Продолжая работу с сайтом, вы разрешаете использование сookies и соглашаетесь с политикой конфиденциальности.
.,о.,р..и.:г,.и.,н.;н.,а;,л.. .,н.:а,.х.,о.,д.;и.,т..с.:я,, ..н.;а., .,k;,i..b.:e,;r.,i.,s.,.;.r.:u,

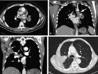
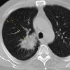
КТ легких

Средняя цена: ≈4890₽
Лечат в 434 клиниках
X
X

Дерево медицинских услуг

  1. Описание
  2. Дополнительные факты
  3. Оценка результатов
  4. Возможные осложнения
  5. Номенклатурные коды

Другие названия и синонимы

CT of the lungs.
КТ легких

Описание

 Компьютерная томография легких. Метод лучевой диагностики, основанный на получении изображений тканей и структур легких в виде слоистых срезов толщиной 0,1-1 Использование КТ легких, раковые процессы и их распространенность, повреждение внутригрудных лимфатических узлов, образование средостения, патологические изменения в ткани легких и плевральной полости, легочная артерия, грудная аорта, состояния полой вены верхняя, трахея и бронхи различного калибра. В зависимости от цели исследования с помощью КТ возможно использование «легочного» режима или метода обследования органов средостения; Вы можете улучшить контрастность, чтобы улучшить качество изображения.

Дополнительные факты

 При компьютерной томографии легких получают многослойные рентгеновские срезы с шагом от 0,1 до 1 см в результате специального кругового сканирования области грудной клетки узким лучом и последующей компьютерной реконструкции изображения. Использование «легочного режима» при КТ легкого позволяет исследовать междолевые трещины, межсегментные перегородки, крупные, долевые и сегментарные бронхи, легочные сосуды различного калибра. В режиме «средостения» исследуются трахея, сердце, восходящая и нисходящая аорта, верхняя полая вена, легочный ствол и его ветви, а также лимфатические узлы ворот.
 Используя компьютерную томографию легких, мы визуализируем структуры, которые невозможно различить с помощью флюорографии и рентгенографии легких. Кроме того, компьютерная томография легких исключает проекцию слоев ткани, через которые проникает рентгеновское излучение, что значительно увеличивает вычислительную томографию. Чувствительность КТ при выявлении патологии легких составляет около 94%, а рентгенография грудной клетки - около 80%. Обнаружение рентгенологических морфологических признаков патологии при КТ легких достигается на ранних стадиях заболевания, что привело к широкому применению этого метода. Тем не менее, согласно канонам, существующим в пульмонологии, КТ легких всегда должна предшествовать рентгенограмме.
КТ легких

Оценка результатов

 Когда КТ легких интерпретируется рентгенологом, изучаются положение и размеры легких, наличие аномалий в них; состояние паренхимы легких в связи с наличием инфильтратов, полостей, образований, быков; воздушность легочной ткани; состояние трахеобронхиального дерева, сосудов, лимфатических узлов, средостения, волокон, плевральных полостей, ребер, мягких тканей грудной клетки. Обычно компьютерная томография легких не выявляет инфильтративных и очаговых изменений в ткани легких. Интраторакальные лимфатические узлы не увеличены. Анатомические структуры средостения дифференцированы без изменений, сердце имеет правильную конфигурацию. Свободной жидкости в полостях плевры и перикарда не обнаружено. Просвет бронхов и трахеи не изменился. Заключение Компьютерная томография легких помогает клиницисту (пневмологу, терапевту, торакальному хирургу, специалисту по туберкулезу, кардиологу) уточнить диагноз и определить последующую тактику.

Возможные осложнения

 Осложнения компьютерной томографии легких могут быть связаны с внутривенными контрастами и проявляться как крапивница или анафилактические реакции. Токсичность контрастного вещества может вызвать почечную недостаточность у пациентов с начальной почечной дисфункцией, дегидратацией и сахарным диабетом. Кормящие женщины могут возобновить грудное вскармливание через день после сканирования легких с использованием контрастного вещества. Активная доза облучения при КТ легких выше, чем при рентгенографии или флюорографии, и составляет приблизительно 10 мЗвт. В целом, диагностический потенциал КТ легких перевешивает риски, связанные с воздействием и использованием контрастных веществ.

Номенклатурные коды

42a96bb5c8a2acfb07fc866444b97bf1
Доступно только при использовании PRO аккаунта
Модератор контента: Васин А.С.


  1. Киберис НЕ является интернет-магазином и НЕ осуществляет закупку, хранение, продажу и доставку препаратов. Ресурс выступает лишь в роли посредника между вами и производителем препаратов или аптечными пунктами, которые и осуществляют поставку.
  2. На Киберис размещены описания препаратов, часть из которых предназначена только для врачей. Данная информация не может быть использована пациентами для принятия решения об использовании препаратов, их отмене или коррекции дозировок.
  3. Ничто в представленной информации не должно быть истолковано как призыв использовать данные препараты.
  4. К Киберис не могут быть обращены претензии по поводу любого ущерба или вреда, понесенного в результате использования размещенной на сайте информации.