Другие названия и синонимы
MRI of the abdominal cavity.
Описание
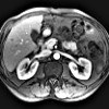
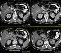
МРТ брюшной полости. Современный метод диагностики, основанный на явлении ядерного магнитного резонанса и применяемый с целью определения патологических изменений во внутренних органах. С помощью процедуры удается визуализировать полые и паренхиматозные структуры: печень, почки, поджелудочную железу, селезенку, пищеварительный канал. В ходе МРТ брюшной полости возможна оценка состояния кровеносных и лимфатических сосудов, расположенных в данной анатомической зоне. Исследование позволяет диагностировать дегенеративные, воспалительные и опухолевые процессы, определять перемещение физиологических жидкостей, выявлять травматические повреждения. МРТ брюшной полости является неинвазивным методом диагностики, может осуществляться нативно или с использованием контраста.
|
|
Дополнительные факты
Магнитный резонанс забрюшинного пространства, включая подготовку, занимает около 30-45 минут, при необходимости продолжительность исследования увеличивается. Осложнения могут быть связаны с нарушением функции почек (с использованием контраста) или наличием металлических структур в теле пациента. Контрастная аллергия встречается крайне редко. Заключение по данным, полученным во время забрюшинной МРТ, готовится врачом в течение нескольких часов или одного дня и оформляется в виде печатного или рукописного документа с изображениями. По желанию субъекта возможно записать данные на цифровой носитель (диск или флеш-диск).
Магнитно-резонансная томография брюшной полости использовалась в медицине в течение относительно короткого времени - с 1980-х годов, за это время, метод был признан одним из наиболее информативных и безопасных для здоровья пациента. В исследовании используются электромагнитные волны определенной частоты, которые взаимодействуют с атомами водорода, расположенными в клетках человеческого организма. Во время магнитно-резонансной томографии брюшной полости специалист получает несколько изображений исследуемого органа в разных проекциях и плоскостях. Это позволяет построить трехмерную модель исследуемой области, определить характеристики анатомического строения органов, оценить размеры, структуру и другие характеристики патологических очагов, диагностировать заболевания даже на ранних стадиях развития, еще до симптомы.
Безопасность техники позволяет сканировать даже детям и беременным женщинам (начиная со второго триместра). МРТ брюшной полости имеет клиническое значение для таких областей практической медицины, как гастроэнтерология, абдоминальная хирургия, сосудистая хирургия, ангиология. МРТ брюшной полости также довольно популярна в онкологии, поскольку показывает точное местоположение опухоли, ее размер и степень распространения в различных анатомических структурах. Использование контрастного вещества позволяет четко визуализировать сосуды, выявить участки нарушения кровотока и лимфотока, воспалительные изменения.
Магнитно-резонансная томография брюшной полости использовалась в медицине в течение относительно короткого времени - с 1980-х годов, за это время, метод был признан одним из наиболее информативных и безопасных для здоровья пациента. В исследовании используются электромагнитные волны определенной частоты, которые взаимодействуют с атомами водорода, расположенными в клетках человеческого организма. Во время магнитно-резонансной томографии брюшной полости специалист получает несколько изображений исследуемого органа в разных проекциях и плоскостях. Это позволяет построить трехмерную модель исследуемой области, определить характеристики анатомического строения органов, оценить размеры, структуру и другие характеристики патологических очагов, диагностировать заболевания даже на ранних стадиях развития, еще до симптомы.
Безопасность техники позволяет сканировать даже детям и беременным женщинам (начиная со второго триместра). МРТ брюшной полости имеет клиническое значение для таких областей практической медицины, как гастроэнтерология, абдоминальная хирургия, сосудистая хирургия, ангиология. МРТ брюшной полости также довольно популярна в онкологии, поскольку показывает точное местоположение опухоли, ее размер и степень распространения в различных анатомических структурах. Использование контрастного вещества позволяет четко визуализировать сосуды, выявить участки нарушения кровотока и лимфотока, воспалительные изменения.
Показания к применению
Технология безопасности позволяет сканировать даже детям и беременным женщинам (начиная со второго триместра). МРТ брюшной полости имеет клиническое значение для таких областей практической медицины, как гастроэнтерология, абдоминальная хирургия, сосудистая хирургия, ангиология. МРТ брюшной полости также довольно популярна в онкологии, поскольку показывает точное расположение опухоли, ее размеры и степень распространения в различных анатомических структурах. Использование контрастного вещества позволяет четко визуализировать сосуды, выявить участки нарушения кровотока и лимфотока, воспалительные изменения.
МРТ брюшной полости имеет клиническое значение при диагностике опухолевых процессов, расположенных в брюшной полости. Он способен визуализировать злокачественные и доброкачественные новообразования. Особенно важно проводить сканирование при наличии новообразований, склонных к быстрому росту и метастазированию, в частности, при подозрении на ангиосаркому печени. МРТ брюшной полости позволяет определить точное расположение и размеры патологического очага, определить наличие метастазов и их распространенность. Магнитно-резонансная томография также рекомендуется в качестве дополнительного метода диагностики для различных желудочно-кишечных заболеваний: панкреатит, хронический гепатит и цирроз печени. При наличии противопоказаний при рентгенографии и эндоскопических исследованиях для диагностики заболеваний полых органов (желчного пузыря, желчных протоков, кишечника) применяется МРТ брюшной полости. Используя контрастное сканирование, можно визуализировать протоки желчного пузыря и поджелудочной железы, выявить воспаление, наличие камней.
Магнитно-резонансная томография брюшной полости имеет клиническое значение при диагностике опухолевых процессов, расположенных в брюшной полости. Он способен визуализировать злокачественные и доброкачественные новообразования. Особенно важно сканировать опухоли, склонные к быстрому росту и метастазированию, особенно в случаях подозрения на ангиосаркому печени. Магнитно-резонансная томография брюшной полости позволяет определить точное местоположение и размеры патологического очага, определить наличие метастазов и их распространенность. Магнитно-резонансная томография также рекомендуется в качестве дополнительного метода диагностики при различных желудочно-кишечных заболеваниях: панкреатите, хроническом гепатите и циррозе печени. При наличии противопоказаний для рентгенографических и эндоскопических исследований магнитно-резонансная томография брюшной полости используется для диагностики заболеваний полых органов (желчного пузыря, желчных протоков, кишечника). Используя контрастное сканирование, вы можете визуализировать протоки желчного пузыря и поджелудочной железы, чтобы выявить воспаление, наличие камней.
МРТ брюшной полости имеет клиническое значение при диагностике опухолевых процессов, расположенных в брюшной полости. Он способен визуализировать злокачественные и доброкачественные новообразования. Особенно важно проводить сканирование при наличии новообразований, склонных к быстрому росту и метастазированию, в частности, при подозрении на ангиосаркому печени. МРТ брюшной полости позволяет определить точное расположение и размеры патологического очага, определить наличие метастазов и их распространенность. Магнитно-резонансная томография также рекомендуется в качестве дополнительного метода диагностики для различных желудочно-кишечных заболеваний: панкреатит, хронический гепатит и цирроз печени. При наличии противопоказаний при рентгенографии и эндоскопических исследованиях для диагностики заболеваний полых органов (желчного пузыря, желчных протоков, кишечника) применяется МРТ брюшной полости. Используя контрастное сканирование, можно визуализировать протоки желчного пузыря и поджелудочной железы, выявить воспаление, наличие камней.
Магнитно-резонансная томография брюшной полости имеет клиническое значение при диагностике опухолевых процессов, расположенных в брюшной полости. Он способен визуализировать злокачественные и доброкачественные новообразования. Особенно важно сканировать опухоли, склонные к быстрому росту и метастазированию, особенно в случаях подозрения на ангиосаркому печени. Магнитно-резонансная томография брюшной полости позволяет определить точное местоположение и размеры патологического очага, определить наличие метастазов и их распространенность. Магнитно-резонансная томография также рекомендуется в качестве дополнительного метода диагностики при различных желудочно-кишечных заболеваниях: панкреатите, хроническом гепатите и циррозе печени. При наличии противопоказаний для рентгенографических и эндоскопических исследований магнитно-резонансная томография брюшной полости используется для диагностики заболеваний полых органов (желчного пузыря, желчных протоков, кишечника). Используя контрастное сканирование, вы можете визуализировать протоки желчного пузыря и поджелудочной железы, чтобы выявить воспаление, наличие камней.
Противопоказания
МРТ брюшной полости позволяет выявлять скрытые кровотечения, оценивать кровоток в брюшной аорте и других крупных сосудах в этой области, а также диагностировать тромботические поражения, аневризмы и сужения. Кроме того, МРТ брюшной полости используется для диагностики врожденных аномалий и дегенеративных изменений во внутренних органах. Эксперты могут ссылаться на магнитно-резонансную томографию для боли в правом подреберье и в области, где проецируется поджелудочная железа, при наличии постоянной тошноты или повторной рвоты, обесцвечивания мочи и стула, с пожелтением кожи.
МРТ брюшной полости позволяет обнаружить скрытое кровотечение, оценить кровоток в брюшной аорте и других крупных сосудах в этой области, а также диагностировать тромботические поражения, аневризмы и стриктуры. Кроме того, МРТ брюшной полости используется для диагностики врожденных аномалий и дегенеративных изменений во внутренних органах. Эксперты могут обратиться к магнитно-резонансной томографии для боли в правом подреберье и в проецируемой области поджелудочной железы, с постоянной тошнотой или многократной рвотой, обесцвечиванием мочи и стула, с пожелтением кожи.
При использовании контрастного вещества МРТ брюшной полости противопоказана при наличии аллергии на препарат, а также в случаях тяжелой почечной недостаточности, поскольку используемое вещество выводится из брюшной полости. тело почками. В качестве противопоказания к выполнению КТ также учитывают период беременности из-за возможного негативного воздействия контрастного вещества на плод. По той же причине, МРТ брюшной полости не рекомендуется во время кормления грудью. В случае контраста женщина должна исключить грудное вскармливание на 2 дня. Относительным противопоказанием является необходимость постоянного мониторинга состояния пациента и искусственной вентиляции легких.
МРТ брюшной полости позволяет обнаружить скрытое кровотечение, оценить кровоток в брюшной аорте и других крупных сосудах в этой области, а также диагностировать тромботические поражения, аневризмы и стриктуры. Кроме того, МРТ брюшной полости используется для диагностики врожденных аномалий и дегенеративных изменений во внутренних органах. Эксперты могут обратиться к магнитно-резонансной томографии для боли в правом подреберье и в проецируемой области поджелудочной железы, с постоянной тошнотой или многократной рвотой, обесцвечиванием мочи и стула, с пожелтением кожи.
При использовании контрастного вещества МРТ брюшной полости противопоказана при наличии аллергии на препарат, а также в случаях тяжелой почечной недостаточности, поскольку используемое вещество выводится из брюшной полости. тело почками. В качестве противопоказания к выполнению КТ также учитывают период беременности из-за возможного негативного воздействия контрастного вещества на плод. По той же причине, МРТ брюшной полости не рекомендуется во время кормления грудью. В случае контраста женщина должна исключить грудное вскармливание на 2 дня. Относительным противопоказанием является необходимость постоянного мониторинга состояния пациента и искусственной вентиляции легких.
Подготовка
При использовании контрастного вещества магнитно-резонансная томография брюшной полости противопоказана при наличии лекарственной аллергии, а также в случаях тяжелой почечной недостаточности, поскольку используемое вещество удаляется из брюшной полости. тело почками. В качестве противопоказания к применению КТ следует также учитывать период беременности из-за возможных негативных воздействий контрастного вещества на плод. По этой же причине магнитно-резонансная томография брюшной полости не рекомендуется во время кормления грудью. В случае контраста женщина должна исключить грудное вскармливание на 2 дня. Относительным противопоказанием является необходимость постоянного мониторинга состояния пациента и искусственной вентиляции легких.
Методика проведения
На начальном этапе исследования пациенту назначают УЗИ и рентгенологическое исследование патологического участка. При использовании контраста проводится оценка функции почек и тест чувствительности к лекарственным препаратам. Для улучшения визуализации рекомендуется использовать диету без углеводов в течение недели перед сканированием брюшного магнитного резонанса. В течение двух дней следует избегать употребления продуктов, которые увеличивают выработку газа: черный хлеб, свежие овощи и фрукты и бобовые. За 6-8 часов до манипуляции необходимо воздержаться от еды. Воду можно употреблять не позднее, чем за четыре часа до МРТ брюшной полости. За 40-60 минут до сканирования необходимо принять активированный уголь или другой энтеросорбент, чтобы свести к минимуму выработку газа в кишечнике.
МРТ брюшной полости поддерживается в пределах 30-120 минут, в зависимости от размера исследуемой области, толщины слоя. После сканирования диагност может сделать предварительные выводы о состоянии здоровья пациента. Расшифровка МРТ брюшной полости займет от 2-3 часов до нескольких дней. Пациент получает письменное заявление и фотографии, хранящиеся на электронных носителях. При наличии патологических изменений по данным МРТ брюшной полости пациент должен связаться со своим врачом (врачом общей практики, гастроэнтерологом, ангиологом, абдоминальным хирургом ), Чтобы уточнить диагноз и составить план лечения.
МРТ брюшной полости поддерживается в пределах 30-120 минут, в зависимости от размера исследуемой области, толщины слоя. После сканирования диагност может сделать предварительные выводы о состоянии здоровья пациента. Расшифровка МРТ брюшной полости займет от 2-3 часов до нескольких дней. Пациент получает письменное заявление и фотографии, хранящиеся на электронных носителях. При наличии патологических изменений по данным МРТ брюшной полости пациент должен связаться со своим врачом (врачом общей практики, гастроэнтерологом, ангиологом, абдоминальным хирургом ), Чтобы уточнить диагноз и составить план лечения.
|
|