Продолжая работу с сайтом, вы разрешаете использование сookies и соглашаетесь с политикой конфиденциальности.
.,о.,р..и.:г,.и.,н.;н.,а;,л.. .,н.:а,.х.,о.,д.;и.,т..с.:я,, ..н.;а., .,k;,i..b.:e,;r.,i.,s.,.;.r.:u,

Мукоцеле лобной пазухи

ДобавьАналогиСравни
Используемые препараты: ... скрыть
 
Препаратов не найдено
Лечат в 3422 клиниках 143 городов
X
X
Нужен: терапевт, 2 анализа, 5 услуг
Москва, ул. Часовая, д. 20 +7(495..показать+7(495) 104-88-01, +7(495) 925-02-02, +7(499) 151-43-34 от 7103₽
Краснодар, пгт Яблоновский, ул. Гагарина, д. 157/2 +7(861..показать+7(495) 104-88-01, +7(861) 257-15-00, +7(861) 290-47-07 от 8010₽
Екатеринбург, ул. Надеждинская, д. 9А +7(343..показать+7(495) 104-88-01, +7(343) 204-95-05, +7(343) 310-93-56, +7(343) 310-95-30 от 8239₽
Новосибирск, ул. Даргомыжского, д. 8Г +7(383..показать+7(495) 104-88-01, +7(383) 349-33-41 от 8270₽
Волгоград, ул. Автотранспортная, д. 75 +7(844..показать+7(495) 104-88-01, +7(844) 243-55-43, +7(844) 253-40-00 от 8385₽
Краснодар, ул. Василия Мачуги, д. 84 +7(861..показать+7(495) 104-88-01, +7(861) 257-15-00 от 8450₽
Екатеринбург, ул. Гражданская, д. 9 +7(343..показать+7(495) 104-88-01, +7(343) 204-95-05, +7(343) 358-34-16, +7(800) 234-34-34 от 8747₽
Москва, Иваньковское шоссе, д. 7 +7(495..показать+7(495) 104-88-01, +7(495) 490-03-78, +7(495) 490-01-46, +7(495) 490-04-90, +7(495) 490-04-37 от 8930₽
Москва, Б. Николопесковский пер., д. 4, стр. 1 +7(499..показать+7(495) 104-88-01, +7(499) 241-32-07 от 9300₽
Москва, Ермолаевский пер., д. 22/26 +7(495..показать+7(495) 104-88-01, +7(495) 650-02-20 от 9300₽
Ещё 3412 клиник
  1. МКБ-10 коды
  2. Описание
  3. Дополнительные факты
  4. Причины
  5. Клиническая картина
  6. Возможные осложнения
  7. Диагностика
  8. Дифференциальная диагностика
  9. Лечение
  10. Прогноз
  11. Профилактика
  12. Похожие заболевания
  13. Связанные стандарты мед. помощи
  14. Основные медицинские услуги
  15. Клиники для лечения

Другие названия и синонимы

Mucocele of the frontal sinus.
Мукоцеле лобной пазухи

МКБ-10 коды

Описание

 Мукоцеле (пиоцеле) лобной пазухи. Кистообразное расширение лобной пазухи, возникшее в результате ее растяжения скопившейся серозной жидкостью (мукоцеле) или гноем (пиоцеле). Мукоцеле лобной пазухи сопровождается постепенно усиливающимися болями в области лба, над глазницей и вокруг глаза; появлением выпячивания во внутреннем углу глаза; экзофтальмом и смещением глазного яблока книзу; нарушением остроты зрения и цветовосприятия; слезотечением и диплопией. В целях диагностики мукоцеле лобной пазухи применяют риноскопию, рентгенографию, УЗИ, КТ, МРТ и диафаноскопию, диагностическую пункцию и зондирование лобной пазухи. Все пациенты с мукоцеле лобной пазухи подлежат хирургическому лечению.
Мукоцеле лобной пазухи

Дополнительные факты

 Лобная пазуха располагается в медиальной части лобной кости позади надбровных дуг. Ее нижняя стенка одновременно является верхней стенкой глазницы, задняя стенка отделяет лобную пазуху от головного мозга. Правая и левая лобные пазухи расположены рядом и отделены друг от друга тонкой перегородкой. Посредством лобно-носового канала лобная пазуха соединена со средним носовым ходом полости носа. Внутри лобная пазуха выстлана слизистой оболочкой, клетки которой продуцируют специальную жидкость. Отток этой жидкости осуществляется через лобно-носовой канал. Нарушение оттока приводит к скоплению жидкости в полости пазухи и образованию мукоцеле лобной пазухи. При нагноении скопившегося секрета говорят о пиоцеле.
 Мукоцеле лобной пазухи чаще всего наблюдается в школьном возрасте. В связи с тем, что формирование лобных пазух начинается после рождения ребенка и заканчивается в возрасте 6-7 лет, у детей дошкольного возраста мукоцеле лобной пазухи не возникает. Медленный рост мукоцеле лобной пазухи приводит к тому, что первые клинические симптомы заболевания могут появляться спустя несколько лет от начала патологических изменений в лобной пазухе. В отоларингологии известен случай, когда мукоцеле лобной пазухи было диагностировано у взрослого пациента спустя 15 лет после спровоцировавшей его развитие травмы носа.

Причины

 Развитие мукоцеле лобной пазухи связано с полной обтурацией или частичным нарушением проходимости лобно-носового канала. Привести к появлению мукоцеле лобной пазухи могут искривления носовой перегородки, инородные тела носа, экзостозы и опухоли, травмы носа, в результате которых развивается периостит. Перекрывать лобно-носовой канал могут спайки и рубцы, образующиеся в вследствие синусита лобной пазухи.
 Инфицирование жидкости мукоцеле лобной пазухи с возникновением пиоцеле может произойти при распространении инфекции из полости носа, а также гематогенным или лимфогенным путем. При этом источником инфекции в первую очередь являются инфекционно-воспалительные заболевания носоглотки: ринит, гайморит, фарингит, ангина, хронический тонзиллит, ларингит.

Клиническая картина

 Мукоцеле лобной пазухи характеризуется длительным бессимптомным течением. До появления первых клинических признаков мукоцеле может существовать в течение 1-2 лет и дольше. Мукоцеле лобной пазухи начинает проявлять себя с постепенно усиливающейся головной боли в лобной области. Затем присоединяется боль над глазницей и вокруг глазного яблока, во внутреннем углу глаза появляется выпячивание округлой формы. Надавливание на это выпячивание обычно является безболезненным и приводит к возникновению характерного звука, напоминающего треск или хруст. Сильное надавливание может стать причиной образования свища, через который начинает выходить тягучая слизистая (при мукоцеле) или гнойная (при пиоцеле) жидкость.
 С течением времени при мукоцеле лобной пазухи происходит опускание нижней стенки лобной пазухи, в связи с чем отмечается смещение глазного яблока вниз и наружу. Зачастую возникает двоение в глазах (диплопия), нарушение восприятия цветов, снижение остроты зрения. При сдавлении слезовыводящих путей у пациентов с мукоцеле лобной пазухи наблюдается слезотечение.
 Ассоциированные симптомы: Боль в области лба. Головная боль. Двоение в глазах.

Возможные осложнения

 Возникающие при мукоцеле лобной пазухи осложнения связаны с нагноением ее содержимого и распространением гнойного процесса на соседние с пазухой анатомические образования. Наиболее часто прорыв гноя происходит через нижнюю стенку лобной пазухи. Занос гнойной инфекции в полость глазницы может привести к развитию панофтальмита, эндофтальмита и флегмоны глазницы. В редких случаях мукоцеле лобной пазухи наблюдается образование фистулы в задней стенке пазухи с возникновением менингита.

Диагностика

 Мукоцеле лобной пазухи диагностируется отоларингологом. При наличие осложнений со стороны глаза необходима консультация офтальмолога, при подозрении на менингит - невролога. Диагностика мукоцеле лобной пазухи основывается на жалобах пациента, его осмотре, риноскопии и исследовании околоносовых пазух. Риноскопия у пациентов с мукоцеле лобной пазухи может не выявлять никаких патологических изменений. Иногда в ходе риноскопии в области среднего носового хода визуализируется небольшое гладкое выпячивание.
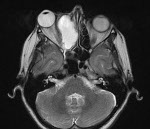
 Рентгенологическое исследование при мукоцеле лобной пазухи определяет увеличение размеров пазухи, растяжение ее дна, уменьшение прозрачности. Возможно выпячивание перегородки между лобными пазухами в здоровую сторону. Прерывистость контуров лобной пазухи может указывать на наличие фистулы. Более точным и информативным исследованием является КТ лобной пазухи. Может применяться УЗИ и МРТ околоносовых пазух. В некоторых случаях для определения воздушности лобной пазухи проводится диафаноскопию. При затруднениях в диагностике мукоцеле лобной пазухи показана диагностическая пункция. Для определения проходимости лобно-носового канала производят зондирование лобной пазухи зондом Лансберга.
 По показаниям проводят исследование органа зрения: проверку остроты зрения, цветовое тестирование, офтальмоскопию и биомикроскопию глаза.

Дифференциальная диагностика

 Дифференциальный диагноз мукоцеле лобной пазухи проводят с фронтитом, опухолью и дермоидной кистой.

Лечение

 Пиоцеле и мукоцеле лобной пазухи подлежат обязательному хирургическому лечению. Проводится радикальна операция с удалением нижней стенки лобной пазухи и расширением лобно-носового канала. Вскрытие лобной пазухи (фронтотомия) производится после разреза кожи по длине брови. Затем полость пазухи очищают от слизи и гноя, устанавливают дренаж. У взрослых и детей старшего возраста операция может проводиться под местной анестезией. Послеоперационное дренирование пазухи осуществляют длительно (в течение 2-3 недель) до формирования рубцов. Это необходимо для создания стойкого сообщения между лобной пазухой и полостью носа.
 Одновременно с хирургическим проводят медикаментозное лечение мукоцеле лобной пазухи. Пациенту назначают антибиотики, противовоспалительные и противоотечные средства.

Прогноз

 При своевременно проведенном хирургическом лечении мукоцеле лобной пазухи имеет благоприятный прогноз. Развитие осложнений ухудшает прогноз.

Профилактика

 Профилактика мукоцеле лобной пазухи состоит в эффективном лечении инфекционно-воспалительных заболеваний носоглотки, предупреждении травмирования носа и переохлаждений, коррекции носовой перегородки при ее искривлении, удалении опухолей и инородных тел носа.

Похожие заболевания

Связанные стандарты мед. помощи

42a96bb5c8a2acfb07fc866444b97bf1
Доступно только при использовании PRO аккаунта
Модератор контента: Васин А.С.


  1. Киберис НЕ является интернет-магазином и НЕ осуществляет закупку, хранение, продажу и доставку препаратов. Ресурс выступает лишь в роли посредника между вами и производителем препаратов или аптечными пунктами, которые и осуществляют поставку.
  2. На Киберис размещены описания препаратов, часть из которых предназначена только для врачей. Данная информация не может быть использована пациентами для принятия решения об использовании препаратов, их отмене или коррекции дозировок.
  3. Ничто в представленной информации не должно быть истолковано как призыв использовать данные препараты.
  4. К Киберис не могут быть обращены претензии по поводу любого ущерба или вреда, понесенного в результате использования размещенной на сайте информации.