Другие названия и синонимы
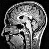
MRI of the brain.
Описание
МРТ головного мозга. Очень информативный метод сканирования, который можно использовать для диагностики мельчайших структурных изменений в мозге. Он используется для выявления структурных отклонений, травматических повреждений и патологических структур различных типов (опухоли, кисты, кровоизлияния ). МРТ головного мозга позволяет оценить структуру нервов и кровеносных сосудов, особенно вокруг орбиты и внутреннего слухового прохода. Возможна спектрография и составление трехмерной модели мозга в целом или сосудистого русла и нервов. Согласно заявлению, используется контрастное вещество.
|
|
Дополнительные факты
МРТ головного мозга основана на реакции клеток на воздействие электромагнитных волн в постоянном магнитном поле. Изменение полярности ионов водорода в нейронах головного мозга фиксируется специальными приборами. Полученные данные передаются на компьютер, где они обрабатываются для получения многослойных изображений мозга. Область головы представляет интерес для врачей многих специальностей: неврологов, хирургов, травматологов, офтальмологов, отоларингологов, терапевтов и других специалистов. Поскольку МРТ является дорогостоящим методом, его систематически не назначают для первичной диагностики патологий в этом регионе. Обращение к процедуре необходимо для подтверждения и дополнения данных, полученных в других исследованиях. Преимуществами методики являются отсутствие радиационного заряда на теле и использование низкоаллергенных контрастов, поэтому в анализе представлен небольшой список противопоказаний.
Показания к применению
Тест предназначен для диагностических целей при подозрении на различные патологии головного мозга. Метод очень чувствителен при визуализации раковых форм. МРТ головного мозга также используется для выявления травматического генеза. Эта методика позволяет обнаруживать любые структурные изменения, в том числе аномалии развития, кровоизлияния, цереброваскулярные патологии, нейродегенеративные процессы. На МРТ отчетливо видны не только поверхностные, но и внутренние структуры, такие как гипофиз. Поэтому процедура широко используется для выявления причин гормональных нарушений центрального генеза.
Сканирование проводится при подготовке к операциям на голове (область головного и лицевого черепа, головной мозг), проводится в послеоперационном периоде для контроля эффективности терапии и динамики выздоровления. Магнитно-резонансная томография также назначается, когда невозможно использовать методы лучевой диагностики, например, если есть противопоказания к рентгенологическому исследованию. В частности, они включают множественные рентгенограммы или компьютерную томографию, противопоказания к применению контрастных веществ, содержащих йод,.
Сканирование проводится при подготовке к операциям на голове (область головного и лицевого черепа, головной мозг), проводится в послеоперационном периоде для контроля эффективности терапии и динамики выздоровления. Магнитно-резонансная томография также назначается, когда невозможно использовать методы лучевой диагностики, например, если есть противопоказания к рентгенологическому исследованию. В частности, они включают множественные рентгенограммы или компьютерную томографию, противопоказания к применению контрастных веществ, содержащих йод,.
Противопоказания
Метод не предполагает облучения, поэтому при наличии достаточных показаний его можно использовать даже во время беременности и детства. Негативного воздействия на организм ребенка и плод не обнаружено. Однако вопрос о назначении МРТ головного мозга всегда решается индивидуально с учетом возможных рисков. При проведении контрастного исследования рекомендуется приостановить период кормления при естественном вскармливании на 24-48 часов. Аллергия на используемые контрастные вещества встречается крайне редко, но если у вас есть аллергия в анамнезе, вам следует провести кожные тесты.
Поскольку устройство основано на использовании электромагнитных полей, процедура противопоказана при наличии имплантатов и металлических конструкций, например, искусственного водителя ритма, нейростимулятора, брекетов, используемых при лечении аневризм мозга. Современные титановые конструкции, используемые в травматологии, не мешают манипуляциям. Другие металлические имплантаты (кроме инертных металлов) могут подвергаться воздействию магнитных полей, которые опасны для объекта из-за высокой температуры и возможного смещения. Кроме того, полученные данные могут быть искажены. Если лечащий врач не располагает достоверной информацией о возможных металлических структурах в теле пациента, перед МРТ будет показан рентген исследуемой области.
Поскольку устройство основано на использовании электромагнитных полей, процедура противопоказана при наличии имплантатов и металлических конструкций, например, искусственного водителя ритма, нейростимулятора, брекетов, используемых при лечении аневризм мозга. Современные титановые конструкции, используемые в травматологии, не мешают манипуляциям. Другие металлические имплантаты (кроме инертных металлов) могут подвергаться воздействию магнитных полей, которые опасны для объекта из-за высокой температуры и возможного смещения. Кроме того, полученные данные могут быть искажены. Если лечащий врач не располагает достоверной информацией о возможных металлических структурах в теле пациента, перед МРТ будет показан рентген исследуемой области.
Подготовка
Тест проводится после рутинной рентгенографии или КТ головного мозга, результаты которых были недостаточно информативными или (с фиксированным диагнозом) при подготовке к операции. Пациента возглавляет невролог или нейрохирург, реже травматолог, семейный врач, офтальмолог или оториноларинголог. Специальной подготовки к нативным тестам не требуется, МРТ контраст проводят натощак. При использовании контрастного вещества необходимо предварительное объяснение функции почек лабораторией, а иногда и УЗИ. Перед операцией устанавливается система внутривенного введения контраста, и чаще используются капельные инъекции физиологического раствора. Непосредственно перед сканированием удалите все металлические предметы: серьги, часы, очки, заколки ;
Оценка результатов
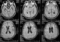
Сначала специалист оценивает все структуры головного мозга, полушария и желудочков. Определяется толщина белого вещества и структура коры, соотношение полушарий головного мозга. Их размеры сравниваются, указывается их расположение относительно центральной линии (индекса срединных структур). Размер переднего рога боковых желудочков взрослого человека обычно составляет от 12 до 15 в зависимости от возраста. Ширина третьего желудочка также оценивается. Исследование орбитальной области является важным этапом в МРТ: оценка структуры зрительных нервов, глазных сосудов, размера и положения глазных яблок. Исследование также позволяет определить размеры и положение внутреннего слухового канала. Кроме того, во время МРТ головного мозга мы изучаем анатомию мозжечка, ствола головного мозга и базальных ганглиев, а также эволюцию спинномозговой жидкости в сильвийском акведуке.
Наличие зоны потемнения может указывать на опухоль или кровоизлияние (травма, инсульт). Смещение центральных структур головного мозга свидетельствует о возможных образованиях в области внутримозговых структур или на границе с твердой мозговой оболочкой. В этом случае необходимо уделить особое внимание камерам для диагностики возможной внутричерепной гипертонии и выявления препятствий для нормального спинномозгового оттока жидкости. Гипофиз на МРТ обычно напоминает прямоугольник. В процессе интерпретации результатов исследования оценивается форма гипофиза, его размеры и расположение, наличие патологических образований в этой области. Когда часто наблюдаются опухоли гипофиза, синдром пустого турецкого седла или тяжелая гипоплазия гипофиза.
Наличие зоны потемнения может указывать на опухоль или кровоизлияние (травма, инсульт). Смещение центральных структур головного мозга свидетельствует о возможных образованиях в области внутримозговых структур или на границе с твердой мозговой оболочкой. В этом случае необходимо уделить особое внимание камерам для диагностики возможной внутричерепной гипертонии и выявления препятствий для нормального спинномозгового оттока жидкости. Гипофиз на МРТ обычно напоминает прямоугольник. В процессе интерпретации результатов исследования оценивается форма гипофиза, его размеры и расположение, наличие патологических образований в этой области. Когда часто наблюдаются опухоли гипофиза, синдром пустого турецкого седла или тяжелая гипоплазия гипофиза.