Другие названия и синонимы
Brain tumors.
МКБ-10 коды
|
|
Описание
Доброкачественная опухоль головного мозга - патологическое новообразование в головном мозге из зрелых клеток разных тканей, соответственно типу опухоли.
Злокачественная опухоль головного мозга - патологическое новообразование в головном мозге, которое способно очень быстро прорастать и уничтожать соседние ткани. Она развивается из незрелых клеток мозга или клеток, попавших в головной мозг из других органов с кровью (метастазирование).
В головном мозге может развиваться несколько типов доброкачественных опухолей. Они называются в соответствии с клетками или тканями, которые дают им начало: шванномы происходят из шванновских клеток, образующих оболочки вокруг нервов; эпендимомы - из клеток, выстилающих желудочки головного мозга; менингиомы - из клеток мозговых оболочек (тканей, окружающих головной мозг); аденомы - из железистых клеток; остеомы - из костных структур черепа и гемангиобластомы - из кровеносных сосудов. Некоторые доброкачественные опухоли мозга (например, краниофарингиомы, хордомы, герминомы, тератомы, дермоидные кисты и ангиомы) бывают врожденными. Менингиомы, как правило, доброкачественны, но нередко вырастают снова после удаления. Эти опухоли чаще возникают у женщин и обычно появляются в детородном возрасте, но могут также появиться в детстве или в возрасте 40-60 лет. Симптомы и последствия развития этих опухолей зависят от того, насколько они велики, как быстро растут и в какой части головного мозга находятся. Если опухоли слишком велики, они вызывают ухудшение интеллектуальных функций, как при деменции.
Злокачественные опухоли мозга, как правило, представляют собой метастазы злокачественных новообразований, развивающихся в другой части тела. Рак молочной железы и легких, злокачественная меланома и злокачественные заболевания крови, например лейкоз и лимфома, способны распространяться по кровеносному руслу и проникать в головной мозг. Метастазы могут возникать в одной или нескольких областях головного мозга. Первичные опухоли мозга растут из клеток самого головного мозга. Обычно это глиомы, образующиеся из глиальных клеток, которые окружают и поддерживают нейроны. Некоторые глиомы являются злокачественными, например наиболее распространенная из них мультиформная глиобластома. К другим злокачественным глиомам относятся быстро растущие анапластические астроцитомы, медленнее растущие астроцитомы и олигодендроглиомы. Довольно редкие медуллобластомы отмечаются у детей в период, предшествующий половому созреванию. Саркомы и аденокарциномы, образующиеся не из нервной ткани, встречаются нечасто. Опухоли мозга возникают с равной частотой независимо от половой принадлежности, но некоторые их виды более распространены у мужчин, а другие - у женщин. По неизвестным причинам в последнее время стали чаще появляться лимфомы головного мозга, особенно у больных СПИДом. Несмотря на лечение, только около 25% людей со злокачественными опухолями мозга живут больше двух лет. При определенных типах опухолей перспектива немного лучше, например при астроцитомах и олигодендроглиомах опухоль обычно не возобновляет своего роста в течение 3-5 лет после лечения. Около 50% людей, лечившихся по поводу медуллобластомы, живут более 5 лет после установления диагноза. Лечение злокачественной опухоли мозга имеет лучшие перспективы при анапластической астроцитоме, чем при мультиформной глиобластоме, а также если возраст больного не превышает 45 лет и если большая часть опухоли или вся она может быть удалена хирургически.
Злокачественная опухоль головного мозга - патологическое новообразование в головном мозге, которое способно очень быстро прорастать и уничтожать соседние ткани. Она развивается из незрелых клеток мозга или клеток, попавших в головной мозг из других органов с кровью (метастазирование).
В головном мозге может развиваться несколько типов доброкачественных опухолей. Они называются в соответствии с клетками или тканями, которые дают им начало: шванномы происходят из шванновских клеток, образующих оболочки вокруг нервов; эпендимомы - из клеток, выстилающих желудочки головного мозга; менингиомы - из клеток мозговых оболочек (тканей, окружающих головной мозг); аденомы - из железистых клеток; остеомы - из костных структур черепа и гемангиобластомы - из кровеносных сосудов. Некоторые доброкачественные опухоли мозга (например, краниофарингиомы, хордомы, герминомы, тератомы, дермоидные кисты и ангиомы) бывают врожденными. Менингиомы, как правило, доброкачественны, но нередко вырастают снова после удаления. Эти опухоли чаще возникают у женщин и обычно появляются в детородном возрасте, но могут также появиться в детстве или в возрасте 40-60 лет. Симптомы и последствия развития этих опухолей зависят от того, насколько они велики, как быстро растут и в какой части головного мозга находятся. Если опухоли слишком велики, они вызывают ухудшение интеллектуальных функций, как при деменции.
Злокачественные опухоли мозга, как правило, представляют собой метастазы злокачественных новообразований, развивающихся в другой части тела. Рак молочной железы и легких, злокачественная меланома и злокачественные заболевания крови, например лейкоз и лимфома, способны распространяться по кровеносному руслу и проникать в головной мозг. Метастазы могут возникать в одной или нескольких областях головного мозга. Первичные опухоли мозга растут из клеток самого головного мозга. Обычно это глиомы, образующиеся из глиальных клеток, которые окружают и поддерживают нейроны. Некоторые глиомы являются злокачественными, например наиболее распространенная из них мультиформная глиобластома. К другим злокачественным глиомам относятся быстро растущие анапластические астроцитомы, медленнее растущие астроцитомы и олигодендроглиомы. Довольно редкие медуллобластомы отмечаются у детей в период, предшествующий половому созреванию. Саркомы и аденокарциномы, образующиеся не из нервной ткани, встречаются нечасто. Опухоли мозга возникают с равной частотой независимо от половой принадлежности, но некоторые их виды более распространены у мужчин, а другие - у женщин. По неизвестным причинам в последнее время стали чаще появляться лимфомы головного мозга, особенно у больных СПИДом. Несмотря на лечение, только около 25% людей со злокачественными опухолями мозга живут больше двух лет. При определенных типах опухолей перспектива немного лучше, например при астроцитомах и олигодендроглиомах опухоль обычно не возобновляет своего роста в течение 3-5 лет после лечения. Около 50% людей, лечившихся по поводу медуллобластомы, живут более 5 лет после установления диагноза. Лечение злокачественной опухоли мозга имеет лучшие перспективы при анапластической астроцитоме, чем при мультиформной глиобластоме, а также если возраст больного не превышает 45 лет и если большая часть опухоли или вся она может быть удалена хирургически.
Причины
Факторы риска развития опухоли мозга: Наследственность.
Раса. Опухоли головного мозга чаще встречаются у лиц европейской расы (только менингиома более характерна для лиц негроидной расы).
Возраст. Чаще заболевание возникает у лиц старше 45 лет (только медуллобластома чаще встречается в детском возрасте).
Воздействие радиации.
Химические агенты.
Раса. Опухоли головного мозга чаще встречаются у лиц европейской расы (только менингиома более характерна для лиц негроидной расы).
Возраст. Чаще заболевание возникает у лиц старше 45 лет (только медуллобластома чаще встречается в детском возрасте).
Воздействие радиации.
Химические агенты.
Клиническая картина
Симптомы развиваются, если разрушена мозговая ткань или увеличилось давление на головной мозг. Они не зависят от того, является ли опухоль мозга доброкачественной или злокачественной. Однако если опухоль мозга представляет собой метастаз рака другого органа, у больного дополнительно отмечаются симптомы, связанные с этим заболеванием. Например, рак легких может сопровождаться кашлем и выделением.
Крови с мокротой, а рак молочной железы - образованием узла в ней.
Симптомы опухоли мозга зависят от ее размера, скорости роста и расположения. В одних частях головного мозга опухоль может достичь значительного размера, прежде чем появятся какие-либо симптомы, в других - даже маленькая опухоль приводит к появлению тяжелых функциональных нарушений. Головная боль обычно является первым.
Симптомом опухоли мозга, хотя в большинстве случаев ее вызывают другие причины. Головная боль при опухоли мозга часто рецидивирует или беспокоит постоянно, без облегчения. Как правило, она сильная, может начинаться у человека, который прежде не жаловался на головные боли, возникает ночью и сохраняется при пробуждении. К.
Другим ранним симптомам опухоли мозга относятся нарушения равновесия и координации, головокружение и двоение в глазах. Более поздние симптомы могут включать тошноту и рвоту, периодическое повышение температуры тела, ускоренный или замедленный пульс и изменение частоты дыхания. Незадолго до смерти обычно возникают резкие колебания артериального давления. Некоторые опухоли мозга вызывают появление судорог. Они чаще отмечаются при доброкачественных опухолях (например, менингиомах) и медленно растущих относительно злокачественных новообразованиях (например, астроцитомах), чем при быстро растущих злокачественных опухолях, таких как мультиформная глиобластома. Опухоль может вызывать слабость, паралич руки или ноги на одной стороне тела и влиять на чувствительность к высокой температуре, холоду, давлению, прикосновению или уколу. Опухоли способны также воздействовать на слух, зрение и обоняние. Давление на головной мозг нередко вызывает изменения личности, сонливость, спутанность сознания и нарушает мышление. Такие симптомы чрезвычайно серьезны и требуют немедленного обращения к врачу.
Астроцитомы и олигодендроглиомыАстроцитомы и олигодендроглиомы.
Представляют собой медленно растущие опухоли и обычно проявляются только судорожными приступами. Их более злокачественные варианты (анапластические астроцитомы и анапластические олигодендроглиомы) могут сопровождаться признаками нарушения функции мозга, например слабостью, потерей чувствительности и неустойчивостью походки. Самая злокачественная астроцитома - мультиформная глиобластома - растет настолько быстро, что это приводит к увеличению давления в полости черепа, вызывая головную боль и заторможенность, а если.
Давление очень высокое, то сомнолентность и кому.
Менингиомы.
Доброкачественные опухоли, которые развиваются из мозговых оболочек, расположенных вокруг головного мозга, вызывают различные симптомы в зависимости от того, где они растут. Они могут приводить к слабости или онемению, приступообразным судорогам, расстройству обоняния, экзофтальму (выпячиванию глазного яблока) и нарушению.
Зрения. У пожилых людей они способны вызвать потерю памяти и заторможенность, напоминая болезнь Альцгеймера.
Опухоли гипофиза.
Гипофиз - это железа, расположенная в основании головного мозга. Она управляет деятельностью многих эндокринных желез. Опухоли гипофиза, как правило, доброкачественные и вырабатывают слишком много гормонов, что вызывает следующие симптомы:
Избыток гормона роста ведет к увеличению роста (гигантизму) или непропорциональному увеличению лица, кистей, стоп и грудной клетки (акромегалии).
Избыток адренокортикотропного гормона приводит к синдрому Кушинга.
Избыток тиреотропного гормона ведет к гипертиреозу.
Избыток пролактина приводит к прекращению менструальных циклов (аменорее), вызывает образование грудного молока у женщин, не.
Кормящих грудью (галакторею), и увеличению молочных желез у.
Мужчин (гинекомастию).
Опухоли гипофиза могут подавлять выработку гормонов некоторыми железами, постепенно ведя к уменьшению содержания этих гормонов в организме. Среди симптомов отмечаются также головные боли и потеря наружных полей зрения обоих глаз. Опухоли эпифизаЭпифиз - это железа, расположенная в центральной части головного мозга. Она управляет биологическими ритмами организма, в первую очередь нормальным соотношением бодрствования и сна. У детей наиболее распространены опухоли эпифиза, которые обычно вызывают раннее половое созревание (герминативные опухоли). Они могут затруднять отток жидкости в пространствах вокруг головного мозга, ведя к увеличению головного мозга и черепа (гидроцефалия), а также тяжелому нарушению деятельности мозга.
Ассоциированные симптомы: Боль во всей голове. Галлюцинации. Головная боль. Изменение почерка. Макрография. Нарушение походки. Раздражительность. Рассеянность. Рвота. Слабость мышц (парез). Тошнота. Эмоциональная лабильность.
Крови с мокротой, а рак молочной железы - образованием узла в ней.
Симптомы опухоли мозга зависят от ее размера, скорости роста и расположения. В одних частях головного мозга опухоль может достичь значительного размера, прежде чем появятся какие-либо симптомы, в других - даже маленькая опухоль приводит к появлению тяжелых функциональных нарушений. Головная боль обычно является первым.
Симптомом опухоли мозга, хотя в большинстве случаев ее вызывают другие причины. Головная боль при опухоли мозга часто рецидивирует или беспокоит постоянно, без облегчения. Как правило, она сильная, может начинаться у человека, который прежде не жаловался на головные боли, возникает ночью и сохраняется при пробуждении. К.
Другим ранним симптомам опухоли мозга относятся нарушения равновесия и координации, головокружение и двоение в глазах. Более поздние симптомы могут включать тошноту и рвоту, периодическое повышение температуры тела, ускоренный или замедленный пульс и изменение частоты дыхания. Незадолго до смерти обычно возникают резкие колебания артериального давления. Некоторые опухоли мозга вызывают появление судорог. Они чаще отмечаются при доброкачественных опухолях (например, менингиомах) и медленно растущих относительно злокачественных новообразованиях (например, астроцитомах), чем при быстро растущих злокачественных опухолях, таких как мультиформная глиобластома. Опухоль может вызывать слабость, паралич руки или ноги на одной стороне тела и влиять на чувствительность к высокой температуре, холоду, давлению, прикосновению или уколу. Опухоли способны также воздействовать на слух, зрение и обоняние. Давление на головной мозг нередко вызывает изменения личности, сонливость, спутанность сознания и нарушает мышление. Такие симптомы чрезвычайно серьезны и требуют немедленного обращения к врачу.
Астроцитомы и олигодендроглиомыАстроцитомы и олигодендроглиомы.
Представляют собой медленно растущие опухоли и обычно проявляются только судорожными приступами. Их более злокачественные варианты (анапластические астроцитомы и анапластические олигодендроглиомы) могут сопровождаться признаками нарушения функции мозга, например слабостью, потерей чувствительности и неустойчивостью походки. Самая злокачественная астроцитома - мультиформная глиобластома - растет настолько быстро, что это приводит к увеличению давления в полости черепа, вызывая головную боль и заторможенность, а если.
Давление очень высокое, то сомнолентность и кому.
Менингиомы.
Доброкачественные опухоли, которые развиваются из мозговых оболочек, расположенных вокруг головного мозга, вызывают различные симптомы в зависимости от того, где они растут. Они могут приводить к слабости или онемению, приступообразным судорогам, расстройству обоняния, экзофтальму (выпячиванию глазного яблока) и нарушению.
Зрения. У пожилых людей они способны вызвать потерю памяти и заторможенность, напоминая болезнь Альцгеймера.
Опухоли гипофиза.
Гипофиз - это железа, расположенная в основании головного мозга. Она управляет деятельностью многих эндокринных желез. Опухоли гипофиза, как правило, доброкачественные и вырабатывают слишком много гормонов, что вызывает следующие симптомы:
Избыток гормона роста ведет к увеличению роста (гигантизму) или непропорциональному увеличению лица, кистей, стоп и грудной клетки (акромегалии).
Избыток адренокортикотропного гормона приводит к синдрому Кушинга.
Избыток тиреотропного гормона ведет к гипертиреозу.
Избыток пролактина приводит к прекращению менструальных циклов (аменорее), вызывает образование грудного молока у женщин, не.
Кормящих грудью (галакторею), и увеличению молочных желез у.
Мужчин (гинекомастию).
Опухоли гипофиза могут подавлять выработку гормонов некоторыми железами, постепенно ведя к уменьшению содержания этих гормонов в организме. Среди симптомов отмечаются также головные боли и потеря наружных полей зрения обоих глаз. Опухоли эпифизаЭпифиз - это железа, расположенная в центральной части головного мозга. Она управляет биологическими ритмами организма, в первую очередь нормальным соотношением бодрствования и сна. У детей наиболее распространены опухоли эпифиза, которые обычно вызывают раннее половое созревание (герминативные опухоли). Они могут затруднять отток жидкости в пространствах вокруг головного мозга, ведя к увеличению головного мозга и черепа (гидроцефалия), а также тяжелому нарушению деятельности мозга.
Ассоциированные симптомы: Боль во всей голове. Галлюцинации. Головная боль. Изменение почерка. Макрография. Нарушение походки. Раздражительность. Рассеянность. Рвота. Слабость мышц (парез). Тошнота. Эмоциональная лабильность.
|
|
Диагностика
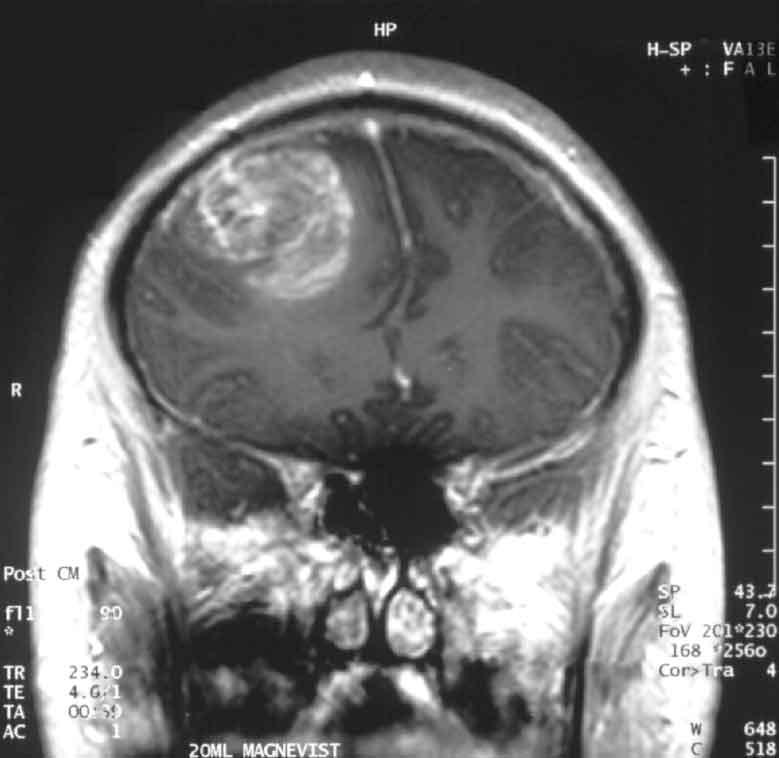
Врач подозревает опухоль мозга, если у человека отмечен любой из характерных для нее симптомов. Хотя нарушение функции нервной системы можно обнаружить уже при неврологическом осмотре, для уточнения диагноза необходимы дополнительные диагностические процедуры. Обычное рентгенологическое исследование черепа и головного мозга дает мало информации для диагностики опухолей мозга (за исключением некоторых случаев менингиомы или аденомы гипофиза). Все типы новообразований в мозге хорошо видны при компьютерной томографии (КТ) или магнитно-резонансной томографии (МРТ), которые позволяют определять их размер и точное расположение. Для того чтобы уточнить вид обнаруженной при КТ или МРТ опухоли мозга, нужны специальные исследования. Аденомы гипофиза, как правило, диагностируют, когда они начинают сдавливать зрительный нерв. Исследования крови показывают изменение содержания в ней гипофизарных гормонов. Опухоль обычно обнаруживают с помощью МРТ или КТ. Рост некоторых опухолей также приводит к изменению концентрации гормонов в крови, но для большинства это не характерно. Чтобы установить тип опухоли и решить, является ли она злокачественной, должна быть сделана ее биопсия (взятие кусочка ткани и исследование его под микроскопом). Иногда злокачественные клетки выявляют при микроскопическом исследовании цереброспинальной жидкости, полученной при люмбальной пункции. Пункция не проводится, если есть подозрение на значительное увеличение внутричерепного давления, поскольку резкое изменение давления может вызвать вклинение - одно из наиболее опасных осложнений опухоли мозга. При вклинении увеличение давления в полости черепа приводит к вдавлению мозговой ткани в отверстие, расположенное в основании черепа, и таким образом к сжатию нижней части головного мозга - ствола. В результате нарушаются управляемые им жизненно важные функции: дыхание, сердечные сокращения и артериальное давление. Если вовремя не диагностировать и не начать лечить это состояние, оно постепенно приводит к развитию комы и к смерти. Биопсию можно сделать во время операции, при которой удаляют всю опухоль или ее часть. Иногда опухоли располагаются в глубине головного мозга и недоступны для хирурга. В таких случаях биопсию проводят с помощью специального устройства, которое позволяет получать трехмерное изображение и следить за положением иглы, с помощью которой берут клетки из опухоли.
Лечение
Лечение опухолей мозга зависит от их типа и расположения. Многие из них можно удалить хирургически без существенного вреда для тканей головного мозга. Однако в некоторых случаях это трудно или невозможно сделать, не повредив важные структуры мозга, что ведет к частичному параличу, изменениям чувствительности, слабости и снижению интеллекта. Тем не менее, если рост опухоли угрожает жизненно важным отделам мозга, ее необходимо удалить. Даже если хирургическое вмешательство не может привести к радикальному излечению, операция приносит определенную пользу: она позволяет уменьшить размер опухоли и вызываемые ею симптомы, определить ее тип и принять решение об использовании других методов лечения, например лучевой терапии. Некоторые доброкачественные опухоли также необходимо удалять хирургически, поскольку их непрерывный рост в ограниченном пространстве может вызывать тяжелое повреждение мозга и приводить к смерти. Менингиомы удаляют всегда, если это возможно, и обычно такая операция проходит благополучно. Однако очень маленькие менингиомы у пожилых людей не трогают. Другие доброкачественные опухоли, например шванномы и эпендимомы, в большинстве случаев лечат аналогичным образом. Иногда после операции назначают лучевую терапию, чтобы уничтожить оставшиеся опухолевые клетки. Как правило, для лечения опухоли мозга, особенно злокачественной, комбинируют операцию, лучевую терапию и химиотерапию. После удаления максимально большой части опухоли начинают лучевую терапию. Облучение редко уничтожает всю опухоль мозга, но позволяет ее уменьшить и в дальнейшем контролировать ее рост в течение многих месяцев или даже лет. Для лечения некоторых опухолей мозга используют также химиотерапию. На нее могут отвечать как метастатические, так и первичные злокачественные новообразования. Увеличение внутричерепного давления - чрезвычайно серьезное состояние, которое требует немедленной медицинской помощи. Чтобы уменьшить давление и предотвратить вклинение, обычно вводят внутривенно лекарства, например маннитол и кортикостероиды. Иногда используют особое устройство, позволяющее измерять давление в полости черепа и корректировать лечение. Лечение метастазов, проникших в головной мозг, в значительной степени зависит от того, где расположена первичная опухоль. Для их уничтожения часто используют лучевую терапию. Хирургическое удаление имеет смысл только в том случае, если выявлен отдельный метастаз. В дополнение к традиционным методам применяют некоторые экспериментальные виды лечения, включающие химиотерапию, введение в опухоль радиоактивного вещества и радиочастотные воздействия.