Продолжая работу с сайтом, вы разрешаете использование сookies и соглашаетесь с политикой конфиденциальности.
.,о.,р..и.:г,.и.,н.;н.,а;,л.. .,н.:а,.х.,о.,д.;и.,т..с.:я,, ..н.;а., .,k;,i..b.:e,;r.,i.,s.,.;.r.:u,

Рентгенография лучезапястного сустава

Средняя цена: ≈1423₽
Лечат в 1636 клиниках
X
X

Дерево медицинских услуг

  1. Описание
  2. Дополнительные факты
  3. Номенклатурные коды

Другие названия и синонимы

Radiography of the wrist joint.
Рентгенография лучезапястного сустава

Описание

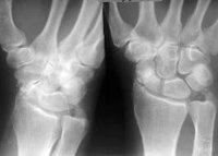
 Рентгенография лучезапястного сустава. Рентгенологическое исследование, показанием к которому в травматологии является подозрение на переломы и переломы дистальной части лучевой и локтевой костей, переломы, вывихи и переломы костей запястья. В других областях медицины метод используется при нарушениях развития, дегенеративно-дистрофических изменениях, гнойных и опухолевых процессах. Процедура не требует подготовки, ее можно проводить амбулаторно или в больнице. В период беременности и в детском возрасте рекомендуется заменить рентгенографию лучезапястного сустава альтернативными методами из-за высокой радиационной нагрузки.

Дополнительные факты

 Рентгенограммы запястья в травматологии обозначают подозрение на перелом лучевой кости в типичном месте, перелом Галеацци (перелом дистального радиуса в сочетании с вывихом головки локтевой кости), стилоид перелома и лучевой кости локтевой кости, переломовичихи, искажения и переломы перелома кости запястья. Показаниями к обучению в ортопедии являются артрозы и пороки развития. В ревматологии методика используется для оценки состояния суставов при ревматоидном артрите и ряде других заболеваний. В гнойной хирургии процедура применяется при артрите лучезапястного сустава, в онкологии, при подозрении на доброкачественные и злокачественные новообразования в этой области.
Рентгенография лучезапястного сустава

Номенклатурные коды

42a96bb5c8a2acfb07fc866444b97bf1
Доступно только при использовании PRO аккаунта
Модератор контента: Васин А.С.


  1. Киберис НЕ является интернет-магазином и НЕ осуществляет закупку, хранение, продажу и доставку препаратов. Ресурс выступает лишь в роли посредника между вами и производителем препаратов или аптечными пунктами, которые и осуществляют поставку.
  2. На Киберис размещены описания препаратов, часть из которых предназначена только для врачей. Данная информация не может быть использована пациентами для принятия решения об использовании препаратов, их отмене или коррекции дозировок.
  3. Ничто в представленной информации не должно быть истолковано как призыв использовать данные препараты.
  4. К Киберис не могут быть обращены претензии по поводу любого ущерба или вреда, понесенного в результате использования размещенной на сайте информации.