Другие названия и синонимы
Hypothalamic hamartoma.
МКБ-10 коды
|
|
Описание
Гамартома гипоталамуса. Это редкая доброкачественная опухоль гипоталамуса, гистологически напоминающая ганглиоцитому. Этиологические факторы точно не установлены. Новообразование проявляется эпилептическими припадками, снижением когнитивных способностей и опережающим периодом полового созревания. Для диагностики новообразований гипоталамуса требуется электроэнцефалография, МРТ головного мозга. Лечение включает противосудорожные препараты, транскраниальные физические методы воздействия (магнитная стимуляция, микрополяризация), нейрохирургические операции.
Дополнительные факты
Врожденные гамартомы гипоталамуса крайне редки в клинической неврологии: примерно 1 случай на 200 000 живорождений. Половых и расовых различий в заболеваемости не выявлено. Согласно классификации новообразований центральной нервной системы (ВОЗ, 1993), патология относится к категории «опухолевидные кисты и поражения». Большая актуальность проблемы связана с неспецифичностью симптомов, сложностью своевременной диагностики, что создает препятствия для адекватного лечения опухоли.
Причины
Гамартомы относятся к категории эмбриональных доброкачественных образований, которые образуются у детей в период раннего внутриутробного развития (первый триместр беременности). До сих пор в детской неврологии нет общепринятого представления о появлении новообразований. Считается, что они возникают спонтанно под воздействием факторов риска, которые объединены в следующие группы:
• Генетические нарушения. Точечные генные мутации остаются одной из основных причин аномалий развития центральной нервной системы, однако их детальное изучение затруднено из-за большого разнообразия патологий, полиморфизма клинической картины.
• Тератогенные факторы. Поражение гипоталамуса часто вызывается нейроинфекциями (токсоплазмоз, краснуха, вирусы простого герпеса), физическими повреждениями (ионизирующее излучение), химическими токсинами (некоторые лекарства, бытовая химия, сельскохозяйственные яды).
• Патология беременности. Гамартомы чаще встречаются у детей матерей с экстрагенитальными заболеваниями (сердечно-сосудистая недостаточность, эндокринные нарушения, заболевания печени и почек), а также при осложненной беременности (отравления, резус-конфликт).
• Генетические нарушения. Точечные генные мутации остаются одной из основных причин аномалий развития центральной нервной системы, однако их детальное изучение затруднено из-за большого разнообразия патологий, полиморфизма клинической картины.
• Тератогенные факторы. Поражение гипоталамуса часто вызывается нейроинфекциями (токсоплазмоз, краснуха, вирусы простого герпеса), физическими повреждениями (ионизирующее излучение), химическими токсинами (некоторые лекарства, бытовая химия, сельскохозяйственные яды).
• Патология беременности. Гамартомы чаще встречаются у детей матерей с экстрагенитальными заболеваниями (сердечно-сосудистая недостаточность, эндокринные нарушения, заболевания печени и почек), а также при осложненной беременности (отравления, резус-конфликт).
Патогенез
Гипоталамус - это структура промежуточного мозга; Есть 50 пар ядер, каждое из которых выполняет определенную функцию. Орган имеет нейронные связи с корой головного мозга, мозжечком, стволом и спинным мозгом, регулирует жизненно важные функции (голод, жажда, сон и бодрствование), влияет на высшую умственную деятельность, выделяет гормоны, контролирующие работу желез внутренней секреции.
При образовании эмбриональной опухоли нарушаются все функции гипоталамуса, что проявляется множеством патологических симптомов. Степень нарушений зависит от размера гамартомы: новообразования медленно увеличиваются в размерах, сдавливают окружающую нервную ткань, вызывая ухудшение симптомов. Гамартома имеет ту же гистологическую структуру, что и здоровые части гипоталамуса, но клетки аномальные и незрелые.
По морфологической классификации эмбриональные новообразования гипоталамуса относятся к ганглиоцитомам. Они содержат элементы симпатических нервных узлов, клеток с низким пролиферативным потенциалом, минимальной ядерной атипией и высокой степенью дифференцировки - признаки, указывающие на доброкачественный характер новообразования.
При образовании эмбриональной опухоли нарушаются все функции гипоталамуса, что проявляется множеством патологических симптомов. Степень нарушений зависит от размера гамартомы: новообразования медленно увеличиваются в размерах, сдавливают окружающую нервную ткань, вызывая ухудшение симптомов. Гамартома имеет ту же гистологическую структуру, что и здоровые части гипоталамуса, но клетки аномальные и незрелые.
По морфологической классификации эмбриональные новообразования гипоталамуса относятся к ганглиоцитомам. Они содержат элементы симпатических нервных узлов, клеток с низким пролиферативным потенциалом, минимальной ядерной атипией и высокой степенью дифференцировки - признаки, указывающие на доброкачественный характер новообразования.
Классификация
Благодаря улучшенной магнитно-резонансной диагностике новообразований гипоталамуса у детей гамартомы были разделены на 3 типа в зависимости от анатомической локализации, что важно для определения основных симптомов и выбора тактики лечения. Возможны следующие варианты локализации зародышевого образования:
• Подгипоталамический (ножковый). Он диагностируется у 67% пациентов и характеризуется расположением гамартомы близко к вентральной поверхности гипоталамуса.
• Супраипоталамический. Наблюдается в 18,5% случаев и представляет собой рост опухоли в области хиазмального кармана третьего желудочка.
• Внутригипоталамический (сидячий). Он определяется у 14,5% людей, страдающих гамартомами гипоталамуса. Новообразование занимает место серого бугорка и на широком основании присоединяется к его вентральной части.
• Подгипоталамический (ножковый). Он диагностируется у 67% пациентов и характеризуется расположением гамартомы близко к вентральной поверхности гипоталамуса.
• Супраипоталамический. Наблюдается в 18,5% случаев и представляет собой рост опухоли в области хиазмального кармана третьего желудочка.
• Внутригипоталамический (сидячий). Он определяется у 14,5% людей, страдающих гамартомами гипоталамуса. Новообразование занимает место серого бугорка и на широком основании присоединяется к его вентральной части.
Клиническая картина
Проявление заболевания происходит в основном у детей раннего возраста, однако не исключены случаи клинического проявления новообразования у подростков или взрослых. Чем раньше появляются первые признаки гамартомы, тем больше размер новообразования и тем сильнее оно нарушает работу гипоталамуса. В клинической картине можно выделить 3 основных симптома: эпилептические припадки (87,5% пациентов), умственная отсталость, признаки преждевременного полового созревания (62,5%).
Отличительной особенностью гамартомы гипоталамуса являются студенистые судороги - самая редкая форма судорожных пароксизмов, встречающаяся у 0,1% больных эпилепсией. Судороги у детей в основном представлены приступами бурного смеха. Пароксизмы дополняются вегетативными нарушениями: расширением зрачков, покраснением лица, дискомфортом в животе, недержанием мочи.
Преждевременное половое созревание диагностируется при появлении вторичных половых признаков у мальчиков до 9 лет и у девочек до 8 лет. У мальчиков голос становится хриплым, начинает проявляться кадык, увеличиваются линейные размеры яичек и полового члена. У девочек набухают молочные железы, появляются волосы в подмышечных впадинах и лобковой области, начинается менструация. Также типичны прыщи, повышенная жирность кожи и резкий запах пота.
Когнитивные расстройства различной степени выраженности наблюдаются у 100% пациентов. В раннем возрасте они проявляются задержкой речевой функции, поздним развитием сидения, стояния, ходьбы и отсутствием познавательной активности у детей. По мере роста ребенка симптомы дополняются расстройствами психоэмоциональной сферы: нестабильность настроения, всплески агрессии, чрезмерная замкнутость.
Ассоциированные симптомы: Агрессивность. Замкнутость. Судороги. Судороги в ногах.
Отличительной особенностью гамартомы гипоталамуса являются студенистые судороги - самая редкая форма судорожных пароксизмов, встречающаяся у 0,1% больных эпилепсией. Судороги у детей в основном представлены приступами бурного смеха. Пароксизмы дополняются вегетативными нарушениями: расширением зрачков, покраснением лица, дискомфортом в животе, недержанием мочи.
Преждевременное половое созревание диагностируется при появлении вторичных половых признаков у мальчиков до 9 лет и у девочек до 8 лет. У мальчиков голос становится хриплым, начинает проявляться кадык, увеличиваются линейные размеры яичек и полового члена. У девочек набухают молочные железы, появляются волосы в подмышечных впадинах и лобковой области, начинается менструация. Также типичны прыщи, повышенная жирность кожи и резкий запах пота.
Когнитивные расстройства различной степени выраженности наблюдаются у 100% пациентов. В раннем возрасте они проявляются задержкой речевой функции, поздним развитием сидения, стояния, ходьбы и отсутствием познавательной активности у детей. По мере роста ребенка симптомы дополняются расстройствами психоэмоциональной сферы: нестабильность настроения, всплески агрессии, чрезмерная замкнутость.
Ассоциированные симптомы: Агрессивность. Замкнутость. Судороги. Судороги в ногах.
Возможные осложнения
Умственная отсталость, возникающая при гамартоме гипоталамуса, вызывает серьезные нарушения социализации у детей, создает проблемы в школе. Степень умственной отсталости варьируется от легкой, когда способность к обучению сохраняется, до тяжелой, когда ребенок имеет только базовые навыки самообслуживания, а речевые навыки ограничиваются отдельными словами.
При прогрессировании опухоли гипоталамуса происходит полное изменение промежуточного мозга, что проявляется генерализованной эпилепсией. Если не лечить, у детей может развиться эпилептический статус - опасное для жизни состояние, при котором происходит серия припадков без прихода в сознание. Преждевременное половое развитие чревато преждевременным закрытием зон роста костей, девочки подвержены риску синдрома поликистозных яичников.
При прогрессировании опухоли гипоталамуса происходит полное изменение промежуточного мозга, что проявляется генерализованной эпилепсией. Если не лечить, у детей может развиться эпилептический статус - опасное для жизни состояние, при котором происходит серия припадков без прихода в сознание. Преждевременное половое развитие чревато преждевременным закрытием зон роста костей, девочки подвержены риску синдрома поликистозных яичников.
Диагностика
Гамартома гипоталамуса может быть заподозрена при клиническом осмотре детским неврологом на наличие неконтролируемых расстройств смеха. При медицинском осмотре оценивается степень двигательного и умственного развития ребенка, сохранность рефлекторной деятельности и работа органов чувств. Для верификации диагноза назначаются инструментальные методы:
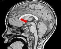
• МРТ головного мозга. На снимках МРТ отображается объемное образование однородной структуры с четкими контурами, в котором не накапливается контрастное вещество, отсутствуют признаки инвазивного роста. При обследовании в режиме Т1 очаг гипоинтенсивный, а в режиме Т2 - переменный гиперинтенсивный.
• ЭЭГ. По результатам исследования определяются различные варианты эпилептической активности: спайки, острые волны, патологические комплексы «пик-медленная волна», «острая-медленная волна». Для уточнения диагноза требуется электроэнцефалография с фотостимуляцией, гипервентиляцией.
• МРТ головного мозга. На снимках МРТ отображается объемное образование однородной структуры с четкими контурами, в котором не накапливается контрастное вещество, отсутствуют признаки инвазивного роста. При обследовании в режиме Т1 очаг гипоинтенсивный, а в режиме Т2 - переменный гиперинтенсивный.
• ЭЭГ. По результатам исследования определяются различные варианты эпилептической активности: спайки, острые волны, патологические комплексы «пик-медленная волна», «острая-медленная волна». Для уточнения диагноза требуется электроэнцефалография с фотостимуляцией, гипервентиляцией.
|
|
Лечение
Медикаментозное лечение злокачественных новообразований у детей симптоматическое. Для коррекции желатиновых пароксизмов назначают противосудорожные препараты (вальпроат, бензодиазепины). Для улучшения функциональных возможностей мозга используются нейрометаболические вещества, витаминно-минеральные комплексы. Немедикаментозные методы показывают высокую эффективность при лечении эпилепсии:
• Транскраниальная магнитная стимуляция. При ТМС гипоталамус и другие области мозга подвергаются воздействию магнитного поля низкой интенсивности для достижения тормозящего эффекта и улучшения выработки ГАМК.
• Транскраниальная микрополяризация. Суть метода заключается в воздействии на кожу головы постоянного слабого тока в определенных точках - так называемая техника нейромодуляции, которая корректирует психопатологические проявления, снижает взаимодействие нейронов в эпилептическом очаге.
Нейрохирургические операции на гипоталамусе показаны при гамартомах размером более 1,5 лекарственно-устойчивой эпилепсии с генерализованными припадками или тяжелых эндокринных нарушениях у детей. С учетом особенностей локализации опухолевого процесса используются микрохирургическая резекция, эндоскопический доступ и современный метод радиохирургии. Эффективность хирургического лечения 54-90%.
• Транскраниальная магнитная стимуляция. При ТМС гипоталамус и другие области мозга подвергаются воздействию магнитного поля низкой интенсивности для достижения тормозящего эффекта и улучшения выработки ГАМК.
• Транскраниальная микрополяризация. Суть метода заключается в воздействии на кожу головы постоянного слабого тока в определенных точках - так называемая техника нейромодуляции, которая корректирует психопатологические проявления, снижает взаимодействие нейронов в эпилептическом очаге.
Нейрохирургические операции на гипоталамусе показаны при гамартомах размером более 1,5 лекарственно-устойчивой эпилепсии с генерализованными припадками или тяжелых эндокринных нарушениях у детей. С учетом особенностей локализации опухолевого процесса используются микрохирургическая резекция, эндоскопический доступ и современный метод радиохирургии. Эффективность хирургического лечения 54-90%.
Реабилитация и амбулаторное лечение
Ввиду выраженной умственной отсталости детям с эмбриональной неоплазией гипоталамуса требуется помощь педагогов-корректоров. При легкой или средней степени умственной отсталости возможно обучение в специальных классах; для развития речи необходима программа длительного курса с детским логопедом. По показаниям к реабилитации привлекаются клинические психологи.
Прогноз
Поскольку гамартомы являются доброкачественными опухолями без риска злокачественного новообразования, прогноз благоприятный при условии ранней диагностики заболевания и быстрого устранения органического дефекта в гипоталамусе. При крупных новообразованиях, расположенных в труднодоступных для нейрохирургов областях головного мозга, прогноз ухудшается. Учитывая неопределенность этиопатогенеза гамартомы, меры первичной профилактики не разработаны.
Список литературы
1. Эпилепсия с геластическими приступами и гамартома гипоталамуса (описание редкого клинического наблюдения)/ В.А. Михайлов, А. Дружинин, Н.И. Шова, Е.А. Корсакова// Эпилепсия и пароксизмальные состояния. 2017. №3.
2. Гамартома гипоталамуса головного мозга человека/ М. Огинская, И.В. Рыженкова. 2015.
3. Геластические приступы/ М.Б. Миронов, И.В. Иванова, Ю. Мухин// Эпилепсия и пароксизмальные состояния. 2014. №3.
4. Гамартомы гипоталамуса у детей/ Т.В. Семичева, С. Горелышев// Проблемы эндокринологии. 2006. №4.
2. Гамартома гипоталамуса головного мозга человека/ М. Огинская, И.В. Рыженкова. 2015.
3. Геластические приступы/ М.Б. Миронов, И.В. Иванова, Ю. Мухин// Эпилепсия и пароксизмальные состояния. 2014. №3.
4. Гамартомы гипоталамуса у детей/ Т.В. Семичева, С. Горелышев// Проблемы эндокринологии. 2006. №4.