Другие названия и синонимы
Bronchogenic cyst.
МКБ-10 коды
|
|
Описание
Бронхогенная киста. Порок развития мелких бронхов, представляющий собой тонкостенное полостное образование, заполненное слизистым секретом бронхиальных желез. Бронхогенная киста может быть бессимптомной или проявляться признаками компрессии трахеи, бронхов, пищевода (кашлем, одышкой, цианозом, болями в груди, дисфагией и тд ). В диагностическом отношении наиболее информативны полипозиционная рентгенография, линейная и компьютерная томография, бронхография, бронхоскопия, УЗИ средостения. Лечение бронхогенных кист оперативное - цистэктомия, сегментарная резекция легкого, лобэктомия.
Дополнительные факты
Бронхогенная киста - врожденное кистозное образование, имеющее генетическую связь с бронхиальным деревом и повторяющее его морфологическую структуру. Среди всех опухолей легких и средостения удельный вес бронхогенных кист составляет 2-13%. Статистически чаще они выявляются у мужчин молодого и среднего возраста, однако могут клинически обнаруживать себя даже у детей ( новорожденных) и подростков. В одних случаях бронхогенные кисты развиваются совершенно бессимптомно, в других - приобретают быстро прогрессирующее и осложненное течение, требующее экстренного хирургического реагирования. Потенциальный риск возникновения осложнений обусловливает необходимость ранней диагностики бронхогенных кист и их своевременного планового лечения.
Причины
Как и другие пороки развития легких, бронхогенная киста формируется в связи с нарушением эмбриогенеза. Считается, что в основе данной патологии лежит дефект разделения первичной кишки на пищеварительную и дыхательную трубки. Какие именно факторы способствуют возникновению данного нарушения доподлинно не известно. Клетки первичной кишки имплантационным путем могут попадать в зачатки любых органов, что обусловливает локализацию бронхогенных кист не только в области трахеи и бронхов, но и сердца, пищевода, поджелудочной железы, диафрагмы и тд.
В большинстве своем бронхогенные кисты имеют округлую или овоидную форму, однокамерную структуру; средний размер образований составляет 6-10 тд Стенка кисты тонкая (3-5 мм), ее внутренняя поверхность представлена мерцательным цилиндрическим эпителием бронхов (реже плоским или кубическим эпителием). Нередко стенка кисты полностью повторяет строение трахеальной или бронхиальной стенки и содержит рыхлую соединительную ткань, слизистые железы, гладкие мышцы, гиалиновый хрящ, сосуды, нервные волокна и жировую ткань. В неосложненных случаях бронхогенные кисты заполнены слизисто-желатинозной, прозрачной или слегка мутноватой жидкостью. При инфицировании содержимое кисты приобретает гнойный характер.
В большинстве своем бронхогенные кисты имеют округлую или овоидную форму, однокамерную структуру; средний размер образований составляет 6-10 тд Стенка кисты тонкая (3-5 мм), ее внутренняя поверхность представлена мерцательным цилиндрическим эпителием бронхов (реже плоским или кубическим эпителием). Нередко стенка кисты полностью повторяет строение трахеальной или бронхиальной стенки и содержит рыхлую соединительную ткань, слизистые железы, гладкие мышцы, гиалиновый хрящ, сосуды, нервные волокна и жировую ткань. В неосложненных случаях бронхогенные кисты заполнены слизисто-желатинозной, прозрачной или слегка мутноватой жидкостью. При инфицировании содержимое кисты приобретает гнойный характер.
Классификация
В пульмонологии бронхогенные кисты принято классифицировать в зависимости от размера, локализации, связи с трахеобронхиальным деревом и характера течения. Размеры кист варьируют от небольших (менее 5 см в диаметре) до гигантских (до 20 и более см), сдавливающих легочную паренхиму и вызывающих ателектаз доли или целого легкого.
В соответствии с местоположением бронхогенные кисты делятся на:
• трахеобронхиальные (паратрахеальные, бифуркационные и прикорневые).
• пищеводные (параэзофагеальные и интрамуральные).
• перикардиальные.
• внутрилегочные.
• отшнуровавшиеся бронхогенные кисты, имеющие нетипичную локализацию (околодиафрагмальную, внутриплевральную, парапанкреатическую и тд ).
Медиастинальные кисты чаще выявляются в задневерхнем и передневерхнем средостении, реже в других его отделах.
В зависимости от наличия сообщения с трахеей и бронхами выделяют закрытые (недренирующиеся) и открытые (дренирующиеся) бронхогенные кисты. Последние их них, кроме слизистого содержимого, также содержат воздух. Течение кист может быть гладким, неосложненным либо осложненным (компрессионным синдромом, инфицированием, прорывом в плевральную полость или бронх).
В соответствии с местоположением бронхогенные кисты делятся на:
• трахеобронхиальные (паратрахеальные, бифуркационные и прикорневые).
• пищеводные (параэзофагеальные и интрамуральные).
• перикардиальные.
• внутрилегочные.
• отшнуровавшиеся бронхогенные кисты, имеющие нетипичную локализацию (околодиафрагмальную, внутриплевральную, парапанкреатическую и тд ).
Медиастинальные кисты чаще выявляются в задневерхнем и передневерхнем средостении, реже в других его отделах.
В зависимости от наличия сообщения с трахеей и бронхами выделяют закрытые (недренирующиеся) и открытые (дренирующиеся) бронхогенные кисты. Последние их них, кроме слизистого содержимого, также содержат воздух. Течение кист может быть гладким, неосложненным либо осложненным (компрессионным синдромом, инфицированием, прорывом в плевральную полость или бронх).
Клиническая картина
Примерно в 30% случаев бронхогенные кисты бессимптомны и обнаруживаются при прохождении профилактической флюорографии. У остальных пациентов имеют место различные клинические проявления, обусловленные локализацией, размером кисты и наличием осложнений.
Так, закрытые трахеобронхиальные кисты могут вызывать сухой навязчивый кашель, а сообщающиеся с бронхом - кашель со слизистой мокротой. Наиболее яркую клиническую картину дают бронхогенные кисты, расположенные в области бифуркации трахеи. В этом случае, кроме явлений трахеобронхита, рано развиваются признаки сдавления трахеобронхиального дерева: инспираторная одышка, цианоз, боли в грудной клетке. Бронхогенные кисты пищеводной локализации при достижении определенных размеров вызывают дисфагию. Перикардиальные кисты нередко провоцируют стойкую синусовую тахикардию и экстрасистолию, изменения на ЭКГ в виде очаговой блокады ножек пучка Гиса.
При инфицировании кисты появляется высокая лихорадка, выраженные признаки гнойной интоксикации. При прорыве гнойного содержимого в бронхи возникает кашель с гнойной мокротой, возможно развитие аспирационной пневмонии, а у детей - угроза асфиксии.
Ассоциированные симптомы: Боль в грудной клетке. Кашель. Нехватка воздуха. Одышка. Слизисто-гнойная мокрота.
Так, закрытые трахеобронхиальные кисты могут вызывать сухой навязчивый кашель, а сообщающиеся с бронхом - кашель со слизистой мокротой. Наиболее яркую клиническую картину дают бронхогенные кисты, расположенные в области бифуркации трахеи. В этом случае, кроме явлений трахеобронхита, рано развиваются признаки сдавления трахеобронхиального дерева: инспираторная одышка, цианоз, боли в грудной клетке. Бронхогенные кисты пищеводной локализации при достижении определенных размеров вызывают дисфагию. Перикардиальные кисты нередко провоцируют стойкую синусовую тахикардию и экстрасистолию, изменения на ЭКГ в виде очаговой блокады ножек пучка Гиса.
При инфицировании кисты появляется высокая лихорадка, выраженные признаки гнойной интоксикации. При прорыве гнойного содержимого в бронхи возникает кашель с гнойной мокротой, возможно развитие аспирационной пневмонии, а у детей - угроза асфиксии.
Ассоциированные симптомы: Боль в грудной клетке. Кашель. Нехватка воздуха. Одышка. Слизисто-гнойная мокрота.
Диагностика
В связи с тем, что клиническая симптоматика может отсутствовать, а физикальные данные неспецифичны, решающее значение в диагностике бронхогенных кист принадлежит инструментальным исследованиям. С помощью УЗИ средостения выясняется локализация, форма, контуры, размеры, топографо-анатомические взаимоотношения объемного образования и предполагается его происхождение.
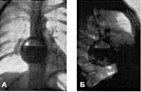
При полипозиционной рентгенографии грудной клетки в типичных случаях определяется шаровидная или овальная гомогенная тень средней интенсивности, с четкими контурами. При наложении тени средостения на тень кисты дополнительно требуется проведение пневмомедиастинографии или рентгенографии пищевода с бариевой взвесью. Установить анатомические взаимоотношения бронхогенной кисты с трахеобронхиальным деревом позволяет бронхоскопия и бронхография. При наличии признаков сдавления верхней полой вены или грудного лимфатического протока целесообразно выполнение флебографии и лимфографии.
Отличительным признаком тонкостенных бронхогенных кист служит изменение их конфигурации и положения при введении газа в средостение или плевральную полость (в отличие от дермоидных кист с толстой стенкой или плотных опухолей средостения). МСКТ грудной клетки в ряде случаев позволяет отказаться от проведения инвазивной диагностики бронхогенных кист и заранее спланировать объем вмешательства, поскольку дает исчерпывающую информацию о локализации и размерах образования.
Полный комплекс диагностических мероприятий обеспечивает точную дифференциальную диагностику еще на дооперационном этапе, позволяя отвергнуть терато-дермоидные образования, тимомы, невриномы, целомические кисты перикарда и тд опухоли средостения.
При полипозиционной рентгенографии грудной клетки в типичных случаях определяется шаровидная или овальная гомогенная тень средней интенсивности, с четкими контурами. При наложении тени средостения на тень кисты дополнительно требуется проведение пневмомедиастинографии или рентгенографии пищевода с бариевой взвесью. Установить анатомические взаимоотношения бронхогенной кисты с трахеобронхиальным деревом позволяет бронхоскопия и бронхография. При наличии признаков сдавления верхней полой вены или грудного лимфатического протока целесообразно выполнение флебографии и лимфографии.
Отличительным признаком тонкостенных бронхогенных кист служит изменение их конфигурации и положения при введении газа в средостение или плевральную полость (в отличие от дермоидных кист с толстой стенкой или плотных опухолей средостения). МСКТ грудной клетки в ряде случаев позволяет отказаться от проведения инвазивной диагностики бронхогенных кист и заранее спланировать объем вмешательства, поскольку дает исчерпывающую информацию о локализации и размерах образования.
Полный комплекс диагностических мероприятий обеспечивает точную дифференциальную диагностику еще на дооперационном этапе, позволяя отвергнуть терато-дермоидные образования, тимомы, невриномы, целомические кисты перикарда и тд опухоли средостения.
Лечение
Тактика наблюдения и консервативного лечения бронхогенных кист неэффективна и рискованна. Учитывая большую вероятность возникновения серьезных осложнений (перфорации, кровотечения, нагноения, сдавления органов средостения и тд ), оптимальным методом является плановое хирургическое вмешательство.
Условно консервативная тактика может применяться на этапе подготовки больных к хирургическому лечению. Она может включать в себя дезинтоксикационную и антибактериальную терапию, бронхоскопическую катетеризацию или чрескожную пункцию кисты с аспирацией гноя и санацией полости при нагноении, дренирование плевральной полости (при прорыве кисты).
Объем оперативного пособия варьируется от цистэктомии до сегментарной резекции легкого или лобэктомии. При дренирующейся бронхогенной кисте дефект в стенке бронха ушивается. Наиболее часто торакальными хирургами проводится торакотомия из переднебокового или бокового доступа. В последние годы все чаще удаление бронхогенных кист производится с помощью торакоскопической операции.
Условно консервативная тактика может применяться на этапе подготовки больных к хирургическому лечению. Она может включать в себя дезинтоксикационную и антибактериальную терапию, бронхоскопическую катетеризацию или чрескожную пункцию кисты с аспирацией гноя и санацией полости при нагноении, дренирование плевральной полости (при прорыве кисты).
Объем оперативного пособия варьируется от цистэктомии до сегментарной резекции легкого или лобэктомии. При дренирующейся бронхогенной кисте дефект в стенке бронха ушивается. Наиболее часто торакальными хирургами проводится торакотомия из переднебокового или бокового доступа. В последние годы все чаще удаление бронхогенных кист производится с помощью торакоскопической операции.
|
|
Прогноз
Исходы операций в большинстве случаев благоприятны. В числе послеоперационных осложнений встречаются бронхиальные свищи, внутриплевральные кровотечения, пневмония, эмпиема плевры. Как правило, они возникают у больных, оперированных по поводу нагноения бронхогенной кисты. Среди детей летальность составляет около 5 %.