Другие названия и синонимы
MRI of the liver.
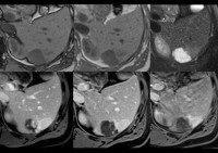
Описание
МРТ печени. Метод неинвазивного визуального обследования печени и желчевыводящих путей, основанный на изменении полярности атомов водорода в организме под воздействием радиоволн и постоянного магнитного поля. Используется для получения информации о однородности и плотности паренхимы печени, а также для исследования сосудов и желчных протоков. МРТ печени используется для диагностики объемных образований различной природы, воспалительных процессов, атрофии, структурных изменений. Методика используется для подтверждения аномалий развития, наличия камней и оценки общего состояния организма. Проводится амбулаторно или в стационаре с внутривенным контрастированием. Требуется самостоятельная подготовка к экзамену в течение двух дней.
|
|
Дополнительные факты
Магнитно-резонансная томография печени использовалась в клинической медицине с конца прошлого века, но не относится к рутинным диагностическим методам из-за ее высокой стоимости. Сканирование отличается точностью полученных данных благодаря снимкам отдельных срезов с минимальным расстоянием между ними. На основании полученных результатов также возможно построить трехмерную модель. В связи с этим магнитно-резонансная томография печени обычно назначается после скрининга диагностических процедур (УЗИ печени и желчного пузыря) для уточнения и дополнения результатов. Это имеет практическое значение в гастроэнтерологии, хирургии и онкологии.
УЗИ печени - это обычное обследование на наличие подозрений на патологию в данной области. Несмотря на низкое разрешение изображения, методика позволяет обнаруживать воспалительные процессы и различные образования. Однако во многих случаях у специалиста нет четкого представления о структуре образования, нет возможности провести различие между злокачественной опухолью, гемангиомой и жирными печенками, чтобы определить содержание кисты. Кроме того, небольшие желчные карциномы часто теряются из-за низкого разрешения изображения. Таким образом, ультразвук исследует состояние органа, его размер и внутреннюю структуру в целом, а МРТ печени дает представление о природе образований, что чрезвычайно важно при планировании дополнительной терапии, особенно если подозревается процесс рака.
В связи с высокой точностью анализа, МРТ печени используется в послеоперационный период. В этом случае УЗИ не имеет диагностической ценности, целью исследования является контроль эффективности лечения, поиск возможных последствий, связанных с техникой операции, а также выявление метастазы. В связи с этим необходимо наиболее детальное изучение области исследования. Таким образом, МРТ печени дает полную информацию о структуре печени и желчных протоков и обычно используется после УЗИ, когда необходимо уточнить диагноз, спланировать лечение или определить эффективность лечения.,Основным преимуществом УЗИ является безопасность процедуры во время беременности, тогда как использование МРТ печени в таких случаях ограничено.
УЗИ печени - это обычное обследование на наличие подозрений на патологию в данной области. Несмотря на низкое разрешение изображения, методика позволяет обнаруживать воспалительные процессы и различные образования. Однако во многих случаях у специалиста нет четкого представления о структуре образования, нет возможности провести различие между злокачественной опухолью, гемангиомой и жирными печенками, чтобы определить содержание кисты. Кроме того, небольшие желчные карциномы часто теряются из-за низкого разрешения изображения. Таким образом, ультразвук исследует состояние органа, его размер и внутреннюю структуру в целом, а МРТ печени дает представление о природе образований, что чрезвычайно важно при планировании дополнительной терапии, особенно если подозревается процесс рака.
В связи с высокой точностью анализа, МРТ печени используется в послеоперационный период. В этом случае УЗИ не имеет диагностической ценности, целью исследования является контроль эффективности лечения, поиск возможных последствий, связанных с техникой операции, а также выявление метастазы. В связи с этим необходимо наиболее детальное изучение области исследования. Таким образом, МРТ печени дает полную информацию о структуре печени и желчных протоков и обычно используется после УЗИ, когда необходимо уточнить диагноз, спланировать лечение или определить эффективность лечения.,Основным преимуществом УЗИ является безопасность процедуры во время беременности, тогда как использование МРТ печени в таких случаях ограничено.
Показания к применению
МРТ печени назначают при многих заболеваниях гепатобилиарной системы. Показаниями к обследованию являются диффузные поражения печени, в том числе гемохроматоз и многие другие. Сканирование требуется для дифференциальной диагностики внутрипеченочных образований, особенно доброкачественных и злокачественных опухолей, кистозных полостей. Очаговые поражения также обнаруживаются при МРТ печени. В дополнение к паренхиме органа, сосуды печени визуализируются на изображениях для оценки их проходимости. Исследование предназначено для уточнения результатов других диагностических процедур, а также назначается в послеоперационном периоде, например, после операции опухоли.
Врожденные аномалии гепатобилиарной системы также являются показанием для МРТ печени. Это может быть гепатоптоз, врожденная киста печени, удвоение, дистопия и другие дефекты. Метастазирование различных внепеченочных опухолей часто выявляется в печени, и назначается обследование для выявления или исключения их. В результате некоторых врожденных и приобретенных заболеваний содержание железа в печени может увеличиваться, что отрицательно влияет на гепатоциты. Увеличение концентрации микроэлемента определяют с помощью МРТ печени. Сканирование также показано, если планируется трансплантация органа, существует необходимость тщательной оценки его общего состояния и структуры.
Исследование будет использоваться для визуализации желчного протока и диагностики патологий, связанных с уменьшением просвета и полной обструкцией. В этом случае требуется МРТ печени, чтобы определить причину дискомфорта пациента. Обследование может выявить холедохолитиаз или опухоль в желчном протоке, что является причиной застойных явлений. Сканирование используется для диагностики врожденных аномалий и воспалительных процессов желчевыводящих путей. Кроме того, МРТ печени показана при подозрении на рак поджелудочной железы, псевдокисты и некоторые пороки развития. Исследование проводится после операции на печени, чтобы исключить ятрогенные изменения в анатомии протоков.
Врожденные аномалии гепатобилиарной системы также являются показанием для МРТ печени. Это может быть гепатоптоз, врожденная киста печени, удвоение, дистопия и другие дефекты. Метастазирование различных внепеченочных опухолей часто выявляется в печени, и назначается обследование для выявления или исключения их. В результате некоторых врожденных и приобретенных заболеваний содержание железа в печени может увеличиваться, что отрицательно влияет на гепатоциты. Увеличение концентрации микроэлемента определяют с помощью МРТ печени. Сканирование также показано, если планируется трансплантация органа, существует необходимость тщательной оценки его общего состояния и структуры.
Исследование будет использоваться для визуализации желчного протока и диагностики патологий, связанных с уменьшением просвета и полной обструкцией. В этом случае требуется МРТ печени, чтобы определить причину дискомфорта пациента. Обследование может выявить холедохолитиаз или опухоль в желчном протоке, что является причиной застойных явлений. Сканирование используется для диагностики врожденных аномалий и воспалительных процессов желчевыводящих путей. Кроме того, МРТ печени показана при подозрении на рак поджелудочной железы, псевдокисты и некоторые пороки развития. Исследование проводится после операции на печени, чтобы исключить ятрогенные изменения в анатомии протоков.
Противопоказания
Процедура не выполняется, если в теле пациента есть какие-либо металлосодержащие структуры, за исключением изделий из титана. В магнитном поле работа сложных электронных устройств, таких как слуховые аппараты, может быть нарушена, поэтому в этом случае МРТ печени также противопоказана. Сканирование не рекомендуется во время беременности, особенно в первом триместре беременности, но если отказ от диагностики МР может привести к высокому риску для здоровья и жизни, процедура допускается. МРТ-исследование печени не показано пациентам с тяжелым общим состоянием, потому что жизненные показатели пациента не могут контролироваться во время исследования.
Существуют также противопоказания к МРТ печени с контрастом. К ним относятся хроническая почечная недостаточность, потому что контраст выводится через почки. Исследование не проводится при подтвержденной аллергии на гадолиний и его соединения. МРТ головного мозга тщательно назначают пациентам с аллергическим анамнезом, обычно процедуру проводят после медицинской десенсибилизации. Период лактации является относительным противопоказанием, поскольку контрастное вещество не появляется в материнском молоке в течение 1-2 дней после теста. Во многих клиниках кормящие женщины не сканируются. МРТ печени при большинстве клинических форм эпилепсии возможна с использованием анестезии.
Существуют также противопоказания к МРТ печени с контрастом. К ним относятся хроническая почечная недостаточность, потому что контраст выводится через почки. Исследование не проводится при подтвержденной аллергии на гадолиний и его соединения. МРТ головного мозга тщательно назначают пациентам с аллергическим анамнезом, обычно процедуру проводят после медицинской десенсибилизации. Период лактации является относительным противопоказанием, поскольку контрастное вещество не появляется в материнском молоке в течение 1-2 дней после теста. Во многих клиниках кормящие женщины не сканируются. МРТ печени при большинстве клинических форм эпилепсии возможна с использованием анестезии.
Подготовка
Исследование указано гастроэнтерологом, хирургом или онкологом. Область предварительных исследований изучается с помощью ультразвуковых и лабораторных методов диагностики. Возможно проведение ретроградной холангиопанкреатографии. Выделительная функция почек уточняется, так как исследования почти всегда проводятся с контрастом. За два дня до процедуры из рациона исключаются продукты, повышающие образование газа: черный хлеб, овощи, молочные продукты Магнитно-резонансная томография печени проводится натощак через 4-6 часов после еды. За 1-2 часа до обследования обычно назначают спазмолитическое лекарство, что способствует лучшей визуализации желчевыводящих путей.