Другие названия и синонимы
Diastema.
МКБ-10 коды
|
|
Описание
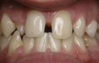
Диастема. Видимый межзубный промежуток, разделяющий центральные резцы верхнего (реже - нижнего) зубного ряда. Диастема не только представляет собой эстетический недостаток, но также способствует нарушению речи, возникновению коммуникативных и психологических трудностей. Уточнение причин и сопутствующих диастеме аномалий проводится с помощью стоматологического осмотра, внутриротовой рентгенографии, ортопантомографии, изучения диагностических моделей челюстей. Лечение диастемы может осуществляться терапевтическими (эстетическая реставрация), ортопедическими (коронки, виниры), хирургическими (пластика уздечки верхней губы или языка), ортодонтическими (вестибулярные пластинки, брекеты) методами.
Дополнительные факты
Диастема - аномальное положение центральных резцов, характеризующееся наличием между ними свободного промежутка. Межзубная щель при диастеме может достигать величины от 1 до 10 мм (в среднем 2-6 мм). Диастема относится к числу наиболее частых зубочелюстных деформаций, которая встречается примерно у 8-20% населения. В большинстве случаев межзубная щель располагается между верхними резцами, однако может встречаться и в нижнем зубном ряду. Диастема часто сочетается с другими аномалиями положения, размеров и формы зубов и поэтому требует комплексного подхода к решению проблемы со стороны терапевтической и хирургической стоматологии, ортодонтии и ортопедии.
Клиническая картина
Ассоциированные симптомы: Искажение звуков.
Причины
Анализ клинических наблюдений показывает, что наиболее частой причиной формирования диастемы выступает наследственность: в семьях с генетической предрасположенностью около 50% родственников имею данный дефект зубных рядов.
Существенная роль в появлении диастемы отводится аномалиям уздечки, таким, как короткая уздечка языка, низкое прикрепление уздечки верхней губы, массивная уздечка верхней губы и тд Кроме этого, диастема может возникать при наличии сверхкомплектных ретинированных зубов, микродентии, частичной или множественной адентии, позднем прорезывании постоянных зубов, опухолях челюстей (одонтоме), расщелине альвеолярного отростка.
Различные вредные привычки (длительное сосание соски, прикусывание ручек, карандашей и других предметов, онихофагия, привычка грызть семечки пр. ) могут стать причиной не только диастемы, но и поворота центральных резцов по вертикальной оси.
Существенная роль в появлении диастемы отводится аномалиям уздечки, таким, как короткая уздечка языка, низкое прикрепление уздечки верхней губы, массивная уздечка верхней губы и тд Кроме этого, диастема может возникать при наличии сверхкомплектных ретинированных зубов, микродентии, частичной или множественной адентии, позднем прорезывании постоянных зубов, опухолях челюстей (одонтоме), расщелине альвеолярного отростка.
Различные вредные привычки (длительное сосание соски, прикусывание ручек, карандашей и других предметов, онихофагия, привычка грызть семечки пр. ) могут стать причиной не только диастемы, но и поворота центральных резцов по вертикальной оси.
Классификация
В первую очередь, различают ложную и истинную диастему. Ложная диастема характерна для периода смены временного прикуса на постоянный. Это нормальное, естественное для детского возраста состояние. Обычно к моменту окончания смены зубов диастема закрывается самостоятельно. Истинная диастема наблюдается в постоянном прикусе и не исчезает без специальной стоматологической помощи.
С учетом расположения межзубного промежутка относительно срединно-сагитальной плоскости диастема может быть симметричной и асимметричной. При симметричном типе диастемы оба центральных резца смещаются латерально на одинаковое расстояние; при асимметричном - один резец расположен нормально, а другой - значительно смещен в латеральной позиции.
Согласно другой классификации, выделяют диастему трех видов:
• с латеральным наклоном коронок центральных резцов; при этом корни зубов расположены правильно;
• с латеральным корпусным смещением центральных резцов;
• с медиальным отклонением коронок и латеральным отклонением корней центральных резцов.
При всех разновидностях диастемы может иметь место нормальное положение коронок резцов (без поворота по оси), поворот коронок резцов по оси в вестибулярном либо оральном направлении.
С учетом расположения межзубного промежутка относительно срединно-сагитальной плоскости диастема может быть симметричной и асимметричной. При симметричном типе диастемы оба центральных резца смещаются латерально на одинаковое расстояние; при асимметричном - один резец расположен нормально, а другой - значительно смещен в латеральной позиции.
Согласно другой классификации, выделяют диастему трех видов:
• с латеральным наклоном коронок центральных резцов; при этом корни зубов расположены правильно;
• с латеральным корпусным смещением центральных резцов;
• с медиальным отклонением коронок и латеральным отклонением корней центральных резцов.
При всех разновидностях диастемы может иметь место нормальное положение коронок резцов (без поворота по оси), поворот коронок резцов по оси в вестибулярном либо оральном направлении.
Диагностика
Наличие у пациента диастемы выявляется в ходе визуального осмотра полости рта. Тем не менее, для уточнения причин и вида диастемы требуется проведение ряда дополнительных диагностических процедур: определения прикуса, прицельной рентгенографии, ортопантомографии, снятия слепков, изготовления и изучения диагностических моделей челюстей. При анализе данных учитывается положение, форма, наклон резцов и корней; состояние уздечек; величина межзубного промежутка и симметричность диастемы; характер прикуса, наличие ретинированных зубов.
Проблема выбора оптимального метода устранения диастемы должна решаться коллегиально, с привлечением различных специалистов: стоматологов-терапевтов, хирургов, ортодонтов, ортопедов.
Проблема выбора оптимального метода устранения диастемы должна решаться коллегиально, с привлечением различных специалистов: стоматологов-терапевтов, хирургов, ортодонтов, ортопедов.
Лечение
В зависимости от этиологии и разновидности диастемы лечение может осуществляться с помощью терапевтических, ортопедических, ортодонтических, хирургических методов, а также их комбинации. Ликвидация диастемы методом косметической реставрации предполагает закрытие межзубного промежутка с помощью композитных (прямых) виниров, изготавливаемых из светоотверждаемого композита непосредственно в кабинете стоматолога за один визит.
Ортопедический метод устранения диастемы основан на использовании для закрытия межзубного промежутка керамических виниров или несъемных протезов (искусственных металлоакриловых, металлокерамических, цельнокерамических коронок).
Если причинообусловливающими факторами диастемы выступают аномалии формы и прикрепления уздечек, проводится хирургическое лечение - пластика уздечки губ или языка. В ряде случаев требуется удаление ретинированных и дистопированных зубов, проведение межкорневой компактостеотомии с последующей ортодонтической коррекцией. Ортодонтический метод ликвидации диастемы состоит в передвижении положения резцов с помощью съемных аппаратов (вестибулярных пластинок) или несъемной техники (брекет-систем).
Ортопедический метод устранения диастемы основан на использовании для закрытия межзубного промежутка керамических виниров или несъемных протезов (искусственных металлоакриловых, металлокерамических, цельнокерамических коронок).
Если причинообусловливающими факторами диастемы выступают аномалии формы и прикрепления уздечек, проводится хирургическое лечение - пластика уздечки губ или языка. В ряде случаев требуется удаление ретинированных и дистопированных зубов, проведение межкорневой компактостеотомии с последующей ортодонтической коррекцией. Ортодонтический метод ликвидации диастемы состоит в передвижении положения резцов с помощью съемных аппаратов (вестибулярных пластинок) или несъемной техники (брекет-систем).
Прогноз
Многообразие клинических форм диастемы диктует необходимость составления индивидуального плана лечения в каждом конкретном случае, четкого обоснования критериев выбора оптимальных методов и последовательности этапов лечения. Такой подход позволяет достичь оптимальных эстетических результатов лечения диастемы, устранения недостатков звукопроизношения и психологических комплексов.
Профилактика
Основные правила профилактики диастемы сводятся к исключению вредных оральных привычек, устранению сопутствующих челюстно-лицевых аномалий, регулярному наблюдению у стоматолога.