Другие названия и синонимы
Lung agenesis.
МКБ-10 коды
- МКБ-10
- Q33.3 Агенезия легкого
|
|
Описание
Это врожденная патология развития органов дыхания, при которой легочная ткань и главный бронх одного или обоих легких полностью отсутствуют. В редких случаях он протекает бессимптомно, чаще возникает кашель с небольшими выделениями, одышка с небольшими физическими усилиями, асимметрия грудной клетки и задержка ее соответствующей половины в акте дыхания. Патология диагностируется с помощью лучевых методов, для обследования органов грудной полости, бронхоскопии. Симптоматическое лечение проводится с целью устранения гипоксии и прерывания воспалительных процессов в верхних и нижних дыхательных путях.
Дополнительные факты
Агенез легкого - редкий порок развития дыхательной системы. Среди всех врожденных аномалий дыхательных путей эта патология занимает 13 место по частоте встречаемости и наблюдается у 1 из 15 тысяч новорожденных. Это чаще выявляется у мальчиков. Некоторые авторы медицинских статей по клинической пульмонологии применяют термин «агенез» к легочной аплазии, в которой полностью развит основной бронх, но нет легочной паренхимы. Двусторонний агенез или аплазия легких несовместимы с жизнью. В 30% случаев правое легкое отсутствует. Дефект часто сочетается с другими, часто множественными нарушениями развития различных органов и систем.
Причины
Легочный агенез является результатом остановки развития эмбриона бронхиальной почки, закладка которого происходит в начале (3-4 недели беременности) эмбриогенеза. Воздействие неблагоприятных внешних факторов на организм беременной женщины до 16 недель может вызвать нарушения в формировании дыхательной системы. Врожденные дефекты дыхательной системы возникают из-за механических повреждений, воздействия ионизирующего излучения и других вредных физических и химических факторов.
Причиной возникновения или аплазии легких могут быть заболевания матери с вирусной или бактериальной этиологией, лекарственные средства с тератогенными побочными эффектами, активное или пассивное курение. Иногда отсутствие легкого наблюдается с некоторыми хромосомными аберрациями. Случаи семейной гипоплазии и аплазии альвеолярной ткани описаны в литературе. Некоторое значение для формирования дефекта имеет олигогидрамниоз у беременной женщины, который вызывает появление деформаций молочной железы у плода и диафрагмальных грыж. Существует тесная связь между патологией и почечным агенезом и другими нарушениями в мочевой системе.
Причиной возникновения или аплазии легких могут быть заболевания матери с вирусной или бактериальной этиологией, лекарственные средства с тератогенными побочными эффектами, активное или пассивное курение. Иногда отсутствие легкого наблюдается с некоторыми хромосомными аберрациями. Случаи семейной гипоплазии и аплазии альвеолярной ткани описаны в литературе. Некоторое значение для формирования дефекта имеет олигогидрамниоз у беременной женщины, который вызывает появление деформаций молочной железы у плода и диафрагмальных грыж. Существует тесная связь между патологией и почечным агенезом и другими нарушениями в мочевой системе.
Патогенез
При полном отсутствии легкого наблюдается увеличение викария второго, смещение сердца и магистральных сосудов. Единственное большое легкое - это гемиторакс. Агенез правой стороны сопровождается максимальным смещением средостения вправо. При отсутствии левого легкого сердце вращается вокруг продольной оси тела, так что его вершина расположена на стороне грудной полости. Без перепончатой части трахея плавно, не образуя бифуркации, переходит в главный бронх. Легочные сосуды отсутствуют.
При аплазии легких происходит раздвоение трахеи и главного бронха, который заканчивается вслепую, диаметр которого обычно меньше соответствующего бронха на здоровой стороне. Альвеолярной ткани и бронхиального дерева нет. Одиночное легкое, как правило, не способно обеспечить полноценный газообмен, поэтому развивается хроническая гипоксия. Это усугубляется воспалительными процессами, которые встречаются позже. Смещение средостения приводит к сердечно-сосудистой недостаточности.
При аплазии легких происходит раздвоение трахеи и главного бронха, который заканчивается вслепую, диаметр которого обычно меньше соответствующего бронха на здоровой стороне. Альвеолярной ткани и бронхиального дерева нет. Одиночное легкое, как правило, не способно обеспечить полноценный газообмен, поэтому развивается хроническая гипоксия. Это усугубляется воспалительными процессами, которые встречаются позже. Смещение средостения приводит к сердечно-сосудистой недостаточности.
Клиническая картина
Патология может не беспокоить пациента в течение длительного времени и может быть случайно обнаружена во время обследования по другой причине. Однако чаще всего дыхательная недостаточность выявляется с раннего детства. Ребенок чувствует себя плохо, быстро устает и засыпает во время сосания. Носогубный треугольник становится синим во время кормления. Больные дети задерживаются в физическом развитии, у них снижена толерантность к физическим нагрузкам. Одышка, возникающая во время физических нагрузок, когда ребенок растет, прогрессирует и становится постоянным.
Респираторные инфекции тяжелые, с тяжелой дыхательной недостаточностью, непродуктивным кашлем. Дети часто жалуются на боль в груди. Сундук деформирован. Наблюдается уплощение или опускание одной из половинок, задержка дыхания. У больных проявляются признаки дистальной гипертрофической остеоартропатии - утолщение концевых фаланг пальцев, как палочек, смена ногтей в виде часовых очков. Агенезия долей или сегментов легких не имеет клинического значения.
Ассоциированные симптомы: Боль в грудной клетке. Кашель. Одышка. Пальцы - барабанные палочки.
Респираторные инфекции тяжелые, с тяжелой дыхательной недостаточностью, непродуктивным кашлем. Дети часто жалуются на боль в груди. Сундук деформирован. Наблюдается уплощение или опускание одной из половинок, задержка дыхания. У больных проявляются признаки дистальной гипертрофической остеоартропатии - утолщение концевых фаланг пальцев, как палочек, смена ногтей в виде часовых очков. Агенезия долей или сегментов легких не имеет клинического значения.
Ассоциированные симптомы: Боль в грудной клетке. Кашель. Одышка. Пальцы - барабанные палочки.
Возможные осложнения
Агенез легкого в течение первого года жизни приводит к смерти 30-50% детей, рожденных с этим дефектом. Непосредственной причиной смерти является острая дыхательная недостаточность, гнойные воспалительные процессы одного легкого, сопутствующие дефекты центральной нервной системы, сердца и мочевыделительной системы. Правосторонний агенез более тяжелый, чаще сочетается с другими врожденными аномалиями. При аплазии возможны избыток трахеи, смещение аорты и легочного ствола, связанные с бифуркацией, что приводит к тяжелой легочной болезни сердца.
Диагностика
Пульмонолог участвует в диагностическом поиске подозреваемого легочного агенеза. При сборе анамнеза указывается ограничение начала заболевания, наличие других врожденных аномалий. При осмотре привлекают внимание характерные деформации грудной клетки и дистальных фаланг пальцев. Окончательный диагноз основан на следующих данных:
• Физические исследования. При перкуссии происходит резкое смещение сердечной тупости в сторону поражения. Пальпация апикального импульса определяется в правой или левой подмышечной области. Здесь отчетливо слышны тоны сердца, а агенез правой стороны часто ошибочно принимается за декстрокардию. Обратите внимание на укорочение перкуссионного звука в проекции отсутствующего органа, но при аускультации этой области слышны дыхательные шумы.
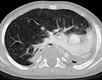
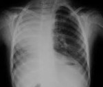
На рентгенограмме легких видно смещение средостения к больной стороне. В верхних отделах пораженного гемиторакса имеется участок нормальной ткани легкого, что может привести к ошибочному диагнозу. В целях дифференциальной диагностики этого дефекта с гидротораксом, ателектазом или диафрагмальной грыжей выполняется сканер грудной клетки. Контраст трахеобронхиального дерева во время бронхографии позволяет отличить легочную аплазию от агенеза. Ангиопульмонография выявляет отсутствие легочных сосудов.
• Эндоскопическая диагностика. Бронхоскопия позволяет обнаружить отсутствие карины и одного из основных бронхов. При аплазии легочной ткани обнаруживается короткий, слепой бронх, заканчивающийся относительно небольшим диаметром, часто с признаками хронического эндобронхита.
• Функциональные приемы. Изучение функции внешнего дыхания носит вспомогательный характер и вместе с пульсовой оксиметрией помогает установить степень дыхательной недостаточности. На спирограмме определяются рестриктивные изменения различной степени тяжести, насыщение крови кислородом обычно снижается. На электрокардиограмме напряжение снижено, появляются признаки перегрузки правого сердца, тахикардия и нарушение ритма.
• Физические исследования. При перкуссии происходит резкое смещение сердечной тупости в сторону поражения. Пальпация апикального импульса определяется в правой или левой подмышечной области. Здесь отчетливо слышны тоны сердца, а агенез правой стороны часто ошибочно принимается за декстрокардию. Обратите внимание на укорочение перкуссионного звука в проекции отсутствующего органа, но при аускультации этой области слышны дыхательные шумы.
На рентгенограмме легких видно смещение средостения к больной стороне. В верхних отделах пораженного гемиторакса имеется участок нормальной ткани легкого, что может привести к ошибочному диагнозу. В целях дифференциальной диагностики этого дефекта с гидротораксом, ателектазом или диафрагмальной грыжей выполняется сканер грудной клетки. Контраст трахеобронхиального дерева во время бронхографии позволяет отличить легочную аплазию от агенеза. Ангиопульмонография выявляет отсутствие легочных сосудов.
• Эндоскопическая диагностика. Бронхоскопия позволяет обнаружить отсутствие карины и одного из основных бронхов. При аплазии легочной ткани обнаруживается короткий, слепой бронх, заканчивающийся относительно небольшим диаметром, часто с признаками хронического эндобронхита.
• Функциональные приемы. Изучение функции внешнего дыхания носит вспомогательный характер и вместе с пульсовой оксиметрией помогает установить степень дыхательной недостаточности. На спирограмме определяются рестриктивные изменения различной степени тяжести, насыщение крови кислородом обычно снижается. На электрокардиограмме напряжение снижено, появляются признаки перегрузки правого сердца, тахикардия и нарушение ритма.
|
|
Лечение
Особых терапевтических методов нет. Симптоматическая консервативная терапия назначается. Основной целью лечения является максимальное поддержание функциональных возможностей одиночного легкого и предотвращение развития осложнений. В результате кислородной терапии в детском возрасте легкие могут расти и полностью развиваться. При каждом воспалительном процессе дыхательных путей пациент с агенезом госпитализируется. Назначаются антибиотики широкого спектра действия. Механическая вентиляция может потребоваться при серьезных осложнениях.
Из-за анатомических особенностей таких пациентов пересадка легкого пока невозможна. При необходимости проводится хирургическое лечение сопутствующих нарушений в развитии сердечно-сосудистой системы, закрытие трахеобронхиального свища и коррекция других дефектов. Избыток трахеи, вызванный аплазией и ее сдавливанием аортой, требует срочного хирургического вмешательства по состоянию здоровья.
Из-за анатомических особенностей таких пациентов пересадка легкого пока невозможна. При необходимости проводится хирургическое лечение сопутствующих нарушений в развитии сердечно-сосудистой системы, закрытие трахеобронхиального свища и коррекция других дефектов. Избыток трахеи, вызванный аплазией и ее сдавливанием аортой, требует срочного хирургического вмешательства по состоянию здоровья.
Прогноз
Двусторонняя аплазия или агенез легких всегда приводит к мертворождению. Половина детей с односторонним процессом умирает в раннем возрасте. Иногда легочный агенез протекает бессимптомно. Прогноз в значительной степени зависит от наличия другой комбинированной врожденной патологии и значительно ухудшается с добавлением респираторной инфекции. Любой гнойный воспалительный процесс в дыхательной системе является смертельным состоянием для пациентов с одним легким.
Профилактика
Первичная профилактика включает в себя здоровый образ жизни женщины во время беременности, своевременный пренатальный скрининг, направленный на выявление аномалий в развитии плода. Вторичные профилактические меры направлены на предупреждение острой бронхолегочной патологии и хронического процесса. Пациенты с легочным агенезом проходят медицинское обследование, нуждаются в прививках против гриппа и других респираторных инфекций и должны быть рационально приняты на работу.
Список литературы
1. Пороки и аномалии развития, наследственно-детерминированные заболевания. Научно-информационный материал/ Российский национальный исследовательский университет им. Н.И. Пирогова - 2011.
2. Болезни органов дыхания у детей/ Рачинский С.В., Таточенко В., Артамонов Р.Г. 1987.
3. Клинический случай агенезии легкого у ребенка грудного возраста/ Ерохина О.И., Белых Н.А. Здоровье ребенка - 2011 - №1.
2. Болезни органов дыхания у детей/ Рачинский С.В., Таточенко В., Артамонов Р.Г. 1987.
3. Клинический случай агенезии легкого у ребенка грудного возраста/ Ерохина О.И., Белых Н.А. Здоровье ребенка - 2011 - №1.