Другие названия и синонимы
Optic nerve glioma.
МКБ-10 коды
|
|
Описание
Глиома зрительного нерва. Опухоль, возникающая из глиальных элементов зрительного нерва. Глиома зрительного нерва может иметь интраорбитальную или интракраниальную локализацию. Она характеризуется малосимптомным началом и постепенным развитием, приводящим к прогрессирующему понижению зрения и экзофтальму, первичной или вторичной атрофии зрительного нерва. Диагностируется глиома зрительного нерва при помощи офтальмологического обследования (периметрии, визиометрии, офтальмоскопии), рентгенографии черепа и КТ головного мозга. Лечение проводится преимущественно сочетанием лучевой терапии и хирургического удаления пораженного участка зрительного нерва.
Дополнительные факты
Глиома зрительного нерва по разным данным составляет до 35% всех опухолей глазницы. Она может локализоваться на любом участке по всей протяженности зрительного нерва. Глиома зрительного нерва, локализующаяся в пределах глазницы, носит название интраорбитальной и относится к клинической офтальмологии. Глиома, расположенная в черепной части зрительного нерва, называется интракраниальной. Ее диагностикой и лечением занимаются специалисты в области неврологии и нейрохирургии. При расположении опухоли в области зрительного перекреста говорят о глиоме хиазмы, при ее прорастании в ткани головного мозга - о внутримозговой опухоли.
Глиома зрительного нерва возникает в основном в детском возрасте, наиболее часто - в первые годы жизни ребенка. Однако в последнее время все чаще стали описываться случаи ее возникновения у лиц старше 20 лет. В некоторых случаях глиома зрительного нерва возникает совместно с нейрофиброматозом Реклингхаузена.
Глиома зрительного нерва возникает в основном в детском возрасте, наиболее часто - в первые годы жизни ребенка. Однако в последнее время все чаще стали описываться случаи ее возникновения у лиц старше 20 лет. В некоторых случаях глиома зрительного нерва возникает совместно с нейрофиброматозом Реклингхаузена.
Патогенез
Зрительный нерв состоит из аксонов, окруженных глиальной тканью, клетки которой осуществляют синтез миелина, обеспечивают метаболизм и несут поддерживающую функцию. Именно из глиальных клеток берет свое начало глиома зрительного нерва. Чаще всего она развивается из астроцитов (астроцитома), реже из олигодендроглиоцитов (олигодендроглиома). Кроме истинных глиом, характеризующихся разрастанием глиальной ткани и инфильтративным ростом, различают так называемый глиоматоз - гиперплазию (увеличение размеров) клеток глии. Некоторые авторы считают, что глиоматоз представляет собой начальную стадию глиомы зрительного нерва.
Начинаясь из клеток глии, глиома зрительного нерва прорастает межвлагалищные пространства и окружающие нерв оболочки. Ее распространение происходит преимущественно вдоль нервного ствола. По мере роста глиома зрительного нерва может достигнуть размеров куриного яйца и привести к полному разрушению нерва. Внутри опухоли могут образовываться кисты, имеющие слизистое или жидкое содержимое.
Начинаясь из клеток глии, глиома зрительного нерва прорастает межвлагалищные пространства и окружающие нерв оболочки. Ее распространение происходит преимущественно вдоль нервного ствола. По мере роста глиома зрительного нерва может достигнуть размеров куриного яйца и привести к полному разрушению нерва. Внутри опухоли могут образовываться кисты, имеющие слизистое или жидкое содержимое.
Клиническая картина
В начальной стадии своего развития глиома зрительного нерва практически не имеет клинических проявлений. Наиболее ранним признаком ее возникновения является прогрессирующее снижение остроты зрения, возникающее вследствие сдавления, а позднее разрушения нервных волокон увеличивающейся в размерах опухолью. Однако зачастую у маленьких детей нарушение зрения остаются незамеченными, а у детей старшего возраста они требуют дифференцировки от развивающейся близорукости. По мере роста глиомы зрительного нерва в поле зрения возникают участки выпадения (скотомы), отмечается прогрессирующее угасание зрительной функции вплоть до полной слепоты.
К более поздним клиническим проявлениям глиомы зрительного нерва относится экзофтальм. Обычно он характеризуется постепенным увеличением степени выстояния глазного яблока и отсутствием его бокового смещения. Появление смещения глаза в сторону, как правило, возникает при наличии опухолевой кисты или эксцентричном росте глиомы. Именно экзофтальм часто является причиной обращения к врачу у детей с глиомой зрительного нерва. При выраженном экзофтальме возникает ограничение подвижности глазного яблока и неполное смыкание глазной щели, приводящее к высыханию роговицы с развитием кератита и язв роговицы. Дальнейшее развитие патологических процессов в роговице может привести к ее истончению и прободению, влекущему за собой потерю глаза.
Ассоциированные симптомы: Боль в глазу.
К более поздним клиническим проявлениям глиомы зрительного нерва относится экзофтальм. Обычно он характеризуется постепенным увеличением степени выстояния глазного яблока и отсутствием его бокового смещения. Появление смещения глаза в сторону, как правило, возникает при наличии опухолевой кисты или эксцентричном росте глиомы. Именно экзофтальм часто является причиной обращения к врачу у детей с глиомой зрительного нерва. При выраженном экзофтальме возникает ограничение подвижности глазного яблока и неполное смыкание глазной щели, приводящее к высыханию роговицы с развитием кератита и язв роговицы. Дальнейшее развитие патологических процессов в роговице может привести к ее истончению и прободению, влекущему за собой потерю глаза.
Ассоциированные симптомы: Боль в глазу.
Диагностика
Диагноз опухоли зрительного нерва устанавливается на основании клинических данных, результатов исследования зрительной функции и глазного дна, данных рентгенологического исследования и компьютерной томографии.
Зачастую первым врачом, к которому обращаются пациенты с глиомой зрительного нерва является офтальмолог. Проводя проверку остроты зрения, он выявляет ее снижение, в ходе периметрии и компьютерной периметрии в поле зрения могут обнаруживаться отдельные скотомы. Осмотр глазного дна (офтальмоскопия) в ранних стадиях развития глиомы зрительного нерва может не выявить наличия каких-либо изменений. Позже определяется застойный диск зрительного нерва и картина, характерная для вторичной атрофии зрительного нерва. Может отмечаться тромбоз центральной вены сетчатки. В случаях, когда глиома зрительного нерва прорастает диск зрительного нерва, при офтальмоскопии определяется овальное или округлое образование желтовато-розовой или белой окраски, которое может иметь как бугристую, так и гладкую поверхность. При интракраниальной глиоме наблюдается первичная атрофия зрительного нерва.
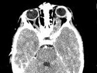
Наиболее достоверно глиома зрительного нерва диагностируется при помощи КТ головного мозга, которое позволяет визуализировать утолщенный зрительный нерв, определить границы разрастания опухоли и ее прорастание в полость черепа. При невозможности проведения КТ, используют прицельную рентгенографию черепа и рентгенографию орбиты, которые при интраорбитальной локализации глиомы выявляют одностороннее расширение полости орбиты и канала зрительного нерва, их затемнение, истончение стенок глазницы.
Глиому зрительного нерва необходимо дифференцировать от менингиомы зрительного нерва, которая в отличие от глиомы чаще встречается у людей старшего возраста. При наличие экзофтальма следует исключить гипертиреоз.
Зачастую первым врачом, к которому обращаются пациенты с глиомой зрительного нерва является офтальмолог. Проводя проверку остроты зрения, он выявляет ее снижение, в ходе периметрии и компьютерной периметрии в поле зрения могут обнаруживаться отдельные скотомы. Осмотр глазного дна (офтальмоскопия) в ранних стадиях развития глиомы зрительного нерва может не выявить наличия каких-либо изменений. Позже определяется застойный диск зрительного нерва и картина, характерная для вторичной атрофии зрительного нерва. Может отмечаться тромбоз центральной вены сетчатки. В случаях, когда глиома зрительного нерва прорастает диск зрительного нерва, при офтальмоскопии определяется овальное или округлое образование желтовато-розовой или белой окраски, которое может иметь как бугристую, так и гладкую поверхность. При интракраниальной глиоме наблюдается первичная атрофия зрительного нерва.
Наиболее достоверно глиома зрительного нерва диагностируется при помощи КТ головного мозга, которое позволяет визуализировать утолщенный зрительный нерв, определить границы разрастания опухоли и ее прорастание в полость черепа. При невозможности проведения КТ, используют прицельную рентгенографию черепа и рентгенографию орбиты, которые при интраорбитальной локализации глиомы выявляют одностороннее расширение полости орбиты и канала зрительного нерва, их затемнение, истончение стенок глазницы.
Глиому зрительного нерва необходимо дифференцировать от менингиомы зрительного нерва, которая в отличие от глиомы чаще встречается у людей старшего возраста. При наличие экзофтальма следует исключить гипертиреоз.
Дифференциальная диагностика
Дифференциальная диагностика проводится также с ангиомой, невриномой, ретинобластомой, кровоизлиянием в глазницу.
Лечение
Учитывая высокую радиочувствительность глиом, лечение глиомы зрительного нерва может проводиться путем ее облучения. Зачастую лучевая терапия приводит к остановке роста опухоли и даже к улучшению зрительной функции. В случае быстро прогрессирующего ухудшения зрения показано хирургическое лечение.
Удалением интраорбитальной глиомы зрительного нерва занимаются офтальмоонкологи и хирурги-офтальмологи. Объем операции зависит от степени разрастания опухоли. Удаление глиом небольшого размера возможно путем орбитотомии и резекции пораженного участка зрительного нерва. Прорастание глиомы до склерального кольца является показанием к энуклеации глазного яблока. Наиболее приемлемой методикой в этом случае является энуклеация с формированием опорной культи для последующего протезирования глаза. Если глиома зрительного нерва прорастает в полость черепа, то вопрос о возможности хирургического лечения решает нейрохирург. Операция проводится в соответствии с общими принципами удаления глиальных опухолей головного мозга.
Удалением интраорбитальной глиомы зрительного нерва занимаются офтальмоонкологи и хирурги-офтальмологи. Объем операции зависит от степени разрастания опухоли. Удаление глиом небольшого размера возможно путем орбитотомии и резекции пораженного участка зрительного нерва. Прорастание глиомы до склерального кольца является показанием к энуклеации глазного яблока. Наиболее приемлемой методикой в этом случае является энуклеация с формированием опорной культи для последующего протезирования глаза. Если глиома зрительного нерва прорастает в полость черепа, то вопрос о возможности хирургического лечения решает нейрохирург. Операция проводится в соответствии с общими принципами удаления глиальных опухолей головного мозга.
Прогноз
К сожалению, глиома зрительного нерва в 100% случаев ведет к полной потери зрения. При интраорбитальных глиомах важным вопросом является сохранение глаза и в случае адекватно проведенного лечения прогноз для жизни, как правило, благоприятный. При интракраниальных глиомах прогноз для жизни зависит от распространенности опухолевого процесса и своевременности проведенного лечения. По некоторым данным в ситуациях, когда глиома зрительного нерва распространяется до области зрительного перекреста, погибает до 50% пациентов.
|
|