Description
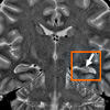
МРТ гиппокампа. Целевое исследование парной структуры, расположенной в височных долях головного мозга, предполагает получение и цифровую обработку радиосигналов от атомов водорода, когда они находятся в постоянном магнитном поле высокой интенсивности. МРТ гиппокампа может проводиться отдельно или как часть комплексного обследования мозга. Это позволяет сделать морфометрическую оценку этой внутримозговой структуры, которая отвечает за формирование памяти и эмоций. Магнитно-резонансная томография может изменить размер гиппокампа (гиперплазия, атрофия, склероз). В неврологической практике МРТ гиппокампа информативна в диагностике эпилепсии, болезни Альцгеймера, причин амнезии.
Additional facts
Сама идея разработки метода магнитно-резонансной томографии была рождена как раз для решения задачи визуализации структур головного мозга, в том числе и гиппокампа. Так как головной мозг состоит из мягких тканей, использование рентгенологических методик для этой цели затруднено, диагностика возможна только по косвенным признакам (например, расширение турецкого седла при увеличении гипофиза). Компьютерная томография более информативна в этом отношении, но и она может визуализировать лишь структуры, значительно различающиеся по плотности (кость и мозговая ткань, мозговая ткань и ликвор в желудочках). В отличие от рентгенологических методик, магнитно-резонансная томография построена совершенно на других физических основах - явлении ядерного магнитного резонанса. Упрощенно можно сказать, что атомы при воздействии сильного магнитного поля выстраиваются в соответствии со своим вращением (спином). При этом, атомы, вращение которых противоположно направлению поля, возбуждаются и при облучении радиоволнами определенной длины сами переизлучают их. Улавливание этого излучения и позволяет построить изображение.
Современные аппараты, применяемые для МРТ гиппокампа, осуществляют улавливание радиоволн от атомов водорода, находящегося в составе воды и ряда органических соединений. Чем больше в ткани воды - тем она ярче будет «светиться» в радиодиапазоне при воздействии электромагнитных волн. Поскольку различные структуры головного мозга содержат разное количество воды, липидов и других соединений, МРТ можно использовать для изучения не только головного мозга в целом, но и для визуализации его отдельных элементов. МРТ гиппокампа в последние годы становится все более распространенным исследованием, так как специалисты установили роль этого органа в развитии болезни Альцгеймера, эпилепсии, депрессии, нарушений памяти. Поэтому для диагностики (в том числе и дифференциальной) этих состояний производят обследование гиппокампа.
Наиболее часто МРТ гиппокампа применяется в неврологии, данное исследование дает уникальную возможность выявлять самые ранние изменения в структуре органа. Другие современные диагностические техники либо способны определять только глубокие поражения этой части мозга (например, компьютерная томография), либо стоят намного дороже при сравнимой или даже меньшей информативности (например, позитронно-эмиссионная томография). Кроме того, МРТ гиппокампа очень часто производят в рамках исследовательских работ для изучения механизмов памяти, развития возрастных изменений в головном мозге, причин эпилепсии и других неврологических заболеваний.
Современные аппараты, применяемые для МРТ гиппокампа, осуществляют улавливание радиоволн от атомов водорода, находящегося в составе воды и ряда органических соединений. Чем больше в ткани воды - тем она ярче будет «светиться» в радиодиапазоне при воздействии электромагнитных волн. Поскольку различные структуры головного мозга содержат разное количество воды, липидов и других соединений, МРТ можно использовать для изучения не только головного мозга в целом, но и для визуализации его отдельных элементов. МРТ гиппокампа в последние годы становится все более распространенным исследованием, так как специалисты установили роль этого органа в развитии болезни Альцгеймера, эпилепсии, депрессии, нарушений памяти. Поэтому для диагностики (в том числе и дифференциальной) этих состояний производят обследование гиппокампа.
Наиболее часто МРТ гиппокампа применяется в неврологии, данное исследование дает уникальную возможность выявлять самые ранние изменения в структуре органа. Другие современные диагностические техники либо способны определять только глубокие поражения этой части мозга (например, компьютерная томография), либо стоят намного дороже при сравнимой или даже меньшей информативности (например, позитронно-эмиссионная томография). Кроме того, МРТ гиппокампа очень часто производят в рамках исследовательских работ для изучения механизмов памяти, развития возрастных изменений в головном мозге, причин эпилепсии и других неврологических заболеваний.
Indications for use
Пока мы изучаем функции гиппокампа, который активно продолжается в данный момент, список показаний к диагностическому исследованию этого органа постоянно обновляется. Исторически, первым показанием для магнитно-резонансной томографии гиппокампа являются различные нарушения памяти, особенно краткосрочные, так как этот орган отвечает за хранение, кодирование и фильтрацию информации, поступающей в мозг. Очень часто это исследование назначают при синдроме Корсакова - форме амнезии, характеризующейся неспособностью запоминать текущие события, дезориентацией, парамнезией. Причиной этого состояния может быть повреждение головного мозга, дефицит витамина в1, алкоголизм, поэтому магнитный резонанс гиппокампа используется для дифференциальной диагностики.
Часто МРТ гиппокампа проводится при наличии судорог (эпилепсии) различного происхождения. Исследователи определили взаимосвязь между частотой приступов, их тяжестью и степенью изменения в этой области мозга. В некоторых случаях наличие мест склероза, обнаруженных с помощью МРТ гиппокампа, подтверждает диагноз эпилепсии и позволяет скорректировать противосудорожное лечение. В последние годы это исследование использовалось для ранней диагностики болезни Альцгеймера, потому что изменение размера гиппокампа является первым проявлением этого заболевания. Благодаря этому после МРТ гиппокампа может быть назначено профилактическое лечение, что задерживает развитие более серьезных расстройств.
В последние годы магнитно-резонансная томография гиппокампа проводится в процессе диагностики депрессивных состояний. Было установлено, что рецидивы депрессии приводят к уменьшению физического размера гиппокампа и, следовательно, к снижению его функции. Таким образом, магнитно-резонансная томография позволяет нам определить, как часто пациент страдает от этого состояния и выбрать более активные антидепрессанты. Кроме того, показанием для МРТ гиппокампа может быть черепно-мозговое поражение, сопровождающееся потерей памяти, а также дезориентацией, подозрением на опухоли этого органа и другими состояниями. В случае подозрения на наличие опухолевых процессов в гиппокампе, контрастная магнитно-резонансная томография производится для более точной оценки размера и распространения опухоли.
Часто МРТ гиппокампа проводится при наличии судорог (эпилепсии) различного происхождения. Исследователи определили взаимосвязь между частотой приступов, их тяжестью и степенью изменения в этой области мозга. В некоторых случаях наличие мест склероза, обнаруженных с помощью МРТ гиппокампа, подтверждает диагноз эпилепсии и позволяет скорректировать противосудорожное лечение. В последние годы это исследование использовалось для ранней диагностики болезни Альцгеймера, потому что изменение размера гиппокампа является первым проявлением этого заболевания. Благодаря этому после МРТ гиппокампа может быть назначено профилактическое лечение, что задерживает развитие более серьезных расстройств.
В последние годы магнитно-резонансная томография гиппокампа проводится в процессе диагностики депрессивных состояний. Было установлено, что рецидивы депрессии приводят к уменьшению физического размера гиппокампа и, следовательно, к снижению его функции. Таким образом, магнитно-резонансная томография позволяет нам определить, как часто пациент страдает от этого состояния и выбрать более активные антидепрессанты. Кроме того, показанием для МРТ гиппокампа может быть черепно-мозговое поражение, сопровождающееся потерей памяти, а также дезориентацией, подозрением на опухоли этого органа и другими состояниями. В случае подозрения на наличие опухолевых процессов в гиппокампе, контрастная магнитно-резонансная томография производится для более точной оценки размера и распространения опухоли.
Contraindications
Противопоказаний к магнитно-резонансной томографии гиппокампа мало, поскольку это исследование практически не влияет на организм человека. Абсолютным противопоказанием является наличие металлических имплантатов (штифты, ортопедические или зубные элементы, искусственные клапаны сердца) и электронных устройств (кардиостимуляторы, инсулиновые помпы). Несоблюдение этого правила может иметь фатальные последствия из-за воздействия сильнейшего магнитного поля устройства. По той же причине противопоказанием для магнитно-резонансной томографии гиппокампа является наличие в организме металлических фрагментов или гранул (например, после поражений). Относительными противопоказаниями считаются избыточное ожирение (в связи с параметрами оборудования), клаустрофобия, гиперкинезия, выражающаяся в непроизвольных движениях головы. Если существует потребность в контрасте, то список противопоказаний для магнитно-резонансной томографии гиппокампа дополнительно включает почечную недостаточность, беременность, сахарный диабет и другие эндокринные нарушения.
Preparation
Направление обследования обычно привлекает невролог, по крайней мере - психиатр или онколог. Никакой специальной подготовки к МРТ гиппокампа не требуется, если не требуется контраст - в этом случае лучше воздержаться от приема пищи за день до процедуры и поддерживать оптимальный водный режим. Непосредственно перед МРТ все металлические предметы (ювелирные изделия, часы ) И одежду с металлическими элементами следует снять. В некоторых медицинских центрах перед одеванием магнитного резонанса гиппокампа или других органов обследуемого человека они одеваются в платье или специальное нижнее белье.
Evaluation of results
МРТ гиппокампа дает информацию об относительных размерах этого органа, его симметрии, структуре, на основании которой делаются выводы о наличии тех или иных заболеваний. Таким образом, уменьшение относительного размера гиппокампа в раннем возрасте указывает на частые повторяющиеся приступы депрессии, иногда такие результаты появляются в контексте наркомании. Редукция органов в возрасте 40-50 лет обычно является первым симптомом болезни Альцгеймера, учитывая это обстоятельство, и считается, что МРТ гиппокампа является практически единственным методом ранней диагностики этого состояния. Различные размеры правого и левого гиппокампа указывают на возможность развития ракового процесса (опухоли).
При эпилепсии и эпилептическом статусе в структуре этого органа при МРТ гиппокампа выявляются участки склероза. В то же время существует закономерность - чем больше поврежден гиппокамп, тем чаще и тяжелее возникают припадки. В отличие от этого исследования могут быть обнаружены опухоли (как происходящие из мозговой ткани, так и являющиеся метастазами из других очагов). МРТ гиппокампа с синдромом Корсакова или нарушением памяти подтверждает кровоизлияние, дистрофию, опухоли или другие повреждения этой структуры мозга.
При эпилепсии и эпилептическом статусе в структуре этого органа при МРТ гиппокампа выявляются участки склероза. В то же время существует закономерность - чем больше поврежден гиппокамп, тем чаще и тяжелее возникают припадки. В отличие от этого исследования могут быть обнаружены опухоли (как происходящие из мозговой ткани, так и являющиеся метастазами из других очагов). МРТ гиппокампа с синдромом Корсакова или нарушением памяти подтверждает кровоизлияние, дистрофию, опухоли или другие повреждения этой структуры мозга.