Другие названия и синонимы
Pineocytoma.МКБ-10 коды
|
|
Описание
Пинеоцитома. Доброкачественное новообразование шишковидной железы (эпифиза), развивающееся из железистых клеток паренхимы. Клинически проявляется симптоматикой окклюзионной гидроцефалии, парезом взора, страбизмом, расстройством конвергенции. В 50% случаев наблюдается мозжечковый синдром. Пинеоцитома выявляется по клиническим данным, результатам нейровизуализации (церебральная МРТ, КТ), анализа цереброспинальной жидкости, гистологического исследования. Наиболее эффективное лечение - радикальная нейрохирургическая резекция, по показаниям дополненная ликворошунтирующей операцией.
Дополнительные факты
Паренхиматозные опухоли эпифиза (шишковидной железы) носят название пинеаломы. Они составляют менее 1% новообразований ЦНС, включают доброкачественные (пинеоцитома) и злокачественные (пинеобластома) образования. Специалистами в сфере неврологии и нейрохирургии пинеоцитома часто обозначается термином доброкачественная пинеалома . Неоплазия имеет нейроэктодермальное происхождение, возникает из клеток железистой ткани (пинеацитов), секретирующих мелатонин - основной регулятор биоритмов «сон-бодрствование». Пинеоцитома встречается в 40% случаев пинеалом, заболевают преимущественно люди молодого и среднего возраста (пик заболеваемости приходится на 25-35 лет). Опухоль распространена повсеместно, имеет одинаковую встречаемость среди мужчин и женщин.
Причины
Этиология доброкачественной пинеаломы точно не определена. Предполагают полиэтиологичность заболевания, включающую участие наследственных факторов, экзогенных воздействий, триггеров, провоцирующих начало роста опухоли. Наиболее вероятными этиофакторами возникновения заболевания считаются:
• Неблагоприятная окружающая среда. Онкогенным эффектом обладает радиация, токсические вещества, содержащиеся в выхлопных газах, выбросах отдельных химических производств, пищевые консерванты Воздействие указанных факторов повреждает клеточный геном, свойства клеток изменяются, начинается их чрезмерное деление с развитием опухолевого образования.
• Наследственная предрасположенность. В случае пинеоцитомы не прослеживается прямая наследственная взаимосвязь. Исследователи предполагают реализацию генетической детерминированности как большей вероятности возникновения новообразования при одинаковых условиях жизни.
• Нарушения внутриутробного развития. Неблагоприятные влияния на плод в антенатальном периоде (гипоксия, внутриутробные инфекции, алкоголь, курение беременной) способны вызывать сбой отдельных процессов развития с формированием атипичных клеток. Ребёнок рождается и растёт здоровым. В последующем воздействие провоцирующих триггеров может обусловить активацию атипичных пинеоцитов, дающих начало опухолевому процессу.
• Черепно-мозговая травма. Не является непосредственной причиной заболевания. Способна спровоцировать рост пинеоцитомы при наличии в эпифизе латентных атипичных клеток, возникших в результате изменений генома, отклонений в процессе антенатального развития.
• Неблагоприятная окружающая среда. Онкогенным эффектом обладает радиация, токсические вещества, содержащиеся в выхлопных газах, выбросах отдельных химических производств, пищевые консерванты Воздействие указанных факторов повреждает клеточный геном, свойства клеток изменяются, начинается их чрезмерное деление с развитием опухолевого образования.
• Наследственная предрасположенность. В случае пинеоцитомы не прослеживается прямая наследственная взаимосвязь. Исследователи предполагают реализацию генетической детерминированности как большей вероятности возникновения новообразования при одинаковых условиях жизни.
• Нарушения внутриутробного развития. Неблагоприятные влияния на плод в антенатальном периоде (гипоксия, внутриутробные инфекции, алкоголь, курение беременной) способны вызывать сбой отдельных процессов развития с формированием атипичных клеток. Ребёнок рождается и растёт здоровым. В последующем воздействие провоцирующих триггеров может обусловить активацию атипичных пинеоцитов, дающих начало опухолевому процессу.
• Черепно-мозговая травма. Не является непосредственной причиной заболевания. Способна спровоцировать рост пинеоцитомы при наличии в эпифизе латентных атипичных клеток, возникших в результате изменений генома, отклонений в процессе антенатального развития.
Патогенез
Указанные выше этиофакторы обуславливают трансформацию нормальных пинеоцитов в склонные к постоянному делению опухолевые клетки. Пинеоцитома характеризуется медленным неуклонным ростом. Место её локализации (эпифиз) расположено между полушариями мозга за третьим желудочком вблизи сильвиева водопровода, обеспечивающего отток цереброспинальной жидкости (ликвора) из третьего желудочка в четвёртый. Учитывая размеры шишковидной железы (в среднем 1 см в диаметре), очевидно, что даже небольшая пинеоцитома вносит изменения в анатомическое взаиморасположение окружающих эпифиз церебральных структур.
В первую очередь сдавливается сильвиев водопровод, затрудняется и периодически блокируется ликвороциркуляция. Результатом является скопление ликвора в желудочковой системе выше места блокировки - развитие окклюзионной гидроцефалии, обуславливающей основные симптомы опухоли. В процессе роста пинеоцитома сдавливает верхние холмики среднего мозга - подкорковые центры зрительного анализатора, что вызывает появление зрительных нарушений. При достижении значительных размеров новообразование оказывает давление на ткани мозжечка, провоцируя мозжечковую симптоматику.
Макроскопически пинеоцитома представляет собой серо-красный узел дольчатого строения, тесно спаянный с мягкой мозговой оболочкой. При микроскопическом изучении клетки опухоли имеют сходное со зрелыми пинеоцитами строение, снабжены отростками. Пинеоцитома отличается наличием пинеоцитарных розеток - скоплений клеточных отростков, имеющих вид безъядерных волокнистых зон.
В первую очередь сдавливается сильвиев водопровод, затрудняется и периодически блокируется ликвороциркуляция. Результатом является скопление ликвора в желудочковой системе выше места блокировки - развитие окклюзионной гидроцефалии, обуславливающей основные симптомы опухоли. В процессе роста пинеоцитома сдавливает верхние холмики среднего мозга - подкорковые центры зрительного анализатора, что вызывает появление зрительных нарушений. При достижении значительных размеров новообразование оказывает давление на ткани мозжечка, провоцируя мозжечковую симптоматику.
Макроскопически пинеоцитома представляет собой серо-красный узел дольчатого строения, тесно спаянный с мягкой мозговой оболочкой. При микроскопическом изучении клетки опухоли имеют сходное со зрелыми пинеоцитами строение, снабжены отростками. Пинеоцитома отличается наличием пинеоцитарных розеток - скоплений клеточных отростков, имеющих вид безъядерных волокнистых зон.
Клиническая картина
В клинической картине доминируют симптомы внутричерепной гипертензии: упорная цефалгия, тошнота, рвота. Со временем пациенты отмечают отсутствие эффекта принимаемых от головной боли медикаментов, практически постоянное, не связанное с питанием чувство подташнивания, приносящие кратковременное облегчение частые рвоты. Типично присоединение зрительных расстройств: парез взора вверх (синдром Парино), косоглазие, диплопия, нарушение конвергенции, опущение верхнего века. Симптоматика носит двусторонний характер. В половине случаев наблюдается мозжечковая атаксия: шаткость ходьбы, нистагм, дискоординация, гиперметрия движений, прерывистость речи (дизартрия), интенционный тремор. У ряда пациентов пинеоцитома протекает с эпилептическими пароксизмами. Возможно развитие гиперсомнии, у больных детского возраста - преждевременное половое созревание.
Возможные осложнения
Окклюзионная гидроцефалия сопровождается ликворно-гипертензионными кризами, обусловленными преходящей практически полной блокировкой ликворооттока. Кризы характеризуются выраженной цефалгией, многократной рвотой, расстройством сознания. Полная окклюзия сильвиева водопровода характеризуется быстрым нарастанием интракраниальной гипертензии, сдавлением головного мозга, дислокационным синдромом. В результате возникает компрессия церебрального ствола. Дисфункция локализующихся в продолговатом мозге витальных центров дыхания и сердечной деятельности ведёт к гибели больного. Грозным осложнением является малигнизация пинеоцитомы. При злокачественной трансформации наблюдается интенсивный инвазивный рост опухоли, образование метастазов.
Диагностика
Анамнез заболевания (постепенное начало, неуклонное прогрессирование), клинические данные (признаки окклюзионной гидроцефалии, глазодвигательные нарушения в неврологическом статусе) позволяют неврологу предположить наличие объёмного образования в пинеальной области. С целью уточнения диагноза назначаются следующие дополнительные исследования:
• Консультация офтальмолога. Необходима для оценки остроты зрения, проведения периметрии, офтальмоскопии. Наблюдается умеренное снижение зрительной функции преимущественно за счёт диплопии. Зрительные поля сохранны. Офтальмоскопия определяет двусторонний отёк дисков зрительного нерва, свидетельствующий о выраженной внутричерепной гипертензии.
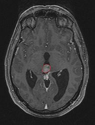
• Нейровизуализация. КТ, МРТ головного мозга визуализуют новообразование пинеальной локализации, выявляют окклюзию опухолью сильвиева водопровода, гидроцефалию. Пинеоцитома отличается чёткими контурами, при контрастировании - интенсивным гомогенным накоплением контрастного вещества. Отсутствие возможности проведения томографических исследований является показанием к эхоэнцефалографии, позволяющей определить объёмное образование по смещению серединного эхо-сигнала.
• Исследование цереброспинальной жидкости. Забор материала осуществляется путём ликворной пункции. Противопоказанием к исследованию является выраженная гидроцефалия с угрозой развития дислокации. Анализ ликвора подтверждает повышенное содержание белка, клеточных элементов (цитоз). Отсутствие воспалительной реакции позволяет исключить абсцесс головного мозга, прочие инфекционные поражения. Обнаружение опухолевых клеток свидетельствует о злокачественном характере пинеаломы.
• Биопсия новообразования. В большинстве случаев получение опухолевых тканей осуществляется интраоперационно, в сложных диагностических ситуациях проводится стереотаксическая биопсия. Гистологическое исследование дает возможность точно верифицировать тип новообразования.
• Электроэнцефалография. Выступает вспомогательным диагностическим методом в случае наличия эпиприступов. Диагностирует эпилептогенный очаг на фоне неспецифических диффузных изменений биоэлектрической активности.
Пинеоцитома нуждается в дифференцировке от других опухолей эпифиза (гермином, пинеобластом), церебральных кист, абсцессов, внутримозговых гематом, паразитарных поражений. Невозможно различить указанные образования, основываясь только на клинических данных. Диагноз «пинеоцитома» требует нейровизуализационного и гистологического подтверждения.
• Консультация офтальмолога. Необходима для оценки остроты зрения, проведения периметрии, офтальмоскопии. Наблюдается умеренное снижение зрительной функции преимущественно за счёт диплопии. Зрительные поля сохранны. Офтальмоскопия определяет двусторонний отёк дисков зрительного нерва, свидетельствующий о выраженной внутричерепной гипертензии.
• Нейровизуализация. КТ, МРТ головного мозга визуализуют новообразование пинеальной локализации, выявляют окклюзию опухолью сильвиева водопровода, гидроцефалию. Пинеоцитома отличается чёткими контурами, при контрастировании - интенсивным гомогенным накоплением контрастного вещества. Отсутствие возможности проведения томографических исследований является показанием к эхоэнцефалографии, позволяющей определить объёмное образование по смещению серединного эхо-сигнала.
• Исследование цереброспинальной жидкости. Забор материала осуществляется путём ликворной пункции. Противопоказанием к исследованию является выраженная гидроцефалия с угрозой развития дислокации. Анализ ликвора подтверждает повышенное содержание белка, клеточных элементов (цитоз). Отсутствие воспалительной реакции позволяет исключить абсцесс головного мозга, прочие инфекционные поражения. Обнаружение опухолевых клеток свидетельствует о злокачественном характере пинеаломы.
• Биопсия новообразования. В большинстве случаев получение опухолевых тканей осуществляется интраоперационно, в сложных диагностических ситуациях проводится стереотаксическая биопсия. Гистологическое исследование дает возможность точно верифицировать тип новообразования.
• Электроэнцефалография. Выступает вспомогательным диагностическим методом в случае наличия эпиприступов. Диагностирует эпилептогенный очаг на фоне неспецифических диффузных изменений биоэлектрической активности.
Пинеоцитома нуждается в дифференцировке от других опухолей эпифиза (гермином, пинеобластом), церебральных кист, абсцессов, внутримозговых гематом, паразитарных поражений. Невозможно различить указанные образования, основываясь только на клинических данных. Диагноз «пинеоцитома» требует нейровизуализационного и гистологического подтверждения.
|
|
Лечение
Стандартным способом лечения доброкачественной пинеаломы является нейрохирургическое удаление. Операция производится нейрохирургом путём краниотомии с последующим инфратенториальным супрацеребеллярным доступом. При необходимости профилактики послеоперационной гидроцефалии удаление опухоли дополняют шунтирующей операцией, вентрикулоцистерностомией III желудочка. Если пинеоцитома имеет небольшой размер, рассматривается вопрос радиохирургического удаления. Полученные в ходе оперативного вмешательства ткани неоплазии подвергаются незамедлительному гистологическому анализу. Выявление промежуточной дифференцировки новообразования, процессов малигнизации служит показанием к послеоперационной лучевой и химиотерапии.
Нейрохирургическому лечению сопутствует симптоматическая консервативная терапия. Уменьшение гидроцефалии, профилактика отёка мозга осуществляется назначением мочегонных препаратов, инъекций магния сульфата. Многократная рвота купируется противорвотными средствами (метоклопрамидом), эпилептические пароксизмы - приёмом антиконвульсантов (диазепама, карбамазепина).
Нейрохирургическому лечению сопутствует симптоматическая консервативная терапия. Уменьшение гидроцефалии, профилактика отёка мозга осуществляется назначением мочегонных препаратов, инъекций магния сульфата. Многократная рвота купируется противорвотными средствами (метоклопрамидом), эпилептические пароксизмы - приёмом антиконвульсантов (диазепама, карбамазепина).
Прогноз
Радикальная резекция новообразования даёт пациенту шанс навсегда избавиться от заболевания. При неполном удалении оставшиеся после операции опухолевые клетки могут стать источником рецидива. Малигнизирующаяся пинеоцитома имеет серьёзный прогноз, обусловленный развитием имплантационных метастазов.
Профилактика
Специфическая профилактика не разработана, поскольку остаются неясными этиопатогенетические механизмы развития пинеоцитомы. К общим профилактическим мерам относится предупреждение воздействия онкогенных факторов: радиации, канцерогенов, токсинов, ведение здорового образа жизни будущими матерями.