Другие названия и синонимы
Pulmonary plague.
МКБ-10 коды
- МКБ-10
- A20.2 Легочная чума
|
|
Описание
Это острое высококонтагиозное инфекционное заболевание, передающееся воздушно-капельным путем. Симптомы тяжелой общей интоксикации, признаки респираторного и сердечно-сосудистого повреждения и сепсис являются характерными. Основой диагноза является бактериологический и ПЦР-метод тестирования с использованием различных биологических жидкостей. Кроме того, проводятся серологические тесты. В качестве специфической терапии используются антибактериальные препараты, в основном аминогликозиды и тетрациклины. Параллельно рекомендуется симптоматическое лечение для улучшения состояния пациента.
Дополнительные факты
Пневмоническая чума не является самостоятельным заболеванием, а бубонная чума считается одной из форм чумы. Случаи заболевания зарегистрированы во многих странах Африки, Азии, Южной Америки и в районах Кавказа на Алтае. В настоящее время наиболее эндемичными регионами являются Мадагаскар, Конго, Перу. По данным ВОЗ в мире за период 2010-2015 гг. Было зарегистрировано 3248 случаев заболевания, 584 из которых закончились смертельным исходом. Восприимчивость высока, люди заражаются независимо от пола и возраста. Чаще страдают мужчины, что связано с увеличением их занятости в ловле грызунов и увлечением охотой. В странах с умеренным климатом наибольшая заболеваемость наблюдается в летне-осенний период, в жаркий весенний сезон.
Причины
Возбудитель - грамотрицательная палочка Yersinia pestis. Возбудитель довольно стабилен во внешней среде. При температуре 22 ° с он может оставаться практичным до 4 месяцев, при 100 ° с он инактивируется через 1 минуту. Иерсиния умирает под воздействием растворов лизола, ртути и хлористой карболовой кислоты, прямых солнечных лучей. Чувствителен к сушке и антибактериальным препаратам. В мокроте и крови сохраняется до месяца.
Благодаря наличию экзо- и эндотоксина бактерия оказывает выраженное токсическое действие на организм человека. Специфические факторы агрессии и инвазии позволяют ему подавлять активность макрофагов и сохраняться в них. При 37 ° С в зараженном организме микроб образует капсулу, в результате чего его вирулентность увеличивается. Источником заболевания является человек с первичной или вторичной легочной чумой. Передача происходит аэрогенная.
Благодаря наличию экзо- и эндотоксина бактерия оказывает выраженное токсическое действие на организм человека. Специфические факторы агрессии и инвазии позволяют ему подавлять активность макрофагов и сохраняться в них. При 37 ° С в зараженном организме микроб образует капсулу, в результате чего его вирулентность увеличивается. Источником заболевания является человек с первичной или вторичной легочной чумой. Передача происходит аэрогенная.
Патогенез
В случае первичной инфекции входными воротами являются слизистые оболочки дыхательных путей. При оттоке лимфы бацилла достигает региональных лимфатических узлов, где она поглощается макрофагами. Неполный фагоцитоз способствует выживанию и размножению микробов в фагоцитах. Серьезное геморрагическое воспаление происходит на месте возбудителя. Легочная паренхима становится полнокровной, образуется интерстициальный и альвеолярный отек. Плевра часто участвует в процессе. Эндотелий сосудов повреждается токсинами, образуются стаз, тромбы, места кровотечения и некроз.
Когда патоген попадает в кровоток, инфекция генерализуется. Возникает бактериемия, появляются вторичные осмотры. Парез капилляров приводит к функциональным нарушениям сердечно-сосудистой системы, почек и других органов. Зараженные люди умирают от сердечной или дыхательной недостаточности. При сепсисе пациенты умирают от шока с ДВС-синдромом. Вторичная форма обусловлена введением иерсиний в легочную ткань в результате бактериемии с последующим развитием патологического процесса, как при первичном типе патологии.
Когда патоген попадает в кровоток, инфекция генерализуется. Возникает бактериемия, появляются вторичные осмотры. Парез капилляров приводит к функциональным нарушениям сердечно-сосудистой системы, почек и других органов. Зараженные люди умирают от сердечной или дыхательной недостаточности. При сепсисе пациенты умирают от шока с ДВС-синдромом. Вторичная форма обусловлена введением иерсиний в легочную ткань в результате бактериемии с последующим развитием патологического процесса, как при первичном типе патологии.
Классификация
Как самостоятельное заболевание, легочная чума не изолирована, она считается своего рода патологией, вызванной чумной палочкой. Легочная форма является одним из наиболее тяжелых вариантов течения заболевания, она может вызвать развитие эпидемий, что позволило классифицировать ее как особо опасную инфекцию. Различают следующие типы:
• Первичная легочная чума. Он развивается, когда возбудитель передается аэрозолем при контакте с больной легочной инфекцией. Характерны очень тяжелое течение, симптомы интоксикации, плевропневмония с кровавой жидкой мокротой. Бубоны редко определяются. Без соответствующего лечения смерть наступает на 3-4 день. В случае молниеносного голодания пациенты умирают в первый день.
• Вторичная легочная чума. Пациент заражен путями передачи, контакта или пищи, легкие поражаются в 5-10% случаев в результате гематогенного введения возбудителя. Объективно обнаружены бубоны первого и второго порядка. В контексте клинических проявлений первичной формы на 2-3 день появляются те же признаки чумной пневмонии, что и в первичном варианте. Пациент становится источником аэрогенной инфекции.
• Первичная легочная чума. Он развивается, когда возбудитель передается аэрозолем при контакте с больной легочной инфекцией. Характерны очень тяжелое течение, симптомы интоксикации, плевропневмония с кровавой жидкой мокротой. Бубоны редко определяются. Без соответствующего лечения смерть наступает на 3-4 день. В случае молниеносного голодания пациенты умирают в первый день.
• Вторичная легочная чума. Пациент заражен путями передачи, контакта или пищи, легкие поражаются в 5-10% случаев в результате гематогенного введения возбудителя. Объективно обнаружены бубоны первого и второго порядка. В контексте клинических проявлений первичной формы на 2-3 день появляются те же признаки чумной пневмонии, что и в первичном варианте. Пациент становится источником аэрогенной инфекции.
Клиническая картина
Инкубационный период от 3 до 10 дней, в среднем 4-6 дней, может быть сокращен до одного дня. Течение инфекции условно делится на три периода: начальный, рост заболевания и терминальный. Патология проявляется внезапно с резким повышением температуры тела до 39-40 ° С. Признаков сильной интоксикации, головной боли и мышечной боли, слабости, озноба и рвоты не отмечено. Больные жалуются на одышку, кашель с прозрачной стекловидной мокротой. Часто беспокоит уменьшение боли, тяжести в груди, тахикардии, конъюнктивита.
По мере развития заболевания характер мокроты меняется. Она становится жидкой, кровавой (со смесью красной или ржавой крови), с добавлением отека легких - розового, сверкающего. Выделения содержат большое количество возбудителя. Образ долевой или очаговой плевропневмонии формируется. Редкие аускультативные данные не связаны с серьезным состоянием пациента. Гиперемия кожи, отечность лица, сосудистая инъекция склеры, так называемые «налитые кровью глаза» определяются объективно. Язык плотно обложен белым налетом - как будто он «натерт мелом».
В середине чумы привлекают внимание симптомы нарушения деятельности нервных структур. На ранних стадиях пациенты взволнованы или подавлены. По мере развития патологии развивается токсическая энцефалопатия. Речь становится медленной, вялой, нарушается координация движений, повышается чувствительность к световым и звуковым раздражителям. Различные степени нарушения сознания формируются до комы.
В результате пареза сосудистого русла и нарушений в микроциркуляции возникают отклонения сердечно-сосудистой системы, острая почечная недостаточность. Цианоз и боль в груди усиливаются, черты лица усиливаются, появляется одышка со скоростью до 60 в минуту. Глухота тонов сердца, наблюдается тахикардия, пульс может быть аритмичным. Давление резко падает, в терминальный период оно практически не определяется. Геморрагический синдром включается. На коже видны участки с кровоизлияниями, петехиями. Пациенты умирают от дыхательной недостаточности или тяжелых нарушений гемодинамики.
Вторичная легочная чума формируется как осложнение на фоне основной формы патологии. Симптомы повреждения центральной нервной системы, дыхательной и сосудистой систем соответствует приведенному выше описанию. После заражения формируется стойкий клеточный иммунитет, однако при массивной инфекции повторное заражение не исключается.
Ассоциированные симптомы: Высокая температура тела. Гематурия. Лихорадка. Тяжесть в груди.
По мере развития заболевания характер мокроты меняется. Она становится жидкой, кровавой (со смесью красной или ржавой крови), с добавлением отека легких - розового, сверкающего. Выделения содержат большое количество возбудителя. Образ долевой или очаговой плевропневмонии формируется. Редкие аускультативные данные не связаны с серьезным состоянием пациента. Гиперемия кожи, отечность лица, сосудистая инъекция склеры, так называемые «налитые кровью глаза» определяются объективно. Язык плотно обложен белым налетом - как будто он «натерт мелом».
В середине чумы привлекают внимание симптомы нарушения деятельности нервных структур. На ранних стадиях пациенты взволнованы или подавлены. По мере развития патологии развивается токсическая энцефалопатия. Речь становится медленной, вялой, нарушается координация движений, повышается чувствительность к световым и звуковым раздражителям. Различные степени нарушения сознания формируются до комы.
В результате пареза сосудистого русла и нарушений в микроциркуляции возникают отклонения сердечно-сосудистой системы, острая почечная недостаточность. Цианоз и боль в груди усиливаются, черты лица усиливаются, появляется одышка со скоростью до 60 в минуту. Глухота тонов сердца, наблюдается тахикардия, пульс может быть аритмичным. Давление резко падает, в терминальный период оно практически не определяется. Геморрагический синдром включается. На коже видны участки с кровоизлияниями, петехиями. Пациенты умирают от дыхательной недостаточности или тяжелых нарушений гемодинамики.
Вторичная легочная чума формируется как осложнение на фоне основной формы патологии. Симптомы повреждения центральной нервной системы, дыхательной и сосудистой систем соответствует приведенному выше описанию. После заражения формируется стойкий клеточный иммунитет, однако при массивной инфекции повторное заражение не исключается.
Ассоциированные симптомы: Высокая температура тела. Гематурия. Лихорадка. Тяжесть в груди.
|
|
Возможные осложнения
Наиболее распространенным осложнением является развитие острой сердечно-сосудистой и дыхательной недостаточности. Есть частые эпизоды токсического шока и ИБС. Из-за увеличения тромбоза гангрена образуется на кончиках пальцев, и возможно острое повреждение почек. Последующие нарушения системы свертывания крови способствуют массовому кровотечению. Токсическое повреждение центральной нервной системы осложняется комой; факты чумного менингита описаны в литературе. Бактериемия и образование новых очагов в различных органах приводят к сепсису.
Диагностика
Легочный вариант патологии диагностируется на основании клинических и лабораторных данных. При объективном осмотре на начальном этапе врач по инфекционным заболеваниям обращает внимание на отечность и гиперемию на лице, инъекции склеральных сосудов и слизистой оболочки языка. Появляется лихорадка, кашель с примесью крови, боль в груди. Во время аускультации слышны мелкие, игристые, влажные породы, звуки трения плевры, тахипноэ в точках сердца - тупость тонов, тахикардия, аритмии. Гипотония увеличивается.
На заключительном этапе происходит цианоз кожи. При вторичном поражении дыхательной ткани определяются волдыри. Характеризуется появлением неврологических симптомов в результате токсической инфекционной энцефалопатии. При развитии геморрагического синдрома обнаруживаются кровотечения, кровотечения на коже и слизистых оболочках. Для подтверждения диагноза используются следующие методы:
• Лабораторные испытания. В общем анализе крови отмечен лейкоцитоз со смещением влево, ускорение СОЭ. При анализе мочи, протеинурии и гематурии обнаруживаются стеклянные и зернистые цилиндры. Когда прикреплен DIC, изменения в коагулограмме соответствуют стадии процесса.
• Идентификация патогена. Методом диагностики в диагностике является бактериоскопический метод. В качестве материала использовались мокрота, кровь, мазки из горла, прорыв из везикул, отделенные от язв. Микроскопия мазка была выполнена. Сеять биологические жидкости на питательных средах. Быстрый и качественный анализ считается ПЦР. Кроме того, используйте IFA, RIF, RPGA. Возможен биологический метод с заражением лабораторных животных.
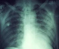
• Рентген грудной клетки. Рентгенологическое исследование определяет очаговые и инфильтрирующие тени, что подтверждает наличие пневмонии. Часто на снимках видны признаки плеврального поражения, возможно, обнаружение экссудата.
Дифференциальный диагноз ставится при крупозной пневмонии. Важно отличать патологию от легочной сибирской язвы. Чумная пневмония может напоминать изменения при туляремии, брюшном тифе и тифе, поражение легких при гриппозной инфекции. При вторичной инфекции следует исключить острый гнойный лимфаденит стрептококкового и стафилококкового происхождения, содовую, царапинную болезнь у кошек.
На заключительном этапе происходит цианоз кожи. При вторичном поражении дыхательной ткани определяются волдыри. Характеризуется появлением неврологических симптомов в результате токсической инфекционной энцефалопатии. При развитии геморрагического синдрома обнаруживаются кровотечения, кровотечения на коже и слизистых оболочках. Для подтверждения диагноза используются следующие методы:
• Лабораторные испытания. В общем анализе крови отмечен лейкоцитоз со смещением влево, ускорение СОЭ. При анализе мочи, протеинурии и гематурии обнаруживаются стеклянные и зернистые цилиндры. Когда прикреплен DIC, изменения в коагулограмме соответствуют стадии процесса.
• Идентификация патогена. Методом диагностики в диагностике является бактериоскопический метод. В качестве материала использовались мокрота, кровь, мазки из горла, прорыв из везикул, отделенные от язв. Микроскопия мазка была выполнена. Сеять биологические жидкости на питательных средах. Быстрый и качественный анализ считается ПЦР. Кроме того, используйте IFA, RIF, RPGA. Возможен биологический метод с заражением лабораторных животных.
• Рентген грудной клетки. Рентгенологическое исследование определяет очаговые и инфильтрирующие тени, что подтверждает наличие пневмонии. Часто на снимках видны признаки плеврального поражения, возможно, обнаружение экссудата.
Дифференциальный диагноз ставится при крупозной пневмонии. Важно отличать патологию от легочной сибирской язвы. Чумная пневмония может напоминать изменения при туляремии, брюшном тифе и тифе, поражение легких при гриппозной инфекции. При вторичной инфекции следует исключить острый гнойный лимфаденит стрептококкового и стафилококкового происхождения, содовую, царапинную болезнь у кошек.
Лечение
Пациенты с подозрением на чуму подлежат изоляции в соответствии с противоэпидемическими мерами. Пациент должен соблюдать строгий постельный режим. Терапия сложна, сочетает этиотропный и патогенетический аспекты. Специфическое этиологическое лечение проводят с помощью антибактериальных препаратов из группы аминогликозидов, тетрациклинов. Внутримышечный стрептомицин и внутривенный тетрациклин используются чаще. В качестве альтернативы используются гентамицин, доксициклин, рифампицин, ципрофлоксацин, цефалоспорины.
При развитии менингита хлорамфеникол назначают в сочетании с другими антибиотиками. Продолжительность курса приема лекарств составляет не менее 10 дней, затем - по показаниям. Лечение беременных женщин имеет некоторые трудности из-за нежелательного воздействия многих лекарств на плод. Схема лекарственной терапии в таких случаях составлена с учетом возможных рисков, зарубежные специалисты рекомендуют отдавать предпочтение гентамицину.
Для целей детоксикации назначают инфузионную терапию коллоидными и кристаллоидными растворами с форсированным диурезом, плазмаферезом. При необходимости используются кардиотоники, жаропонижающие средства и глюкокортикостероиды. Свежезамороженная плазма, человеческий альбумин используется при гемостатических расстройствах и для синтеза белка. Для предотвращения развития стрессовых язв рекомендуется применение ингибиторов протонной помпы. Возможно введение противочумной сыворотки и гамма-глобулина.
Добавление осложнений, таких как отек легких, сепсис, ДВС-синдром, требует коррекции лечебных мероприятий. План лечения включает ингибиторы протеиназы плазмы, гемостаты, адрено- и симпатомиметики и другие медикаменты. Если пациент перестает дышать, требуется вдыхание кислородно-воздушной смеси - перейти на искусственную вентиляцию легких. Также используйте витамины группы В, витамин.
Вторичная легочная форма чумы может потребовать хирургического вмешательства, сопровождающегося образованием волдырей. При нагноении и вскрытии воспаленных лимфатических узлов проводится их хирургическое лечение. Местное введение активных стафилококковых антибиотиков также используется непосредственно в бубоне после колебаний или самопроизвольного дренирования.
При развитии менингита хлорамфеникол назначают в сочетании с другими антибиотиками. Продолжительность курса приема лекарств составляет не менее 10 дней, затем - по показаниям. Лечение беременных женщин имеет некоторые трудности из-за нежелательного воздействия многих лекарств на плод. Схема лекарственной терапии в таких случаях составлена с учетом возможных рисков, зарубежные специалисты рекомендуют отдавать предпочтение гентамицину.
Для целей детоксикации назначают инфузионную терапию коллоидными и кристаллоидными растворами с форсированным диурезом, плазмаферезом. При необходимости используются кардиотоники, жаропонижающие средства и глюкокортикостероиды. Свежезамороженная плазма, человеческий альбумин используется при гемостатических расстройствах и для синтеза белка. Для предотвращения развития стрессовых язв рекомендуется применение ингибиторов протонной помпы. Возможно введение противочумной сыворотки и гамма-глобулина.
Добавление осложнений, таких как отек легких, сепсис, ДВС-синдром, требует коррекции лечебных мероприятий. План лечения включает ингибиторы протеиназы плазмы, гемостаты, адрено- и симпатомиметики и другие медикаменты. Если пациент перестает дышать, требуется вдыхание кислородно-воздушной смеси - перейти на искусственную вентиляцию легких. Также используйте витамины группы В, витамин.
Вторичная легочная форма чумы может потребовать хирургического вмешательства, сопровождающегося образованием волдырей. При нагноении и вскрытии воспаленных лимфатических узлов проводится их хирургическое лечение. Местное введение активных стафилококковых антибиотиков также используется непосредственно в бубоне после колебаний или самопроизвольного дренирования.
Прогноз
Прогноз серьезный. Смертность без терапии составляет 30-100%. Правильно подобранное лечение позволяет значительно снизить этот показатель. Неспецифические профилактические меры направлены на выявление и нейтрализацию пожаров, госпитализацию и изоляцию инфицированных людей и ветеринарный надзор за животными. Важным элементом в борьбе с распространением чумы является уничтожение грызунов и блох.
Профилактика
После выздоровления выздоравливающие регистрируются в аптеке на 3 месяца. Все контактные лица подлежат изоляции и экстренной профилактике доксициклином или стрептомицином в течение 7 дней. Выписка проводится с полным выздоровлением (не ранее, чем через 6 недель) и только после тройного отрицательного бактериологического обследования. Специфическая профилактика проводится путем иммунизации населения, подвергающегося риску использования сухой живой аттенуированной вакцины.
Список литературы
1. Тропические болезни. Учебник/ под ред. Шуваловой Е.П. 2004.
2. Инфекционные болезни. Руководство/ под ред. Семенова В.М. 2014.
3. Руководство по инфекционным болезням/ под ред. Лобзина Ю.В. 2000.
4. Чума. Информационный бюллетень. ВОЗ - 2017.
2. Инфекционные болезни. Руководство/ под ред. Семенова В.М. 2014.
3. Руководство по инфекционным болезням/ под ред. Лобзина Ю.В. 2000.
4. Чума. Информационный бюллетень. ВОЗ - 2017.
|
|