Продолжая работу с сайтом, вы разрешаете использование сookies и соглашаетесь с политикой конфиденциальности.
.,о.,р..и.:г,.и.,н.;н.,а;,л.. .,н.:а,.х.,о.,д.;и.,т..с.:я,, ..н.;а., .,k;,i..b.:e,;r.,i.,s.,.;.r.:u,

Менингиома зрительного нерва

ДобавьАналогиСравни
Используемые препараты: ... скрыть
 
Препаратов не найдено
Лечат в 2859 клиниках 131 города
X
X
Нужен: терапевт, 7 анализов, 3 услуги
Казань, ул. Пушкина, д. 1/55 +7(843..показать+7(495) 104-88-01, +7(843) 500-57-86 от 10340₽
Ростов-на-Дону, ул. 1-я линия, д. 6 +7(800..показать+7(495) 104-88-01, +7(800) 234-74-40 от 10469₽
Краснодар, ул. Герцена, д. 265/2 +7(861..показать+7(495) 104-88-01, +7(861) 202-02-02 от 13770₽
Ростов-на-Дону, Театральная площадь, д. 4 +7(863..показать+7(495) 104-88-01, +7(863) 306-77-50 от 15040₽
Москва, ул. Будайская, д. 2 +7(495..показать+7(495) 104-88-01, +7(495) 727-00-03, +7(499) 187-08-17 от 15453₽
Санкт-Петербург, ул. Бронницкая, д. 9 +7(812..показать+7(495) 104-88-01, +7(812) 676-00-76 от 16400₽
Москва, Ленинградский пр-т, д. 52 +7(495..показать+7(495) 104-88-01, +7(495) 229-18-75, +7(495) 152-55-46 от 17850₽
Москва, ул. Маршала Голованова, д. 1, корп. 2 +7(495..показать+7(495) 104-88-01, +7(495) 023-60-84 от 18000₽
Москва, ул. Старокачаловская, д. 3, корп. 3 +7(495..показать+7(495) 104-88-01, +7(495) 023-60-84 от 18050₽
Москва, ул. Солянка, д. 12, стр. 1 +7(495..показать+7(495) 104-88-01, +7(495) 023-60-84, +7(495) 730-14-34, +7(985) 239-51-02 от 18200₽
Ещё 2849 клиник
  1. МКБ-10 коды
  2. Описание
  3. Дополнительные факты
  4. Клиническая картина
  5. Причины
  6. Диагностика
  7. Дифференциальная диагностика
  8. Лечение
  9. Похожие заболевания
  10. Связанные клинические рекомендации
  11. Связанные стандарты мед. помощи
  12. Основные медицинские услуги
  13. Клиники для лечения

Другие названия и синонимы

Optic nerve meningioma.
Менингиома зрительного нерва

МКБ-10 коды

Описание

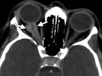
 Менингиома зрительного нерва. Это преимущественно доброкачественная внутриглазная опухоль, которая развивается из арахноидальной оболочки зрительного нерва или клеток периорбитальной локализации. В зависимости от типа роста новообразования ведущими симптомами являются снижение остроты зрения, болезненность внутри глазницы и в соответствующей половине головы, ограничение подвижности глазных яблок, экзофтальм. Диагностика основывается на проведении визиометрии, тонометрии, офтальмоскопии, УЗИ, КТ, МРТ. Применяют хирургические методы лечения (резекция пораженного участка зрительного нерва, энуклеация), лучевую терапию и стереотаксическую радиотерапию.
Менингиома зрительного нерва

Дополнительные факты

 Менингиома зрительного нерва - это новообразование, которое происходит из клеток арахноэндотелия и характеризуется преимущественно доброкачественным течением. Впервые клиническую симптоматику менингиомы зрительного нерва описал немецкий офтальмолог А. Лебер в 1877 году. С того времени поменялось множество названий и теорий возникновения данной патологии. Х. В. Кушинг в 1922 году предположил, что опухоль развивается из структур твердой мозговой оболочки и ввел для ее обозначения термин «менинготелиома». По опубликованным данным Л. И. Смирнова (1962 г. ), источником новообразования являются арахноидальные ворсинки, поэтому для обозначения данной нозологической единицы также использовали термин «арахноидэндотелиома». Название «менингиома» было введено в 70-х годах ХХ века и остается актуальным по сегодняшний день. Согласно статистическим данным, распространенность заболевания среди всех опухолей ЦНС составляет 1-2%, среди новообразований орбиты - 5-10%. Неоплазия чаще развивается в возрасте 30-60 лет, однако имеются сведения о возникновении патологии у детей раннего возраста. Женщины болеют в 3-4 раза чаще мужчин.

Клиническая картина

 Ассоциированные симптомы: Боль в глазу.

Причины

 Менингиома зрительного нерва может быть приобретенной или врожденной. Врожденная патология зачастую развивается бинокулярно. Основными причинами возникновения являются прием матерью в период беременности тератогенных медикаментов, курение, употребление спиртных напитков или наркотических веществ. Семейные формы данной патологии не описаны. Приобретенная форма, как правило, образуется спорадически. В клинической офтальмологии различают первичную и вторичную менингиому. Источниками развития первичного новообразования могут выступать арахноидальная оболочка зрительного нерва, арахноидальные клетки периорбитальной локализации или небольших нервных веточек. Вторичная опухоль распространяется в глазницу из черепной полости. Прорастание менингиомы со структур черепа встречается гораздо реже, чем первичное поражение зрительного нерва.
 Факторами риска возникновения менингиомы зрительного нерва являются наличие нейрофиброматоза 2-го типа или синдрома Ли-Фраумени в анамнезе, высокие дозы рентгеновского или радиоактивного облучения, травмы головы. Лица женского пола подвержены большему риску развития данной опухоли, нежели мужчины.

Диагностика

 Диагностика менингиомы зрительного нерва включает в себя проведение визиометрии, тонометрии, офтальмоскопии, ультразвукового исследования, компьютерной томографии, магнитно-резонансной томографии. При помощи УЗИ можно охарактеризовать тип роста опухоли, степень прорастания в окружающие структуры, контуры новообразования. Преимуществом данной методики является возможность провести анализ в виде цветовой картограммы потоков сосудистой сети в режиме цветового допплеровского картирования. В среднем максимальная линейная скорость кровотока в сосудах составляет 13-15 см/с. МРТ показана пациентам со вторым типом роста опухоли или при дополнительной локализации патологического процесса в структурах головного мозга. КТ назначается при распространении менингиомы зрительного нерва за пределы глазницы. При проведении МРТ и КТ можно не только обнаружить новообразование, но и изучить его размер, структуру и распространенность.
 При втором типе менингиомы зрительного нерва методом офтальмоскопии диагностируют проявления застоя диска оптического нерва. На ранних этапах определяется отечность периферических отделов и размытость границ диска. Далее исчезает физиологическая экскавация, развивается гиперемия, возможны точечные или множественные кровоизлияния на диске с последующим вовлечением в патологический процесс сетчатки. Выявление оптикоциллиарных шунтов, участков кровоизлияния в области глазного дна при первом типе роста ассоциировано с распространением новообразования к заднему полюсу глазного яблока.
 Методом визиометрии при субдуральной менингиоме зрительного нерва уже на ранних стадиях определяется снижение остроты зрения. При втором типе роста данный признак наблюдается только на поздних этапах развития опухоли. Проведение тонометрии указывает на повышение внутриглазного давления (ВГД) только при большом размере новообразовании. На ранних стадиях процесса ВГД в пределах нормы (10-20 ). Диагностика субдуральной менингиомы зрительного нерва на начальных этапах развития затруднена в связи с незначительным увеличением диаметра оптического нерва. При эксцентричном росте (2 тип опухоли) необходимо дифференцировать менингиому от опухоли параневральной локализации иного происхождения.

Дифференциальная диагностика

 Дифференциальная диагностика патологии в детском возрасте представляет сложности в связи с широкой распространенностью арахноидальной гиперплазии на фоне глиомы зрительного нерва.

Лечение

 Тактика лечения менингиомы зрительного нерва зависит от типа роста опухоли, распространенности на другие структуры глазного яблока или головного мозга, степени нарушения зрительных функций. При субдуральной локализации новообразования оперативное вмешательство рекомендовано в случае тотальной потери зрения. При вовлечении в патологический процесс исключительно оптического нерва выполняется резекция пораженного участка. В случае выявления очагов кровоизлияния или оптикоциллиарных шунтов требуется энуклеация глазного яблока. Отсутствие нарушений зрения при втором типе заболевания рассматривается в качестве показания к проведению лучевой терапии.
 Альтернативой оперативному лечению является стереотаксическая радиотерапия (СРТ) менингиомы зрительного нерва. Преимущество данного метода лечения - возможность сохранить или незначительно улучшить зрение. В отличие от лучевой терапии данная методика позволяет достигнуть уменьшения размеров опухоли. При этом острые или отстроченные побочные эффекты от облучения не наблюдаются. Однако СТР рекомендована к применению только на ранних стадиях заболевания.

Похожие заболевания

Связанные клинические рекомендации

Связанные стандарты мед. помощи

42a96bb5c8a2acfb07fc866444b97bf1
Доступно только при использовании PRO аккаунта
Модератор контента: Васин А.С.


  1. Киберис НЕ является интернет-магазином и НЕ осуществляет закупку, хранение, продажу и доставку препаратов. Ресурс выступает лишь в роли посредника между вами и производителем препаратов или аптечными пунктами, которые и осуществляют поставку.
  2. На Киберис размещены описания препаратов, часть из которых предназначена только для врачей. Данная информация не может быть использована пациентами для принятия решения об использовании препаратов, их отмене или коррекции дозировок.
  3. Ничто в представленной информации не должно быть истолковано как призыв использовать данные препараты.
  4. К Киберис не могут быть обращены претензии по поводу любого ущерба или вреда, понесенного в результате использования размещенной на сайте информации.