Другие названия и синонимы
Astrocytoma of the brain.
МКБ-10 коды
|
|
Описание
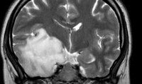
Астроцитома головного мозга. Первичная внутримозговая нейроэпителиальная (глиальная) опухоль, берущая свое начало из звездчатых клеток (астроцитов). Астроцитома головного мозга может иметь различную степень злокачественности. Ее проявления зависят от локализации и подразделяются на общие (слабость, потеря аппетита, головные боли) и очаговые (гемипарез, гемигипестезия, нарушения координации, галлюцинации, расстройства речи, изменение поведения). Астроцитома головного мозга диагностируется на основании клинических данных, результатов КТ, МРТ и гистологического исследования тканей опухоли. Лечение астроцитомы головного мозга обычно представляет собой комбинацию нескольких методов: хирургического или радиохирургического, лучевого и химиотерапевтического.
Дополнительные факты
Астроцитома головного мозга является наиболее распространенной разновидностью глиальных опухолей. Примерно половина всех глиом головного мозга представлена астроцитомами. Астроцитома головного мозга может возникать в любом возрасте. Чаще других астроцитома головного мозга отмечается у мужчин в возрасте от 20 до 50 лет. У взрослых наиболее характерной локализацией астроцитомы головного мозга является белое вещество полушарий (опухоль полушарий мозга), у детей чаще встречается поражение мозжечка и ствола мозга. Изредка у детей наблюдается поражение зрительного нерва (глиома хиазмы и глиома зрительного нерва).
Причины
Астроцитома головного мозга является результатом опухолевого перерождения астроцитов - глиальных клеток, имеющих форму звезды, за которую их также называют звездчатыми клетками. До недавнего времени считалось, что астроциты выполняют вспомогательную поддерживающую функцию по отношению к нейронам ЦНС. Однако последние исследования в области нейрофизиологии и неврологии показали, что астроциты выполняют защитную функцию, предотвращая травмирование нейронов и поглощая образующиеся в результате их жизнедеятельности избыточные химические вещества. Они обеспечивают питание нейронов, участвуют в регуляции функций гематоэнцефалического барьера и состояния мозгового кровотока.
Точные данные о факторах, провоцирующих опухолевую трансформацию астроцитов, пока отсутствуют. Предположительно роль пускового механизма, в результате которого развивается астроцитома головного мозга, играют: избыточная радиация, хроническое воздействие вредных химических веществ, онкогенные вирусы. Существенная роль отводится также наследственному фактору, поскольку у пациентов с астроцитомой головного мозга обнаружены генетические поломки в гене ТР53.
Точные данные о факторах, провоцирующих опухолевую трансформацию астроцитов, пока отсутствуют. Предположительно роль пускового механизма, в результате которого развивается астроцитома головного мозга, играют: избыточная радиация, хроническое воздействие вредных химических веществ, онкогенные вирусы. Существенная роль отводится также наследственному фактору, поскольку у пациентов с астроцитомой головного мозга обнаружены генетические поломки в гене ТР53.
Классификация
В зависимости от строения составляющих ее клеток астроцитома головного мозга может быть «обычной» или «особой». К первой группе относятся фибриллярная, протоплазматическая и гемистоцитарная астроцитома головного мозга. В группу «особых» входит пиелоцитарная (пиллоидная), субэпендимальная (гломерулярная) и микроцистная церебеллярная астроцитома головного мозга.
Согласно классификации ВОЗ астроцитомы головного мозга подразделяются по степени злокачественности. К I степени злокачественности принадлежит «особая» астроцитома головного мозга - пиелоцитарная. II степень злокачественности характерна для «обычных» доброкачественных астроцитом, например, фибриллярной. К III степени злокачественности относится анапластическая астроцитома головного мозга, к IV степени - глиобластома. На долю глиобластомы и анапластической астроцитомы приходится около 60% опухолей головного мозга, в то время как высокодифференцированные (доброкачественные) астроцитомы составляют лишь 10%.
Согласно классификации ВОЗ астроцитомы головного мозга подразделяются по степени злокачественности. К I степени злокачественности принадлежит «особая» астроцитома головного мозга - пиелоцитарная. II степень злокачественности характерна для «обычных» доброкачественных астроцитом, например, фибриллярной. К III степени злокачественности относится анапластическая астроцитома головного мозга, к IV степени - глиобластома. На долю глиобластомы и анапластической астроцитомы приходится около 60% опухолей головного мозга, в то время как высокодифференцированные (доброкачественные) астроцитомы составляют лишь 10%.
Клиническая картина
Клинические проявления, которыми сопровождается астроцитома головного мозга, можно разделить на общие, отмечающиеся при любом расположении опухоли, и местные или очаговые, зависящие от локализации процесса.
Общие симптомы астроцитомы связаны с обусловленным ею повышением внутричерепного давления, ирритативным (раздражающим) воздействием и токсическим влиянием продуктов метаболизма опухолевых клеток. К общим проявлениям астроцитомы головного мозга относятся: головные боли постоянного характера, отсутствие аппетита, тошнота, рвота, двоение в глазах и/или появление тумана перед глазами, головокружения, изменения настроения, астения, снижение способности к концентрации внимания и ухудшение памяти. Возможны эпилептические припадки. Зачастую первые проявления астроцитомы головного мозга носят общий неспецифический характер. Со временем в зависимости от степени злокачественности астроцитомы идет медленное или быстрое прогрессирование симптоматики с появлением неврологического дефицита, свидетельствующего об очаговом характере патологического процесса.
Очаговые симптомы астроцитомы головного мозга возникают в результате разрушения и сдавления опухолью расположенных рядом с ней церебральных структур. Для полушарных астроцитом головного мозга характерно снижение чувствительности (гемигипестезия) и мышечная слабость (гемипарез) в руке и ноге противоположной пораженному полушарию стороны тела. Опухолевое поражение мозжечка отличается нарушением устойчивости в положении стоя и при ходьбе, проблемами с координацией движений.
Ассоциированные симптомы: Агрессивность. Боль в висках. Боль во всей голове. Общая слабость. Галлюцинации. Гемипарез. Гемипаретическая походка. Обонятельные галлюцинации. Обострение обоняния. Отсутствие аппетита. Персеверация. Потеря обоняния. Пульсация в висках. Рвота. Скандированная речь. Слабость мышц (парез). Тонико-клонические судороги. Тошнота. Тремор при движении.
Общие симптомы астроцитомы связаны с обусловленным ею повышением внутричерепного давления, ирритативным (раздражающим) воздействием и токсическим влиянием продуктов метаболизма опухолевых клеток. К общим проявлениям астроцитомы головного мозга относятся: головные боли постоянного характера, отсутствие аппетита, тошнота, рвота, двоение в глазах и/или появление тумана перед глазами, головокружения, изменения настроения, астения, снижение способности к концентрации внимания и ухудшение памяти. Возможны эпилептические припадки. Зачастую первые проявления астроцитомы головного мозга носят общий неспецифический характер. Со временем в зависимости от степени злокачественности астроцитомы идет медленное или быстрое прогрессирование симптоматики с появлением неврологического дефицита, свидетельствующего об очаговом характере патологического процесса.
Очаговые симптомы астроцитомы головного мозга возникают в результате разрушения и сдавления опухолью расположенных рядом с ней церебральных структур. Для полушарных астроцитом головного мозга характерно снижение чувствительности (гемигипестезия) и мышечная слабость (гемипарез) в руке и ноге противоположной пораженному полушарию стороны тела. Опухолевое поражение мозжечка отличается нарушением устойчивости в положении стоя и при ходьбе, проблемами с координацией движений.
Ассоциированные симптомы: Агрессивность. Боль в висках. Боль во всей голове. Общая слабость. Галлюцинации. Гемипарез. Гемипаретическая походка. Обонятельные галлюцинации. Обострение обоняния. Отсутствие аппетита. Персеверация. Потеря обоняния. Пульсация в висках. Рвота. Скандированная речь. Слабость мышц (парез). Тонико-клонические судороги. Тошнота. Тремор при движении.
Диагностика
Клиническое обследование пациентов проводится неврологом, нейрохирургом, офтальмологом и отоларингологом. Оно включает неврологический осмотр, офтальмологическое обследование (определение остроты зрения, исследование полей зрения, офтальмоскопия), пороговую аудиометрию, исследование вестибулярного аппарата и психического статуса. Первичное инструментальное обследование пациентов с астроцитомой головного мозга может выявить повышенное внутричерепное давление по данным Эхо-ЭГ и наличие пароксизмальной активности по данным электроэнцефалографии. Выявление очаговой симптоматики в ходе неврологического обследования является показанием к проведению КТ и МРТ головного мозга.
Астроцитома головного мозга может быть обнаружена и при ангиографии. Установить точный диагноз и определить степень злокачественности опухоли позволяет гистологическое исследование. Получение гистологического материала возможно в ходе стереотаксической биопсии или интраоперационно (для решения вопроса об объеме хирургического вмешательства).
Астроцитома головного мозга может быть обнаружена и при ангиографии. Установить точный диагноз и определить степень злокачественности опухоли позволяет гистологическое исследование. Получение гистологического материала возможно в ходе стереотаксической биопсии или интраоперационно (для решения вопроса об объеме хирургического вмешательства).
Лечение
В зависимости от степени дифференцировки астроцитомы головного мозга ее лечение проводится одним или несколькими из указанных методов: хирургическим, химиотерапевтическим, радиохирургическим, лучевым.
Стереотаксическое радиохирургическое удаление возможно лишь при малом размере опухоли (до 3 см) и проводится под томографическим контролем при помощи надеваемой на голову пациента стереотаксической рамки. При астроцитоме головного мозга этот метод может быть использован лишь в редких случаях доброкачественного течения и ограниченного роста опухоли. Объем хирургического вмешательства, проводимого путем трепанации черепа, зависит от характера роста астроцитомы. Зачастую из-за диффузного разрастания опухоли в окружающие мозговые ткани ее радикальное хирургическое лечение невозможно. В таких случаях может быть проведена паллиативная операция для уменьшения размеров опухоли или шунтирующая операция, направленная на снижение гидроцефалии.
Лучевая терапия астроцитомы головного мозга проводится путем многократного (от 10 до 30 сеансов) внешнего облучения пораженной области. Химиотерапия осуществляется цитостатиками с использованием пероральных препаратов и внутривенных введений. Ей отдают предпочтение в случаях, когда астроцитома головного мозга наблюдается у детей. Последнее время ведутся активные разработки по созданию новых химиотерапевтических препаратов, способных избирательно воздействовать на опухолевые клетки, не оказывая при этом повреждающего действия на здоровые.
Стереотаксическое радиохирургическое удаление возможно лишь при малом размере опухоли (до 3 см) и проводится под томографическим контролем при помощи надеваемой на голову пациента стереотаксической рамки. При астроцитоме головного мозга этот метод может быть использован лишь в редких случаях доброкачественного течения и ограниченного роста опухоли. Объем хирургического вмешательства, проводимого путем трепанации черепа, зависит от характера роста астроцитомы. Зачастую из-за диффузного разрастания опухоли в окружающие мозговые ткани ее радикальное хирургическое лечение невозможно. В таких случаях может быть проведена паллиативная операция для уменьшения размеров опухоли или шунтирующая операция, направленная на снижение гидроцефалии.
Лучевая терапия астроцитомы головного мозга проводится путем многократного (от 10 до 30 сеансов) внешнего облучения пораженной области. Химиотерапия осуществляется цитостатиками с использованием пероральных препаратов и внутривенных введений. Ей отдают предпочтение в случаях, когда астроцитома головного мозга наблюдается у детей. Последнее время ведутся активные разработки по созданию новых химиотерапевтических препаратов, способных избирательно воздействовать на опухолевые клетки, не оказывая при этом повреждающего действия на здоровые.
|
|
Прогноз
Неблагоприятный прогноз астроцитомы головного мозга связан с ее преимущественно высокой степенью злокачественности, частым переходом менее злокачественной формы в более злокачественную и практически неизбежным рецидивированием. У лиц молодого возраста наблюдается более распространенное и злокачественное течение астроцитом. Наиболее благоприятен прогноз, если астроцитома головного мозга имеет I степень злокачественности, но даже в этом случае длительность жизни пациента не превышает 5 лет. Для астроцитомы III-IV степени это время составляет в среднем 1 год.