Другие названия и синонимы
Aspergillosis of the brain, Церебральный аспергиллез.
МКБ-10 коды
|
|
Описание
Аспергиллёз головного мозга. Грибковое поражение мозговых тканей, вызванное аспергиллами. Возникает преимущественно у больных с иммуносупрессивными состояниями на фоне заболеваний крови, злокачественных опухолей, трансплантации органов, продолжительного глюкокортикоидного лечения. Проявляется слабостью, тошнотой, лихорадкой, головной болью, очаговой неврологической симптоматикой. Диагностируется аспергиллёз по результатам неврологического осмотра, МРТ/КТ головного мозга, анализа ликвора, ИФА, ПЦР-исследований. Лечение базируется на длительном приёме системных антимикотиков.
Дополнительные факты
Аспергиллёз головного мозга ранее встречался крайне редко. В экономически развитых странах годовая заболеваемость составляла 34 случая на 1 млн. населения. Основными формами являлись поражения лёгких и околоносовых пазух. На аспергиллёз других органов, головного мозга, приходилось 5%. Заболеванию подвержены лица с иммунодефицитными состояниями. Последнее время отмечается рост числа случаев аспергиллёза вообще и аспергиллёзного поражения головного мозга в частности, что обусловлено возросшим количеством пациентов с иммунной супрессией. Грибковыми заболеваниями страдает каждый 5-й иммунокомпрометированный больной. Аспергиллёз составляет до 70% таких случаев. Возрастные и гендерные различия в заболеваемости не прослеживаются.
Причины
Возбудитель заболевания - плесневые грибы рода Аспергиллус. Распространены повсеместно: в почве, зерне, пыли, вентиляционных системах, на комнатных растениях, продуктах питания. Обнаруживаются в пыли медучреждений. Описаны случаи заражения медицинского инструментария для ингаляционной терапии, кондиционеров больничных палат, спровоцировавшие возникновение внутрибольничной инфекции. В организм человека грибок попадает преимущественно воздушно-капельным путём во время вдыхания воздуха с содержащими мицелий частичками пыли. Встречаются случаи заражения через повреждённые кожные покровы и с пищей. Заболевший человек не является источником инфекции. К факторам, способствующим развитию церебрального аспергиллёза, относятся:
• Гемобластозы, сопровождающиеся выраженной нейтропенией и агранулоцитозом (острый лейкоз, апластическая анемия). Падение числа иммунных клеток крови приводит к развитию вторичного иммунодефицита.
• ВИЧ-инфекция. Вирусное поражение иммунной системы сопровождается резким уменьшением сопротивляемости организма.
• Длительная кортикостероидная терапия. Применение глюкокортикоидов свыше 3-х недель негативно сказывается на иммунной системе.
• Цитостатическое лечение. Назначается онкобольным, пациентам, проходящим трансплантацию костного мозга или органов. Приводит к нейтропении и иммунодефициту.
• Хронические заболевания, длительное течение которых осложняется иммунной супрессией. В группу входят: туберкулёз, ХОБЛ, саркоидоз, бронхоэктатическая болезнь, сахарный диабет.
• Травмы, ожоги, хирургические вмешательства - способствуют инфицированию раневой поверхности на фоне сниженного вследствие травмирования иммунитета.
• Установка венозных катетеров. Инфицирование возможно при загрязнении кожи в месте катетера спорами аспергилл.
Наибольший риск представляет сочетание нескольких факторов. Например, хирургические операции у больных ВИЧ, пересадка костного мозга при лейкемии.
• Гемобластозы, сопровождающиеся выраженной нейтропенией и агранулоцитозом (острый лейкоз, апластическая анемия). Падение числа иммунных клеток крови приводит к развитию вторичного иммунодефицита.
• ВИЧ-инфекция. Вирусное поражение иммунной системы сопровождается резким уменьшением сопротивляемости организма.
• Длительная кортикостероидная терапия. Применение глюкокортикоидов свыше 3-х недель негативно сказывается на иммунной системе.
• Цитостатическое лечение. Назначается онкобольным, пациентам, проходящим трансплантацию костного мозга или органов. Приводит к нейтропении и иммунодефициту.
• Хронические заболевания, длительное течение которых осложняется иммунной супрессией. В группу входят: туберкулёз, ХОБЛ, саркоидоз, бронхоэктатическая болезнь, сахарный диабет.
• Травмы, ожоги, хирургические вмешательства - способствуют инфицированию раневой поверхности на фоне сниженного вследствие травмирования иммунитета.
• Установка венозных катетеров. Инфицирование возможно при загрязнении кожи в месте катетера спорами аспергилл.
Наибольший риск представляет сочетание нескольких факторов. Например, хирургические операции у больных ВИЧ, пересадка костного мозга при лейкемии.
Патогенез
В норме, благодаря адекватной работе иммунитета, при попадании грибковых спор в человеческий организм аспергиллёз не развивается. При отсутствии должного иммунного ответа споры оседают в лёгких и носовых пазухах, с током крови заносятся в церебральные ткани. Инфицирование ГМ без предшествующего поражения лёгких или других органов наблюдается крайне редко. В мозговых тканях грибки образуют колонии, вызывают воспалительные изменения с формированием абсцессов. Характерна обтурация аспергиллами просвета интракраниальных сосудов с развитием зон ишемии и геморрагического пропитывания, внутримозговых кровоизлияний. Поражение оболочек мозга с возникновением менингита отмечается в редких случаях.
Клиническая картина
Клиническая симптоматика не имеет специфичных проявлений. Обычно церебральный аспергиллёз начинается с головной боли, тошноты, слабости, головокружения. Зачастую происходит повышение температуры. Лихорадка может возникнуть в самом дебюте церебрального поражения и спустя несколько дней от начала клинических проявлений. Возможна острая манифестация с симптомами нарушения мозгового кровообращения (ишемического, геморрагического инсульта).
Ассоциированные симптомы: Боль во всей голове. Гемипарез. Гемипаретическая походка. Головная боль. Нейтропения. Онемение лица. Тошнота.
Ассоциированные симптомы: Боль во всей голове. Гемипарез. Гемипаретическая походка. Головная боль. Нейтропения. Онемение лица. Тошнота.
Возможные осложнения
Грозным осложнением церебрального аспергиллёза выступает сдавление головного мозга, сопровождающееся нарушением витальных функций ЦНС. Компрессия обусловлена растущими в объёме внутримозговыми абсцессами, излитием крови в мозговое вещество при массивном внутричерепном кровотечении. К сдавлению также приводит пропитывание тканей мозга кровью при постоянных диапедезных кровоизлияниях, обусловленных поражением аспергиллами церебральных сосудов.
Диагностика
Аспергиллёз головного мозга представляет сложную диагностическую задачу. Редкая встречаемость в практической неврологии, неспецифичность симптоматики, трудности выявления возбудителя в крови и ликворе осложняют постановку диагноза. В алгоритм диагностики заболевания входят:
• Сбор анамнеза. Позволяет установить наличие ВИЧ, заболеваний крови, выявленный ранее аспергиллёз лёгких; получить данные о лечении цитостатиками/глюкокортикостероидами.
• Осмотр невролога. По характеру изменений неврологического статуса можно судить о наличии органического поражения мозговых структур, локализации патологического процесса.
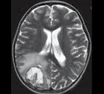
• Нейровизуализация. Применяют КТ или МРТ головного мозга, иногда - их комбинацию. Томограммы свидетельствуют о наличии абсцессов, ишемических участков с геморрагиями, внутримозговых кровоизлияний.
• Люмбальная пункция. Производится для забора ликвора. Аспергиллы редко обнаруживаются при исследовании полученной цереброспинальной жидкости. Анализ помогает исключить другие церебральные заболевания, диагностировать факт внутричерепного кровоизлияния.
• Лабораторная диагностика. Используют ИФА крови, спинномозговой жидкости, мочи на выявление аспергиллёзного антигена. Проводят ПЦР-диагностику. Достоверность последней составляет 67%, специфичность - 95%.
• Исследование органов дыхания. Необходимо для диагностики/исключения поражений дыхательной системы. Проводится рентгенография грудной клетки, КТ лёгких, бронхоскопия с забором мокроты и её последующим исследованием.
Церебральный аспергиллёз дифференцируют от туберкулёза, цистицеркоза, токсоплазмоза, бактериального абсцесса ГМ, лимфом церебральной локализации, внутримозговых опухолей. Ведущую роль в дифдиагностике играют результаты лабораторных исследований, выявление поражения органов дыхания.
• Сбор анамнеза. Позволяет установить наличие ВИЧ, заболеваний крови, выявленный ранее аспергиллёз лёгких; получить данные о лечении цитостатиками/глюкокортикостероидами.
• Осмотр невролога. По характеру изменений неврологического статуса можно судить о наличии органического поражения мозговых структур, локализации патологического процесса.
• Нейровизуализация. Применяют КТ или МРТ головного мозга, иногда - их комбинацию. Томограммы свидетельствуют о наличии абсцессов, ишемических участков с геморрагиями, внутримозговых кровоизлияний.
• Люмбальная пункция. Производится для забора ликвора. Аспергиллы редко обнаруживаются при исследовании полученной цереброспинальной жидкости. Анализ помогает исключить другие церебральные заболевания, диагностировать факт внутричерепного кровоизлияния.
• Лабораторная диагностика. Используют ИФА крови, спинномозговой жидкости, мочи на выявление аспергиллёзного антигена. Проводят ПЦР-диагностику. Достоверность последней составляет 67%, специфичность - 95%.
• Исследование органов дыхания. Необходимо для диагностики/исключения поражений дыхательной системы. Проводится рентгенография грудной клетки, КТ лёгких, бронхоскопия с забором мокроты и её последующим исследованием.
Церебральный аспергиллёз дифференцируют от туберкулёза, цистицеркоза, токсоплазмоза, бактериального абсцесса ГМ, лимфом церебральной локализации, внутримозговых опухолей. Ведущую роль в дифдиагностике играют результаты лабораторных исследований, выявление поражения органов дыхания.
|
|
Лечение
Терапия осуществляется системными антимикотическими препаратами. Сложность лечения поражений ГМ связана с плохим проникновением большинства противогрибковых средств через гематоэнцефалический барьер (ГЭБ). Кроме того, поступлению лекарственных препаратов в мозговые ткани препятствует окклюзия церебральных сосудов аспергиллами. В настоящее время препаратами выбора в лечении церебрального аспергиллёза выступают:
• Амфотерицин В. Высокоэффективный препарат, но с трудом проходит ГЭБ. Используется в комбинированной терапии с вориконазолом.
• Интраконазол может назначаться в качестве монотерапии. Хорошо накапливается мозговыми тканями. Концентрация в цереброспинальной жидкости невысокая.
• Вориконазол. Даёт хорошую концентрацию в ликворе, аккумулируется веществом головного мозга. Применяется самостоятельно, при неэффективности монотерапии - вместе с амфотерицином.
Противогрибковая терапия осуществляется на протяжении от полугода до нескольких лет. Критерием эффективности выступает стойкая стабилизация неврологической симптоматики, отсутствие увеличения числа и размеров церебральных очагов по данным магнитно-резонансной томографии.
• Амфотерицин В. Высокоэффективный препарат, но с трудом проходит ГЭБ. Используется в комбинированной терапии с вориконазолом.
• Интраконазол может назначаться в качестве монотерапии. Хорошо накапливается мозговыми тканями. Концентрация в цереброспинальной жидкости невысокая.
• Вориконазол. Даёт хорошую концентрацию в ликворе, аккумулируется веществом головного мозга. Применяется самостоятельно, при неэффективности монотерапии - вместе с амфотерицином.
Противогрибковая терапия осуществляется на протяжении от полугода до нескольких лет. Критерием эффективности выступает стойкая стабилизация неврологической симптоматики, отсутствие увеличения числа и размеров церебральных очагов по данным магнитно-резонансной томографии.
Прогноз
Аспергиллёз мозговой локализации всегда имеет серьёзный прогноз, связанный также с основным заболеванием, ставшим причиной иммунной супрессии (гемобластозом, злокачественными новообразованиями, СПИДом). Своевременно начатая и адекватно подобранная терапия антимикотиками позволяет добиться ремиссии, продлить жизнь больных.
Профилактика
Предупредить аспергиллёз у пациентов с иммунодефицитом помогает исключение сельскохозяйственных работ, контактов с почвой, общения с животными, нахождения в запылённых местах. В помещении, где находится больной (дома, в лечебном учреждении), не рекомендуется держать комнатные растения. В больницах для профилактики инфицирования иммунокомпрометированные пациенты размещаются в индивидуальных палатах со специальными шлюзами, воздушными фильтрами.