Другие названия и синонимы
Trems.
МКБ-10 коды
|
|
Описание
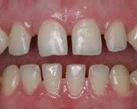
Тремы. Промежутки между зубами. Основные жалобы сводятся к наличию эстетического дефекта. Диагностика трем включает анализ данных анамнеза, клинический осмотр, рентгенографию, ТРГ, антропометрические измерения моделей. Для периода старения временного прикуса характерны физиологические тремы, не требующие ортодонтического вмешательства. Лечение трем у пациентов с постоянным прикусом направлено на восстановление целостностности зубных рядов, достижение тесного контакта между боковыми поверхностями зубов. Если тремы являются одним из симптомов прогнатии или прогении, показана ортодонтическая коррекция прикуса.
Дополнительные факты
Тремы - отсутствие тесного контакта между зубами. По своей сути тремы вторичны, то есть являются следствием другого физиологического или патологического процесса. Считают, что промежутки между зубами передаются генетически, как и неправильный прикус. Если у одного из родителей отсутствует плотный контакт между зубами и это обусловлено не вторичной адентией, то вероятность проявления патологии у детей составляет 50%. Тремы одинаково часто диагностируют у представителей обоих полов. Патология может становиться причиной постоянного травмирования десен с развитием воспалительных осложнений. Из-за длительной задержки кусочков пищи в межзубных промежутках возрастает вероятность кариеса. Основные методы устранения промежутков между зубами - протезирование или ортодонтическая коррекция.
Причины
В стоматологии различают 2 вида трем:
1. Физиологические тремы. Возникают с 4 до 6 лет в периоде старения молочного прикуса. Их появление обусловлено активным ростом челюстей в связи с подготовкой к прорезыванию постоянных зубов. Отсутствие физиологических трем в этот период является фактором риска развития скученности, так как образовавшиеся промежутки между зубами создают необходимое место для постоянных зубов, чьи мезиодистальные размеры коронок значительно превышают параметры молочных зубов.
2. Патологические тремы. Основная причина - несоответствие величины коронок зубов или их количества размерам челюстей. Возникают вследствие микродентии, адентии, ретенции, тортоаномалии, а также в результате чрезмерного развития базиса верхней или нижней челюсти, что часто наблюдается у пациентов с патологиями прикуса по сагиттали.
1. Физиологические тремы. Возникают с 4 до 6 лет в периоде старения молочного прикуса. Их появление обусловлено активным ростом челюстей в связи с подготовкой к прорезыванию постоянных зубов. Отсутствие физиологических трем в этот период является фактором риска развития скученности, так как образовавшиеся промежутки между зубами создают необходимое место для постоянных зубов, чьи мезиодистальные размеры коронок значительно превышают параметры молочных зубов.
2. Патологические тремы. Основная причина - несоответствие величины коронок зубов или их количества размерам челюстей. Возникают вследствие микродентии, адентии, ретенции, тортоаномалии, а также в результате чрезмерного развития базиса верхней или нижней челюсти, что часто наблюдается у пациентов с патологиями прикуса по сагиттали.
Классификация
Тремы относят к генетически детерминированным признакам с аутосомно-доминантным типом наследования. Ген, отвечающий за возникновение промежутков между зубами, находится в 3 паре хромосом. Уменьшенные мезиодистальные размеры коронок зубов, первичная или вторичная адентия, неправильное положение зачатка постоянного зуба, сопровождающееся задержкой его прорезывания, тортоаномалии, деструктивные заболевания пародонта - все это также может вызвать появление трем. У пациентов с 1 подклассом дистального прикуса образование трем между верхними передними зубами обусловлено наличием двух факторов - чрезмерным развитием верхней челюсти и вестибулярным наклоном резцов. То же самое, только на нижней челюсти, может наблюдаться и у пациентов с мезиальной окклюзией.
Диагностика
Диагностика трем включает анализ данных физикального обследования, результатов антропометрических измерений и рентгенографии. В ходе обследования пациентов с тремой врач-стоматолог может выявить отсутствие зачатков, неправильное положение (дистопию) или задержку прорезывания одного или нескольких постоянных комплектных зубов. В случае 1 подкласса дистального прикуса тремы диагностируют между протрузионно наклоненными верхними резцами, при мезиальной окклюзии промежутки между зубами выявляют на нижней челюсти.
Для установления истинной причины тремы в ходе антропометрического исследования определяют соответствие размеров зубов длине зубоальвеолярной дуги. Мезиодистальные размеры коронок сопоставляют со среднестатистическими параметрами. Если значения ниже нормы, диагностируют микродентию. Также об индивидуальной микродентии говорят при значении дентофациального индекса меньше 22%. Если тремы являются одним из признаков патологии прикуса, обнаруживают увеличение базиса верхней или нижней челюсти. У пациентов с тремами и протрузией передних зубов по методу Герлаха обнаруживают диспропорциональность в размерах бокового и переднего участков, измерения по Коркхаузу свидетельствуют об удлинении переднего отрезка.
С помощью рентгенографического исследования определяют наличие зачатков всех комплектных зубов, их положение. Телерентгенография показана пациентам с тремами, появившимися вследствие аномалии прикуса. Результаты исследования дают информацию о типе роста челюстей, наличии скелетной или зубоальвеолярной патологии, что имеет большое значение при составлении рационального плана лечения. Обследование пациента с тремами проводит стоматолог-ортодонт.
Для установления истинной причины тремы в ходе антропометрического исследования определяют соответствие размеров зубов длине зубоальвеолярной дуги. Мезиодистальные размеры коронок сопоставляют со среднестатистическими параметрами. Если значения ниже нормы, диагностируют микродентию. Также об индивидуальной микродентии говорят при значении дентофациального индекса меньше 22%. Если тремы являются одним из признаков патологии прикуса, обнаруживают увеличение базиса верхней или нижней челюсти. У пациентов с тремами и протрузией передних зубов по методу Герлаха обнаруживают диспропорциональность в размерах бокового и переднего участков, измерения по Коркхаузу свидетельствуют об удлинении переднего отрезка.
С помощью рентгенографического исследования определяют наличие зачатков всех комплектных зубов, их положение. Телерентгенография показана пациентам с тремами, появившимися вследствие аномалии прикуса. Результаты исследования дают информацию о типе роста челюстей, наличии скелетной или зубоальвеолярной патологии, что имеет большое значение при составлении рационального плана лечения. Обследование пациента с тремами проводит стоматолог-ортодонт.
Лечение
Ортодонтическая коррекция трем направлена на устранение промежутков между зубами, достижение плотного апроксимального контакта. Выбор методики лечения зависит от этиологии. Если тремы возникли по причине частичной врожденной или приобретенной адентии, восстановление целостности зубного ряда проводится путем протезирования. В детском возрасте с этой целью применяют съемные протезы, так как несъемные ортопедические конструкции будут задерживать рост челюстей. После завершения скелетного роста тремы устраняют с помощью мостовидных протезов. Незначительные промежутки во фронтальном отделе закрывают методом прямого или непрямого виниринга.
Если причиной трем является ретенция, ортодонтическим путем создают необходимое место в зубном ряду, далее в ходе операции обнажают коронку ретинированного зуба и с помощью межчелюстной тяги перемещают его в зубной ряд. При 1 подклассе дистального прикуса тремы устраняют с помощью съемных ортодонтических аппаратов (активатора Андрезена-Гойпля, регулятора функции Френкеля 1 типа, пластиночных аппаратов на верхнюю челюсть с накусочной площадкой), а также несъемных брекет-систем. Если тремы между нижними зубами являются одним из симптомов мезиальной окклюзии, в зависимости от возраста и степени тяжести используют пластинку Шварца, регулятор функции Френкеля 3 типа, брекет-системы.
К основным элементам аппаратов для устранения трем относят вестибулярную дугу и крючки, припаянные со щечной стороны для фиксации резиновой тяги. Для закрытия промежутков с помощью брекет-систем предназначены эластические цепочки, звенья которых фиксируют на крыльях брекетов или же на лигатурах Кобаяши. Для закрытия малых, средних или больших промежутков ортодонты применяют цепочки с соответствующей длиной шага. При раннем выявлении трем, комплексном диагностировании, квалифицированном лечении прогноз благоприятный. Для снижения риска рецидива после ортодонтической коррекции показан ретенционный период, длительность которого зависит от характера первичной патологии и возраста пациента.
Если причиной трем является ретенция, ортодонтическим путем создают необходимое место в зубном ряду, далее в ходе операции обнажают коронку ретинированного зуба и с помощью межчелюстной тяги перемещают его в зубной ряд. При 1 подклассе дистального прикуса тремы устраняют с помощью съемных ортодонтических аппаратов (активатора Андрезена-Гойпля, регулятора функции Френкеля 1 типа, пластиночных аппаратов на верхнюю челюсть с накусочной площадкой), а также несъемных брекет-систем. Если тремы между нижними зубами являются одним из симптомов мезиальной окклюзии, в зависимости от возраста и степени тяжести используют пластинку Шварца, регулятор функции Френкеля 3 типа, брекет-системы.
К основным элементам аппаратов для устранения трем относят вестибулярную дугу и крючки, припаянные со щечной стороны для фиксации резиновой тяги. Для закрытия промежутков с помощью брекет-систем предназначены эластические цепочки, звенья которых фиксируют на крыльях брекетов или же на лигатурах Кобаяши. Для закрытия малых, средних или больших промежутков ортодонты применяют цепочки с соответствующей длиной шага. При раннем выявлении трем, комплексном диагностировании, квалифицированном лечении прогноз благоприятный. Для снижения риска рецидива после ортодонтической коррекции показан ретенционный период, длительность которого зависит от характера первичной патологии и возраста пациента.