Другие названия и синонимы
Cardiogenic pulmonary edema.
МКБ-10 коды
|
|
Описание
Кардиогенный отек легких. Это патологическое состояние, которое характеризуется перфузией жидкости из легочных сосудов в интерстициальное пространство и альвеолы. Это является следствием острой сердечной недостаточности. На начальной стадии заболевания у больного выявляются акроцианоз, тахикардия, одышка. По мере развития патологии пена белого или розоватого цвета начинает выделяться из дыхательных путей. Признаки гипоксии определены. Диагноз ставится на основании клинической картины и анамнестических данных. Лечение включает кислород, пропущенный через 70% этиловый спирт, искусственную вентиляцию легких, наркотические анальгетики, петлевые диуретики, нитраты. По показаниям используются кардиотоники и бронходилататоры.
Дополнительные факты
Кардиогенный отек легких (COL) - это скопление жидкости в легочных пузырьках или интерстициальном пространстве. Обычно наблюдается у пациентов с кардиологическим анамнезом. Он возникает в виде преходящего осложнения, которое иногда можно остановить на догоспитальном этапе. Независимо от результатов оказания первой медицинской помощи пациент подлежит госпитализации в ОРИТ. Частота встречаемости у мужчин несколько выше, чем у женщин, соотношение составляет примерно 7:10. Это связано с несколько более поздним развитием атеросклероза и коронарной патологии у женщин. Кардиогенный ПР может возникать при сердечной недостаточности любого происхождения, но часто диагностируется с ослаблением функции левого желудочка.
Причины
Нарушения работы сердца происходят с органическими изменениями в органе, значительным увеличением ОЦК под влиянием некардиогенных факторов. Определение первопричины является важным диагностическим этапом, поскольку режим лечения зависит от этиологии заболевания. Заболевания, при которых развивается отек сердечного происхождения, включают:
• Левая желудочковая недостаточность (LF). Это реальное ухудшение сократимости сердца, которое в основном вызывает легочную гидратацию. Наблюдается при миокардите, остром инфаркте миокарда, локализованном в соответствующей зоне, аортальном стенозе, коронарном склерозе, повышенном артериальном давлении, недостаточности аортального клапана, аритмии различного происхождения, ишемической болезни сердца.
Он обнаруживается при острой почечной недостаточности на фоне нарушения водного баланса. Жидкость, которая вводится пациенту внутривенно или попадает внутрь через рот, не выводится из организма, а образуется KOL. Аналогичная ситуация возникает с неправильно выбранным количеством инфузионной терапии, тиреотоксикозом, анемией, циррозом печени.
• Легочная венозная обструкция. Причина - органические пороки развития венозной системы. Это определяется при митральном стенозе, аномальном течении легочной вены, гипоплазии, образовании сосудистых оболочек, фиброзе. Кроме того, это состояние возникает при наличии послеоперационных рубцов, сдавлении сосуда средостенной опухолью.
• Несердечные причины. Нарушения со стороны сердца и, как следствие, отек легких могут возникать в результате острого отравления кардиотоксическими ядами, инсульта с повреждением областей, ответственных за работу сердца, а также тонуса сосудов и поражений черепа. Патология часто является симптомом шока любой этиологии.
• Левая желудочковая недостаточность (LF). Это реальное ухудшение сократимости сердца, которое в основном вызывает легочную гидратацию. Наблюдается при миокардите, остром инфаркте миокарда, локализованном в соответствующей зоне, аортальном стенозе, коронарном склерозе, повышенном артериальном давлении, недостаточности аортального клапана, аритмии различного происхождения, ишемической болезни сердца.
Он обнаруживается при острой почечной недостаточности на фоне нарушения водного баланса. Жидкость, которая вводится пациенту внутривенно или попадает внутрь через рот, не выводится из организма, а образуется KOL. Аналогичная ситуация возникает с неправильно выбранным количеством инфузионной терапии, тиреотоксикозом, анемией, циррозом печени.
• Легочная венозная обструкция. Причина - органические пороки развития венозной системы. Это определяется при митральном стенозе, аномальном течении легочной вены, гипоплазии, образовании сосудистых оболочек, фиброзе. Кроме того, это состояние возникает при наличии послеоперационных рубцов, сдавлении сосуда средостенной опухолью.
• Несердечные причины. Нарушения со стороны сердца и, как следствие, отек легких могут возникать в результате острого отравления кардиотоксическими ядами, инсульта с повреждением областей, ответственных за работу сердца, а также тонуса сосудов и поражений черепа. Патология часто является симптомом шока любой этиологии.
Патогенез
Кардиогенный отек легких имеет два механизма развития. При истинной недостаточности левого желудочка сократимость левого желудочка ослаблена. Сердце не может перекачивать всю кровь, поступающую из легочных вен. В последнем происходит застой, повышается гидростатическое давление. Второй патогенетический механизм возникает при гипергидратации. В то же время левый желудочек работает нормально, но его объема недостаточно для размещения всей поступающей крови. Дальнейшее развитие процесса не отличается от истинного разнообразия LN.
Существует три этапа создания KOL. В начале наблюдается расширение крупных легочных сосудов, активное вовлечение вен и капилляров в этот процесс. Кроме того, жидкость начинает накапливаться в интерстициальном пространстве. J интерстициальные рецепторы раздражены, появляется постоянный кашель. В какой-то момент соединительная ткань легких наполняется жидкостью, которая начинает потеть в альвеолах. Есть пенообразование. Из 100 мл плазмы образуется до полутора литров пены, которая при кашле отделяется при вдыхании.
Существует три этапа создания KOL. В начале наблюдается расширение крупных легочных сосудов, активное вовлечение вен и капилляров в этот процесс. Кроме того, жидкость начинает накапливаться в интерстициальном пространстве. J интерстициальные рецепторы раздражены, появляется постоянный кашель. В какой-то момент соединительная ткань легких наполняется жидкостью, которая начинает потеть в альвеолах. Есть пенообразование. Из 100 мл плазмы образуется до полутора литров пены, которая при кашле отделяется при вдыхании.
Клиническая картина
Приступ часто начинается ночью. Пациент просыпается с ощущением удушья, вынужден принимать полусидячее или сидячее положение, положив руки на кровать. Эта позиция помогает соединить вспомогательные мышцы и облегчает дыхание. Появляется кашель, чувство нехватки воздуха, одышка более 25 вдохов в минуту. Сухой хрип, заметный на расстоянии, слышен в легких, затруднено дыхание. Тахикардия достигает 100-150 уд / мин. Акроцианоз обнаруживается при осмотре.
Переход от интерстициального кардиогенного отека легких к альвеолярному отеку характеризуется серьезным ухудшением состояния пациента. Хрипы становятся влажными, крупно пузыри и пузыри. При кашле выделяется розовая или белая пена. Кожа голубоватая или мраморная и покрыта большим количеством холодного липкого пота. Тревога, психомоторное возбуждение, страх смерти, спутанность сознания, головокружение. Разрыв пульса между систолическим и диастолическим артериальным давлением уменьшается.
Уровень давления зависит от патогенетического варианта заболевания. При истинной недостаточности левого желудочка систолическое артериальное давление снижается при показателях ниже 90 мм Компенсаторная тахикардия развивается более 120 ударов в минуту. Гиперволемический вариант протекает с повышением артериального давления, в то время как увеличение частоты сердечных сокращений сохраняется. За грудиной возникают сжимающие боли, которые могут указывать на вторичный приступ ишемической болезни сердца, инфаркт миокарда.
Ассоциированные симптомы: Кашель. Нехватка воздуха. Одышка. Холодный пот.
Переход от интерстициального кардиогенного отека легких к альвеолярному отеку характеризуется серьезным ухудшением состояния пациента. Хрипы становятся влажными, крупно пузыри и пузыри. При кашле выделяется розовая или белая пена. Кожа голубоватая или мраморная и покрыта большим количеством холодного липкого пота. Тревога, психомоторное возбуждение, страх смерти, спутанность сознания, головокружение. Разрыв пульса между систолическим и диастолическим артериальным давлением уменьшается.
Уровень давления зависит от патогенетического варианта заболевания. При истинной недостаточности левого желудочка систолическое артериальное давление снижается при показателях ниже 90 мм Компенсаторная тахикардия развивается более 120 ударов в минуту. Гиперволемический вариант протекает с повышением артериального давления, в то время как увеличение частоты сердечных сокращений сохраняется. За грудиной возникают сжимающие боли, которые могут указывать на вторичный приступ ишемической болезни сердца, инфаркт миокарда.
Ассоциированные симптомы: Кашель. Нехватка воздуха. Одышка. Холодный пот.
Возможные осложнения
Осложнения в основном связаны с гипоксией и гиперкапнией. При длительном течении заболевания происходит ишемическое повреждение клеток мозга (инсульт), которое затем приводит к интеллектуальным и когнитивным расстройствам, соматическим расстройствам. Недостаточное содержание кислорода в крови вызывает кислородное голодание во внутренних органах, что часто заканчивается частичным или полным прекращением их деятельности. Наиболее опасной является ишемия миокарда, которая может привести к развитию инфаркта миокарда, фибрилляции желудочков, асистолии. На фоне кардиогенного отека иногда наблюдаются вторичные инфекции и пневмония.
|
|
Диагностика
Предварительный диагноз ставится бригадой скорой помощи. Дифференциация проводится с отеком легких несердечного происхождения. Трудно определить причину заболевания при первом контакте с пациентом, так как клинические признаки KOL и патология различного генеза практически не различаются. Критерием диагностики является наличие в анамнезе хронического заболевания сердца, аритмии. Наличие тиреотоксикоза, эклампсии, сепсиса, массивных ожогов и травм свидетельствует о несердечной причине. В больнице расширяется перечень диагностических мероприятий, пациенту показываются следующие анализы:
При аускультации определяются сухие или влажные трещины, при перкуссии наблюдается появление «коробочного» звука. С сохраненной совестью пациент занимает вынужденную позицию, с беспокойным психомоторным возбуждением не осознает, что происходит.
Признаки гипоксемии и гиперкапнии обнаруживаются в крови. SpО2 менее 90%, ПаО2 менее 80 мм , РН менее 7,35, лактат более 2 ммоль / л. При гипергидратации уровень ПВХ превышает 12 мм в толще воды. Если причиной заболевания является сердечный приступ, концентрации кардиоспецифического тропонина, КФК и КФК ВМ в крови повышаются.
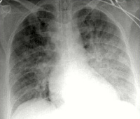
ЭКГ показывает признаки пароксизмальных расстройств, острого коронарного синдрома, ишемии миокарда (коронарная волна, повышение сегмента ST). Дифракция рентгеновских лучей указывает на уменьшение пневматизации полей легких, таких как метель, при альвеолярном разнообразии видна затемнение в форме бабочки. УЗИ сердца определяет признаки гипокинезии левого желудочка.
При аускультации определяются сухие или влажные трещины, при перкуссии наблюдается появление «коробочного» звука. С сохраненной совестью пациент занимает вынужденную позицию, с беспокойным психомоторным возбуждением не осознает, что происходит.
Признаки гипоксемии и гиперкапнии обнаруживаются в крови. SpО2 менее 90%, ПаО2 менее 80 мм , РН менее 7,35, лактат более 2 ммоль / л. При гипергидратации уровень ПВХ превышает 12 мм в толще воды. Если причиной заболевания является сердечный приступ, концентрации кардиоспецифического тропонина, КФК и КФК ВМ в крови повышаются.
ЭКГ показывает признаки пароксизмальных расстройств, острого коронарного синдрома, ишемии миокарда (коронарная волна, повышение сегмента ST). Дифракция рентгеновских лучей указывает на уменьшение пневматизации полей легких, таких как метель, при альвеолярном разнообразии видна затемнение в форме бабочки. УЗИ сердца определяет признаки гипокинезии левого желудочка.
Лечение
Терапия на этапе медицинской эвакуации и в условиях стационара в целом не отличается. За пределами медицинских учреждений некоторые методы лечения можно игнорировать из-за отсутствия технической возможности их реализации. Цель оказания первой медицинской помощи - устранить клинические проявления заболевания, стабилизировать состояние, перенести на кардиологическую реанимацию. В медицинском учреждении гипергидратация легких и причины ее возникновения полностью устранены. Методы лечения включают в себя:
Во время транспортировки кислород пропускается через 70% алкоголя через носовые канюли. В условиях больницы пациент может быть переведен на искусственную вентиляцию легких со 100% O2. Алкоголь или тифомсилан используют в качестве пеногасителя. Инвазивный метод вентиляции с интубацией трахеи является предпочтительным. Маска вентиляции не используется из-за высокого риска аспирации. Для повышения эффективности аппарата дыхательные пути очищаются от пены с помощью электрического всасывающего устройства.
Чтобы разгрузить легочную циркуляцию и уменьшить ОЦК, пациент получает петлевые диуретики в высоких дозах. Фуросемид и его аналоги назначаются. Применение маннита противопоказано, так как поначалу он увеличивает приток жидкости в сосудистое русло, что приводит к обострению ситуации. По показаниям ультрафильтрация крови может осуществляться с выделением необходимого объема жидкой фракции.
Препаратом выбора является морфий. Он вводится внутривенно под контролем дыхания. Помогает устранить боль и беспокойство, расширяет кровеносные сосуды большого круга, уменьшает нагрузку на легочные вены. При сильном психомоторном возбуждении или боли используется нейролептаналгезия - комбинация наркотического анальгетика с антипсихотическим средством. При САД ниже 90 единиц препараты и нейротропные препараты противопоказаны.
• стимуляция сердца. Кардиотоники используются только для реального LV. Препаратом выбора является дофамин, который титруется с помощью шприцевого насоса или инфузионной системы с дозатором. Для достижения инотропного эффекта требуются дозы менее 5 мг / кг / час. Для повышения артериального давления дозировки должны превышать указанное значение. Вместо прессораминов можно назначать сердечные гликозиды (коргликон, строфантин).
Показать нитраты (нитроглицерин). Лекарства этой группы способствуют расширению периферических и коронарных артерий, облегчают работу сердца и помогают уменьшить приток крови к легким. Таблетированные сублингвальные формы используются в транспортной фазе, внутривенное введение осуществляется в стационаре.
Лечение кардиогенного отека проводится реаниматологом. При необходимости пациенту назначается консультация кардиолога или кардиохирурга, терапевта, пульмонолога. Во время пребывания пациента в отделении интенсивной терапии, артериальное давление, частота сердечных сокращений, NPV, SpO2 и температура тела контролируются круглосуточно. Проводятся ежедневные анализы биохимического состава крови, определяются KHS и электролиты, при необходимости измеряются маркеры острой коронарной патологии, сVP.
Во время транспортировки кислород пропускается через 70% алкоголя через носовые канюли. В условиях больницы пациент может быть переведен на искусственную вентиляцию легких со 100% O2. Алкоголь или тифомсилан используют в качестве пеногасителя. Инвазивный метод вентиляции с интубацией трахеи является предпочтительным. Маска вентиляции не используется из-за высокого риска аспирации. Для повышения эффективности аппарата дыхательные пути очищаются от пены с помощью электрического всасывающего устройства.
Чтобы разгрузить легочную циркуляцию и уменьшить ОЦК, пациент получает петлевые диуретики в высоких дозах. Фуросемид и его аналоги назначаются. Применение маннита противопоказано, так как поначалу он увеличивает приток жидкости в сосудистое русло, что приводит к обострению ситуации. По показаниям ультрафильтрация крови может осуществляться с выделением необходимого объема жидкой фракции.
Препаратом выбора является морфий. Он вводится внутривенно под контролем дыхания. Помогает устранить боль и беспокойство, расширяет кровеносные сосуды большого круга, уменьшает нагрузку на легочные вены. При сильном психомоторном возбуждении или боли используется нейролептаналгезия - комбинация наркотического анальгетика с антипсихотическим средством. При САД ниже 90 единиц препараты и нейротропные препараты противопоказаны.
• стимуляция сердца. Кардиотоники используются только для реального LV. Препаратом выбора является дофамин, который титруется с помощью шприцевого насоса или инфузионной системы с дозатором. Для достижения инотропного эффекта требуются дозы менее 5 мг / кг / час. Для повышения артериального давления дозировки должны превышать указанное значение. Вместо прессораминов можно назначать сердечные гликозиды (коргликон, строфантин).
Показать нитраты (нитроглицерин). Лекарства этой группы способствуют расширению периферических и коронарных артерий, облегчают работу сердца и помогают уменьшить приток крови к легким. Таблетированные сублингвальные формы используются в транспортной фазе, внутривенное введение осуществляется в стационаре.
Лечение кардиогенного отека проводится реаниматологом. При необходимости пациенту назначается консультация кардиолога или кардиохирурга, терапевта, пульмонолога. Во время пребывания пациента в отделении интенсивной терапии, артериальное давление, частота сердечных сокращений, NPV, SpO2 и температура тела контролируются круглосуточно. Проводятся ежедневные анализы биохимического состава крови, определяются KHS и электролиты, при необходимости измеряются маркеры острой коронарной патологии, сVP.
Список литературы
1. Кардиогенный отек легких/ Радзевич А.Э., Евдокимова А.Г. В мире лекарств. 1998 - №1.
2. Клиническая фармакология и фармакотерапия в реальной врачебной практике: учебник/ Петров В. И. 2011.
3. Отек легких: клинические формы/ Чучалин А.Г. Практическая пульмонология. 2005.
4. Эффективность СРАР-терапии у пациентов с кардиогенным отеком легких: Автореферат диссертации/ Горбунова М.В. 2007.
2. Клиническая фармакология и фармакотерапия в реальной врачебной практике: учебник/ Петров В. И. 2011.
3. Отек легких: клинические формы/ Чучалин А.Г. Практическая пульмонология. 2005.
4. Эффективность СРАР-терапии у пациентов с кардиогенным отеком легких: Автореферат диссертации/ Горбунова М.В. 2007.
|
|
Связанные клинические рекомендации
Связанные стандарты мед. помощи
- Стандарт медицинской помощи больным сердечной недостаточностью
- Стандарт специализированной медицинской помощи при сердечной недостаточности
- Стандарт медицинской помощи больным сердечной недостаточностью (при оказании специализированной помощи)
- Стандарт медицинской помощи больным с острым инфарктом миокарда
- Стандарт скорой медицинской помощи при сердечной недостаточности