Другие названия и синонимы
Lung aspergilloma, аспергиллёзная мицетома.
МКБ-10 коды
|
|
Описание
Аспергиллома легких. Это сферическое образование, которое образовано расширяющимся и переплетенным мицелием плесени Aspergillus и заполняет бронхоэктазию и полости паренхимы легкого. Это проявляется как кашель с кровохарканьем, легким одышкой, общим отравлением. Патология часто скрыта. Выявляется с помощью рентгенографии, компьютерной томографии легких, лабораторных методов диагностики, патоморфологических исследований биопсии и резецированного материала. Аспергиллома удаляется хирургическим путем, и после операции используется консервативная противогрибковая терапия.
Дополнительные факты
Аспергиллома легкого (мицетома) характеризуется неинвазивным сапрофитным внутриполостным ростом колонии микромицетов. В некоторых случаях присутствие грибного шарика наносит значительный ущерб здоровью курьера. У половины пациентов патология протекает бессимптомно и является случайным открытием во время рентгенологического исследования. 50-70% пациентов обеспокоены кровохарканьем, примерно у трети из них развиваются опасные для жизни легочные кровотечения. Чаще всего (в 40-90% случаев) аспергиллома формируется на фоне посттуберкулезных изменений в дыхательной системе, реже (1-15%) в интактной легочной ткани. Мужчины болеют чаще, чем женщины. У детей такой формы аспергиллеза не возникает.
Причины
Аспергиллома развивается вследствие активности плесневых грибов рода Aspergillus. Эти микромицеты вездесущи. Они живут в почве, играют роль в порче некоторых продуктов питания и используются в пищевой и фармацевтической промышленности. Аспергилл присутствует в помещениях и во внешней среде и аэрогенно поступает в дыхательную систему. Они являются оппортунистическими патогенами и вызывают заболевания при определенных обстоятельствах. Развитию патологического процесса способствует снижение функции иммунитета, возникающее при длительном лечении кортикостероидами, цитостатиками, лучевой терапией.
Условием формирования мицелия аспергиллезной этиологии является наличие дефектов любого генеза в легочной ткани диаметром не менее 2 Грибы колонизируют дезинфицированные туберкулезные пещеры, легочные и бронхиальные кисты, занимают остаточные дефекты у пациентов с саркоидозом, гистиоцитозом и некоторым пневмокониозом. Авторы научных статей в области практической пульмонологии и инфектологии описывают несколько случаев роста аспергилуса при распадающихся раковых опухолях, а также в свете здоровых бронхов.
Условием формирования мицелия аспергиллезной этиологии является наличие дефектов любого генеза в легочной ткани диаметром не менее 2 Грибы колонизируют дезинфицированные туберкулезные пещеры, легочные и бронхиальные кисты, занимают остаточные дефекты у пациентов с саркоидозом, гистиоцитозом и некоторым пневмокониозом. Авторы научных статей в области практической пульмонологии и инфектологии описывают несколько случаев роста аспергилуса при распадающихся раковых опухолях, а также в свете здоровых бронхов.
Патогенез
При вдыхании частицы пыли, содержащие споры Aspergillus, попадают в дыхательные пути человека. Они оседают и прорастают в бронхоэктазии, бронхиальных кистах или пещерах. Микромицеты секретируют протеолитические ферменты, которые частично разрушают эпителиальные клетки, которые выстилают полость изнутри. Развивается мягкий воспалительный процесс. Плесень питается клеточным детритом, растет и размножается. Аспергиллома постепенно увеличивается в размерах. При зарастании патологическое образование может повредить кровеносный сосуд и вызвать легочное кровотечение.
Для микетомы обычно характерен внутриполостный рост без повреждения окружающей ткани паренхимы. Рост грибной массы может привести к полному запору бронхов и смерти Aspergillus из-за недостатка кислорода. При значительном снижении иммунитета активное размножение возбудителей часто приводит к развитию инвазивного аспергиллеза легких.
Морфологически легочная аспергиллома представляет собой крупное сферическое или несколько удлиненное овальное образование, просвет которого неоднородно заполнен рыхлой коричневой разрушенной массой, представленной грибковым мицелием и клеточным детритом.
Для микетомы обычно характерен внутриполостный рост без повреждения окружающей ткани паренхимы. Рост грибной массы может привести к полному запору бронхов и смерти Aspergillus из-за недостатка кислорода. При значительном снижении иммунитета активное размножение возбудителей часто приводит к развитию инвазивного аспергиллеза легких.
Морфологически легочная аспергиллома представляет собой крупное сферическое или несколько удлиненное овальное образование, просвет которого неоднородно заполнен рыхлой коричневой разрушенной массой, представленной грибковым мицелием и клеточным детритом.
Классификация
Существуют единичные и множественные аспергиллезные мицетомы. Процесс может быть односторонним или распространяться на оба легких. В больших полостях и крупных бронхах могут быть локализованы один или несколько грибных шариков. В литературе часто существует разделение образований на простые и сложные, но современные медицинские рекомендации рекомендуют классифицировать патологию следующим образом:
• Простая аспергиллома. Он заполняет тонкостенную кисту и характеризуется минимальной воспалительной реакцией соседней легочной паренхимы.
• Хронический полостной аспергиллез легких. Стенки полости образования, содержащие грибковые гифы, утолщены неравномерно, налицо явные признаки воспаления и плевральной реакции. Процесс многократный. Наблюдается увеличение количества и размеров инфильтратов.
• Простая аспергиллома. Он заполняет тонкостенную кисту и характеризуется минимальной воспалительной реакцией соседней легочной паренхимы.
• Хронический полостной аспергиллез легких. Стенки полости образования, содержащие грибковые гифы, утолщены неравномерно, налицо явные признаки воспаления и плевральной реакции. Процесс многократный. Наблюдается увеличение количества и размеров инфильтратов.
Клиническая картина
В течение длительного периода времени, расположенного в легких, аспергиллома протекает бессимптомно. Это обнаруживается случайно во время рутинного осмотра. По мере роста пласта постоянный кашель присоединяется к зеленовато-зеленой мокроте и окрашивается кровью. Часто возникает легочное кровотечение. Симптомы общего отравления умеренные. Температура тела может иногда повышаться до субфебрильных значений, наблюдается умеренная слабость и небольшое постепенное снижение массы тела.
Вторичная инфекция мицетомы бактериальной микрофлорой сопровождается лихорадкой с ознобом и потоотделением. Кашель становится более частым, мокрота становится грязно-коричневой. Появляются боли в груди, которые усиливаются при вдохе, одышка при небольших физических усилиях, усиление признаков интоксикации. Подобная клиническая картина характерна для многих первичных легочных процессов. Симптомы аспергилломы часто трудно отличить от проявлений основных заболеваний.
Ассоциированные симптомы: Боль в грудной клетке. Кашель. Кровохарканье. Одышка. Озноб. Потливость.
Вторичная инфекция мицетомы бактериальной микрофлорой сопровождается лихорадкой с ознобом и потоотделением. Кашель становится более частым, мокрота становится грязно-коричневой. Появляются боли в груди, которые усиливаются при вдохе, одышка при небольших физических усилиях, усиление признаков интоксикации. Подобная клиническая картина характерна для многих первичных легочных процессов. Симптомы аспергилломы часто трудно отличить от проявлений основных заболеваний.
Ассоциированные симптомы: Боль в грудной клетке. Кашель. Кровохарканье. Одышка. Озноб. Потливость.
Возможные осложнения
Иногда (примерно в 10% случаев) спергиллома спонтанно регрессирует. Однако тактика ожидания для наблюдения за пациентами с этой патологией не используется из-за высокого риска развития опасных осложнений. Стенка мицетомы хорошо снабжена кровью, а мицелий гриба повреждает кровеносные сосуды во время роста.
У большинства пациентов с этим типом легочной массы со временем развивается кровохарканье. Массивное легочное кровотечение встречается примерно у трети пациентов и часто приводит к смерти. Еще одним грозным осложнением патологического процесса является прогрессирование аспергиллеза, развитие инвазивной формы заболевания с высокой смертностью (до 90%).
У большинства пациентов с этим типом легочной массы со временем развивается кровохарканье. Массивное легочное кровотечение встречается примерно у трети пациентов и часто приводит к смерти. Еще одним грозным осложнением патологического процесса является прогрессирование аспергиллеза, развитие инвазивной формы заболевания с высокой смертностью (до 90%).
Диагностика
Аспергиллома обычно возникает на фоне другого постоянного заболевания легких или его последствий. Диагностическое исследование проводится пульмонологами совместно со специалистами по инфекционным заболеваниям. Иногда эту форму аспергиллеза трудно отличить от туберкулеза или рака легких, а врачи и онкологи участвуют в диагностике. При сборе истории болезни учитывается профессиональная деятельность пациента и наличие хронических заболеваний легких. При осмотре и физикальном осмотре выявляются признаки основного заболевания. Окончательный диагноз основан на:
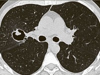
Одиночные или множественные сферические тени обнаруживаются на рентгенограммах и КТ легких, чаще всего располагаются в верхних долях с одной или обеих сторон. Патогномоничным признаком мицетомы является симптом полумесяца - наличие воздушной полосы, которая отделяет большую часть массы гриба от стенки полости. Когда положение тела пациента изменяется, наблюдается внутриполостное движение шарика, образованного аспергиллусом - симптом погремушки.
• Иммунологические тесты. Антитела к аспергилломе - иммуноглобулины G - обнаруживаются в сыворотке крови большинства пациентов с легочной аспергилломой. Исключение составляют пациенты, которые получают длительное лечение кортикостероидными гормонами. У них часто нет сывороточных антител.
• Микроскопия и культуральная диагностика. Это точные методы диагностики, но не всегда информативные. Микроскопическое исследование мокроты и / или бронхиального лаважа иногда выявляет фрагменты гиф аспергилл. Посев биологического материала на питательные среды только в половине случаев дает рост колоний микромицетов.
• Гистологическое исследование. Биопсийный материал берется во время бронхоскопии или трансторакального доступа. Срезы легкого, резецированные сферическими образованиями, также подвергают морфологическому исследованию. Накопление грибов обнаружено под микроскопом с характерным ветвлением мицелия под острым углом.
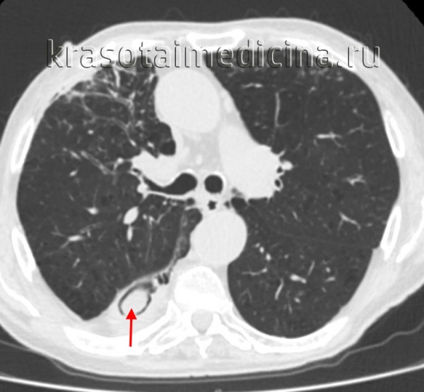
КТ ОГК. Формирование объема полости в нижней доле правого легкого частично заполнено грибными массами.
Одиночные или множественные сферические тени обнаруживаются на рентгенограммах и КТ легких, чаще всего располагаются в верхних долях с одной или обеих сторон. Патогномоничным признаком мицетомы является симптом полумесяца - наличие воздушной полосы, которая отделяет большую часть массы гриба от стенки полости. Когда положение тела пациента изменяется, наблюдается внутриполостное движение шарика, образованного аспергиллусом - симптом погремушки.
• Иммунологические тесты. Антитела к аспергилломе - иммуноглобулины G - обнаруживаются в сыворотке крови большинства пациентов с легочной аспергилломой. Исключение составляют пациенты, которые получают длительное лечение кортикостероидными гормонами. У них часто нет сывороточных антител.
• Микроскопия и культуральная диагностика. Это точные методы диагностики, но не всегда информативные. Микроскопическое исследование мокроты и / или бронхиального лаважа иногда выявляет фрагменты гиф аспергилл. Посев биологического материала на питательные среды только в половине случаев дает рост колоний микромицетов.
• Гистологическое исследование. Биопсийный материал берется во время бронхоскопии или трансторакального доступа. Срезы легкого, резецированные сферическими образованиями, также подвергают морфологическому исследованию. Накопление грибов обнаружено под микроскопом с характерным ветвлением мицелия под острым углом.
КТ ОГК. Формирование объема полости в нижней доле правого легкого частично заполнено грибными массами.
|
|
Лечение
Из-за риска легочного кровотечения аспергиллома подлежит хирургическому удалению. Объем хирургического вмешательства зависит от размеров и количества образований, характера фонового процесса. Обычно вместе с мицетомой пораженную долю легкого удаляют. Односторонний процесс с наличием множественного аспергилла, с тяжелыми клиническими проявлениями, рецидивирующим кровохарканьем, является показанием к пневмэктомии.
В последние годы регионарная резекция легочных органов, сегментэктомия и лобэктомия выполняются все чаще и чаще. Сохраняются торакоскопические операции. В послеоперационном периоде назначают фунгицидные и иммуномодулирующие препараты.
В последние годы регионарная резекция легочных органов, сегментэктомия и лобэктомия выполняются все чаще и чаще. Сохраняются торакоскопические операции. В послеоперационном периоде назначают фунгицидные и иммуномодулирующие препараты.
Прогноз
Прогноз во многом зависит от тяжести основного заболевания и состояния иммунитета. Здоровые иммунокомпетентные люди выздоравливают после легкого хирургического лечения. Большой объем операций (лобэктомия, пульмонэктомия) с уменьшенным легочным резервом приводит к дыхательной недостаточности и инвалидности пациента. Смерть от массивного легочного кровотечения возникает у пациентов с нелеченной аспергилломой в 2-14% случаев.
Профилактика
Профилактические меры сводятся к регулярному рентгенологическому обследованию пациентов, страдающих хроническими заболеваниями дыхательной системы, и своевременному лечению фоновых процессов.
Список литературы
1. Лискина И.В. Аспергиллома легкого / И.В. Лискина, С.Д. Кузовкова // Международный медицинский журнал. 2011 - №4.
2. Клинико-иммунологические особенности неинвазивного аспергиллеза легких: Автореферат диссертации/ Павленко Т.Г. 2008.
3. Аспергиллез легких: клинические формы, диагностика, лечение/ Гаврисюк В., Кривец В.А. Украинский пульмонологический журнал. 2015 - №4.
2. Клинико-иммунологические особенности неинвазивного аспергиллеза легких: Автореферат диссертации/ Павленко Т.Г. 2008.
3. Аспергиллез легких: клинические формы, диагностика, лечение/ Гаврисюк В., Кривец В.А. Украинский пульмонологический журнал. 2015 - №4.