Другие названия и синонимы
Anomalies of the dentition.
МКБ-10 коды
|
|
Описание
Аномалии зубных рядов. Врожденные или приобретенные нарушения формы и длины нижней и верхней зубных дуг, характеризующиеся неправильным расположением (скученностью, асимметрией, транспозицией, изменением количества и пр. ) зубов. Сопровождаются неправильным прикусом, нарушениями смыкания зубов, неудовлетворительной эстетикой улыбки. Диагностируются аномалии зубных рядов на основании признаков, выявленных во время стоматологического осмотра, изучения диагностических моделей и рентгенологических данных. Лечение аномалий зубных рядов состоит в восстановлении их нормальной формы и длины при помощи ортодонтической терапии, методов хирургической и ортопедической стоматологии.
Дополнительные факты
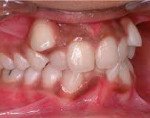
Аномалии зубных рядов - обобщенное название ряда патологий формы и длины зубных дуг, оказывающих влияние на эстетику улыбки человека и функциональность зубочелюстной системы. Нормальная анатомическая форма зубного ряда верхней челюсти напоминает полуэллипс, а нижней - параболу. Аномалии зубных рядов могут характеризоваться удлинением либо укорочением, сужением или расширением зубных дуг на определенных участках челюсти. Аномалии зубных рядов проявляют себя скученным или неправильным расположением зубов (оральным или вестибулярным наклоном, поворотом по оси ), неполной адентией, тремами, диастемами, гиперодонтией Нарушения формы и длины зубных рядов могут развиваться независимо друг от друга. В таких случаях часто наблюдается неправильная окклюзия пар зубов-антагонистов.
Причины
Основополагающими факторами, лежащими в основе формирования аномалий зубных рядов, считают недоразвитость и деформацию челюстей, обусловленные генетическими отклонениями, различными заболеваниями, перенесенными в детстве, а также вредные оральные привычки (сосание пустышек, пальцев и пр. Аномалии зубных рядов различаются по отношению к трансверзальной (горизонтальной), сагиттальной (передне-задней) и вертикальной плоскости.
Трансверзальными аномалиями называют сужение или расширение зубных дуг, характеризующееся уменьшенным или увеличенным расстоянием между медиальной плоскостью и латерально стоящими от нее зубами. Среди нарушений, относящихся к данному виду, встречаются следующие формы:
• V. Образная (сужение в боковых сегментах, разворот центральных и боковых резцов вокруг своей оси, выдающийся вперед фронтальный участок);
• остроугольная (сужение в области клыков);
• общесуженная (все зубы располагаются очень тесно, ближе к медиальной плоскости);
• седловидная (сужение в области премоляров и первых моляров);
• трапециевидная (уплощение фронтального участка челюсти, сужение боковых отделов);
• асимметричная (различное расположение боковых зубов по отношению к медиальной плоскости с разных сторон челюсти);
• аномалии, характеризующиеся гиперодонтией.
Трансверзальные аномалии зубных рядов бывают обусловлены недоразвитостью и деформациями челюстей, развившимися на фоне различных болезней (например, рахита), парафункции мимической и жевательной мускулатуры, мышц языка, затрудненности носового дыхания.
Сагиттальные аномалии зубных рядов (удлинение или укорочение) возникают из-за вестибулярного или орального наклона зубов во фронтальной области, макродентии или микродентии, нарушений глотания (дисфагии), гиперодонтии или частичной адентии, короткой уздечки языка Вертикальными аномалиями называются зубоальвеолярные укорочения и удлинения отдельных сегментов зубных рядов. Основными причинами возникновения вертикальных аномалий зубных рядов становятся неравномерное развитие различных участков челюстей, ранняя утрата зубов, вредные привычки.
Трансверзальными аномалиями называют сужение или расширение зубных дуг, характеризующееся уменьшенным или увеличенным расстоянием между медиальной плоскостью и латерально стоящими от нее зубами. Среди нарушений, относящихся к данному виду, встречаются следующие формы:
• V. Образная (сужение в боковых сегментах, разворот центральных и боковых резцов вокруг своей оси, выдающийся вперед фронтальный участок);
• остроугольная (сужение в области клыков);
• общесуженная (все зубы располагаются очень тесно, ближе к медиальной плоскости);
• седловидная (сужение в области премоляров и первых моляров);
• трапециевидная (уплощение фронтального участка челюсти, сужение боковых отделов);
• асимметричная (различное расположение боковых зубов по отношению к медиальной плоскости с разных сторон челюсти);
• аномалии, характеризующиеся гиперодонтией.
Трансверзальные аномалии зубных рядов бывают обусловлены недоразвитостью и деформациями челюстей, развившимися на фоне различных болезней (например, рахита), парафункции мимической и жевательной мускулатуры, мышц языка, затрудненности носового дыхания.
Сагиттальные аномалии зубных рядов (удлинение или укорочение) возникают из-за вестибулярного или орального наклона зубов во фронтальной области, макродентии или микродентии, нарушений глотания (дисфагии), гиперодонтии или частичной адентии, короткой уздечки языка Вертикальными аномалиями называются зубоальвеолярные укорочения и удлинения отдельных сегментов зубных рядов. Основными причинами возникновения вертикальных аномалий зубных рядов становятся неравномерное развитие различных участков челюстей, ранняя утрата зубов, вредные привычки.
Клиническая картина
Одним их главных симптомов аномалий зубных рядов считается скученность зубов, которая выражается в очень тесном их расположении. При этом зубы обычно развернуты вокруг собственной оси и «находят» друг на друга. Довольно распространенными признаками аномалий зубных рядов являются диастемы и тремы - щели между отдельными зубами. К аномальным проявлениям относят также отклонения числа зубов. Это может быть как частичная адентия (врожденная или приобретенная), так и наличие сверхкомплектных зубов.
Диагностика
Диагностика аномалий зубных рядов осуществляется врачом-стоматологом и ортодонтом на основании обнаруженных во время осмотра клинических признаков, рентгенологического исследования (ортопантомографии) и антропометрического анализа гипсовых моделей челюстей пациента. Для объективной оценки всех параметров зубных рядов с челюстей пациента снимаются оттиски и изготавливаются диагностические модели, после чего с использованием циркуля и линейки проводится их изучение. Размеры зубов анализируют с использованием таблиц Ветцеля и В. Л. Устименко.
На моделях также измеряют протяженность зубных рядов. После определения мезиодистальных размеров зубов получают их сумму. Затем проводят измерение длины зубного ряда при помощи капроновой нитки или тонкой проволоки, которую располагают вдоль режущего края и жевательной поверхности зубов до линии дистальных поверхностей вторых молочных или первых постоянных моляров. Значение суммы поперечных размеров зубов при скученности или дефиците места оказывается меньше протяженности зубного ряда, а при наличии щелей между зубами - больше. В случае асимметрии зубных рядов ширина их правых и левых частей измеряется от срединной линии, образованной небным швом на верхней и уздечкой языка - на нижней челюсти.
На моделях также измеряют протяженность зубных рядов. После определения мезиодистальных размеров зубов получают их сумму. Затем проводят измерение длины зубного ряда при помощи капроновой нитки или тонкой проволоки, которую располагают вдоль режущего края и жевательной поверхности зубов до линии дистальных поверхностей вторых молочных или первых постоянных моляров. Значение суммы поперечных размеров зубов при скученности или дефиците места оказывается меньше протяженности зубного ряда, а при наличии щелей между зубами - больше. В случае асимметрии зубных рядов ширина их правых и левых частей измеряется от срединной линии, образованной небным швом на верхней и уздечкой языка - на нижней челюсти.
Лечение
Коррекция аномалий зубных рядов предполагает применение методов ортодонтии, хирургической и ортопедической стоматологии, приводящих к расширению или сокращению зубных дуг и правильной постановке зубов. Рациональный способ лечения определяется с учетом совокупности нескольких факторов: смыкания боковых зубов, причин аномалии (недоразвитость базиса челюсти или тд ), суженности зубной дуги, возраста пациента (завершен ли период активного роста челюстей). Также учитывается, возможно ли устранить аномалию только лишь методами ортодонтии, или необходимо и целесообразно подключать хирургические и ортопедические методы лечения.
В настоящее время существует значительное количество различных систем ортодонтических аппаратов, позволяющих с успехом устранять многие аномалии зубных рядов. У детей с молочным прикусом и во время прорезывания постоянных зубов отклонения устраняются с помощью пластиночных аппаратов с винтами. При равномерном сужении зубного ряда винт размещают в области премоляров в середине зубной дуги, а при глубоком небе используется пружина Коффина. Если сужению зубного ряда сопутствует протрузия верхних фронтальных зубов, применяется пластиночный ортодонтический аппарат с винтом, дополненный вестибулярной дугой. При расположении сужения в переднем либо заднем сегменте зубного ряда винт устанавливается соответственно локализации аномалии. По показаниям используются ограничители. В случае одностороннего сужения или смещения нескольких зубов применяется асимметричное положение винта и распил пластинки. При трапециевидной форме зубного ряда (его уплощении на фронтальном участке) используется пластинка с секторальным распилом в области резцов, а при укорочении переднего участка верхней челюсти возможно применение капп Шварца и Бынина.
При постоянном прикусе воздействие на аномалии зубных рядов осуществляется с помощью несъемной аппаратуры (например, дуги Энгля) и брекет-систем, посредством которых возможно одновременно перемещать зубы вперед и придавать нормальное положение относительно их собственной оси. При укорочении боковых сегментов зубного ряда зачастую бывает недостаточно места для клыков и премоляров из-за того, что первые моляры смещены вперед. Для придания им нормального положения показано использование пластинки с секторальным распилом, винтом и кламмером на смещаемый зуб. В подобных случаях одних ортодонтических методов может оказаться недостаточно, поэтому приходится прибегать к удалению премоляра, отчего лечение лучше проводить сразу после прорезывания постоянных зубов.
При расширении зубного ряда у пациента возникают щели и промежутки между зубами. Устранение трем и диастем с использованием ортодонтических аппаратов затруднено, поскольку возникновение таких аномалий обычно связано с увеличением тела челюсти или альвеолярного отростка. Проблему можно устранить протезированием. Но если промежутки не слишком значительны и не вызывают у пациента нареканий, ортопедическое и ортодонтическое воздействие является необязательным.
В случае макродентии и скученности зубов одно ортодонтическое лечение малоэффективно. Для расстановки зубов в правильное положение обычно требуется удаление 1-2 зубов, чаще премоляров, на место которых перемещают аномально расположенные резцы и клыки. Такое сочетание ортодонтической и хирургической стоматологии часто применяется у пациентов старшего возраста, но если диагноз макродентия поставлен в период смены зубов, возможно использование метода Хотца, при котором последовательно удаляемые молочные зубы позволяют правильно располагать прорезающиеся постоянные зубы. Своевременное применение этого метода зачастую дает возможность избежать ортодонтической помощи или сделать ее минимальной.
В последнее время все большее распространение получают несъемные дуговые ортодонтические аппараты и лингвальные брекеты, которые фиксируются с небной стороны коронок зубов. Будучи весьма функциональными, они имеют значительные эстетические преимущества, поскольку не видны окружающим, что немаловажно для пациентов, особенно в пубертатном периоде.
В настоящее время существует значительное количество различных систем ортодонтических аппаратов, позволяющих с успехом устранять многие аномалии зубных рядов. У детей с молочным прикусом и во время прорезывания постоянных зубов отклонения устраняются с помощью пластиночных аппаратов с винтами. При равномерном сужении зубного ряда винт размещают в области премоляров в середине зубной дуги, а при глубоком небе используется пружина Коффина. Если сужению зубного ряда сопутствует протрузия верхних фронтальных зубов, применяется пластиночный ортодонтический аппарат с винтом, дополненный вестибулярной дугой. При расположении сужения в переднем либо заднем сегменте зубного ряда винт устанавливается соответственно локализации аномалии. По показаниям используются ограничители. В случае одностороннего сужения или смещения нескольких зубов применяется асимметричное положение винта и распил пластинки. При трапециевидной форме зубного ряда (его уплощении на фронтальном участке) используется пластинка с секторальным распилом в области резцов, а при укорочении переднего участка верхней челюсти возможно применение капп Шварца и Бынина.
При постоянном прикусе воздействие на аномалии зубных рядов осуществляется с помощью несъемной аппаратуры (например, дуги Энгля) и брекет-систем, посредством которых возможно одновременно перемещать зубы вперед и придавать нормальное положение относительно их собственной оси. При укорочении боковых сегментов зубного ряда зачастую бывает недостаточно места для клыков и премоляров из-за того, что первые моляры смещены вперед. Для придания им нормального положения показано использование пластинки с секторальным распилом, винтом и кламмером на смещаемый зуб. В подобных случаях одних ортодонтических методов может оказаться недостаточно, поэтому приходится прибегать к удалению премоляра, отчего лечение лучше проводить сразу после прорезывания постоянных зубов.
При расширении зубного ряда у пациента возникают щели и промежутки между зубами. Устранение трем и диастем с использованием ортодонтических аппаратов затруднено, поскольку возникновение таких аномалий обычно связано с увеличением тела челюсти или альвеолярного отростка. Проблему можно устранить протезированием. Но если промежутки не слишком значительны и не вызывают у пациента нареканий, ортопедическое и ортодонтическое воздействие является необязательным.
В случае макродентии и скученности зубов одно ортодонтическое лечение малоэффективно. Для расстановки зубов в правильное положение обычно требуется удаление 1-2 зубов, чаще премоляров, на место которых перемещают аномально расположенные резцы и клыки. Такое сочетание ортодонтической и хирургической стоматологии часто применяется у пациентов старшего возраста, но если диагноз макродентия поставлен в период смены зубов, возможно использование метода Хотца, при котором последовательно удаляемые молочные зубы позволяют правильно располагать прорезающиеся постоянные зубы. Своевременное применение этого метода зачастую дает возможность избежать ортодонтической помощи или сделать ее минимальной.
В последнее время все большее распространение получают несъемные дуговые ортодонтические аппараты и лингвальные брекеты, которые фиксируются с небной стороны коронок зубов. Будучи весьма функциональными, они имеют значительные эстетические преимущества, поскольку не видны окружающим, что немаловажно для пациентов, особенно в пубертатном периоде.
|
|
Профилактика
Важную роль в исправлении аномалий зубных рядов играет ранняя диагностика: чем раньше будут начаты лечебные мероприятия, тем большего успеха, как правило, удается добиться. Самым благоприятным периодом для профилактики и лечения аномалий считается дошкольный возраст, который связан с формированием молочного прикуса, позднее терапия становится менее эффективной и требует больших затрат. В случае своевременного обнаружения и лечения аномалий зубных рядов прогноз в целом благоприятный. Современные стоматологические методы позволяют исправлять большинство отклонений.