Другие названия и синонимы
Chest MRI.
Описание
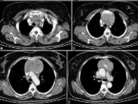
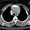
МРТ молочной железы. Послойное сканирование органов грудной клетки с помощью радиочастотной энергии в сильном магнитном поле. Это позволяет проводить неинвазивное исследование легких, плевры, органов средостения, тканей молочной железы и очищать данные от других инструментальных методов визуализации (рентген, КТ молочной железы). МРТ молочных желез наиболее полезна для диагностики поражений легких и средостения и оценки их проникновения в окружающие структуры. МРТ может обнаружить поражения лимфатических узлов (с лимфогранулематозом, туберкулезом, метастазированием ), Патологическое развитие органов, патологию брюшной аорты (аневризма, диссекция), экссудативный плеврит и перикардит При наличии показаний МРТ органов грудной клетки выполняется с контрастным усилением.
|
|
Дополнительные факты
Магнитно-резонансная томография грудной клетки использовалась в клинической практике в течение относительно короткого времени с конца 1970-х годов. В России исследование было доступно примерно на 10-15 лет позже, чем в европейских странах. В последние годы магнитно-резонансная томография грудной клетки была продемонстрирована при исследовании органов средостения и других структур этой анатомической зоны. Возможность получения нескольких изображений в слоях с последующим формированием трехмерной модели позволяет идентифицировать патологические очаги на доклинической стадии, безопасно определять их местоположение, точно дифференцировать различные заболевания в тех случаях, когда другие методы недостаточно информативны. Магнитно-резонансная томография грудной клетки превосходит компьютерную томографию, УЗИ и рентгенографию с точным определением границ патологических очагов. Еще одним значительным преимуществом магнитно-резонансной томографии является отсутствие радиационного воздействия.
Недостатки методики включают относительно высокую стоимость магнитно-резонансной томографии грудной клетки в Москве и регионах, а также недоступность магнитно-резонансной томографии в небольших городах и деревнях. Исследование проводится на современном и дорогом аппарате, приобретение которого зачастую невозможно для провинциальных муниципальных учреждений. Другие недостатки магнитно-резонансной томографии включают в себя необходимость поддерживать полную неподвижность и, следовательно, снижение качества информации из-за дыхательных движений, а также влияние магнитного поля на металлические конструкции и электронные имплантаты, что противопоказано при наличии этих устройств.
Недостатки методики включают относительно высокую стоимость магнитно-резонансной томографии грудной клетки в Москве и регионах, а также недоступность магнитно-резонансной томографии в небольших городах и деревнях. Исследование проводится на современном и дорогом аппарате, приобретение которого зачастую невозможно для провинциальных муниципальных учреждений. Другие недостатки магнитно-резонансной томографии включают в себя необходимость поддерживать полную неподвижность и, следовательно, снижение качества информации из-за дыхательных движений, а также влияние магнитного поля на металлические конструкции и электронные имплантаты, что противопоказано при наличии этих устройств.
Показания к применению
МРТ грудной клетки используется в пульмонологии, онкологии, грудной и сосудистой хирургии, редко в физиологии и эндокринологии (для тестирования вилочковой железы), проводимой после других инструментальных тестов, если информация, полученная во время диагностических процедур, не позволяет надежно определить наличие, структуру и распространение патологических процессов в грудной клетке. Обычно методика рекомендуется после рентгенологического исследования, иногда - после УЗИ и КТ. Целью МРТ грудной клетки является объяснение диагноза, различение различных заболеваний, разработка программы консервативного лечения, подготовка к операции, контроль эффективности терапии или операции и выявление рецидивов в нужное время.
МРТ грудной клетки используется для оценки состояния легких, плевры, органов и тканей средостения (трахеи, пищевода, кровеносных сосудов, лимфатических узлов, тимуса, жировой ткани), а также мышц и тканей. подкожная жировая клетчатка Диагностическая ценность МРТ при исследовании легочной ткани зависит от типа патологии, многие заболевания лучше или с той же точностью, что и при сканировании. МРТ грудной клетки менее информативна при исследовании ребер и грудины, но иногда успешно используется для выявления новообразований костной и хрящевой структур, для диагностики травматических повреждений и аномалий развития.
В онкологии МРТ молочной железы проводится при диагностике рака легких, рака плевры, опухолей реберной ткани и грудины (остеомы, хондромы, остеобластокластомы и ), Злокачественных и доброкачественных новообразований средостения. Кроме того, МРТ грудной клетки можно использовать для выявления метастазов из опухолей других участков ткани легкого и для оценки участия лимфатических узлов в злокачественных новообразованиях органов грудной клетки и некоторых других онкологических процессах (например, лимфогранулематозе). Во время процедуры определяется топология новообразования, прорастание соседних анатомических структур подтверждается или исключается. Этот метод редко используется врачами, так как более рентабельная компьютерная томография для диагностики туберкулезных процессов в легочной ткани не уступает МРТ молочной железы. Однако иногда исследование используется для выявления изменений в средостенных лимфатических узлах. Сосудистые хирурги назначают МРТ для выявления врожденных аномалий и приобретенных патологий сосудов средостения.
При ателектазе легких проводится МРТ грудной клетки, чтобы выяснить причину развития заболевания (компрессия бронха с опухшей опухолью или лимфатическим узлом, блокада инородным телом, падение легкого или части легкого во время бронхита или пневмонии),МРТ грудной клетки в некоторых случаях применяют при бронхоэктазии, плеврите, абсцессе и гангрене легкого. Исследование эффективно при диагностике очагов гнойных инфекций, расположенных в мягких тканях (например, под большой грудной мышцей). Кроме того, МРТ грудной клетки иногда назначают при травматических поражениях этой анатомической зоны (например, разрыве легких с образованием пневмоторакса или гемоторакса), во время патологических процессов, происходящих в отдаленном периоде после травм, операций, воспалительных и инфекционных заболеваний.
МРТ грудной клетки используется для оценки состояния легких, плевры, органов и тканей средостения (трахеи, пищевода, кровеносных сосудов, лимфатических узлов, тимуса, жировой ткани), а также мышц и тканей. подкожная жировая клетчатка Диагностическая ценность МРТ при исследовании легочной ткани зависит от типа патологии, многие заболевания лучше или с той же точностью, что и при сканировании. МРТ грудной клетки менее информативна при исследовании ребер и грудины, но иногда успешно используется для выявления новообразований костной и хрящевой структур, для диагностики травматических повреждений и аномалий развития.
В онкологии МРТ молочной железы проводится при диагностике рака легких, рака плевры, опухолей реберной ткани и грудины (остеомы, хондромы, остеобластокластомы и ), Злокачественных и доброкачественных новообразований средостения. Кроме того, МРТ грудной клетки можно использовать для выявления метастазов из опухолей других участков ткани легкого и для оценки участия лимфатических узлов в злокачественных новообразованиях органов грудной клетки и некоторых других онкологических процессах (например, лимфогранулематозе). Во время процедуры определяется топология новообразования, прорастание соседних анатомических структур подтверждается или исключается. Этот метод редко используется врачами, так как более рентабельная компьютерная томография для диагностики туберкулезных процессов в легочной ткани не уступает МРТ молочной железы. Однако иногда исследование используется для выявления изменений в средостенных лимфатических узлах. Сосудистые хирурги назначают МРТ для выявления врожденных аномалий и приобретенных патологий сосудов средостения.
При ателектазе легких проводится МРТ грудной клетки, чтобы выяснить причину развития заболевания (компрессия бронха с опухшей опухолью или лимфатическим узлом, блокада инородным телом, падение легкого или части легкого во время бронхита или пневмонии),МРТ грудной клетки в некоторых случаях применяют при бронхоэктазии, плеврите, абсцессе и гангрене легкого. Исследование эффективно при диагностике очагов гнойных инфекций, расположенных в мягких тканях (например, под большой грудной мышцей). Кроме того, МРТ грудной клетки иногда назначают при травматических поражениях этой анатомической зоны (например, разрыве легких с образованием пневмоторакса или гемоторакса), во время патологических процессов, происходящих в отдаленном периоде после травм, операций, воспалительных и инфекционных заболеваний.
Противопоказания
Техника не используется в первом триместре беременности. Магнитно-резонансная томография грудной клетки не назначается при наличии ферромагнитных имплантатов для каких-либо целей (от пластин и лучей, используемых для фиксации переломов до сосудистых зажимов) и сложных электронных устройств в теле пациента. Существуют ограничения из-за пропускной способности оборудования и размера туннельного сканера. Перечисленные параметры могут различаться в зависимости от типа устройства. Кроме того, магнитно-резонансная томография грудной клетки обычно не выполняется при клаустрофобии, гиперкинезе и психических расстройствах, которые затрудняют поддержание неподвижности или понимание и выполнение инструкций врача. При необходимости пациентам с клаустрофобией выполняют магнитно-резонансную томографию грудной клетки в аппарате открытого типа или назначают успокоительные средства. В условиях, которые препятствуют неподвижности, используют анестезию, противосудорожные препараты и другие лекарства (в зависимости от характера состояния). Исследование маленьких детей проводится под общим наркозом.
МРТ молочной железы с контрастным веществом противопоказан при наличии аллергической реакции на соли гадолиния и при заболеваниях мочевой системы с выраженной почечной недостаточностью. Кроме того, исследования контрастного вещества не назначаются во втором и третьем триместрах беременности. Грудное вскармливание не считается противопоказанием для МРТ молочной железы с контрастным усилением, если пациент не употребляет пищу в течение 48 часов после завершения процедуры (до тех пор, пока добавки гадолиния полностью не выводятся из организма).
МРТ молочной железы с контрастным веществом противопоказан при наличии аллергической реакции на соли гадолиния и при заболеваниях мочевой системы с выраженной почечной недостаточностью. Кроме того, исследования контрастного вещества не назначаются во втором и третьем триместрах беременности. Грудное вскармливание не считается противопоказанием для МРТ молочной железы с контрастным усилением, если пациент не употребляет пищу в течение 48 часов после завершения процедуры (до тех пор, пока добавки гадолиния полностью не выводятся из организма).
Подготовка
При выполнении нативной МРТ грудной клетки подготовка не требуется. Перед контрастным исследованием проводятся лабораторные тесты для выявления почечной дисфункции, а кожный тест - для исключения любой возможности аллергии на гадолиний. Пациент представляет специалисту результаты предыдущих диагностических процедур, заключения врачей и выписки из медицинских карт, удаляет все металлические предметы и их принадлежности и оставляет их в соседней комнате. В некоторых клиниках пациенту предлагается переодеться в одноразовое нижнее белье, в то время как в других допустимо осмотреть предмет одежды, если он не содержит его части. металл.
Методика проведения
Пациент проходит в комнату с помощью МРТ грудной клетки и лежит на спине на подвижном столе, который проталкивается в туннель для оборудования (при использовании аппарата закрытого типа) или помещается под установленным устройством (при использовании открыт) инструмент. Контраст вводится внутривенно, если необходимо, для определения инфузионной системы. Магнитно-резонансная томография грудной клетки абсолютно безболезненная. Некоторые пациенты отмечают ощущение покалывания и жара, при введении контраста возможен небольшой дискомфорт. Появление выраженного дискомфорта в процессе исследования является причиной немедленного общения с врачом-диагностом с помощью микрофона. Магнитно-резонансная томография грудной клетки занимает от 30 до 60 минут (иногда дольше), в зависимости от типа процедуры (нативная или контрастная).
Пациент может пойти домой сразу после завершения МРТ грудной клетки. С введением анестезирующих препаратов пациент остается в медицинском учреждении, пока состояние не нормализуется, при использовании седативных средств может потребоваться техническое обслуживание. Заключение обычно составляется в течение 24 часов или раньше и предоставляется пациенту в печатном виде. Можно записывать на диск, USB-накопитель или другие электронные носители. При обнаружении аномалий по данным МРТ грудной клетки необходимо обратиться к специалисту, который обратился к процедуре диагностики и тактике лечения.
Пациент может пойти домой сразу после завершения МРТ грудной клетки. С введением анестезирующих препаратов пациент остается в медицинском учреждении, пока состояние не нормализуется, при использовании седативных средств может потребоваться техническое обслуживание. Заключение обычно составляется в течение 24 часов или раньше и предоставляется пациенту в печатном виде. Можно записывать на диск, USB-накопитель или другие электронные носители. При обнаружении аномалий по данным МРТ грудной клетки необходимо обратиться к специалисту, который обратился к процедуре диагностики и тактике лечения.