Продолжая работу с сайтом, вы разрешаете использование сookies и соглашаетесь с политикой конфиденциальности.
.,о.,р..и.:г,.и.,н.;н.,а;,л.. .,н.:а,.х.,о.,д.;и.,т..с.:я,, ..н.;а., .,k;,i..b.:e,;r.,i.,s.,.;.r.:u,

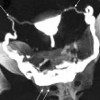
КТ-гистеросальпингография

Средняя цена: ≈17149₽
Лечат в 9 клиниках
X
X

Дерево медицинских услуг

Другие названия и синонимы

CT hysterosalpingography.
КТ-гистеросальпингография

Описание

 КТ-гистеросальпингография. Высокотехнологичный метод изучения состояния женской репродуктивной системы, основанный на рентгеновском сканировании матки и придатков с получением поперечных срезов органов. Выполняется после введения рентгеноконтрастного вещества в полость матки. Исследование чаще всего назначается для выяснения причин женского бесплодия, является современной альтернативой рентгеновской ГСГ. Позволяет диагностировать пороки развития матки, внутриматочную патологию, непроходимость маточных труб, новообразования, спаечный процесс в малом тазу. На ценообразование влияет стоимость контраста и расходных материалов.
42a96bb5c8a2acfb07fc866444b97bf1
Доступно только при использовании PRO аккаунта
Модератор контента: Васин А.С.


  1. Киберис НЕ является интернет-магазином и НЕ осуществляет закупку, хранение, продажу и доставку препаратов. Ресурс выступает лишь в роли посредника между вами и производителем препаратов или аптечными пунктами, которые и осуществляют поставку.
  2. На Киберис размещены описания препаратов, часть из которых предназначена только для врачей. Данная информация не может быть использована пациентами для принятия решения об использовании препаратов, их отмене или коррекции дозировок.
  3. Ничто в представленной информации не должно быть истолковано как призыв использовать данные препараты.
  4. К Киберис не могут быть обращены претензии по поводу любого ущерба или вреда, понесенного в результате использования размещенной на сайте информации.