Продолжая работу с сайтом, вы разрешаете использование сookies и соглашаетесь с политикой конфиденциальности.
.,о.,р..и.:г,.и.,н.;н.,а;,л.. .,н.:а,.х.,о.,д.;и.,т..с.:я,, ..н.;а., .,k;,i..b.:e,;r.,i.,s.,.;.r.:u,

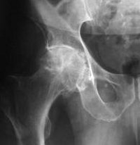
Рентгенография тазобедренного сустава

Средняя цена: ≈1503₽
Лечат в 1007 клиниках
X
X

Дерево медицинских услуг

  1. Описание
  2. Дополнительные факты
  3. Номенклатурные коды

Другие названия и синонимы

Radiography of the hip joint.
Рентгенография тазобедренного сустава

Описание

 Рентгенография тазобедренного сустава. Рентгенологическое исследование проводится с целью оценки состояния вертлужной впадины подвздошной кишки, головы, шеи и наклона бедра. В травматологии его применяют в случаях подозрения на перелом головки и шейки бедра, поперечный и межточечный перелом, отделение большого вертела или вывих бедра, а также при остеомиелите. В других областях медицины его используют в процессе диагностики воспалительных и дегенеративно-дистрофических заболеваний, врожденных аномалий, первичных и метастатических опухолей этого места. Процедура не требует специальной подготовки, ее можно проводить как в стационарных, так и в амбулаторных условиях.

Дополнительные факты

 Наиболее распространенным показанием для рентгенографии тазобедренного сустава при травме является подозрение на перелом бедра (обычно у пожилых пациентов). Реже назначают исследование при подозрении на вывих бедра, разрыв большого вертела, межточечный или поперечный перелом. Кроме того, рентгенологическое исследование этой области в травматологии представлено при остеомиелите проксимального отдела бедренной кости. В ортопедии методика применяется при остеоартрозе, остеопорозе, асептическом некрозе, кистозной перестройке и нарушениях развития (дисплазия). В гнойной хирургии процедура проводится при гнойном артрите, онкологии, при первичных или метастатических опухолях, при ревматологии, при ревматологических заболеваниях с поражением тазобедренного сустава.
Рентгенография тазобедренного сустава

Номенклатурные коды

42a96bb5c8a2acfb07fc866444b97bf1
Доступно только при использовании PRO аккаунта
Модератор контента: Васин А.С.


  1. Киберис НЕ является интернет-магазином и НЕ осуществляет закупку, хранение, продажу и доставку препаратов. Ресурс выступает лишь в роли посредника между вами и производителем препаратов или аптечными пунктами, которые и осуществляют поставку.
  2. На Киберис размещены описания препаратов, часть из которых предназначена только для врачей. Данная информация не может быть использована пациентами для принятия решения об использовании препаратов, их отмене или коррекции дозировок.
  3. Ничто в представленной информации не должно быть истолковано как призыв использовать данные препараты.
  4. К Киберис не могут быть обращены претензии по поводу любого ущерба или вреда, понесенного в результате использования размещенной на сайте информации.