Другие названия и синонимы
Cystic hypoplasia of the lungs, Врождённая кистозная мальформация легких, Кистозно-аденоматозный порок легких, Поликистоз легких.
МКБ-10 коды
|
|
Описание
Кистозная гипоплазия легких. Аномалия развития бронхопульмональной системы, характеризующаяся кистозным расширением бронхиальных ветвлений, неполноценностью паренхимы легких и сосудистой сети. Патология проявляется рецидивирующими воспалительными процессами, субфебрилитетом, недомоганием, влажным кашлем и явлениями легочно-сердечной недостаточности. Диагностика кистозной гипоплазии включает рентгенографию и КТ легких, бронхографию, бронхоскопию, ангиопульмонографию, ФВД, морфологическую верификацию. При выявлении порока необходимо оперативное удаление кистозно-измененной части легкого.
Дополнительные факты
Кистозная гипоплазия легких (поликистоз, кистозный фиброз, сотовое или ячеистое легкое, пузырчатая трансформация легкого и тд ) - частичное недоразвитие альвеолярной ткани, бронхов и сосудов с появлением многочисленных тонкостенных полостей в различных отделах респираторного тракта. Кистозная гипоплазия является широко распространенной аномалией развития легких, которая составляет более 50% всех пороков бронхопульмональной системы.
Кистозная гипоплазия легких чаще возникает у мальчиков, обычно проявляется в детском или юношеском возрасте, протекает в различных клинико-рентгенологических вариантах. Поражение легкого может быть одно- и двусторонним; носить неравномерный характер, при котором кистозно-измененные бронхи и респираторные отделы сочетаются с нормально развитыми; паренхима легких имеет разную степень дифференцировки. Полостные образования располагаются в различных отделах бронхиального дерева (чаще на сегментарном и субсегментарном уровне). Кистозная гипоплазия приводит к редукции объема легких, резкому нарушению очистительной функции бронхов, развитию хронического гнойного бронхита, пневмоторакса, легочного кровотечения.
Кистозная гипоплазия легких чаще возникает у мальчиков, обычно проявляется в детском или юношеском возрасте, протекает в различных клинико-рентгенологических вариантах. Поражение легкого может быть одно- и двусторонним; носить неравномерный характер, при котором кистозно-измененные бронхи и респираторные отделы сочетаются с нормально развитыми; паренхима легких имеет разную степень дифференцировки. Полостные образования располагаются в различных отделах бронхиального дерева (чаще на сегментарном и субсегментарном уровне). Кистозная гипоплазия приводит к редукции объема легких, резкому нарушению очистительной функции бронхов, развитию хронического гнойного бронхита, пневмоторакса, легочного кровотечения.
Причины
Кистозная гипоплазия легких возникает при нарушении внутриутробного формирования бронхо-альвеолярных структур и легочных сосудов (примерно на 2-3 мес. эмбрионального периода). Причиной кистозной гипоплазии легких может служить хромосомная аномалия, в частности, реципрокная транслокация 15/19, наследуемая по аутосомно-рецессивному типу.
Кистозные образования развиваются из утолщенных концов бронхопульмональных почек, которые постепенно растягиваются, трансформируясь в полости и вытесняя мезенхиму.
При прекращении дифференцировки и развития бронхолегочных структур на ранних стадиях эмбриогенеза поражаются крупные (долевые и сегментарные) ветви бронхов с появлением толстостенных кист (бронхомегалическая гипоплазия). При патологии ветвления субсегментарных и дистальных бронхов возникает множество тонкостенных кист, частично или полностью заполняющих неразвитую легочную ткань.
Для кистозно-трансформированных сегментов легких характерны мелкобугристая поверхность, уменьшение объема и уплотнение, отсутствие мелких (меж- и внутридольковых) делений бронхов и нормально сформированной альвеолярной ткани. Различают три морфологических варианта кистозной гипоплазии легких:
I тип. С солитарными или множественными кистами (d2 см) на фоне тканевых элементов, сходных с нормальными альвеолами.
II тип. Большое количество мелких (d.
III тип. Обширное некистозное поражение легких; определяются образования бронхиолоподобного характера и тканевые структуры, выстланные кубовидным эпителием, смещение средостения. Прогноз данного варианта неблагоприятный.
В стенках кистозных полостей представлены недифференцированные бронхиальные элементы, недоразвитые хрящевые пластинки. Вокруг пораженной ткани могут отмечаться слабо выраженное воспаление, небольшие ателектатические участки. Кистозная гипоплазия чаще поражает верхнюю долю правого легкого или все левое легкое целиком.
Кистозные образования развиваются из утолщенных концов бронхопульмональных почек, которые постепенно растягиваются, трансформируясь в полости и вытесняя мезенхиму.
При прекращении дифференцировки и развития бронхолегочных структур на ранних стадиях эмбриогенеза поражаются крупные (долевые и сегментарные) ветви бронхов с появлением толстостенных кист (бронхомегалическая гипоплазия). При патологии ветвления субсегментарных и дистальных бронхов возникает множество тонкостенных кист, частично или полностью заполняющих неразвитую легочную ткань.
Для кистозно-трансформированных сегментов легких характерны мелкобугристая поверхность, уменьшение объема и уплотнение, отсутствие мелких (меж- и внутридольковых) делений бронхов и нормально сформированной альвеолярной ткани. Различают три морфологических варианта кистозной гипоплазии легких:
I тип. С солитарными или множественными кистами (d2 см) на фоне тканевых элементов, сходных с нормальными альвеолами.
II тип. Большое количество мелких (d.
III тип. Обширное некистозное поражение легких; определяются образования бронхиолоподобного характера и тканевые структуры, выстланные кубовидным эпителием, смещение средостения. Прогноз данного варианта неблагоприятный.
В стенках кистозных полостей представлены недифференцированные бронхиальные элементы, недоразвитые хрящевые пластинки. Вокруг пораженной ткани могут отмечаться слабо выраженное воспаление, небольшие ателектатические участки. Кистозная гипоплазия чаще поражает верхнюю долю правого легкого или все левое легкое целиком.
Клиническая картина
Первые признаки кистозной гипоплазии легких могут обнаруживаться в раннем детстве, однако чаще это происходит в юношеском и даже зрелом возрасте. Аномалия может протекать в бессимптомной, легкой, среднетяжелой и тяжелой формах. Варианты бессимптомного течения (около 10%) отмечаются при небольшом объеме поражения и отсутствии вторичной патологии легких и бронхов. Для пациентов с кистозной гипоплазией легких типичны килевидные деформации грудной клетки, гипотрофия, физическое недоразвитие, снижение толерантности к нагрузкам.
Клиника манифестирует при инфицировании кист бронхов и активизации воспалительного процесса. Возникает влажный кашель с отделением слизисто-гнойной или гнойной мокроты, редко - кровохарканье, симптомы интоксикации и легочно-сердечной недостаточности. Течение кистозной гипоплазии легких сразу приобретает хронический характер с периодами рецидивов. У детей возможны повторяющиеся бронхиты и пневмонии. В периоды обострений объем мокроты увеличивается, имеет место умеренная боль в груди, недомогание и субфебрильная лихорадка. При кистозной гипоплазии легких может отмечаться носогубный цианоз, утолщение ногтевых фаланг пальцев, выбухание грудной клетки со здоровой стороны и западение в зоне поражения.
Для легкого течения свойственно позднее возникновение жалоб, редкие непродолжительные умеренные обострения с небольшим выделением мокроты, длительные бессимптомные ремиссии, стабильное состояние больных. В среднетяжелых случаях длительные периоды обострения повторяются 1-2 раза в год, сопровождаясь временной нетрудоспособностью. Суточный объем мокроты достигает 50-150 мл. Ремиссия имеет стертую картину неспецифического воспалительного процесса легких. Со временем заболевание неуклонно прогрессирует. Хроническое воспаление при кистозной гипоплазии легких провоцирует развитие деформирующего бронхита и вторичных бронхоэктазов в соседних здоровых (обычно, нижних и базальных) сегментах и даже в другом легком. Нередко развивается вторичный обструктивный бронхит; постепенно появляется и нарастает одышка.
При тяжелой форме кистозной гипоплазии легких имеет место непрерывно рецидивирующее течение с кратковременными или отсутствующими ремиссиями. Одышка выражена постоянно, за сутки выделяется до 200 и более мл мокроты гнойного, иногда гнилостного характера. В период новорожденности возможно развитие респираторного дистресс-синдрома. При присоединении вторичной легочной гипертензии и легочного сердца явления дыхательной недостаточности становятся ярко выраженными.
Ассоциированные симптомы: Кашель. Кровохарканье. Одышка.
Клиника манифестирует при инфицировании кист бронхов и активизации воспалительного процесса. Возникает влажный кашель с отделением слизисто-гнойной или гнойной мокроты, редко - кровохарканье, симптомы интоксикации и легочно-сердечной недостаточности. Течение кистозной гипоплазии легких сразу приобретает хронический характер с периодами рецидивов. У детей возможны повторяющиеся бронхиты и пневмонии. В периоды обострений объем мокроты увеличивается, имеет место умеренная боль в груди, недомогание и субфебрильная лихорадка. При кистозной гипоплазии легких может отмечаться носогубный цианоз, утолщение ногтевых фаланг пальцев, выбухание грудной клетки со здоровой стороны и западение в зоне поражения.
Для легкого течения свойственно позднее возникновение жалоб, редкие непродолжительные умеренные обострения с небольшим выделением мокроты, длительные бессимптомные ремиссии, стабильное состояние больных. В среднетяжелых случаях длительные периоды обострения повторяются 1-2 раза в год, сопровождаясь временной нетрудоспособностью. Суточный объем мокроты достигает 50-150 мл. Ремиссия имеет стертую картину неспецифического воспалительного процесса легких. Со временем заболевание неуклонно прогрессирует. Хроническое воспаление при кистозной гипоплазии легких провоцирует развитие деформирующего бронхита и вторичных бронхоэктазов в соседних здоровых (обычно, нижних и базальных) сегментах и даже в другом легком. Нередко развивается вторичный обструктивный бронхит; постепенно появляется и нарастает одышка.
При тяжелой форме кистозной гипоплазии легких имеет место непрерывно рецидивирующее течение с кратковременными или отсутствующими ремиссиями. Одышка выражена постоянно, за сутки выделяется до 200 и более мл мокроты гнойного, иногда гнилостного характера. В период новорожденности возможно развитие респираторного дистресс-синдрома. При присоединении вторичной легочной гипертензии и легочного сердца явления дыхательной недостаточности становятся ярко выраженными.
Ассоциированные симптомы: Кашель. Кровохарканье. Одышка.
Диагностика
Диагноз кистозной гипоплазии легких ставится по данным осмотра и анамнеза, рентгенографии (в двух проекциях) и КТ легких, бронхологического обследования, АПГ, спирометрии, патоморфологического исследования. В пользу кистозной гипоплазии легких могут говорить отставание в физическом развитии, умеренный сколиоз, уменьшение, западение и недостаточность дыхательных движений грудной клетки на стороне патологии, респираторные нарушения, сочетание с другими внутриутробными пороками, относительная доброкачественность течения. Аускультативно определяется ослабление дыхательных шумов на стороне недоразвития, при наличии крупных кист - амфорический оттенок дыхания, в период обострения - многочисленные звучные влажные хрипы (типа «барабанной дроби).
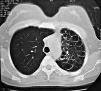
Рентгенограммы выявляют деформацию или усиление рисунка кистозной доли или сегмента, имеющих характерную ячеистую структуру за счет многочисленных тонкостенных, различных по диаметру бронхиальных расширений, чередующихся с участками паренхимы или почти целиком заполняющие объем недоразвитой ткани. Крупные бронхи обычно не изменены. Объем гипоплазированной доли легкого снижен, граница средостения подтянута в ее сторону. КТ легких дает более четкое представление об объеме и распространенности кистозных деформаций и воспалительных изменений.
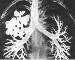
При бронхографии обнаруживаются многочисленные четкообразные и веретеновидные расширения сегментарных и более мелких бронхов в верхних отделах легких и шарообразные - в нижних отделах. На диагностической бронхоскопии определяются признаки катарального или гнойного эндобронхита, деформация устьев долевых и сегментарных бронхов, уменьшение дыхательной подвижности.
С помощью ангиопульмонографии в зонах кистозной гипоплазии легких визуализируются равномерно истонченные неразвитые сосуды малого круга кровообращения, увеличение углов их ветвления, выявляется задержка капиллярной и венозной фаз контрастирования. Данные перфузионной сцинтиграфии показывают резкое снижение/отсутствие кровотока в артериоло-капиллярных структурах в области поражения и его перераспределение на второе легкое. Показатели ФВД говорят о значительном нарушении вентиляции по обструктивному или смешанному типу.
Окончательно верифицировать кистозную гипоплазию возможно только при тщательном патоморфологическом исследовании оперативно удаленной ткани легких. Проведение дифференциальной диагностики требуется с сотовым легким, буллезной эмфиземой, туберкулезом, затяжной пневмонией, хроническим абсцессом легкого, БЭБ.
Рентгенограммы выявляют деформацию или усиление рисунка кистозной доли или сегмента, имеющих характерную ячеистую структуру за счет многочисленных тонкостенных, различных по диаметру бронхиальных расширений, чередующихся с участками паренхимы или почти целиком заполняющие объем недоразвитой ткани. Крупные бронхи обычно не изменены. Объем гипоплазированной доли легкого снижен, граница средостения подтянута в ее сторону. КТ легких дает более четкое представление об объеме и распространенности кистозных деформаций и воспалительных изменений.
При бронхографии обнаруживаются многочисленные четкообразные и веретеновидные расширения сегментарных и более мелких бронхов в верхних отделах легких и шарообразные - в нижних отделах. На диагностической бронхоскопии определяются признаки катарального или гнойного эндобронхита, деформация устьев долевых и сегментарных бронхов, уменьшение дыхательной подвижности.
С помощью ангиопульмонографии в зонах кистозной гипоплазии легких визуализируются равномерно истонченные неразвитые сосуды малого круга кровообращения, увеличение углов их ветвления, выявляется задержка капиллярной и венозной фаз контрастирования. Данные перфузионной сцинтиграфии показывают резкое снижение/отсутствие кровотока в артериоло-капиллярных структурах в области поражения и его перераспределение на второе легкое. Показатели ФВД говорят о значительном нарушении вентиляции по обструктивному или смешанному типу.
Окончательно верифицировать кистозную гипоплазию возможно только при тщательном патоморфологическом исследовании оперативно удаленной ткани легких. Проведение дифференциальной диагностики требуется с сотовым легким, буллезной эмфиземой, туберкулезом, затяжной пневмонией, хроническим абсцессом легкого, БЭБ.
|
|
Лечение
Консервативные методы лечения (бронхоальвеолярный лаваж, ингаляции, постуральный дренаж) позволяют лишь временно облегчить состояние больного кистозной гипоплазией легких. Для купирования инфекционного воспаления назначается антибиотикотерапия. В большинстве случаев предлагается оперативное лечение, проводимое обычно в период ремиссии. Хирургическое вмешательство не выполняется при отсутствии вторичных воспалительных процессов в легких, у пожилых пациентов при скудных проявлениях, при обширном двустороннем поражении; сочетании гипоплазии с диффузным хроническим бронхитом и стойкой сердечно-легочной недостаточностью.
Оперативными методами лечения кистозной гипоплазии служат сегментарная резекция легкого, лобэктомия, комбинированные резекции. При наличии тотальных или мозаичных изменений всего легкого производят пневмонэктомию. Результаты хирургического лечения большинства случаев кистозной гипоплазии легких хорошие, послеоперационные функциональные нарушения выражены слабее, чем при другой легочной патологии, летальность составляет около 1-4 %.
Оперативными методами лечения кистозной гипоплазии служат сегментарная резекция легкого, лобэктомия, комбинированные резекции. При наличии тотальных или мозаичных изменений всего легкого производят пневмонэктомию. Результаты хирургического лечения большинства случаев кистозной гипоплазии легких хорошие, послеоперационные функциональные нарушения выражены слабее, чем при другой легочной патологии, летальность составляет около 1-4 %.