Продолжая работу с сайтом, вы разрешаете использование сookies и соглашаетесь с политикой конфиденциальности.
.,о.,р..и.:г,.и.,н.;н.,а;,л.. .,н.:а,.х.,о.,д.;и.,т..с.:я,, ..н.;а., .,k;,i..b.:e,;r.,i.,s.,.;.r.:u,

Язвенный гингивит

ДобавьАналогиСравни
Используемые препараты: ... скрыть
 
Фарм. гр. Вещество Препараты
Гексэтидин | | | | | | |
Трийодрезорцин
Лечат в 2511 клиниках 115 городов
X
X
Нужен: терапевт, 1 анализ, 3 услуги
Екатеринбург, ул. Надеждинская, д. 9А +7(343..показать+7(495) 104-88-01, +7(343) 204-95-05, +7(343) 310-93-56, +7(343) 310-95-30 от 3677₽
Екатеринбург, ул. Гражданская, д. 9 +7(343..показать+7(495) 104-88-01, +7(343) 204-95-05, +7(343) 358-34-16, +7(800) 234-34-34 от 3677₽
Серпухов, ул. Авангардная, д. 3 +7(495..показать+7(495) 104-88-01, +7(495) 190-03-03, +7(499) 433-07-50 от 4100₽
Санкт-Петербург, пр-т Обуховской Обороны, д. 120Б +7(495..показать+7(495) 104-88-01 от 5340₽
Москва, ул. Маршала Голованова, д. 1, корп. 2 +7(495..показать+7(495) 104-88-01, +7(495) 023-60-84 от 6510₽
Москва, Солнцевский пр-т, д. 19 +7(495..показать+7(495) 104-88-01, +7(495) 212-92-92 от 6550₽
Москва, Зубовский б-р, д. 22/39 +7(495..показать+7(495) 104-88-01, +7(495) 739-53-67, +7(495) 152-55-46 от 6710₽
Москва, Ленинградский пр-т, д. 52 +7(495..показать+7(495) 104-88-01, +7(495) 229-18-75, +7(495) 152-55-46 от 7960₽
Москва, ул. Дубининская, д. 57, стр. 8 +7(495..показать+7(495) 104-88-01, +7(495) 737-01-90, +7(495) 152-55-46 от 8160₽
Москва, ул. Старокачаловская, д. 3, корп. 3 +7(495..показать+7(495) 104-88-01, +7(495) 023-60-84 от 8160₽
Ещё 2501 клинику
  1. МКБ-10 коды
  2. Описание
  3. Дополнительные факты
  4. Клиническая картина
  5. Причины
  6. Диагностика
  7. Лечение
  8. Прогноз
  9. Профилактика
  10. Похожие заболевания
  11. Связанные стандарты мед. помощи
  12. Основные медицинские услуги
  13. Клиники для лечения

Другие названия и синонимы

Ulcerative gingivitis, Эрозивно-язвенный гингивит, Язвенно-некротический гингивит Венсана.
Язвенный гингивит

МКБ-10 коды

Описание

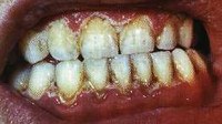
 Язвенный гингивит. Воспалительное поражение тканей десны, сопровождающееся эрозированием, изъязвлением и некрозом десневого края. Течение язвенного гингивита характеризуется резкой болью, затрудняющей прием пищи; неприятным запахом изо рта; гиперемией, отеком и кровоточивостью десен с образованием язвочек; повышением температуры тела пациента и общим недомоганием. Диагноз язвенного гингивита устанавливается на основании осмотра полости рта, функциональных проб, бактериологического исследования отделяемого язв, при необходимости - данных рентгенографии. Лечение язвенного гингивита включает местную обработку полости рта и общую антибактериальную терапию.
Язвенный гингивит

Дополнительные факты

 Язвенный гингивит (эрозивно-язвенный гингивит, язвенно-некротический гингивит Венсана) - форма гингивита, протекающая с преимущественно деструктивными изменениями тканей десны. Язвенный гингивит встречается в стоматологии реже, чем другие клинико-морфологические формы поражения десен, однако протекает гораздо тяжелее, с развитием местных и общих изменений. Наиболее часто язвенный гингивит встречается в возрасте 18-30 лет. В большинстве случаев язвенный гингивит протекает остро, однако при определенных условиях может переходить в подострую или хроническую фазу, а также язвенный стоматит и пародонтит.

Клиническая картина

 Ассоциированные симптомы: Боль в десне. Головная боль. Зубная боль. Недомогание. Неприятный запах изо рта. Потеря веса.

Причины

 В большинстве случаев язвенный гингивит развивается на фоне предшествующего течения катарального гингивита под воздействием причин локального и общего характера. Местные предрасполагающие факторы включают наличие в полости рта обильного мягкого зубного налета и зубного камня, множественного кариеса зубов, затрудненное прорезывание зубов (особенно третьих моляров), курение, хронические травмы полости рта разрушенными зубами, острыми краями пломб, неправильно подогнанными ортопедическими конструкциями.
 Среди причин общего порядка, провоцирующих развитие язвенного гингивита, наибольшее значение имеют перенесенные инфекционные заболевания, снижающие сопротивляемость организма: герпетический стоматит, ОРВИ, ангина и тд В некоторых случаях упорный язвенный гингивит является одним из ранних симптомов СПИДа.
 В имеющихся наблюдениях прослеживается связь язвенного гингивита с гиповитаминозом С; радиационным воздействием; физическим и умственным переутомлением, стрессом, переохлаждением; заболеваниями ЖКТ, эндокринной системы и системы крови (агранулоцитозом, лейкозом); тяжелыми пищевыми токсикоинфекциями, отравлениями солями тяжелых металлов.
 Т. о. , снижение местной и общей защиты создает условия для активации микрофлоры (главным образом, анаэробов и простейших - фузобактерий, зубных спирохет), антигены которых вызывают иммуно-воспалительную реакцию десен, нарушение микроциркуляции, усиление тромбообразования. Деструктивные процессы при язвенном гингивите обусловлены проникновением фузоспириллярной микрофлоры к соединительно-тканной основе десны.

Диагностика

 В большинстве случаев диагноз язвенного гингивита может быть поставлен безошибочно на основании характерной клинической картины. При осмотре и инструментальном обследовании полости рта выявляется повышенная кровоточивость десен, наличие зубного налета и наддесневого зубного камня. Зубодесневое соединение сохранно, зубодесневые карманы отсутствуют.
 Функциональная проба Шиллера-Писарева положительная, индекс гигиены превышает норму, папиллярно-маргинально-альвеолярный индекс больше 0. Важными лабораторными тестами при язвенном гингивите являются определение уровня секреторного иммуноглобулина А в слюне методом ИФА, бактериологическое исследование отделяемого с поверхности язв. Для исследования микроциркуляции в тканях пародонта проводится реопародонтография. С целью оценки состояния костной ткани выполняется ортопантомография.
 Язвенный гингивит, как самостоятельное заболевание, следует дифференцировать от язвенно-некротических изменений десен при заболеваниях крови и ВИЧ-инфекции, а также от пародонтита. Важным представляется заключение других специалистов (гастроэнтеролога, эндокринолога, иммунолога, гематолога) о состоянии здоровья пациента.

Лечение

 Терапия язвенного гингивита складывается из местных и общих мероприятий. Пациентам рекомендуется щадящая и витаминизированная диета, обильное питье. Началу лечения предшествует профессиональная чистка зубов, снятие зубных отложений, удаление некротизированных тканей; при необходимости - пришлифовывание острых краев зубов, способных травмировать десну. Данные манипуляции следует проводить очень осторожно, под адекватной местной анестезией.
 В качестве средств местной терапии язвенного гингивита применяются аппликации анестетиков (новокаина, лидокаина), противомикробных препаратов (хлоргексидина, метронидазола), протеолитических ферментов (трипсина, химотрипсина); проводятся ротовые ванночки с антисептиками и отварами трав. После очищения язвенных дефектов от некротических масс производятся пародонтологические аппликации кератопластических препаратов (например, масляных растворов витаминов А и Е). Медикаментозное лечение язвенного гингивита дополняется физиотерапевтическим (УФО, ультрафонофорезом, лазеротерапией).
 Общая терапия язвенного гингивита включает прием метронидазола, антигистаминных препаратов, ацетилсалициловой кислоты, витаминов.

Прогноз

 При язвенном гингивите легкой степени все изменения десны носят обратимый характер. Среднетяжелое и тяжелое течение язвенного гингивита может приводить к необратимым деформациям десневого контура и обнажению шеек зубов.

Профилактика

 В профилактическом плане важно исключение всех возможных местных и общих факторов, предрасполагающих к развитию язвенного гингивита. Следует уделять повышенное внимание гигиене полости рта, профессиональной чистке зубов, своевременно обращаться к пародонтологу при возникновении катарального гингивита.

Похожие заболевания

Связанные стандарты мед. помощи

42a96bb5c8a2acfb07fc866444b97bf1
Доступно только при использовании PRO аккаунта
Модератор контента: Васин А.С.


  1. Киберис НЕ является интернет-магазином и НЕ осуществляет закупку, хранение, продажу и доставку препаратов. Ресурс выступает лишь в роли посредника между вами и производителем препаратов или аптечными пунктами, которые и осуществляют поставку.
  2. На Киберис размещены описания препаратов, часть из которых предназначена только для врачей. Данная информация не может быть использована пациентами для принятия решения об использовании препаратов, их отмене или коррекции дозировок.
  3. Ничто в представленной информации не должно быть истолковано как призыв использовать данные препараты.
  4. К Киберис не могут быть обращены претензии по поводу любого ущерба или вреда, понесенного в результате использования размещенной на сайте информации.