Другие названия и синонимы
Oropharyngeal candidiasis, Грибковый фарингит, Тонзилломикоз.
МКБ-10 коды
- МКБ-10
- B37.0 Кандидозный стоматит
|
|
Описание
Сочетание кандидозного глоссита, фарингита и стоматита (орофарингеальный кандидоз) является достаточно широко распространенным заболеванием у лиц, страдающих различными формами иммунодефицитов, прежде всего СПИДом.
Клиническая картина
С клинической точки зрения следует дифференцировать острый и хронический орофарингеальный кандидоз. При остром процессе возможна общая реакция организма, проявляющаяся явлениями интоксикации (слабость, недомогание, утомляемость, подъем температуры тела и ), хоть интенсивность ее часто невысока. Различают рецидивирующую (возникает повторно после клинического выздоровления) и персистирующую (клиника патологического процесса сохраняется длительное время с большей или меньшей степенью выраженности) формы заболевания. Орофарингеальный микоз может проявляться в виде ограниченного процесса либо распространенного (диффузного), что наиболее характерно для острого течения заболевания. Местные проявления достаточно разнообразны и определяются не столько видом гриба, вызвавшего патологический процесс, сколько антимикотической активностью конкретного индивидуума.
Различают следующие виды локализованного орофарингеального кандидоза: хейлит, ангулярный хейлит (заеды), гингивит, глоссит, стоматит, тонзиллит, фарингит.
При кандидозном хейлите больные жалуются на сухость, жжение губ. Красная кайма гиперемирована, умеренно отечна, исчерчена радиально расположенными бороздками. Часто визуализируются тонкие, плотно прилегающие чешуйки. Течение хейлита наиболее часто хроническое, что приводит к развитию макрохейлии. Губы (чаще нижнее) значительно утолщены, отечны, гиперемированы, сухие, с наслоением чешуек и серозных корочек, имеются множественные поперечно расположенные глубокие трещины. У больных хроническим кандидозом хейлит часто сочетается с ангулярным хейлитом, что может указывать на недостаточность клеточного звена иммунитета. Ангулярный хейлит (кандидоз углов рта, заеды) встречается, как при физиологических иммунодефицитах (у взрослых старше 45 лет, детей), так и при иммунопатологии. В углах рта появляются эрозии малинового цвета, покрытые легко снимающимся налетом белого цвета. Границы эрозий достаточно четкие, при сомкнутых губах могут быть незаметны. Процесс чаще двусторонний, имеет хроническое течение. Характерна болезненность при открывании рта. Из 38 обследованных нами пациентов в 4 стадии ВИЧ-инфекции (СПИД) (по классификации ВОЗ) ангулярный хейлит выявлен у 29 (76%). При бактериологическом исследовании у 21 (72%) из них выявлен кандидозный процесс.
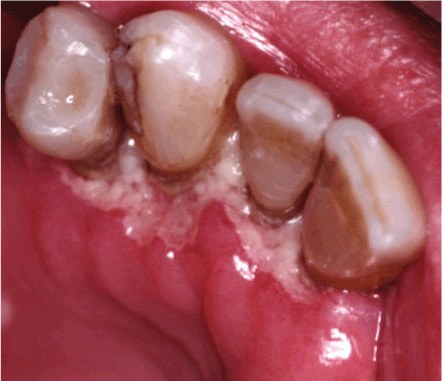
Гингивит может возникать, как в результате грибкового процесса, так и при бактериальном инфицировании. Выделяют маргинальный гингивит (краевая гингивальная эритема), при которой слизистая оболочка, покрывающая край десны, гиперемирована, отечна, напряжена. Язвенно-некротическая форма заболевания характеризуется прогрессированием процесса с изъязвлением и некрозом десневых сосочков и маргинальной десны. При осмотре выявляется некротическая пленка (чаще серо-желтого цвета), покрывающая край десны. Возможны кровотечения, как спонтанные, так и при чистке зубов. Это состояние отмечается у пациентов с выраженной иммунной супрессией [15,23]. Язвенно-некротический гингивит выявлен нами у 74%ВИЧ-инфицированных в стадии СПИД.
Грибковый тонзиллит (тонзилломикоз) достаточно редко встречается изолировано, в большинстве случаев сопутствует кандидозному стоматиту, глосситу. На миндалинах возникают беловатые, творожистого характера налеты, локализующиеся преимущественно в лакунах миндалин. Налеты легко удаляются, однако быстро возникают вновь. Воспалительные явления на слизистой оболочке незначительные. Боль при глотании чаще отсутствует.
Поражение слизистой оболочки полости рта (стоматит) - одна из наиболее часто встречаемых форм поверхностного кандидоза.
Различают следующие виды локализованного орофарингеального кандидоза: хейлит, ангулярный хейлит (заеды), гингивит, глоссит, стоматит, тонзиллит, фарингит.
При кандидозном хейлите больные жалуются на сухость, жжение губ. Красная кайма гиперемирована, умеренно отечна, исчерчена радиально расположенными бороздками. Часто визуализируются тонкие, плотно прилегающие чешуйки. Течение хейлита наиболее часто хроническое, что приводит к развитию макрохейлии. Губы (чаще нижнее) значительно утолщены, отечны, гиперемированы, сухие, с наслоением чешуек и серозных корочек, имеются множественные поперечно расположенные глубокие трещины. У больных хроническим кандидозом хейлит часто сочетается с ангулярным хейлитом, что может указывать на недостаточность клеточного звена иммунитета. Ангулярный хейлит (кандидоз углов рта, заеды) встречается, как при физиологических иммунодефицитах (у взрослых старше 45 лет, детей), так и при иммунопатологии. В углах рта появляются эрозии малинового цвета, покрытые легко снимающимся налетом белого цвета. Границы эрозий достаточно четкие, при сомкнутых губах могут быть незаметны. Процесс чаще двусторонний, имеет хроническое течение. Характерна болезненность при открывании рта. Из 38 обследованных нами пациентов в 4 стадии ВИЧ-инфекции (СПИД) (по классификации ВОЗ) ангулярный хейлит выявлен у 29 (76%). При бактериологическом исследовании у 21 (72%) из них выявлен кандидозный процесс.
Гингивит может возникать, как в результате грибкового процесса, так и при бактериальном инфицировании. Выделяют маргинальный гингивит (краевая гингивальная эритема), при которой слизистая оболочка, покрывающая край десны, гиперемирована, отечна, напряжена. Язвенно-некротическая форма заболевания характеризуется прогрессированием процесса с изъязвлением и некрозом десневых сосочков и маргинальной десны. При осмотре выявляется некротическая пленка (чаще серо-желтого цвета), покрывающая край десны. Возможны кровотечения, как спонтанные, так и при чистке зубов. Это состояние отмечается у пациентов с выраженной иммунной супрессией [15,23]. Язвенно-некротический гингивит выявлен нами у 74%ВИЧ-инфицированных в стадии СПИД.
Грибковый тонзиллит (тонзилломикоз) достаточно редко встречается изолировано, в большинстве случаев сопутствует кандидозному стоматиту, глосситу. На миндалинах возникают беловатые, творожистого характера налеты, локализующиеся преимущественно в лакунах миндалин. Налеты легко удаляются, однако быстро возникают вновь. Воспалительные явления на слизистой оболочке незначительные. Боль при глотании чаще отсутствует.
Поражение слизистой оболочки полости рта (стоматит) - одна из наиболее часто встречаемых форм поверхностного кандидоза.
Причины
Данная разновидность кандидоза встречается у трети онкологических больных, которые прошли курс химиотерапии. Кроме того, заболевания поражает до 90% людей, больных СПИДом. В связи с этим доказано, что молочница является ярким показателем слабой иммунной системы.
Лечение
Лечение орофарингеального кандидоза должно быть индивидуальным для каждого пациента с учетом иммунного статуса, наличия сопутствующих заболеваний, локализации, распространенности и остроты процесса [6,26]. Чувствительность возбудителя к лекарственным препаратам in vitro и in vivo иногда не совпадает, однако, исследования показали значимость выделения культуры и определения резистентности для выбора конкретной схемы лечения [33].
Комплексный метод лечения орофарингеального кандидоза включает следующие основополагающие принципы: местное применение современных противогрибковых препаратов, общее использование противогрибковых препаратов, восстановление нормального биоценоза кишечника.
В большинстве случаев лечение кандидоза начинают с назначения местной терапии. Препараты для топического этиотропного лечения делятся на две группы: антисептики и антимикотики. Продолжительность лечения острых форм заболевания препаратами местного действия составляет в среднем две-три недели. Лечение продолжают до полного исчезновения клинических проявлений орофарингеального кандидоза, после чего обычно осуществляют еще в течение одной недели.
Антисептики с антифунгинальным действием назначают в форме полосканий и смазываний. Эти препараты достаточно широко распространены и доступны: раствор Люголя, раствор марганцево-кислого калия (1:5000), 1% раствор борной кислоты, 0,2% хлоргексидина биглюконата, 0,1% раствор гексетидина, 2-3 % натрия гидрокарбоната, 1% иодинола, 2-3% прополиса, 2% сульфата меди. Полоскания проводят не менее трех раз в день и, кроме этого, после каждого приема пищи. К местным антисептикам достаточно быстро развивается устойчивость микроорганизмов, поэтому рекомендуется их еженедельное чередование. К недостаткам данной группы препаратов относят раздражающее действие на слизистую оболочку и относительно невысокий уровень антимикотической активности [5]. Антимикотики местного применения (полиеновые и имидазольные производные - нистатин, леворин, амфотерицин, натамицин, флуконазол, кетоконазол, клотримазол и ) назначают в виде растворов, аэрозолей, таблеток для рассасывания и жевательных таблеток. При их назначении необходимо пояснить больному, что препарат для местного лечения должен как можно дольше находиться в полости рта. При быстром проглатывании они не оказывают должного действия на микотический патологический процесс.
При кандидозном хейлите и ангулярном хейлите ткани обрабатывают 1-2% раствором анилиновых красителей с последующим местным применением антифунгальных мазей (левориновой, нистатиновой, мазей клотримазол, микоспор и ).
Комплексный метод лечения орофарингеального кандидоза включает следующие основополагающие принципы: местное применение современных противогрибковых препаратов, общее использование противогрибковых препаратов, восстановление нормального биоценоза кишечника.
В большинстве случаев лечение кандидоза начинают с назначения местной терапии. Препараты для топического этиотропного лечения делятся на две группы: антисептики и антимикотики. Продолжительность лечения острых форм заболевания препаратами местного действия составляет в среднем две-три недели. Лечение продолжают до полного исчезновения клинических проявлений орофарингеального кандидоза, после чего обычно осуществляют еще в течение одной недели.
Антисептики с антифунгинальным действием назначают в форме полосканий и смазываний. Эти препараты достаточно широко распространены и доступны: раствор Люголя, раствор марганцево-кислого калия (1:5000), 1% раствор борной кислоты, 0,2% хлоргексидина биглюконата, 0,1% раствор гексетидина, 2-3 % натрия гидрокарбоната, 1% иодинола, 2-3% прополиса, 2% сульфата меди. Полоскания проводят не менее трех раз в день и, кроме этого, после каждого приема пищи. К местным антисептикам достаточно быстро развивается устойчивость микроорганизмов, поэтому рекомендуется их еженедельное чередование. К недостаткам данной группы препаратов относят раздражающее действие на слизистую оболочку и относительно невысокий уровень антимикотической активности [5]. Антимикотики местного применения (полиеновые и имидазольные производные - нистатин, леворин, амфотерицин, натамицин, флуконазол, кетоконазол, клотримазол и ) назначают в виде растворов, аэрозолей, таблеток для рассасывания и жевательных таблеток. При их назначении необходимо пояснить больному, что препарат для местного лечения должен как можно дольше находиться в полости рта. При быстром проглатывании они не оказывают должного действия на микотический патологический процесс.
При кандидозном хейлите и ангулярном хейлите ткани обрабатывают 1-2% раствором анилиновых красителей с последующим местным применением антифунгальных мазей (левориновой, нистатиновой, мазей клотримазол, микоспор и ).
|
|