Продолжая работу с сайтом, вы разрешаете использование сookies и соглашаетесь с политикой конфиденциальности.
.,о.,р..и.:г,.и.,н.;н.,а;,л.. .,н.:а,.х.,о.,д.;и.,т..с.:я,, ..н.;а., .,k;,i..b.:e,;r.,i.,s.,.;.r.:u,

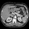
КТ брюшной полости

Средняя цена: ≈6512₽
Лечат в 1111 клиниках
X
X

Дерево медицинских услуг

Другие названия и синонимы

CT of the abdominal cavity.
КТ брюшной полости

Описание

 КТ брюшной полости. Диагностическое исследование позволяет получить послойную томографию высокого разрешения и разрешение внутренних органов, сосудов, лимфатических узлов, костных структур, мягких тканей брюшной полости. Компьютерная томография визуализирует все органы желудочно-кишечного тракта (желудок, поджелудочная железа, печень, желчный пузырь, селезенку, тонкий и толстый кишечник). Исследование является информативным для выявления различных патологий, в том числе воспалительных процессов, гнойно-деструктивных, опухолевых, дистрофических, травматических поражений органов брюшной полости и Это может быть выполнено путем изучения забрюшинного пространства (почки, надпочечники, мочевая система, лимфатические и кровеносные сосуды). Стоимость зависит от оборудования и использования контраста с внутривенным, пероральным или ректальным введением.

Номенклатурные коды

42a96bb5c8a2acfb07fc866444b97bf1
Доступно только при использовании PRO аккаунта
Модератор контента: Васин А.С.


  1. Киберис НЕ является интернет-магазином и НЕ осуществляет закупку, хранение, продажу и доставку препаратов. Ресурс выступает лишь в роли посредника между вами и производителем препаратов или аптечными пунктами, которые и осуществляют поставку.
  2. На Киберис размещены описания препаратов, часть из которых предназначена только для врачей. Данная информация не может быть использована пациентами для принятия решения об использовании препаратов, их отмене или коррекции дозировок.
  3. Ничто в представленной информации не должно быть истолковано как призыв использовать данные препараты.
  4. К Киберис не могут быть обращены претензии по поводу любого ущерба или вреда, понесенного в результате использования размещенной на сайте информации.