Другие названия и синонимы
Chronic gingivitis.
МКБ-10 коды
- МКБ-10
- K05.1 Хронический гингивит
|
|
Описание
Хронический гингивит (локализованный или генерализованный) - самое частое заболевание пародонта в детском возрасте, чаще всего проявляется как простой маргинальный гингивит (катаральный гингивит).
Причины
Основная причина катарального гингивита - микрофлора зубных отложений, которые накапливаются при плохой гигиене полости рта.
Другие причины заболеваний пародонта (дефекты пломбирования и протезирования зубов, ЗЧА и деформации, острые края кариозных полостей и корней зубов, ортодонтические аппараты, ротовое дыхание, аномалии прикрепления уздечек губ и языка, изменение консистенции и состава защитных факторов слюны и ) встречаются реже или сочетаются с наличием зубных отложений .
В подростковом возрасте основная причина развития гингивита - гормональный дисбаланс. В период полового созревания в тканях десны накапливаются половые гормоны, которые способствуют повышению проницаемости сосудов, формированию новых сосудистых сетей в зубодесневых областях, скоплению нейтрофилов в эпителии десневой борозды. Это вызывает нарушение обменных процессов в пародонте, повышенную сосудистую и клеточную реакции на обычные раздражители, поэтому даже на действие облигатной микрофлоры десна отвечает интенсивным воспалением, а нередко и гипертрофией. Общие хронические заболевания организма детей (сердечно-сосудистые, желудочно-кишечные, эндокринные и ) также способствуют развитию хронического гингивита.
Другие причины заболеваний пародонта (дефекты пломбирования и протезирования зубов, ЗЧА и деформации, острые края кариозных полостей и корней зубов, ортодонтические аппараты, ротовое дыхание, аномалии прикрепления уздечек губ и языка, изменение консистенции и состава защитных факторов слюны и ) встречаются реже или сочетаются с наличием зубных отложений .
В подростковом возрасте основная причина развития гингивита - гормональный дисбаланс. В период полового созревания в тканях десны накапливаются половые гормоны, которые способствуют повышению проницаемости сосудов, формированию новых сосудистых сетей в зубодесневых областях, скоплению нейтрофилов в эпителии десневой борозды. Это вызывает нарушение обменных процессов в пародонте, повышенную сосудистую и клеточную реакции на обычные раздражители, поэтому даже на действие облигатной микрофлоры десна отвечает интенсивным воспалением, а нередко и гипертрофией. Общие хронические заболевания организма детей (сердечно-сосудистые, желудочно-кишечные, эндокринные и ) также способствуют развитию хронического гингивита.
Клиническая картина
Хронический гингивит характеризуется тем, что больной, практически ,не испытывает болевых ощущений, а само воспаление имеет длительное вялое течение . Поэтому, хронический гингивит нередко обнаруживается лишь на профилактических осмотрах у стоматолога.
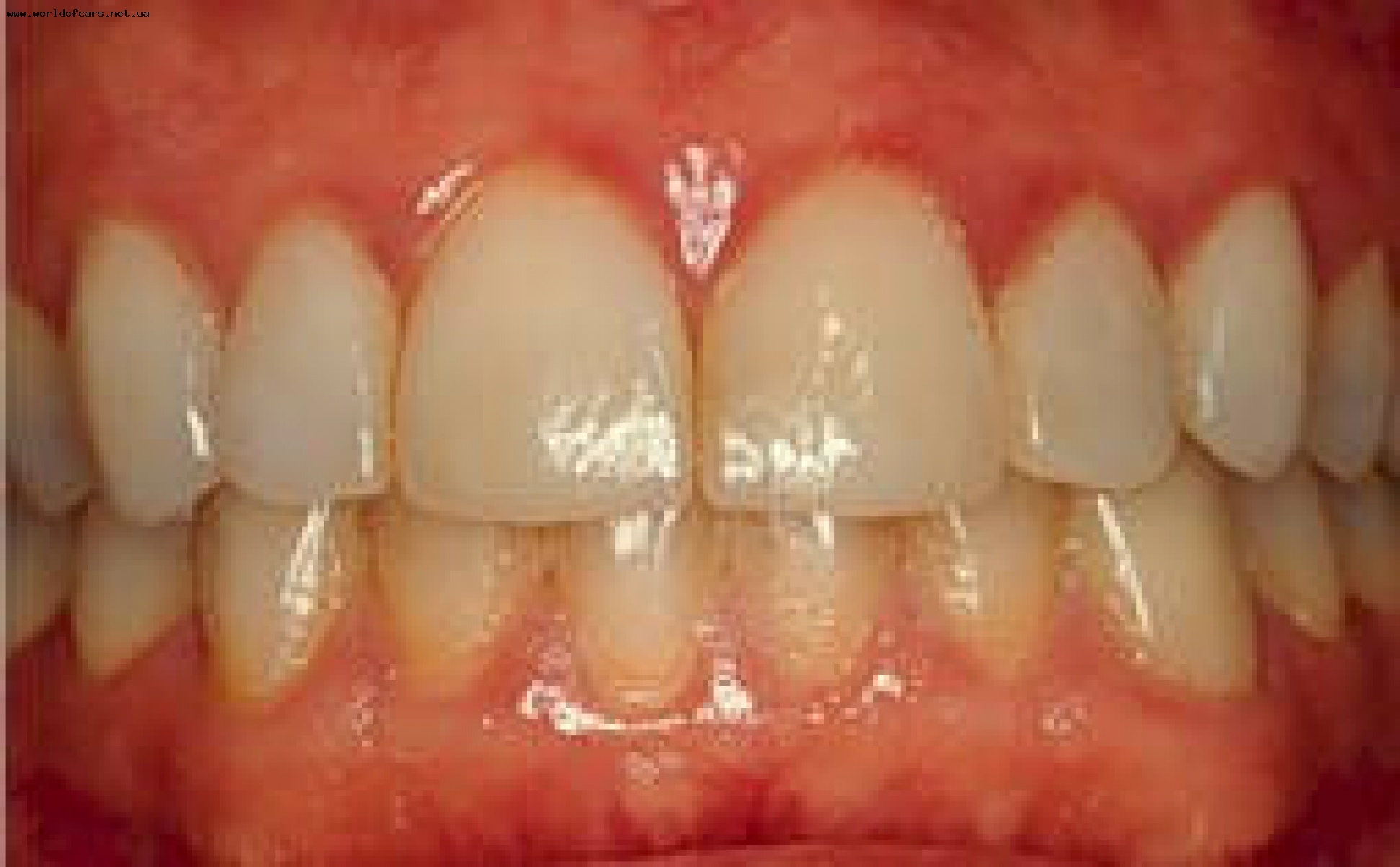
Во время хронического гингивита периодически возникает кровоточивость при чистке зубов, появляется неприятный запах изо рта, происходит легкое покраснение десны и набухание десневых сосочков. При обострении заболевания десна приобретает яркую окраску, отекает и кровоточит. Отмечается наличие зубных отложений, иногда с поражением твердых тканей зуба.
Воспалительный процесс может быть ограниченным - локализованным (легкая степень заболевания) или генерализованным - разлитым (тяжелая степень заболевания), то есть ограничиваться межзубными сосочками и краевой десной или распространяется на всю альвеолярную часть десны.
Ассоциированные симптомы: Боль в десне. Зубная боль. Неприятный запах изо рта. Потеря веса. Привкус крови во рту.
Во время хронического гингивита периодически возникает кровоточивость при чистке зубов, появляется неприятный запах изо рта, происходит легкое покраснение десны и набухание десневых сосочков. При обострении заболевания десна приобретает яркую окраску, отекает и кровоточит. Отмечается наличие зубных отложений, иногда с поражением твердых тканей зуба.
Воспалительный процесс может быть ограниченным - локализованным (легкая степень заболевания) или генерализованным - разлитым (тяжелая степень заболевания), то есть ограничиваться межзубными сосочками и краевой десной или распространяется на всю альвеолярную часть десны.
Ассоциированные симптомы: Боль в десне. Зубная боль. Неприятный запах изо рта. Потеря веса. Привкус крови во рту.
Лечение
Лечение гингивита в хронической форме начинается с полоскания рта антисептическими растворами. Для полосканий применяют раствор перекиси водорода- 1%, хлоргексидин - 0,06%. Антисептики при гингивите назначаются в виде полосканий и примочек на десны.
Следующая стадия лечения - удаление зубных отложений и зубного камня. Потребуется один или два визита к стоматологу, и антисептическая обработка рта после профессиональной очистки зубов.
Самой главной составляющей лечения и профилактики хронического катарального гингивита - хорошая гигиена ротовой полости. При визите к стоматологу, врач объяснит какой зубной пастой следует пользоваться, и как правильно использовать зубную нить.
Когда гингивит сопровождается хроническим воспалением десен, тогда прибегают к применению противовоспалительных препаратов (ацетилсалициловая кислота, бутадион, индометацин ) и антимикробные средства. В тяжелых случаях, врач может назначить прием линкомицина, метронидазола и других антибиотиков.
Хорошие результаты в лечении катарального гингивита показывает назначение физиотерапии:
- массаж десен (улучшение микроциркуляции в деснах и мягкое удаление зубного налета);
- ультрафиолет (антибактериальный эффект);
- электрофорез;
- локальное охлаждение;
- гелиево-неоновый лазер.
Следующая стадия лечения - удаление зубных отложений и зубного камня. Потребуется один или два визита к стоматологу, и антисептическая обработка рта после профессиональной очистки зубов.
Самой главной составляющей лечения и профилактики хронического катарального гингивита - хорошая гигиена ротовой полости. При визите к стоматологу, врач объяснит какой зубной пастой следует пользоваться, и как правильно использовать зубную нить.
Когда гингивит сопровождается хроническим воспалением десен, тогда прибегают к применению противовоспалительных препаратов (ацетилсалициловая кислота, бутадион, индометацин ) и антимикробные средства. В тяжелых случаях, врач может назначить прием линкомицина, метронидазола и других антибиотиков.
Хорошие результаты в лечении катарального гингивита показывает назначение физиотерапии:
- массаж десен (улучшение микроциркуляции в деснах и мягкое удаление зубного налета);
- ультрафиолет (антибактериальный эффект);
- электрофорез;
- локальное охлаждение;
- гелиево-неоновый лазер.