Продолжая работу с сайтом, вы разрешаете использование сookies и соглашаетесь с политикой конфиденциальности.
.,о.,р..и.:г,.и.,н.;н.,а;,л.. .,н.:а,.х.,о.,д.;и.,т..с.:я,, ..н.;а., .,k;,i..b.:e,;r.,i.,s.,.;.r.:u,

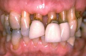
K05.6 Болезнь пародонта неуточненная

ДобавьАналогиСравни
Найдено 4 (4) ⓘНайдено 4 препарата (4 из них по статистике Киберис) в 0 включеных книгах (авторах) ... скрыть
  Эффект Влияние Случаев ⓘ  Эффект - насколько симптом улучшается за один цикл лечения в среднем. Пример: обезболивание наркотиками раковых болей - Эффективность (Э) высокая, но влияние (В) отрицательное, поскольку пациенту со временем станет хуже.
Влияние симптома на результат лечения пациента в целом (т.е. важность симптома). Пример: климакс вылечить нельзя (Э низкая). Зато некоторые средства во время климакса будут лучше других (В высокое).
Случаи - количество исследованных результатов лечения данной жалобы, на основе которых были вычислены эффект и влияние. Эти случаи уже прошли автоматическую ИИ верификацию качества и достоверности данных.

Дерево МКБ-10 диагнозов

Другие названия и синонимы

K05.6 Periodontal disease, unspecified, K05.6.
Поражение зубов при пародонтозе

Описание

Нет подробного описания, смотрите связи

Связанные заболевания

42a96bb5c8a2acfb07fc866444b97bf1
Внутриротовая рентгенограмма зубов нижней челюсти при пародонтозе

Доступно только при использовании PRO аккаунта
Модератор контента: Васин А.С.


  1. Киберис НЕ является интернет-магазином и НЕ осуществляет закупку, хранение, продажу и доставку препаратов. Ресурс выступает лишь в роли посредника между вами и производителем препаратов или аптечными пунктами, которые и осуществляют поставку.
  2. На Киберис размещены описания препаратов, часть из которых предназначена только для врачей. Данная информация не может быть использована пациентами для принятия решения об использовании препаратов, их отмене или коррекции дозировок.
  3. Ничто в представленной информации не должно быть истолковано как призыв использовать данные препараты.
  4. К Киберис не могут быть обращены претензии по поводу любого ущерба или вреда, понесенного в результате использования размещенной на сайте информации.