Другие названия и синонимы
Ventriculitis, эпендимит, ependymitis.
МКБ-10 коды
|
|
Описание
Вентрикулит (эпендимит) - воспаление мозгового желудочка, грозное осложнение проникающих черепно-мозговых повреждений, внутричерепных хирургических вмешательств и инфекционных процессов. Клинически проявляется фебрильной температурой, головной болью, рвотой, тахикардией, судорогами, угнетением сознания до состояния комы. Диагностируется при помощи компьютерной томографии, люмбальной пункции, анализа ликвора. Консервативная терапия осуществляется антибиотиками, мочегонными, кортикостероидами, противосудорожными препаратами. При неэффективности проводится вентрикулярное дренирование, промывание путей ликворооттока.
Дополнительные факты
Вентрикулит в переводе с латыни означает «воспаление желудочка мозга». В головном мозге находятся четыре желудочка. Два боковых расположены симметрично по одному в каждом полушарии, третий и четвёртый занимают серединное положение. В желудочках циркулирует ликвор (цереброспинальная жидкость). Полости желудочков выстланы эпителиальной мембраной - эпендимой. Поскольку воспалительные процессы происходят именно в эпендиме, в неврологии термин вентрикулит имеет синонимичное название - «эпендимит». Воспаление желудочков вследствие огнестрельного ранения головы описано основателем военно-полевой хирургии Н. И. Пироговым в 1853 году, тщательно изучено в годы Великой Отечественной войны. Ранее точно подтвердить диагноз вентрикулит позволяла лишь аутопсия. Появление методов нейровизуализации сделало возможной достоверную прижизненную диагностику заболевания.
Причины
Заболевание имеет инфекционную этиологию. В период новорождённости наблюдается вследствие внутриутробного инфицирования, в структуре сепсиса новорожденных. В дальнейшем причинами инфицирования желудочков становятся:
• Открытая черепно-мозговая травма. Переломы черепа в области свода или основания, сопровождающиеся повреждением церебральных тканей в перивентрикулярной области, образованием ликворных свищей являются проводящими путями для инфекционных агентов. Попадая в вентрикулярное пространство, микроорганизмы вызывают воспаление.
• Проникающее ранение черепа. Проникающие в полость черепа огнестрельные раны, ранения холодным оружием, бытовыми предметами сопровождаются инфицированием мозговых тканей. Инфекция попадает с загрязнённого ранящего орудия или по раневому каналу.
• Абсцесс головного мозга околожелудочковой локализации. Инфицирование происходит при прорыве абсцесса с излитием его содержимого в полость желудочка или перивентрикулярное пространство. Находящиеся в гное бактерии провоцируют развитие эпендимита.
• Энцефалит. Происходящие при энцефалите диффузные инфекционно-воспалительные процессы распространяются на область желудочков. Проникновение инфекции в вентрикулярную полость вызывает вентрикулит.
• Гнойный менингит. Примыкающее к церебральным оболочкам подпаутинное пространство заполнено ликвором и наряду с желудочками входит в единую ликворную систему мозга. Гноеродные микроорганизмы способны проникать в ликворные пути, распространяться по ним в церебральные желудочки, обуславливая их воспаление с развитием менинговентрикулита.
• Нейрохирургические вмешательства. К ятрогенному инфицированию эпендимы приводит нарушение правил асептики при проведении операций в вентрикулярной области. Инфекция проникает в желудочки через недостаточно стерильный инструментарий: иглу для вентрикулярной пункции, систему наружного вентрикулярного дренирования.
В группу риска развития эпендимита входят лица с проникающими ранениями головы, открытыми ЧМТ, пациенты после нейрохирургических манипуляций в области церебральных желудочков, новорожденные, перенёсшие внутриутробную инфекцию, болеющие неонатальным сепсисом.
• Открытая черепно-мозговая травма. Переломы черепа в области свода или основания, сопровождающиеся повреждением церебральных тканей в перивентрикулярной области, образованием ликворных свищей являются проводящими путями для инфекционных агентов. Попадая в вентрикулярное пространство, микроорганизмы вызывают воспаление.
• Проникающее ранение черепа. Проникающие в полость черепа огнестрельные раны, ранения холодным оружием, бытовыми предметами сопровождаются инфицированием мозговых тканей. Инфекция попадает с загрязнённого ранящего орудия или по раневому каналу.
• Абсцесс головного мозга околожелудочковой локализации. Инфицирование происходит при прорыве абсцесса с излитием его содержимого в полость желудочка или перивентрикулярное пространство. Находящиеся в гное бактерии провоцируют развитие эпендимита.
• Энцефалит. Происходящие при энцефалите диффузные инфекционно-воспалительные процессы распространяются на область желудочков. Проникновение инфекции в вентрикулярную полость вызывает вентрикулит.
• Гнойный менингит. Примыкающее к церебральным оболочкам подпаутинное пространство заполнено ликвором и наряду с желудочками входит в единую ликворную систему мозга. Гноеродные микроорганизмы способны проникать в ликворные пути, распространяться по ним в церебральные желудочки, обуславливая их воспаление с развитием менинговентрикулита.
• Нейрохирургические вмешательства. К ятрогенному инфицированию эпендимы приводит нарушение правил асептики при проведении операций в вентрикулярной области. Инфекция проникает в желудочки через недостаточно стерильный инструментарий: иглу для вентрикулярной пункции, систему наружного вентрикулярного дренирования.
В группу риска развития эпендимита входят лица с проникающими ранениями головы, открытыми ЧМТ, пациенты после нейрохирургических манипуляций в области церебральных желудочков, новорожденные, перенёсшие внутриутробную инфекцию, болеющие неонатальным сепсисом.
Патогенез
Полости церебральных желудочков являются наименее иммунологически защищёнными зонами человеческого организма. Местный иммунитет слаб. Наличие гематоэнцефалического барьера обуславливает затруднённое попадание в желудочки защитных иммунных факторов и вводимых антимикробных фармпрепаратов. В сложившихся условиях интравентрикулярное проникновение микроорганизмов сопровождается их размножением, развитием в стенках и полости желудочка. Инфицирование запускает локальную воспалительную реакцию. Стенки, эпендима желудочков отекают, утолщаются, покрываются гнойными наслоениями. Нарушается продукция и всасывание цереброспинальной жидкости, возникает гидроцефалия - избыточное наполнение ликвором. В результате развивается внутричерепная гипертензия. Содержащиеся в ликворе хлопья гноя могут вызвать окклюзию межжелудочкового отверстия Монро, обуславливающую появление острой окклюзионной гидроцефалии.
Классификация
Вентрикулит классифицируется по этиопатогенетическому признаку в зависимости от пути проникновения инфекции. Соответственно выделяют:
• Первичный вентрикулит. Связанный с непосредственным инфицированием вентрикулярных структур. Возникает при травмах, ранениях, хирургических вмешательствах.
• Вторичный вентрикулит. Обусловленный проникновением микроорганизмов из существующего инфекционного очага. Вторичная форма развивается как осложнение менингита, церебрального абсцесса, энцефалита.
• Первичный вентрикулит. Связанный с непосредственным инфицированием вентрикулярных структур. Возникает при травмах, ранениях, хирургических вмешательствах.
• Вторичный вентрикулит. Обусловленный проникновением микроорганизмов из существующего инфекционного очага. Вторичная форма развивается как осложнение менингита, церебрального абсцесса, энцефалита.
Клиническая картина
Развитие эпендимита при травмах и ранениях сопровождается резким ухудшением общего состояния пострадавшего, нарастанием температуры тела до 40 градусов. Аналогичная картина сопровождает прорыв абсцесса, имевшего до этого стабильное течение. В период сохранённого сознания пациенты жалуются на интенсивную головную боль, отмечается повторная рвота без облегчения. Характерна тяжёлая тахикардия (ЧСС больше 130 ударов), бледность или гиперемия лица, дыхательная недостаточность. Выражен менингеальный синдром.
На фоне двигательного возбуждения происходят генерализованные клонические или тонико-клонические судорожные приступы. Эпилептические пароксизмы сопровождаются нарастающим расстройством сознания. Наблюдается прогрессирующая вялость больного, заторможенность, переходящая в сонливость (сопор). Постепенно развивается кома. Истощение пациента может приводить к падению температуры до субфебрильных цифр, снижению выраженности менингеального симптомокомплекса.
Вентрикулит вследствие внутриутробной инфекции у новорожденных протекает в рамках серозного воспаления без специфической клинической картины. Выявляется только при проведении ультразвукового исследования. Эпендимит на фоне сепсиса новорожденных не имеет патогномоничных симптомов, усугубляет тяжёлое состояние ребёнка.
Ассоциированные симптомы: Боль во всей голове. Общая слабость. Головная боль. Рвота. Судороги. Судороги в ногах.
На фоне двигательного возбуждения происходят генерализованные клонические или тонико-клонические судорожные приступы. Эпилептические пароксизмы сопровождаются нарастающим расстройством сознания. Наблюдается прогрессирующая вялость больного, заторможенность, переходящая в сонливость (сопор). Постепенно развивается кома. Истощение пациента может приводить к падению температуры до субфебрильных цифр, снижению выраженности менингеального симптомокомплекса.
Вентрикулит вследствие внутриутробной инфекции у новорожденных протекает в рамках серозного воспаления без специфической клинической картины. Выявляется только при проведении ультразвукового исследования. Эпендимит на фоне сепсиса новорожденных не имеет патогномоничных симптомов, усугубляет тяжёлое состояние ребёнка.
Ассоциированные симптомы: Боль во всей голове. Общая слабость. Головная боль. Рвота. Судороги. Судороги в ногах.
|
|
Возможные осложнения
Воспаление желудочков сопровождается выделением гноя в цереброспинальную жидкость, в результате вязкость последней повышается, что затрудняет её отток. Ситуация резко ухудшается при закупорке путей ликворооттока хлопьями гноя. Нарастающее внутричерепное давление приводит к сдавлению церебрального вещества, провоцирует отёк головного мозга. Распространение воспаления на IV желудочек, расширение его полости вследствие гидроцефалии обуславливают сдавление прилегающих структур мозгового ствола - моста и продолговатого мозга, где располагаются витальные центры. Компрессия ствола становится причиной нарушений сердечной и дыхательной деятельности с опасностью летального исхода.
Диагностика
Вентрикулит не имеет специфической симптоматики, его клиника укладывается в рамки тяжёлой ЧМТ, интракраниального кровоизлияния, гнойного менингита. Поэтому диагностика требует тщательного анализа анамнеза заболевания, проведения дополнительных исследований. Диагностический алгоритм включает:
• Сбор анамнеза. Особое внимание уделяется давности и характеру травмы, указаниям на проведённое нейрохирургическое лечение. При вторичном эпендимите важна информация о предшествовавших симптомах, наличии установленного диагноза энцефалит, абсцесс мозга.
• Неврологический осмотр. Позволяет неврологу выявить признаки интракраниальной гипертензии, менингеальные симптомы, установить степень нарушения сознания. Сопутствующий очаговый неврологический дефицит помогает определить локализацию внутримозговых повреждений, месторасположение абсцесса.
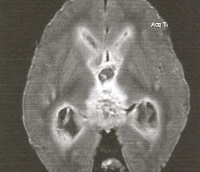
• КТ головного мозга а. Выявляет гидроцефалию, повышение плотности цереброспинальной жидкости, отёчность перивентрикулярных тканей. Обнаруженные изменения носят неспецифический характер, оцениваются в совокупности с клинической картиной, результатами анализа ликвора. Однозначно говорить о наличии вентрикулита по данным КТ можно при визуализации инородного тела в желудочке, прорыва мозгового абсцесса, посттравматического ликворного свища.
• Люмбальную пункцию ю. Выполняется с измерением ликворного давления, проведением ликвородинамических проб, направленных на выявление окклюзии ликворных путей. Исследование цереброспинальной жидкости определяет наличие гноя, микроорганизмов, воспалительных изменений, позволяет исключить кровоизлияние, установить вид возбудителя.
Посттравматический вентрикулит дифференцируют от сопутствующего травме кровоизлияния в желудочки. Оба процесса имеют одинаковые КТ-признаки. Исключить кровоизлияние позволяет исследование ликвора, не обнаруживающее присутствия элементов крови.
• Сбор анамнеза. Особое внимание уделяется давности и характеру травмы, указаниям на проведённое нейрохирургическое лечение. При вторичном эпендимите важна информация о предшествовавших симптомах, наличии установленного диагноза энцефалит, абсцесс мозга.
• Неврологический осмотр. Позволяет неврологу выявить признаки интракраниальной гипертензии, менингеальные симптомы, установить степень нарушения сознания. Сопутствующий очаговый неврологический дефицит помогает определить локализацию внутримозговых повреждений, месторасположение абсцесса.
• КТ головного мозга а. Выявляет гидроцефалию, повышение плотности цереброспинальной жидкости, отёчность перивентрикулярных тканей. Обнаруженные изменения носят неспецифический характер, оцениваются в совокупности с клинической картиной, результатами анализа ликвора. Однозначно говорить о наличии вентрикулита по данным КТ можно при визуализации инородного тела в желудочке, прорыва мозгового абсцесса, посттравматического ликворного свища.
• Люмбальную пункцию ю. Выполняется с измерением ликворного давления, проведением ликвородинамических проб, направленных на выявление окклюзии ликворных путей. Исследование цереброспинальной жидкости определяет наличие гноя, микроорганизмов, воспалительных изменений, позволяет исключить кровоизлияние, установить вид возбудителя.
Посттравматический вентрикулит дифференцируют от сопутствующего травме кровоизлияния в желудочки. Оба процесса имеют одинаковые КТ-признаки. Исключить кровоизлияние позволяет исследование ликвора, не обнаруживающее присутствия элементов крови.
Лечение
Консервативная терапия проводится по принципам лечения гнойного менингита. Недостаточная эффективность консервативных мер служит показанием к применению нейрохирургических методик: дренирования желудочков, промывания ликворной системы.
Консервативное лечение:
• Антибиотикотерапия. Применяется гентамицин, его аналоги, комбинация с ампициллином. Возможно интратекальное введение препаратов непосредственно в ликворное пространство.
• Дегидратация. Необходима для уменьшения церебрального отёка. Проводится при помощи мочегонных препаратов (фуросемида, маннитола), глюкокортикостероидов (преднизолона).
• Симптоматическая терапия. При психомоторном возбуждении показаны транквилизаторы, при судорогах - антиконвульсанты, при гиповолемии, выраженной интоксикации - осторожная инфузионная терапия.
Нейрохирургическое лечение:
• Наружное вентрикулярное дренирование. Осуществляется через фрезевые отверстия в черепе. Сочетается с промыванием полости желудочков антибактериальным раствором. Предпочтительна приточно-отточная дренирующая система с постоянным антибактериальным капельным промыванием желудочка.
• Промывание ликворных путей показано в резистентных к прочей терапии случаях. Производится при помощи люмбального и вентрикулярного дренажей. Для предупреждения обтурации узких участков ликворной системы хлопьями гноя процедура производится снизу вверх, подача жидкости осуществляется через люмбальный дренаж.
Консервативное лечение:
• Антибиотикотерапия. Применяется гентамицин, его аналоги, комбинация с ампициллином. Возможно интратекальное введение препаратов непосредственно в ликворное пространство.
• Дегидратация. Необходима для уменьшения церебрального отёка. Проводится при помощи мочегонных препаратов (фуросемида, маннитола), глюкокортикостероидов (преднизолона).
• Симптоматическая терапия. При психомоторном возбуждении показаны транквилизаторы, при судорогах - антиконвульсанты, при гиповолемии, выраженной интоксикации - осторожная инфузионная терапия.
Нейрохирургическое лечение:
• Наружное вентрикулярное дренирование. Осуществляется через фрезевые отверстия в черепе. Сочетается с промыванием полости желудочков антибактериальным раствором. Предпочтительна приточно-отточная дренирующая система с постоянным антибактериальным капельным промыванием желудочка.
• Промывание ликворных путей показано в резистентных к прочей терапии случаях. Производится при помощи люмбального и вентрикулярного дренажей. Для предупреждения обтурации узких участков ликворной системы хлопьями гноя процедура производится снизу вверх, подача жидкости осуществляется через люмбальный дренаж.
Прогноз
Вентрикулит всегда имеет серьёзный прогноз. По разным источникам летальность достигает 35-50%. Своевременная диагностика, массивная антибиотикотерапия, осуществление дренирования повышают шансы на выживание. Выжившие пациенты нуждаются в длительной восстановительной терапии.
Профилактика
Лучшей профилактикой является предупреждение травм и ранений головы, профилактика и своевременное лечение первичных интракраниальных очагов инфекции (менингита, абсцесса, энцефалита), соблюдение всех правил асептики и антисептики при выполнении нейрохирургических манипуляций, операций.