Продолжая работу с сайтом, вы разрешаете использование сookies и соглашаетесь с политикой конфиденциальности.
.,о.,р..и.:г,.и.,н.;н.,а;,л.. .,н.:а,.х.,о.,д.;и.,т..с.:я,, ..н.;а., .,k;,i..b.:e,;r.,i.,s.,.;.r.:u,

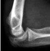
Рентгенография локтевого сустава

Средняя цена: ≈1415₽
Лечат в 1709 клиниках
X
X

Дерево медицинских услуг

  1. Описание
  2. Дополнительные факты
  3. Номенклатурные коды

Другие названия и синонимы

Radiography of the elbow joint.
Рентгенография локтевого сустава

Описание

 Рентгенограмма локтевого сустава в травматологии показана при подозрении на переломы околосуставного и внутрисуставного суставов и переломы плечевой, лучевой и локтевой костей. В других областях медицины этот метод используется для диагностики дегенеративно-дистрофических изменений, новообразований, аномалий развития и гнойных воспалительных процессов. Исследование обычно проводится в два, реже - по прогнозам, оно не требует подготовки. В связи со значительным воздействием излучения оно не проводится детям и беременным женщинам (за исключением неотложных патологий и случаев недоступности альтернативных методов).

Дополнительные факты

 В травматологии рентгенограмма локтевого сустава назначается при подозрении на надмыщелковый перелом или перелом плеча, изолированные переломы мыщелка, трансдондилярное плечо, перелом локтя и процесс перелома короноидной локтевой кости шеи и головки лучевого перелома Монтеджи (перелом верхней трети локтевой кости в сочетании с вывих головки луча) и вывих костей предплечья. В гнойной хирургии в качестве показаний рассматриваются ортопедия, онкология и ревматология, гнойный артрит, артроз, пороки развития, ревматические заболевания с поражением локтевого сустава, доброкачественные и злокачественные новообразования.
Рентгенография локтевого сустава

Номенклатурные коды

42a96bb5c8a2acfb07fc866444b97bf1
Доступно только при использовании PRO аккаунта
Модератор контента: Васин А.С.


  1. Киберис НЕ является интернет-магазином и НЕ осуществляет закупку, хранение, продажу и доставку препаратов. Ресурс выступает лишь в роли посредника между вами и производителем препаратов или аптечными пунктами, которые и осуществляют поставку.
  2. На Киберис размещены описания препаратов, часть из которых предназначена только для врачей. Данная информация не может быть использована пациентами для принятия решения об использовании препаратов, их отмене или коррекции дозировок.
  3. Ничто в представленной информации не должно быть истолковано как призыв использовать данные препараты.
  4. К Киберис не могут быть обращены претензии по поводу любого ущерба или вреда, понесенного в результате использования размещенной на сайте информации.