Продолжая работу с сайтом, вы разрешаете использование сookies и соглашаетесь с политикой конфиденциальности.
.,о.,р..и.:г,.и.,н.;н.,а;,л.. .,н.:а,.х.,о.,д.;и.,т..с.:я,, ..н.;а., .,k;,i..b.:e,;r.,i.,s.,.;.r.:u,

Болезнь Лермитт-Дуклос

ДобавьАналогиСравни
Нигде не найдено ... скрыть
 
По жалобе ничего не найдено в выбранном разделе медицины. Попробуйте переформулировать жалобу или сменить источник поиска выше
Лечат в 3004 клиниках 134 городов
X
X
Нужен: онколог, 4 анализа, 1 услугу
Краснодар, пгт Яблоновский, ул. Гагарина, д. 157/2 +7(861..показать+7(495) 104-88-01, +7(861) 257-15-00, +7(861) 290-47-07 от 5180₽
Краснодар, ул. Василия Мачуги, д. 84 +7(861..показать+7(495) 104-88-01, +7(861) 257-15-00 от 5180₽
Ростов-на-Дону, ул. 1-я линия, д. 6 +7(800..показать+7(495) 104-88-01, +7(800) 234-74-40 от 5640₽
Казань, ул. Пушкина, д. 1/55 +7(843..показать+7(495) 104-88-01, +7(843) 500-57-86 от 6440₽
Новосибирск, Красный пр-т, д. 54 +7(383..показать+7(495) 104-88-01, +7(383) 217-04-11 от 6520₽
Санкт-Петербург, Лиговский пр-т, д. 108А +7(495..показать+7(495) 104-88-01 от 6660₽
Санкт-Петербург, ул. Херсонская, д. 4 +7(812..показать+7(495) 104-88-01, +7(812) 322-93-90 от 6660₽
Москва, ул. Будайская, д. 2 +7(495..показать+7(495) 104-88-01, +7(495) 727-00-03, +7(499) 187-08-17 от 7102₽
Ростов-на-Дону, Театральная площадь, д. 4 +7(863..показать+7(495) 104-88-01, +7(863) 306-77-50 от 7500₽
Москва, ул. Шоссейная, д. 43 +7(495..показать+7(495) 104-88-01, +7(495) 354-34-02, +7(495) 644-47-05, +7(495) 644-47-10 от 7525₽
Ещё 2994 клиники
  1. МКБ-10 коды
  2. Описание
  3. Дополнительные факты
  4. Причины
  5. Клиническая картина
  6. Диагностика
  7. Лечение
  8. Прогноз
  9. Похожие заболевания
  10. Связанные клинические рекомендации
  11. Связанные стандарты мед. помощи
  12. Основные медицинские услуги
  13. Клиники для лечения

Другие названия и синонимы

Lermitt-Duclos disease.
Болезнь Лермитт-Дуклос

МКБ-10 коды

Описание

 Болезнь Лермитт. Дуклос - генетическая патология, приводящая к развитию медленно растущей опухоли мозжечка, которая может появиться в любом возрасте больного. Основными проявлениями заболевания, помимо симптомов поражения мозжечка, являются также гидро- и мегалоцефалия, пороки развития скелета и гиперплазия десен. Диагностика производится на основании изучения головного мозга (КТ, МРТ), неврологических симптомов, а также генетических исследований. Специфического лечения болезни Лермитт-Дуклос не существует, однако своевременно проведенное хирургическое удаление опухоли может значительно продлить жизнь больного.
Болезнь Лермитт-Дуклос

Дополнительные факты

 Болезнь Лермитт-Дуклос (наследственная диспластическая ганглиоцитома мозжечка) - редкое генетическое заболевание, относящееся к группе PTEN-ассоциированных синдромов гамартомных опухолей. Помимо данной патологии к этому классу принадлежат болезнь Коудена и синдром Банаян-Райли-Рувалькаба. Впервые болезнь Лермитт-Дуклос была описана в 1920-м году, после этого по сегодняшний день было зарегистрировано около 220 случаев заболевания. Из-за этого достоверно определить встречаемость очень сложно, большинство исследователей предполагает, что она составляет около 1:1000000. Дополнительным фактором, усложняющим изучение частоты патологии, является открытие в 1969-м году бессимптомного носительства болезни Лермитт-Дуклос. Заболевание с равной степенью вероятности поражает как мужчин, так и женщин, в неврологии считается практически единственной причиной диспластической ганглиоцитомы мозжечка - более 90% больных с этой опухолью имеют характерные для синдрома генетические мутации.

Причины

 Непосредственной причиной болезни Лермитт-Дуклос является мутация гена PTEN, расположенного на 10-й хромосоме - он кодирует фермент фосфатазу, субстратом которого могут выступать как белки, так и липиды. Последние содержат фосфаты в инозитольном кольце, которые и отщепляются фосфатазой. При этом блокируется так называемый PI3K/AKT/mTOR-путь передачи информации в клетке, позволяющий, в некоторых случаях, обходить процесс апоптоза. По этой причине PTEN выступает одним из ключевых антионкогенов, а его мутации вызывают заболевания, характеризующиеся развитием опухолей и гамартом в организме. Одной из патологий такого плана является и болезнь Лермитт-Дуклос. Современная генетика знает еще несколько синдромов, связанных с нарушением структуры этого гена, и все они сопровождаются теми или иными новообразованиями, что подтверждает антионкогенную роль PTEN. Мутация, являющаяся причиной заболевания, наследуется по аутосомно-доминантному механизму, возможно также герминальное повреждение гена PTEN, возникающее в половых клетках в процессе их образования. Однако патогенез развития опухоли мозжечка при болезни Лермитт-Дуклос на сегодняшний день остается неизвестным.

Клиническая картина

 Проявления заболевания могут возникнуть в любом возрасте, в истории описаны случаи обнаружения симптомов болезни Лермитт-Дуклос как в раннем детстве, так и у пожилых пациентов. Однако наиболее часто характерные признаки ганглиоцитомы мозжечка врачи-неврологи выявляют в подростковом возрасте или же на третьем десятилетии жизни пациента. Косвенными признаками патологии являются врожденные аномалии развития - гидроцефалия, мегалоцефалия, скелетные аномалии кистей (поли- и синдактилия). Возможна скелетная асимметрия лица, появление высыпаний на языке и гиперплазии десен. По мере развития опухоли присоединяются симптомы повышения внутричерепного давления и нарушения циркуляции ликвора - головные боли, усиливающиеся по утрам, тошнота и рвота, обмороки.
 Ассоциированные симптомы: Асимметрия лица. Рвота. Тошнота.

Диагностика

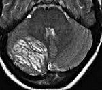
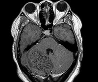
 Диагностика болезни Лермитт-Дуклос производится посредством выявления характерных образований в мозжечке при помощи компьютерной и магнито-резонансной томографии. На КТ головного мозга при этом выявляется объемное гиперденсивное образование с размытыми и нечеткими краями, которое может быть расположено как на поверхности, так и в глубине мозжечка. МРТ головного мозга лучше всего производить с внутривенным контрастированием, поскольку именно такой метод позволит наилучшим образом изучить структуру и сосудистую сеть новообразования. При отсутствии технической возможности проведения данных исследований можно сделать рентгеновскую вентрикулографию - как правило, она показывает уменьшение или смещение четвертого желудочка и водопровода. Однако при незначительном размере ганглиоцитомы таких изменений может и не быть, поэтому вентрикулография не считается основным методом диагностики болезни Лермитт-Дуклос.
 Кроме того, по возможности (например, при поверхностном относительно мозжечка расположении опухоли) выполняют биопсию образования с последующим гистологическим изучением. Подобные исследования последних лет выявили, что ганглиоцитома мозжечка при болезни Лермитт-Дуклос представляет собой гамартому. В ее структуре наблюдается расширение молекулярного слоя и заполнение его ганглиозными клетками. Врачи-генетики также производят секвенирование последовательности гена PTEN, которое выявляет наличие или отсутствие в нем мутаций. Исследование наследственного анамнеза тоже может помочь в диагностике болезни Лермитт-Дуклос - при этом стоит обращать внимание на косвенные признаки заболевания, учитывая возможность бессимптомного течения. К ним относятся наличие у ближайших родственников поли- и синдактилии, мегалоцефалии, гиперплазии десен.

Лечение

 Специфического лечения болезни Лермитт-Дуклос на сегодняшний день не существует, но больным нередко производится паллиативное хирургическое вмешательство с целью удаления ганглиоцитомы мозжечка. Это является сложной в техническом плане операцией, так как между нормальными тканями и гамартомой отсутствует четкая граница и переходный слой. Кроме того, в некоторых случаях опухоль может располагаться в глубине мозжечка, что делает ее недоступной для полного удаления. Однако даже частичная резекция ганглиоцитомы может значительно облегчить состояние больного и продлить время его жизни на несколько лет. Другие методы борьбы с опухолями (например, радиационная терапия) при болезни Лермитт-Дуклос чаще всего оказываются неэффективными.

Прогноз

 Прогноз при болезни Лермитт-Дуклос чаще всего неопределенный, так как зависит от ряда обстоятельств - выраженности сопутствующих пороков развития, скорости прогрессирования ганглиоцитомы, ее расположения в мозжечке. Все эти факторы очень вариабельны, что и приводит к таким различиям в клинической картине и длительности заболевания - от бессимптомного течения до летального исхода в детском возрасте. Полное удаление опухоли мозжечка при болезни Лермитт-Дуклос, особенно если операция была проведена в 30-40 лет, часто имеет благоприятные перспективы - новое образование попросту не успевает развиваться снова до конца жизни. В тех случаях, когда полноценная операция технически невозможна, частичная резекция может продлить жизнь больного.

Похожие заболевания

Связанные клинические рекомендации

Связанные стандарты мед. помощи

42a96bb5c8a2acfb07fc866444b97bf1
Доступно только при использовании PRO аккаунта
Модератор контента: Васин А.С.


  1. Киберис НЕ является интернет-магазином и НЕ осуществляет закупку, хранение, продажу и доставку препаратов. Ресурс выступает лишь в роли посредника между вами и производителем препаратов или аптечными пунктами, которые и осуществляют поставку.
  2. На Киберис размещены описания препаратов, часть из которых предназначена только для врачей. Данная информация не может быть использована пациентами для принятия решения об использовании препаратов, их отмене или коррекции дозировок.
  3. Ничто в представленной информации не должно быть истолковано как призыв использовать данные препараты.
  4. К Киберис не могут быть обращены претензии по поводу любого ущерба или вреда, понесенного в результате использования размещенной на сайте информации.