Продолжая работу с сайтом, вы разрешаете использование сookies и соглашаетесь с политикой конфиденциальности.
.,о.,р..и.:г,.и.,н.;н.,а;,л.. .,н.:а,.х.,о.,д.;и.,т..с.:я,, ..н.;а., .,k;,i..b.:e,;r.,i.,s.,.;.r.:u,

Рентгенография коленного сустава

РасшифровкаСредняя цена: ≈1454₽
Лечат в 1746 клиниках
X
X

Дерево медицинских услуг

  1. Описание
  2. Дополнительные факты
  3. Номенклатурные коды

Другие названия и синонимы

Radiography of the knee joint.
Рентгенография коленного сустава

Описание

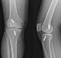
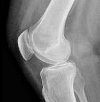
 Рентген коленного сустава. Метод лучевой диагностики применяется для оценки состояния коленного сустава. При травмах его назначают при подозрении на перелом мыщелков, мыщелков и бугристость большеберцовой кости, перелом головы и шеи малоберцовой кости, перелом и вывих надколенника. В других отраслях медицины он используется для лечения аномалий развития, опухолей, дистрофических дистрофических заболеваний и воспалительных заболеваний. Стандартное исследование проводится в двух проекциях (правой и боковой). Не требуется обучение Процедура не рекомендуется для детей и беременных женщин.

Дополнительные факты

 В травматологии рентгенограммы коленного сустава назначают при переломах бугристости и мыщелков большеберцовой кости, переломах шейки и головки малоберцовой кости, переломе мыщелка бедренной кости, вывихе и переломе бедренной кости. коленная чашечка. В ортопедии методика используется в процессе диагностики остеоартроза и аномалий развития. В ревматологии показаниями процедуры являются боль и отек колена при ревматоидном артрите и других заболеваниях. В онкологии исследование проводится при подозрении на злокачественную или доброкачественную опухоль дистального отдела бедра, проксимального отдела малоберцовой кости и большеберцовой кости.
Рентгенография коленного сустава

Номенклатурные коды

42a96bb5c8a2acfb07fc866444b97bf1
Доступно только при использовании PRO аккаунта
Модератор контента: Васин А.С.


  1. Киберис НЕ является интернет-магазином и НЕ осуществляет закупку, хранение, продажу и доставку препаратов. Ресурс выступает лишь в роли посредника между вами и производителем препаратов или аптечными пунктами, которые и осуществляют поставку.
  2. На Киберис размещены описания препаратов, часть из которых предназначена только для врачей. Данная информация не может быть использована пациентами для принятия решения об использовании препаратов, их отмене или коррекции дозировок.
  3. Ничто в представленной информации не должно быть истолковано как призыв использовать данные препараты.
  4. К Киберис не могут быть обращены претензии по поводу любого ущерба или вреда, понесенного в результате использования размещенной на сайте информации.