Другие названия и синонимы
Acute gingivitis.
МКБ-10 коды
- МКБ-10
- K05.0 Острый гингивит
|
|
Описание
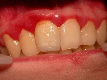
Острый гингивит. Воспаление десен, протекающее с выраженной клиникой без нарушения целостности зубодесневого соединения. При катаральном гингивите десна становится отечной, гиперемированной. Появляются жжение, кровоточивость. Язвенный гингивит характеризуется развитием участков изъязвлений, десневой край приобретает изъеденный вид, покрыт серым налетом. Диагностика включает сбор анамнеза, клинический осмотр, инструментальные и лабораторные методики исследования. С целью этиотропного лечения острого гингивита показаны следующие мероприятия: профессиональная гигиена полости рта, назначение противомикробной терапии, устранение местных раздражающих факторов.
Дополнительные факты
Острый гингивит - заболевание, возникающее вследствие вовлечения в воспалительный процесс тканей десны, протекает с сохранением целостности зубоэпителиального прикрепления. Представители женского и мужского пола в равной степени подвержены развитию заболевания. Острый гингивит диагностируют гораздо реже, чем хронический. Наиболее часто десквамативный гингивит выявляют у девочек в период полового созревания. Язвенный гингивит чаще встречается у мужчин в возрасте до 30 лет. Кроме первичного острого гингивита, вызванного ассоциацией условно-патогенных микроорганизмов полости рта, в стоматологии диагностируют и симптоматический гингивит, сигнализирующий о заболеваниях крови, патологии эндокринной системы, дисфункции органов ЖКТ.
Клиническая картина
Ассоциированные симптомы: Боль в десне. Зубная боль. Металлический привкус во рту. Неприятный запах изо рта. Потеря веса. Привкус крови во рту.
Причины
Ведущая роль в возникновении острого гингивита принадлежит инфекционному фактору. Обильная пародонтопатогенная микрофлора, находящаяся в зубной бляшке, оказывает выраженное повреждающее действие на ткани пародонта. Множественные кариозные полости, зубочелюстные деформации, патологии прикуса - все эти местные факторы создают благоприятные условия для накопления зубного налета и развития воспалительного процесса. Однако бактериальную модель этиопатогенеза острого гингивита необходимо рассматривать в комплексе с индивидуальными реакциями организма.
Микробный фактор может быть реализован только в условиях неадекватной иммунной защиты. К общим предрасполагающим условиям, снижающим реактивность организма и способствующим развитию острого гингивита, относят инфекционные заболевания, болезни эндокринной системы, вредные привычки, стрессовые ситуации. Наиболее часто при остром гингивите в зубном налете выявляют повышенное содержание актиномицетов. Доказана прямая корреляция между выраженностью клиники и количественным содержанием Actinomyces viscosus.
Продуцируемый патогенами лейкотоксин вызывает лизис нейтрофилов, в результате чего клетки крови утрачивают свои защитные свойства. Эндотоксины, проникая через интактный эпителий десны, активируют систему комплемента, стимулируют продукцию биологически активных веществ, под воздействием которых развиваются признаки острого гингивита: отек, гиперемия, кровоточивость. Вследствие выхода форменных элементов за пределы сосудистой стенки усугубляется нарушение микроциркуляции. Расстройства кровотока, повышение проницаемости сосудов являются ведущим звеном воспалительной реакции.
В основе патогенетического механизма развития язвенной формы острого гингивита лежит иммунокомплексная реакция 3 типа, в результате которой возникает поверхностный васкулит, снижается скорость кровотока, что способствует запуску реакций тромбообразования. Это в конечном итоге приводит к развитию ишемии и некрозу. Десквамативная форма острого гингивита возникает в результате изменения гормонального фона в период полового созревания.
Микробный фактор может быть реализован только в условиях неадекватной иммунной защиты. К общим предрасполагающим условиям, снижающим реактивность организма и способствующим развитию острого гингивита, относят инфекционные заболевания, болезни эндокринной системы, вредные привычки, стрессовые ситуации. Наиболее часто при остром гингивите в зубном налете выявляют повышенное содержание актиномицетов. Доказана прямая корреляция между выраженностью клиники и количественным содержанием Actinomyces viscosus.
Продуцируемый патогенами лейкотоксин вызывает лизис нейтрофилов, в результате чего клетки крови утрачивают свои защитные свойства. Эндотоксины, проникая через интактный эпителий десны, активируют систему комплемента, стимулируют продукцию биологически активных веществ, под воздействием которых развиваются признаки острого гингивита: отек, гиперемия, кровоточивость. Вследствие выхода форменных элементов за пределы сосудистой стенки усугубляется нарушение микроциркуляции. Расстройства кровотока, повышение проницаемости сосудов являются ведущим звеном воспалительной реакции.
В основе патогенетического механизма развития язвенной формы острого гингивита лежит иммунокомплексная реакция 3 типа, в результате которой возникает поверхностный васкулит, снижается скорость кровотока, что способствует запуску реакций тромбообразования. Это в конечном итоге приводит к развитию ишемии и некрозу. Десквамативная форма острого гингивита возникает в результате изменения гормонального фона в период полового созревания.
Классификация
По характеру течения острый гингивит разделяют на следующие формы:
• Легкую. Очаг поражения локализирован в участке межзубных сосочков.
• Средней тяжести. В патологический процесс вовлекаются не только интерпроксимальные сосочки, но и маргинальный край.
• Тяжелую. Патологические изменения выявляют на всем протяжении слизистой оболочки десны, в том числе и в альвеолярной ее части.
По распространенности воспалительного процесса острый гингивит бывает локализованным (охватывает слизистую в участке 4 зубов) и генерализованным. Наиболее часто диагностируют катаральную, десквамативную и язвенную формы острого гингивита.
• Легкую. Очаг поражения локализирован в участке межзубных сосочков.
• Средней тяжести. В патологический процесс вовлекаются не только интерпроксимальные сосочки, но и маргинальный край.
• Тяжелую. Патологические изменения выявляют на всем протяжении слизистой оболочки десны, в том числе и в альвеолярной ее части.
По распространенности воспалительного процесса острый гингивит бывает локализованным (охватывает слизистую в участке 4 зубов) и генерализованным. Наиболее часто диагностируют катаральную, десквамативную и язвенную формы острого гингивита.
Диагностика
Постановка диагноза «острый гингивит» базируется на основе собранного анамнеза, данных физикального обследования, результатов дополнительных методов исследования. Во время осмотра при катаральном гингивите врач-стоматолог выявляет гиперемированную, отечную десну. Сосочки напряжены, кровоточат при легком касании. Целостность зубоэпителиального прикрепления при остром гингивите сохранена, отсутствуют пародонтальные карманы. При десквамативной форме острого гингивита наряду с отечностью и кровоточивостью в участке десен диагностируют зоны слущивания поверхностного эпителия.
Язвенный гингивит характеризуется образованием изъязвлений. Наблюдается изъеденный десневой край, интерпроксимальные промежутки зияют. Регионарные лимфатические узлы у пациентов с язвенной формой острого гингивита увеличены. Проба Шиллера-Писарева при остром гингивите положительная. После нанесения йодсодержащих препаратов изменяется цвет слизистой от светло-желтого до темно-коричневого. Интенсивность окрашивания коррелирует со степенью тяжести воспаления. Индекс PMA при остром гингивите положительный. При поражении межзубных сосочков PMA - 25%, при вовлечении в патологический процесс маргинальной части десны PMA - 50%. Если индекс PMA больше 50%, это говорит о наличии воспалительных изменений и в участке альвеолярной десны.
В ходе оценки уровня гигиены при остром гингивите выявляют высокие цифры показателей Грин-Вермиллиона, что говорит о неудовлетворительном индексе гигиены. На прицельной рентгенограмме и ортопантомограмме патологические изменения в костной ткани альвеолярного отростка отсутствуют. При язвенной форме острого гингивита с помощью бактериоскопического исследования удается выявить в поверхностном слое слизистой наряду с резидентной микрофлорой полости рта повышенное содержание фузобактерий и спирохет. Более глубокие ткани содержат исключительно чистую культуру фузиспириллярного симбиоза. При проведении бактериоскопии у пациентов с катаральной формой острого гингивита выявляют увеличенное количество актиномицетов.
Язвенный гингивит характеризуется образованием изъязвлений. Наблюдается изъеденный десневой край, интерпроксимальные промежутки зияют. Регионарные лимфатические узлы у пациентов с язвенной формой острого гингивита увеличены. Проба Шиллера-Писарева при остром гингивите положительная. После нанесения йодсодержащих препаратов изменяется цвет слизистой от светло-желтого до темно-коричневого. Интенсивность окрашивания коррелирует со степенью тяжести воспаления. Индекс PMA при остром гингивите положительный. При поражении межзубных сосочков PMA - 25%, при вовлечении в патологический процесс маргинальной части десны PMA - 50%. Если индекс PMA больше 50%, это говорит о наличии воспалительных изменений и в участке альвеолярной десны.
В ходе оценки уровня гигиены при остром гингивите выявляют высокие цифры показателей Грин-Вермиллиона, что говорит о неудовлетворительном индексе гигиены. На прицельной рентгенограмме и ортопантомограмме патологические изменения в костной ткани альвеолярного отростка отсутствуют. При язвенной форме острого гингивита с помощью бактериоскопического исследования удается выявить в поверхностном слое слизистой наряду с резидентной микрофлорой полости рта повышенное содержание фузобактерий и спирохет. Более глубокие ткани содержат исключительно чистую культуру фузиспириллярного симбиоза. При проведении бактериоскопии у пациентов с катаральной формой острого гингивита выявляют увеличенное количество актиномицетов.
Дифференциальная диагностика
Дифференцировать острый гингивит инфекционного происхождения необходимо не только с пародонтитом, но и с вторичным воспалительным процессом, развивающимся при болезнях крови, патологиях эндокринной системы, расстройствах функционирования органов ЖКТ. Для исключения симптоматического острого гингивита показаны консультации узких специалистов: гематолога, эндокринолога, гастроэнтеролога.
|
|
Лечение
Острый гингивит требует комплексного лечения. В первое посещение выполняют профессиональную гигиену полости рта. Для удаления твердых и мягких зубных отложений используют ручные кюреты, ультразвуковые скейлеры. Процедуры чистки проводят под постоянным орошением слизистой антисептическими растворами. На заключительном этапе показана полировка зубов для предотвращения последующей ретенции налета. Этиотропная терапия острого гингивита включает применение хлорсодержащих средств, производных нитрофуранов, окислителей. Препараты, обладающие антибактериальным действием, назначают в виде полосканий, ирригаций.
При остром гингивите широко используют и средства растительного происхождения, оказывающие выраженные антисептическое и противовоспалительное действие. При отсутствии положительной динамики показано применение препаратов из группы нестероидных противовоспалительных средств. После купирования воспаления при остром гингивите выполняют санацию полости рта, устраняют местные раздражающие факторы. Терапия десквамативного гингивита проводится аналогично алгоритму лечения катарального воспалительного процесса. Для ускорения регенерации тканей при десквамативной форме острого гингивита применяют кератопластики.
Лечение язвенного гингивита включает мероприятия, направленные на обезболивание пораженных тканей, антисептическую обработку полости рта. Для устранения некротизированных наслоений используют некролитические препараты на основе протеолитических ферментов. Хорошего эффекта удается достичь при комбинировании антибиотиков с кортикостероидами, протеолитическими ферментами. С целью ускорения восстановительных процессов при остром гингивите назначают средства для стимуляции эпителизации. При нарушении общего состояния используют антибиотики, противовоспалительные, антипротозойные препараты для приема внутрь.
При своевременном выявлении и комплексном лечении острого гингивита в 95% случаев удается купировать воспалительный процесс и предотвратить развитие осложнений. Только в 5% случаев отмечается прогрессирование острого гингивита с возникновением деструктивных изменений, появлением признаков пародонтита.
При остром гингивите широко используют и средства растительного происхождения, оказывающие выраженные антисептическое и противовоспалительное действие. При отсутствии положительной динамики показано применение препаратов из группы нестероидных противовоспалительных средств. После купирования воспаления при остром гингивите выполняют санацию полости рта, устраняют местные раздражающие факторы. Терапия десквамативного гингивита проводится аналогично алгоритму лечения катарального воспалительного процесса. Для ускорения регенерации тканей при десквамативной форме острого гингивита применяют кератопластики.
Лечение язвенного гингивита включает мероприятия, направленные на обезболивание пораженных тканей, антисептическую обработку полости рта. Для устранения некротизированных наслоений используют некролитические препараты на основе протеолитических ферментов. Хорошего эффекта удается достичь при комбинировании антибиотиков с кортикостероидами, протеолитическими ферментами. С целью ускорения восстановительных процессов при остром гингивите назначают средства для стимуляции эпителизации. При нарушении общего состояния используют антибиотики, противовоспалительные, антипротозойные препараты для приема внутрь.
При своевременном выявлении и комплексном лечении острого гингивита в 95% случаев удается купировать воспалительный процесс и предотвратить развитие осложнений. Только в 5% случаев отмечается прогрессирование острого гингивита с возникновением деструктивных изменений, появлением признаков пародонтита.