Продолжая работу с сайтом, вы разрешаете использование сookies и соглашаетесь с политикой конфиденциальности.
.,о.,р..и.:г,.и.,н.;н.,а;,л.. .,н.:а,.х.,о.,д.;и.,т..с.:я,, ..н.;а., .,k;,i..b.:e,;r.,i.,s.,.;.r.:u,

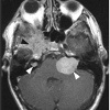
МРТ мосто-мозжечковых углов

Средняя цена: ≈6684₽
Лечат в 233 клиниках
X
X

Дерево медицинских услуг

Другие названия и синонимы

MRI of the bridge-cerebellar angles.
МРТ мосто-мозжечковых углов

Описание

 Магнитный резонанс мозговых углов мозжечка. Целевая визуализация области закрытия трех структур мозга - моста, мозгового вещества и мозжечка при воздействии на область, исследуемую электромагнитными волнами в постоянном магнитном поле. Основными показаниями для данного исследования являются признаки повреждения V-VIII пар черепных нервов (нейросенсорная глухота, головокружение, паралич лицевых мышц, онемение кожи лица ). Причинами этих нарушений могут стать опухоли (невромы, шванномы и ), Эпидермоидные и паутинные кисты, аневризмы церебрально-мозжечкового угла. МРТ коры головного мозга с улучшенным контрастом позволяет не только выявить причину патологических симптомов, но и определить точное местоположение и распространенность опухолей, что крайне важно для планирования хирургического вмешательства.
42a96bb5c8a2acfb07fc866444b97bf1
Доступно только при использовании PRO аккаунта
Модератор контента: Васин А.С.


  1. Киберис НЕ является интернет-магазином и НЕ осуществляет закупку, хранение, продажу и доставку препаратов. Ресурс выступает лишь в роли посредника между вами и производителем препаратов или аптечными пунктами, которые и осуществляют поставку.
  2. На Киберис размещены описания препаратов, часть из которых предназначена только для врачей. Данная информация не может быть использована пациентами для принятия решения об использовании препаратов, их отмене или коррекции дозировок.
  3. Ничто в представленной информации не должно быть истолковано как призыв использовать данные препараты.
  4. К Киберис не могут быть обращены претензии по поводу любого ущерба или вреда, понесенного в результате использования размещенной на сайте информации.