Другие названия и синонимы
Catarrhal gingivitis.
МКБ-10 коды
- МКБ-10
- K05.0 Острый гингивит
|
|
Описание
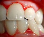
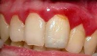
Катаральный гингивит - это воспаление десны, обусловленное неблагоприятным воздействием местных и общих факторов, протекающее без нарушения целостности зубодесневого прикрепления.
Клиническая картина
Больные жалуются на неприятные ощущения в деснах, чувство зуда, запах изо рта, извращение вкуса, кровоточивость десен во время приема пищи или чистки зубов, может быть окрашивание ротовой жидкости в розовый цвет. При остром течении или обострении хронического течения боль усиливается во время приема пищи в результате влияния механических и химических раздражителей.
Общее состояние больных страдает мало, однако периоды обострения могут сопровождаться недомоганием, субфебрильной температурой.
Острый катаральный гингивит характерен для периода прорезывания и смены зубов. Наблюдается при острых инфекционных и других общесоматических заболеваниях.
Хронический катаральный гингивит отличается длительным вялым течением; жалобы выражены слабо. Воспалительный процесс может ограничиваться межзубными сосочками и краевой десной или распространяется на всю альвеолярную часть десны, бывает ограниченный - локализованный или генерализованный - разлитой.
При объективном обследовании отмечают отек, гиперемию, цианоз десны, ее утолщение, ограниченные очаги десквамации, единичные эрозии, преимущественно в области вершин межзубных сосочков; механическое раздражение сопровождается кровотечением. Вследствие отека десны иногда можно предположить наличие пародонтальных карманов, однако их нет, так как сохраняется целость зубодесневого соединения.
На зубах - повышенное содержание мягкого зубного налета (больные избегают чистить зубы вследствие болезненности и кровоточивости десен), иногда налет окрашивается пигментами крови или красящими веществами пищи. Нередко наблюдается наличие твердого окрашенного (зеленого) налета на зубах в пришеечной области.
Общее состояние больных, как правило, не нарушено, изменения в периферической крови не выявляются. На рентгенограмме костная ткань без изменений.
Ассоциированные симптомы: Боль в десне. Зубная боль. Недомогание. Неприятный запах изо рта. Потеря веса.
Общее состояние больных страдает мало, однако периоды обострения могут сопровождаться недомоганием, субфебрильной температурой.
Острый катаральный гингивит характерен для периода прорезывания и смены зубов. Наблюдается при острых инфекционных и других общесоматических заболеваниях.
Хронический катаральный гингивит отличается длительным вялым течением; жалобы выражены слабо. Воспалительный процесс может ограничиваться межзубными сосочками и краевой десной или распространяется на всю альвеолярную часть десны, бывает ограниченный - локализованный или генерализованный - разлитой.
При объективном обследовании отмечают отек, гиперемию, цианоз десны, ее утолщение, ограниченные очаги десквамации, единичные эрозии, преимущественно в области вершин межзубных сосочков; механическое раздражение сопровождается кровотечением. Вследствие отека десны иногда можно предположить наличие пародонтальных карманов, однако их нет, так как сохраняется целость зубодесневого соединения.
На зубах - повышенное содержание мягкого зубного налета (больные избегают чистить зубы вследствие болезненности и кровоточивости десен), иногда налет окрашивается пигментами крови или красящими веществами пищи. Нередко наблюдается наличие твердого окрашенного (зеленого) налета на зубах в пришеечной области.
Общее состояние больных, как правило, не нарушено, изменения в периферической крови не выявляются. На рентгенограмме костная ткань без изменений.
Ассоциированные симптомы: Боль в десне. Зубная боль. Недомогание. Неприятный запах изо рта. Потеря веса.
Причины
Острый катаральный гингивит чаще всего является проявлением острых инфекционных заболеваний (корь, острые респираторные вирусные инфекция, инфекционный мононуклеоз, скарлатина, дифтерия). Он также может явиться начальной фазой развития острого герпетического стоматита, проявлением аллергической реакции, частопротекает по типу гингивостоматита.
Лечение
Лечение острого катарального гингивитасводится к выявлению этиологического фактора илечению основного заболевания. Местная терапия направлена на обезболивание слизистой оболочки десны, уменьшение отека, и предотвращение вторичной инфекции.
При лечении острого воспаления слизистой оболочки полости ртау детей целесообразно использовать средства растительного происхождения, обладающие обволакивающим (отвар листьев мальвы, шалфея, корня алтея) и капилляроукрепляющим свойствами. В качестве капилляроукрепляющих средств рекомендуются фенольные соединения растительного происхождения - флавоноиды. Резистентность стенок капилляров в основном зависит от состояния клеток и волокон соединительной ткани, расположенной вокруг сосудов. При остром воспалительном процессе проницаемость и прочность капилляров изменяются. Фенольные соединения, обладающие Р-витаминной активностью, действуют на проницаемость и прочность сосудисто-тканевых барьеров. Витамин С оказывает такое же действие, но, в отличие от Р-витаминных фенольных соединений, обладающих Р-витаминной активностью, не защищает основное вещество соединительной ткани от воздействия гиалуронидазы, а стимулирует образование коллагена.
Фенольные соединения обладают свойствами антагонистов медиаторов воспаления - серотонина, брадикинина, простагландинов.
Растительные фенольные соединения целесообразно применять для лечения воспалительных пораженийслизистой оболочки полости ртаразличного генеза, так как они по сравнению со стероидными противовоспалительными препаратами отличаются более мягким действием, нетоксичны и даже при длительном применении не оказывают вредного побочного влияния, что позволяет их широко использовать у детей. Противовоспалительное действие проявляется главным образом во время экссудативной фазы, на пролиферативную фазу воспаления они действуют значительно слабее.
При остром воспалении десны широко используют вяжущие средства растительного происхождения, содержащие дубильные вещества. Противовоспалительное действие дубильных веществ обусловлено образованием нерастворимых соединений с белками - альбуминатов - при местном воздействии на слизистую оболочку. Пленка осажденного белка защищает нервные окончания от раздражения продуктами распада, что уменьшает боль.
Кроме того, эти вещества вызывают сужение патологически расширенных сосудов, уплотняют их стенку, уменьшают проницаемость и, следовательно, выпотевание жидкости и отек, они уменьшают выраженность экссудативной фазы воспаления. Следствием уплотнения биологических мембран (стенок лизосом, клеточных оболочек) является уменьшение выхода медиаторов воспаления - гистамина, протеаз, нуклеаз. Ослабление воспаления может быть связано с воздействием этих веществ на клеточные звенья воспаления - иммунологические механизмы, процессы клеточного размножения Используют лист шалфея, ромазулан, цветы ромашки, корневище змеевика, галаскорбин.
Лечение хронического катарального гингивита начинают с санации полости рта и обучения ребенка чистке зубов. Удаляют мягкие и твердые зубные отложения.
С учетом возраста ребенка дают рекомендации по подбору зубной щетки, средств для гигиенического ухода за полостью рта. Важно ознакомиться с режимом и характером питания ребенка и рассказать о необходимости употребления жесткой пищи (овощи, фрукты в натуральном виде), что обеспечит достаточную функциональную нагрузку на жевательный аппарат, очищение зубов от мягкого налета. За счет этих мероприятий воспаление часто ликвидируется.
Если воспаление десны сохраняется, то дополнительно проводят противовоспалительную терапию с использованием нестероидных противовоспалительных препаратов или средства растительного происхождения, физиотерапию, лечение у ортодонта при наличии показаний.
Из физиотерапевтических методов лечения при хроническом катаральном гингивите назначают гидротерапию с углекислым газом 10 мин ежедневно или через день, на курс лечения 10-15 сеансов; электрофорез 1% раствора галаскорбина или 5% раствора аскорбиновой кислоты, 4% раствора никотиновой кислоты для чего используют внутриротовые электроды. Продолжительность электрофореза зависит от индивидуальной переносимости силы тока. Курс лечения 10 сеансов, которые назнача ежедневно или через день.
При лечении острого воспаления слизистой оболочки полости ртау детей целесообразно использовать средства растительного происхождения, обладающие обволакивающим (отвар листьев мальвы, шалфея, корня алтея) и капилляроукрепляющим свойствами. В качестве капилляроукрепляющих средств рекомендуются фенольные соединения растительного происхождения - флавоноиды. Резистентность стенок капилляров в основном зависит от состояния клеток и волокон соединительной ткани, расположенной вокруг сосудов. При остром воспалительном процессе проницаемость и прочность капилляров изменяются. Фенольные соединения, обладающие Р-витаминной активностью, действуют на проницаемость и прочность сосудисто-тканевых барьеров. Витамин С оказывает такое же действие, но, в отличие от Р-витаминных фенольных соединений, обладающих Р-витаминной активностью, не защищает основное вещество соединительной ткани от воздействия гиалуронидазы, а стимулирует образование коллагена.
Фенольные соединения обладают свойствами антагонистов медиаторов воспаления - серотонина, брадикинина, простагландинов.
Растительные фенольные соединения целесообразно применять для лечения воспалительных пораженийслизистой оболочки полости ртаразличного генеза, так как они по сравнению со стероидными противовоспалительными препаратами отличаются более мягким действием, нетоксичны и даже при длительном применении не оказывают вредного побочного влияния, что позволяет их широко использовать у детей. Противовоспалительное действие проявляется главным образом во время экссудативной фазы, на пролиферативную фазу воспаления они действуют значительно слабее.
При остром воспалении десны широко используют вяжущие средства растительного происхождения, содержащие дубильные вещества. Противовоспалительное действие дубильных веществ обусловлено образованием нерастворимых соединений с белками - альбуминатов - при местном воздействии на слизистую оболочку. Пленка осажденного белка защищает нервные окончания от раздражения продуктами распада, что уменьшает боль.
Кроме того, эти вещества вызывают сужение патологически расширенных сосудов, уплотняют их стенку, уменьшают проницаемость и, следовательно, выпотевание жидкости и отек, они уменьшают выраженность экссудативной фазы воспаления. Следствием уплотнения биологических мембран (стенок лизосом, клеточных оболочек) является уменьшение выхода медиаторов воспаления - гистамина, протеаз, нуклеаз. Ослабление воспаления может быть связано с воздействием этих веществ на клеточные звенья воспаления - иммунологические механизмы, процессы клеточного размножения Используют лист шалфея, ромазулан, цветы ромашки, корневище змеевика, галаскорбин.
Лечение хронического катарального гингивита начинают с санации полости рта и обучения ребенка чистке зубов. Удаляют мягкие и твердые зубные отложения.
С учетом возраста ребенка дают рекомендации по подбору зубной щетки, средств для гигиенического ухода за полостью рта. Важно ознакомиться с режимом и характером питания ребенка и рассказать о необходимости употребления жесткой пищи (овощи, фрукты в натуральном виде), что обеспечит достаточную функциональную нагрузку на жевательный аппарат, очищение зубов от мягкого налета. За счет этих мероприятий воспаление часто ликвидируется.
Если воспаление десны сохраняется, то дополнительно проводят противовоспалительную терапию с использованием нестероидных противовоспалительных препаратов или средства растительного происхождения, физиотерапию, лечение у ортодонта при наличии показаний.
Из физиотерапевтических методов лечения при хроническом катаральном гингивите назначают гидротерапию с углекислым газом 10 мин ежедневно или через день, на курс лечения 10-15 сеансов; электрофорез 1% раствора галаскорбина или 5% раствора аскорбиновой кислоты, 4% раствора никотиновой кислоты для чего используют внутриротовые электроды. Продолжительность электрофореза зависит от индивидуальной переносимости силы тока. Курс лечения 10 сеансов, которые назнача ежедневно или через день.