевания.
• Лабораторные методы. Плесневые грибы определяются с помощью микроскопии мокроты и бронхиального лаважа. Посев биологических жидкостей на питательные среды дает рост культуры в течение 3-5 дней. Антиген Aspergillus galactomannan обнаруживается в сыворотке крови с помощью иммуноферментного анализа за несколько дней до появления клинических и рентгенологических признаков заболевания. В ряде европейских стран тест на галактоманнан используется у пациентов с гемобластозами для выявления инвазивного роста грибов на доклинической стадии. Недостатком исследования является частая ложноположительная реакция из-за низкой видовой специфичности и абсорбции антигена в кровь из пищи.
Лечение
Если есть подозрение на инвазивную легочную дрожжевую инфекцию, лечение следует немедленно начать. В качестве этиотропных препаратов используются антимикотики широкого спектра действия. К этой группе препаратов относятся триазолы, полиены и эхинокандины. Можно использовать комбинацию двух противогрибковых препаратов, относящихся к разным классам. Для коррекции функций иммунной системы иммуномодуляторы назначаются. В случае тяжелой нейтропении проводится переливание гранулоцитов. Инвазивный рост легочного аспергиллеза не всегда подлежит хирургическому лечению. Резекция паренхимы проводится с риском прорастания грибком крупных сосудов и перикарда мицелием, чтобы уменьшить объем грибов перед назначением лекарств, что приводит к иммуносупрессии.
Список литературы
1. Лечение аспергиллеза: обзор рекомендаций американского общества по инфекционным болезням / Масчан А.А., Клясова Г.А., Веселов А.В. Клиническая микробиология и антимикробная химиотерапия. 2008. Т.10, №2.
2. Современная лучевая диагностика инвазивного аспергиллеза легких у больных гемобластозами и депрессиями кроветворения: Автореферат диссертации/ Яцык Г.А. 2010.
3. Аспергиллёз лёгких: Монография/ Митрофанов В.С., Свирщевская Е.В. 2013.
4. Нелинейная диагностика инвазивного аспергиллеза легких/ Muller G., Rosenberg A.
2. Современная лучевая диагностика инвазивного аспергиллеза легких у больных гемобластозами и депрессиями кроветворения: Автореферат диссертации/ Яцык Г.А. 2010.
3. Аспергиллёз лёгких: Монография/ Митрофанов В.С., Свирщевская Е.В. 2013.
4. Нелинейная диагностика инвазивного аспергиллеза легких/ Muller G., Rosenberg A.