Другие названия и синонимы
Crowding of teeth.
МКБ-10 коды
|
|
Описание
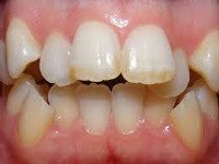
Скученность зубов. Патология зубных рядов, характеризующаяся тесным расположением зубов в результате имеющегося дефицита места. Вследствие сужения дуг зубы могут смещаться вестибулярно или орально, наклоняться, разворачиваться вокруг своей оси, налегать на коронки соседних зубов. Диагностика скученности зубов включает клинический осмотр, рентгенографию, биометрические измерения. Для устранения скученности зубов используют трейнеры, пластиночные механически действующие аппараты, биоблоки, брекет-системы. При чрезмерном дефиците места, а также в случае макродентии показано лечение с удалением отдельных зубов.
Дополнительные факты
Скученность зубов - патология, при которой зубы могут прорезаться за пределами зубной дуги, разворачиваться, смещаться, налегать друг на друга. Скученность зубов встречается довольно часто. В сменном прикусе распространенность патологии составляет 34%, в постоянном прикусе - 68%. Существует прямая корреляционная связь между риском развития скученности зубов и наличием у пациента глубокого прикуса, неправильно прикрепляющейся уздечки языка, превалирования вертикальных размеров лица над горизонтальными. Доказано, что скученность зубов на нижней челюсти в период активного роста может самоустраниться без использования методов ортодонтической коррекции. Средняя степень саморегуляции скученности зубов в сменном прикусе составляет 3,96%.
Клиническая картина
Зубная боль.
Причины
Основными причинами скученности зубов являются сужение зубных рядов, дефицит апикального базиса челюстей, увеличение размеров коронок зубов, наличие зачатков сверхкомплектных зубов. Одним из весомых предрасполагающих факторов, способствующих возникновению дефицита места в зубном ряду, стоматологи считают нарушение носового дыхания. Болезни ЛОР-органов приводят к искривлению зубных дуг, становятся причиной тесного расположения зубов, аномалий окклюзии. Также немаловажное значение в патогенезе скученности зубов отводится инфантильному типу глотания, наличию вредных привычек у ребенка.
Дефицит апикального базиса может возникнуть вследствие ранней потери временных зубов, при нарушении сроков прорезывания. У детей недостаток базиса челюсти наблюдается и при отсутствии должной жевательной нагрузки. Прорезывание зуба мудрости при суженных зубных рядах вызывает скученность зубов во фронтальном отделе. Наличие зачатков сверхкомплектных зубов становится причиной смещения комплектных, вследствие чего изменяется наклон последних относительно их продольной оси. Реже причиной скученности зубов является макродентия - увеличение мезиодистальных размеров коронок.
• Легкая степень. Характеризуется равномерно тесным расположением зубов. Форма зубных дуг при легкой скученности зубов не нарушена. Дефицит места составляет меньше 3.
• Средняя степень. Клинически скученность зубов проявляется в изменении положения одного зуба (чаще резца). При этом может наблюдаться его щечное или оральное смещение, наклон, поворот вокруг своей оси. Расположение остальных зубов не нарушено. Дефицит места 3.
• Тяжелая степень. Характеризуется сочетанными изменениями формы зубной дуги, альвеолярного отростка. Фронтальный отдел при 3 степени скученности зубов уплощается. С зубного ряда выталкиваются 2 зуба. Дефицит места до 5.
• Очень тяжелая степень. Сужение зубных рядов сопряжено с недостатком апикального базиса. Формы зубных дуг уплощенные. С зубного ряда вытесняются 2 зуба, при этом все остальные зубы имеют неправильное положение. Дефицит места превышает 5.
Чаще скученность зубов выявляют во фронтальном отделе. При этом некоторые зубы (в большинстве случаев резцы) выталкиваются из зубного ряда, занимая щечное или оральное положение. Другие зубы наклоняются, разворачиваются вокруг своей оси, налегают на коронки соседних зубов. Форма зубной дуги в переднем отделе уплощается. Также у пациентов со скученностью зубов часто диагностируют воспалительные заболевания маргинальной десны и пародонта. Сужение зубных рядов становится причиной появления множественных кариозных дефектов, так как неправильно расположенные зубы особенно уязвимы к кариозному процессу из-за постоянного скопления налета в интерпроксимальных промежутках.
Дефицит апикального базиса может возникнуть вследствие ранней потери временных зубов, при нарушении сроков прорезывания. У детей недостаток базиса челюсти наблюдается и при отсутствии должной жевательной нагрузки. Прорезывание зуба мудрости при суженных зубных рядах вызывает скученность зубов во фронтальном отделе. Наличие зачатков сверхкомплектных зубов становится причиной смещения комплектных, вследствие чего изменяется наклон последних относительно их продольной оси. Реже причиной скученности зубов является макродентия - увеличение мезиодистальных размеров коронок.
• Легкая степень. Характеризуется равномерно тесным расположением зубов. Форма зубных дуг при легкой скученности зубов не нарушена. Дефицит места составляет меньше 3.
• Средняя степень. Клинически скученность зубов проявляется в изменении положения одного зуба (чаще резца). При этом может наблюдаться его щечное или оральное смещение, наклон, поворот вокруг своей оси. Расположение остальных зубов не нарушено. Дефицит места 3.
• Тяжелая степень. Характеризуется сочетанными изменениями формы зубной дуги, альвеолярного отростка. Фронтальный отдел при 3 степени скученности зубов уплощается. С зубного ряда выталкиваются 2 зуба. Дефицит места до 5.
• Очень тяжелая степень. Сужение зубных рядов сопряжено с недостатком апикального базиса. Формы зубных дуг уплощенные. С зубного ряда вытесняются 2 зуба, при этом все остальные зубы имеют неправильное положение. Дефицит места превышает 5.
Чаще скученность зубов выявляют во фронтальном отделе. При этом некоторые зубы (в большинстве случаев резцы) выталкиваются из зубного ряда, занимая щечное или оральное положение. Другие зубы наклоняются, разворачиваются вокруг своей оси, налегают на коронки соседних зубов. Форма зубной дуги в переднем отделе уплощается. Также у пациентов со скученностью зубов часто диагностируют воспалительные заболевания маргинальной десны и пародонта. Сужение зубных рядов становится причиной появления множественных кариозных дефектов, так как неправильно расположенные зубы особенно уязвимы к кариозному процессу из-за постоянного скопления налета в интерпроксимальных промежутках.
Диагностика
Диагностика скученности зубов включает клинический осмотр и дополнительные методы исследования. В ходе физикального обследования врач-стоматолог выявляет тесное расположение зубов, их наклон, смещение, разворот вокруг своей оси. Промежутки между зубами отсутствуют. Рентгенографию проводят для установления причины скученности, а именно с целью выявления возможных зачатков сверхкомплектных зубов, а также для определения уровня залегания и положения зачатков зубов мудрости. При скученности зубов измеряют кривую Шпее. У пациентов с дефицитом места в зубном ряду ее выраженность увеличивается и превышает 2 С целью дополнительной диагностики скученности зубов используют биометрические способы оценки сужения зубных рядов. С помощью метода Пона определяют степень сужения на уровне премоляров и моляров. Этот метод помогает не только оценить, что послужило причиной скученности зубов - макродентия или уменьшение ширины зубного ряда, но и выбрать оптимальный план лечения. По методу Коркхауза устанавливают соотношение между шириной резцов и длиной переднего отдела. Зачастую скученность зубов сочетается с укорочением отрезка, проходящего от срединной точки резцов до линии премоляров.
По методу Снагиной для изучения причин скученности зубов и выбора рационального плана лечения измеряют ширину коронок зубов, ширину зубной дуги по линии премоляров, а также основные характеристики апикального базиса. Если дефицит места возник в результате недоразвития челюсти, наблюдается несоответствие между мезиодистальными размерами зубов и шириной апикального базиса. При скученности зубов также присутствуют отрицательный баланс места, дефицит опорных зон. Скученность зубов дифференцируют с другими аномалиями зубных рядов. Пациента обследует стоматолог-ортодонт.
По методу Снагиной для изучения причин скученности зубов и выбора рационального плана лечения измеряют ширину коронок зубов, ширину зубной дуги по линии премоляров, а также основные характеристики апикального базиса. Если дефицит места возник в результате недоразвития челюсти, наблюдается несоответствие между мезиодистальными размерами зубов и шириной апикального базиса. При скученности зубов также присутствуют отрицательный баланс места, дефицит опорных зон. Скученность зубов дифференцируют с другими аномалиями зубных рядов. Пациента обследует стоматолог-ортодонт.
Лечение
Для устранения скученности зубов применяют трейнеры, пластиночные ортодонтические аппараты с винтом. При равномерном сужении винт устанавливают на уровне премоляров, при выраженной скученности фронтальных зубов - фиксируют на линии клыков. При одностороннем сужении производят секторальный распил и винт устанавливают асимметрично. При выявлении скученности зубов в сочетании с протрузией резцов в пластиночный аппарат наряду с винтом вводят еще один активный механически действующий элемент - вестибулярную дугу. Так как при использовании съемной расширяющей пластинки с винтом отсутствуют механизмы коррекции кривой Шпее, длины зубного ряда и его формы в переднем участке, для исправления скученности зубов в сменном прикусе все чаще применяют аппараты вiobloc. За счет наличия в их составе винта и протрагирующих дуг удается одновременно изменить ширину и длину челюстей, а также выровнять окклюзионную плоскость, устранив скученность зубов во фронтальном участке.
Если причиной скученности зубов послужило укорочение бокового отрезка зубного ряда, что нередко наблюдается при раннем удалении временных моляров и медиальном смещении первого постоянного моляра, с целью устранения патологии используют аппараты для дистализации зубов. В случае макродентии консервативный метод лечения скученности зубов неэффективен. В раннем сменном прикусе используют метод последовательного удаления зубов по Хотцу, при котором сначала удаляют временные клыки, далее постоянные премоляры. В случае позднего сменного и постоянного прикуса лечение скученности зубов с удалением показано при сужении в участке премоляров больше 6 а также в случае макродентии (коронки центральных резцов превышают 10 а ширина боковых резцов больше 7,5 мм).
При выборе рационального плана лечения скученности зубов учитывают и параметры апикального базиса. При 1 степени дефицита ширины апикального базиса прогноз благоприятный, в ходе ортодонтического лечения скученность зубов удается устранить. При 2 степени сужения базиса челюстей от расширения зубных рядов необходимо отказаться, так как ортодонтическое лечение может усугубить несоответствие между размерами зубного ряда и параметрами базиса.
Если причиной скученности зубов послужило укорочение бокового отрезка зубного ряда, что нередко наблюдается при раннем удалении временных моляров и медиальном смещении первого постоянного моляра, с целью устранения патологии используют аппараты для дистализации зубов. В случае макродентии консервативный метод лечения скученности зубов неэффективен. В раннем сменном прикусе используют метод последовательного удаления зубов по Хотцу, при котором сначала удаляют временные клыки, далее постоянные премоляры. В случае позднего сменного и постоянного прикуса лечение скученности зубов с удалением показано при сужении в участке премоляров больше 6 а также в случае макродентии (коронки центральных резцов превышают 10 а ширина боковых резцов больше 7,5 мм).
При выборе рационального плана лечения скученности зубов учитывают и параметры апикального базиса. При 1 степени дефицита ширины апикального базиса прогноз благоприятный, в ходе ортодонтического лечения скученность зубов удается устранить. При 2 степени сужения базиса челюстей от расширения зубных рядов необходимо отказаться, так как ортодонтическое лечение может усугубить несоответствие между размерами зубного ряда и параметрами базиса.
|
|